阿摩線上測驗
登入
首頁
>
獸醫普通疾病學
> 【已刪除】102年 - 102年第二次高考獸醫普通疾病學#46601
【已刪除】102年 - 102年第二次高考獸醫普通疾病學#46601
科目:
獸醫普通疾病學 |
年份:
102年 |
選擇題數:
80 |
申論題數:
0
試卷資訊
所屬科目:
獸醫普通疾病學
選擇題 (80)
【已刪除】1.當馬匹之氣管抽出物,出現含有hemosiderin之巨噬細胞時,其最有可能罹患: (A)過敏症 (B)化膿性肺炎 (C)息癆 (D)先前有肺出血
【已刪除】2.馬的equine infectious anemia(EIA)之常用診斷方法為下列何者? (A)小白鼠接種 (B)Coombs' test (C)Coggins test (D)骨髓的細胞相檢查
【已刪除】3.乳牛酮病的預防上,可於分娩後14天測定下列何者作為潛在性酮病的早期發現指標? (A)血鈣 (B)血磷 (C)血糖 (D)血鉀
【已刪除】4.下列何者不是犢牛發生飲食瀉(dietary diarrhea)的原發因子? (A)脫脂乳於加工過程高溫變性而使非酪蛋白含量降低,造成小牛皺胃無法凝乳 (B)犢牛代乳粉中使用過多大豆蛋白質及魚蛋白質 (C)犢牛經數小時未吃乳後,飲過量母牛全乳 (D)大腸桿菌或沙門氏菌直接感染
【已刪除】5.牛腎機能檢查中,使用簡易試紙法測定血中尿素含量,其正常值應在多少mg/100mL? (A)40以下 (B)50-60 (C)70-80 (D)90-100
【已刪除】 6.下列何者最易引起牛急性蹄葉炎? (A)採食過多富含碳水化合物之精料 (B)牛舍長期潮濕或泥濘 (C)牛蹄踏到小碎石或尖銳物 (D)遺傳
【已刪除】 7.下列何者是動物體溫過高(hyperthermia)之原因? (A)高溫高濕環境下過度運動 (B)敗血症 (C)外科手術之組織破壞 (D)血液寄生蟲感染症
【已刪除】8.下列何者不是牛鈷缺乏之症狀? (A)營養不良 (B)產下虛弱小牛 (C)貧血 (D)正常發情但受胎率下降
【已刪除】9.要分辨牛膀胱炎及腎盂腎炎,除尿液檢查外,下列何種方法最能用來作鑑別診斷? (A)陰道檢查 (B)直腸檢查 (C)血液學檢查 (D)陰道內視鏡檢查
【已刪除】10.乳牛皺胃異位最不可能併發下列那一種疾病? (A)酮病 (B)子宮炎 (C)胎衣滯留 (D)蹄病
【已刪除】11.在牛的手術中,從左腹脇凹陷處(left paralumbar fossa)打開腹腔後,最不容易觸診到下列那一 個臟器? (A)脾臟 (B)第二胃 (C)第三胃 (D)橫膈膜
【已刪除】12.有關Caslick之手術方法可以用來修復牛第幾度的會陰撕裂傷口,下列何者最正確? (A)第一度 (B)第一度及第二度 (C)第二度及第三度 (D)第一度、第二度及第三度
【已刪除】13.牛隻眼部罹患嚴重的鱗狀上皮細胞癌(squamous cell carcinoma),最適合使用下列那一種眼球 摘除手術? (A)evisceration (B)transpalpebral exenteration (C)transpalpebral enucleation (D)orbital excision
【已刪除】14.乳牛於左腹脇部進行帝王切開術時,經由打開下列那幾層肌肉組織,可使出血至最低限度? (A)外腹斜肌、內腹斜肌及腹橫肌 (B)外腹斜肌、內腹斜肌及內腹直肌 (C)外腹斜肌、外腹直肌及腹橫肌 (D)外腹斜肌、內腹直肌及外腹直肌
【已刪除】15.下列何種豬隻疾病在小腸會出現特徵性病變? (A)salmonellosis (B)swine dysentery (C)edema disease (D)transmissible gastroenteritis
【已刪除】16.治療乳牛濾泡囊腫可使用那些荷爾蒙製劑?①GnRH ②eCG ③hCG ④estrogen ⑤progesterone ⑥PGF
2α
(A)①③⑤ (B)③④⑥ (C)②④⑥ (D)②④⑤
【已刪除】17.鏡檢一頭被過度使用的種公畜精液,下列那種畸形的精子,出現的數目最有可能增加? (A)梨子狀頭形 (B)原生質滴(protoplasmic droplets)附著 (C)斷尾 (D)頭帽(acrosome)缺陷
