阿摩線上測驗
登入
首頁
>
公職◆牙體技術學(四)
> 103年 - 103-2 專技高考_牙體技術師:牙體技術學(四)(包括牙科矯正技術學、兒童牙科技術學及牙技法規與倫理學科目)#24109
103年 - 103-2 專技高考_牙體技術師:牙體技術學(四)(包括牙科矯正技術學、兒童牙科技術學及牙技法規與倫理學科目)#24109
科目:
公職◆牙體技術學(四) |
年份:
103年 |
選擇題數:
80 |
申論題數:
0
試卷資訊
所屬科目:
公職◆牙體技術學(四)
選擇題 (80)
1 口腔周圍肌肉的均衡是維持齒列安定的重要條件,其中來自齒列內側作用的壓力為何? (A)舌 (B)唇 (C)頰肌 (D)顳顎關節
2 在人種或民族內所共有的特徵性之正常咬合稱為: (A)假想正常咬合 (B)典型正常咬合 (C)個性正常咬合 (D)機能正常咬合
3 正常的水平覆蓋,上顎中門齒之切緣位於下顎中門齒之切緣的: (A)前方 2~3 mm (B)後方 2~3 mm (C)上方 2~3 mm (D)下方 2~3 mm
4 使牙齒發揮最大機能的理想性正常咬合稱為: (A)假想正常咬合 (B)典型正常咬合 (C)機能正常咬合 (D)實際年齡正常咬合
5 安格氏異常咬合分類,是以上顎第一大臼齒的近心頰側咬頭的三角隆線與下顎第一大臼齒的那個部 位成為接觸狀當作標準? (A)近心溝 (B)遠心溝 (C)頰側溝 (D)舌側溝
6 臨床上觀察到頦部突出的下顎前突,其上下齒列弓的關係為: (A)上顎正常,下顎近心咬合 (B)上顎正常,下顎遠心咬合 (C)下顎正常,上顎近心咬合 (D)下顎正常,上顎遠心咬合
7 安格氏異常咬合分類,是以上下顎齒列弓何種對向的咬合關係