【已刪除】18.牛人工授精用的精液麥管(straw)使用前需置於水中解凍,下列那一項是最常使用的「水溫」和 「時間」? (A)37℃;10秒 (B)37℃;30秒 (C)47℃;10秒 (D)47℃;30秒
【已刪除】19. 雄犬罹患下列何種腫瘤,會呈現雌性化? (A)精細胞瘤 (B)間質細胞瘤 (C)賽托利細胞瘤 (D)淋巴瘤
【已刪除】20.引起犬腎前性急性腎衰竭之病因為何? (A)砷中毒 (B)鏈黴素中毒 (C)出血性休克 (D)膀胱破裂
【已刪除】21.犬胃潰瘍最可靠之診斷方法為: (A)放射線影像檢查 (B)血液和血清生化檢查 (C)胃內視鏡檢查 (D)腹部觸診
【已刪除】22.犬化膿性前列腺炎,最主要的臨床症狀為何者? (A)血尿、頻尿、劇渴和尿失禁 (B)腹圍膨大、腹水和腹膜炎 (C)尿道排出膿性分泌物、裏急後重、便秘、發熱、沈鬱和泌尿道反覆感染 (D)後腹部疼痛、腰部疼痛、後肢僵硬和水腫
【已刪除】23.犬呈現無食慾、消瘦、黃疸、腹水、肝臟觸診變小變硬、肝表面凹凸不平,此犬罹患下列何項疾 病? (A)急性肝炎 (B)類固醇肝病 (C)急性膽結石 (D)肝硬化
【已刪除】24.引起幼犬心肌炎和嚴重出血性胃腸炎之疾病為: (A)犬瘟熱(canine distemper) (B)犬傳染性肝炎(infectious canine hepatitis) (C)犬小病毒(canine parvovirus)感染症 (D)犬副黏液病毒(canine paramyxovirus)感染症
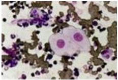
【已刪除】25.八歲雄性狐狸犬於耳翼、臉部、嘴角、鼻緣與四足墊出現對稱性的膿疱、潰瘍結痂的病灶,下圖 是在膿疱採樣的細胞學檢查發現,則該犬最可能罹患的疾病為:
(A)discoid lupus erythematosus (B)uveodermatologic syndrome (C)pemphigus foliaceus (D)erythema multiforme
【已刪除】26.自體免疫溶血性貧血最常見於下列何種動物? (A)牛 (B)馬 (C)貓 (D)犬
【已刪除】27.犬罹患萊姆病(Lyme disease)最常見之臨床症狀不包括: (A)全身淋巴結腫大 (B)多發性血管炎 (C)多發性關節炎 (D)絲球體性腎炎
【已刪除】28.犬貓罹患胃疾病時最主要之臨床症狀為: (A)排黑便 (B)下痢 (C)嘔吐 (D)吐血
【已刪除】29.罹患枝氣管炎的畜犬,當臨床檢查時,下列何種結果正確? (A)叩診反響,呼吸音正常,背側肺區呈現濁音 (B)叩診反響,呼吸音正常,肺基底部出現爆裂音 (C)叩診濁音,呼吸音只剩支氣管音,另有爆裂音 (D)叩診反響,呼氣延長,呼吸音有爆裂音和喘鳴音
【已刪除】30.犬罹患上運動神經元疾病(UMN)時,所引起之排尿障礙之特徵為何者? (A)血尿 (B)膀胱無法存尿而出現連續性尿失禁 (C)尿道括約肌張力增加,不易將膀胱中之尿液排出,導致膀胱膨大 (D)膀胱膨大,容易將膀胱中之尿液擠出和連續性尿失禁
【已刪除】31.犬右心衰竭之臨床症狀為: (A)腹圍膨大和腹腔含大量不透明滲出液 (B)腹圍膨大,肝脾腫大和腹腔含大量混濁滲出液 (C)腹圍膨大,心臟性惡病質和腹腔含大量混濁滲出液 (D)容易疲勞,四肢水腫,腹水和肝腫大
【已刪除】32.下列有關貓膽管炎(cholangitis)的敘述,何者正確? (A)neutrophilic cholangitis的病因可能與腸道發炎有關 (B)不應該使用ursodeoxycholic acid治療 (C)lymphocytic cholangitis不應該使用glucocorticoids治療 (D)lymphocytic cholangitis主要病因與葡萄球菌(Staphylococcus)感染有關
【已刪除】33.Ventral slot手術通常的目的為觀察並移除那一段脊椎之脊髓腔內壓迫? (A)頸椎 (B)胸椎 (C)腰椎 (D)薦椎
【已刪除】34.下列何種固定方式最不適合用於犬貓粉碎性骨折? (A)外固定器(external fixator) (B)骨髓內釘(IM pin) (C)骨板(bone plate) (D)內鎖骨釘(interlocking nail)
【已刪除】35.下列何者與圖中影像不相符?
(A)股骨骨折 (B)螺旋骨折(spiral fracture) (C)柳條狀骨折(greenstick fracture) (D)為未成年動物
【已刪除】36.犬隻進行胃固定手術(gastropexy)的目的為何? (A)預防胃扭轉的復發 (B)治療橫膈疝氣 (C)治療幽門狹窄 (D)預防總膽管阻塞
【已刪除】37.下列那一種手術對犬貓最為疼痛? (A)耳切除(ear resection) (B)乳房切除(mastectomy) (C)去勢手術(castration) (D)耳血腫(aural hematoma)手術
【已刪除】38.下列那一種神經肌肉阻斷劑(neuromuscular blocking agents),其在犬的作用時間 (duration)最短? (A)mivacurium (B)atracurium (C)vecuronium (D)pancuronium
【已刪除】39.下列有關開放性動脈導管(patent ductus arteriosus,PDA)的敘述何者錯誤? (A)常發生於雄性純種犬 (B)年幼的患犬常無明顯臨床症狀,或有輕微運動不耐 (C)具有左至右分流(left-to-right shunt)的患犬若出現臨床症狀,常出現因肺水腫而引起之咳嗽 (D)具有右至左分流(right-to-left shunt)的患犬,常無明顯臨床症狀,或有輕微運動不耐以及運 動時會有後肢癱瘓
【已刪除】40.下列何者是犬輸尿管異位之特徵性症狀? (A)尿失禁(urinary incontinence) (B)腹部疼痛(abdominal pain) (C)食慾不振(anorexia) (D)寡尿(oliguria)
【已刪除】41. 處理犬心臟疾病時所進行的胸腔切開術,主要的切創位置是在左側第幾肋間? (A)1-2 (B)2-4 (C)4-5 (D)7-8
【已刪除】42.關於傷口的處理,下列敘述何者正確? (A)切割傷以絲線縫合是最適合的材質 (B)所有的傷口都以儘快縫合最佳 (C)所有的傷口均維持開放任其自行癒合(second intention healing)是較危險的作法 (D)如無法確定傷口的清潔及組織的存活,應保持傷口開放或放置引流管
【已刪除】43.下列何者最不適合用於動物之皮膚縫合? (A)垂直褥式(vertical mattress)縫合 (B)水平間斷褥式(horizontal interrupted mattress)縫合 (C)單純間斷(simple interrupted)縫合 (D)藍培耳氏(Lembert)縫合
【已刪除】44.股骨頭切除手術後,平均大約需要幾個月,關節才能復原至較理想的功能? (A)0.5 (B)1-2 (C)2-3 (D)4-6
【已刪除】45.貓爪切除術(onychectomy)是切除那一部位? (A)爪甲部 (B)第一趾骨 (C)第二趾骨 (D)第三趾骨
【已刪除】46.家畜中何種動物較易發生肺氣腫? (A)鹿 (B)羊 (C)牛 (D)馬
【已刪除】47.牛隻吞嚥動作不受下列何種神經的調節控制? (A)顏面神經 (B)舌咽神經 (C)三叉神經 (D)舌下神經
【已刪除】48.牛迷走神經性消化不良伴有運動亢進之第一胃擴張時,下列何者敘述錯誤? (A)常發生於妊娠末期 (B)與妊娠及分娩無關 (C)糞便呈正常或泥糊狀 (D)病牛會反覆性軋齒呻吟
【已刪除】49.下列那一項疾病可以說是引起乳牛事業中經濟受損最嚴重的疾病? (A)乳房炎 (B)蹄病 (C)消化道障礙 (D)代謝性疾病
【已刪除】50.下列何者並非牛創傷性蜂巢胃腹膜炎的保守治療方法? (A)口服長7.5 cm、直徑2.5 cm的磁鐵以固定異物 (B)將病牛拴住10至14天不活動 (C)使病牛站立並使前肢站於高出後肢25 cm的斜坡上 (D)餵飼的精料量減半,而粗飼料的量維持不變
【已刪除】51.乳牛第四胃異位是一種產後代謝性疾病,病牛常有多項的血清生化值異常,下列那一項屬於第四 胃異位牛隻的血清生化值異常? (A)代謝性酸中毒 (B)高血氯 (C)低血鉀 (D)高血鈣
【已刪除】52.以肌肉注射抗生素ceftiofur來預防乳牛產後胎衣滯留(retained fetal membrane)之子宮感染的臨 床正確使用劑量是多少mg/kg一天一次? (A)2.2 (B)3.3 (C)4.4 (D)5.5
【已刪除】53.下列造成乳牛乳房炎的微生物種類中,何者不屬於接觸傳染性微生物? (A)無乳鏈球菌(Streptococcus agalactiae) (B)金黃色葡萄球菌(Staphylococcus aureus) (C)牛黴漿菌(Mycoplasma bovis) (D)大腸桿菌(Escherichia coli)
【已刪除】54.下列有關乳牛第四胃左側異位右脇腹壁切開-大網膜固定術(right paralumbar omentopexy)的 敘述,何者錯誤? (A)最好用不可吸收線來縫合 (B)縫合部位的脂肪組織越少越好 (C)大網膜上稱為豬耳朵(sow's ear)之脂肪突起物是主要的縫合部位 (D)縫合時應與腹膜和腹肌一起縫合
【已刪除】55.進行乳牛瘤胃切開術前必須麻醉的神經為何者? (A)第二、三、四腰椎神經 (B)第一、二、三腰椎神經 (C)第十三胸椎神經及第一、二腰椎神經 (D)第十二、十三胸椎神經及第一腰椎神經
【已刪除】56.Cushing suture可以用在乳牛腸道或內臟的縫合,其最主要的缺點為何? (A)縫線容易崩線 (B)容易阻礙術區血液循環 (C)因為傷口內翻,所以不容易癒合 (D)需耗用較多縫線
【已刪除】57.進行乳牛的瘤胃切開探腹術(transruminal exploration)時,以手探測發現瘤胃腹囊(ventral sac)與體壁有黏連現象,最有可能由下列那一種疾病所造成? (A)瘤胃臌脹 (B)第四胃潰瘍 (C)創傷性蜂巢胃炎 (D)瘤胃食滯
【已刪除】58.羊蓖麻中毒是吃食蓖麻那一部分較易引起? (A)根 (B)莖 (C)葉 (D)種子
【已刪除】59.下列何者不是羊熱射病之主要症狀? (A)癡鈍 (B)高體溫 (C)排糞和排尿失禁 (D)昏迷
【已刪除】60.具有那種特徵的犬種最容易發生難產? (A)長腰型 (B)短腰型 (C)垂耳型 (D)立耳型
【已刪除】61.發生異性雙胎症(freemartinism)的機制為何? (A)異性胚胎之絨毛尿囊膜接觸形成血管吻合(vascular anastomosis) (B)異性胚胎之羊膜接觸而吻合為一 (C)母畜攝取類動情素物質污染之飼料 (D)母畜攝取類雄性素物質污染之飼料
【已刪除】62.下列那種徵候表示,母犬是在動情週期的發情期? (A)陰道抹片出現許多白血球 (B)陰道抹片以大型角化上皮細胞為主 (C)子宮抹片出現許多白血球 (D)子宮抹片出現許多紅血球
【已刪除】63.乳牛的胚體於子宮內附著(attachment)是發生在受精後第幾天? (A)5 (B)8 (C)12 (D)20
【已刪除】64.那種動物於懷孕前期發生黃體退化後而由副黃體取代其功能? (A)牛、羊 (B)馬 (C)狗、貓 (D)豬
【已刪除】65.何種動物懷雙胞胎後,最容易發生胚胎死亡? (A)牛 (B)山羊 (C)綿羊 (D)馬
【已刪除】66.動物分娩之第二期陣痛(second stage of labour)的徵候,那項錯誤? (A)母畜胸部肌肉明顯收縮 (B)羊膜包著羊水之水胞(water-bag)出現在會陰部 (C)尿囊膜破裂流出尿液樣的胎水 (D)娩出胎兒
【已刪除】67.狗胰臟炎被認為最好發的品種是: (A)迷你雪納瑞 (B)瑪爾濟斯 (C)西施 (D)貴賓犬
【已刪除】68.當狗罹患hypoadrenocorticism時,最可能出現那些離子的不平衡:①鈣 ②磷 ③鉀 ④鈉 ⑤ 鎂 (A)①② (B)③④ (C)①⑤ (D)③⑤
【已刪除】69.當狗罹患Myxomatous mitral valve disease(MMVD)時,早期時X光的判讀會發現那裡擴大? (A)左心房 (B)左心室 (C)右心房 (D)右心室
【已刪除】70.犬心絲蟲生活史中,第幾期幼蟲就具有生殖能力? (A)第2期 (B)第3期 (C)第4期 (D)第5期
【已刪除】71.Calcitriol在最近的研究中,發現可使第三、四期慢性腎病患犬改善生活品質及延長壽命,其投藥 時間應為: (A)空腹 (B)飯後一小時 (C)與進食無關 (D)與食物一起吃
【已刪除】72.下列何種狗種因為基因緣故,容易有嘌呤結石(purine uroliths)的產生? (A)大麥町 (B)騎士查理王小獵犬 (C)迷你雪納瑞 (D)西施
【已刪除】73.犬罹患何種疾病,其貧血形式為再生性貧血? (A)Babesia gibsoni infection (B)Ehrlichia canis infection (C)Canine parvovirus infection (D)Chronic renal failure
【已刪除】74.反芻獸食入殺鼠靈(warfarin)中毒時應採用下列何種維生素治療? (A)C (B)A (C)E (D)K
【已刪除】75.對於腫瘤血管新生的敘述,下列何者不正確? (A)血管床分布越良好的腫瘤,其遠端轉移的機會也就越大 (B)血管新生增多的腫瘤,越趨向惡性特徵 (C)微小血管的數目或是密度都與轉移的結果沒有直接的相關 (D)並不是所有出現血管新生的腫瘤都會轉移
【已刪除】76.由於傳統的放射線攝影術(radiography)具可用性且價位較低的緣故,所以即使使用那麼多年了 仍然是癌症影像診斷的主要診斷工具,這是因為放射線攝影術有其優點之故,以下何者並非是傳 統的放射線攝影術的優點? (A)可提供整個身體的影像訊息 (B)相當有效提供骨頭影像訊息,尤其是四肢骨骼 (C)由胸腔及腹腔攝影,可用於犬貓淋巴瘤來判定淋巴結、肺實質、脾或肝等器官是否被影響 (D)影像會呈現出器官構造的互相重疊
【已刪除】77.就惡性腫瘤的生物行為而言,若淋巴結已被侵入則通常有全身轉移的風險,但是當區域淋巴結 (regional lymph node)位在關鍵區域且已黏連周邊組織時,則不建議切除,以下那個犬隻淋巴 結並非位於關鍵區域? (A)咽背(retropharyngeal) (B)肺門(hilar) (C)腸繫膜(mesenteric) (D)鼠蹊(inguinal)
【已刪除】78.美國麻醉醫師協會訂立麻醉風險(anesthetic risk)等級,以評估手術前病患的身體狀態,而有助 於麻醉醫師掌控病患在手術麻醉期間的風險,其區分幾個等級? (A)2 (B)3 (C)4 (D)5
【已刪除】79.關於犬貓尿路結石症的成因、診斷或治療,下列何者最不適當? (A)飲食中含肉類或內臟成分過多常是造成struvite calculi(如magnesium ammonium phosphate)的成因 (B)含鈣之尿石如磷酸鈣及草酸鈣結石是X光線不透過性,因此藉由放射線攝影常能見到 (C)胱氨酸(cystine)和尿酸鹽(urate)尿結石幾乎是X光線可透過性,因此放射線攝影常不能偵 測到 (D)當犬患有肝功能不全(hepatic insufficiency)的疾病如portosystemic shunts常容易形成氨酸尿 酸鹽結石(ammonia acid urate stones)
【已刪除】80.外科手術室的理想溫度為攝氏幾度? (A)10 (B)20 (C)25 (D)30
申論題 (0)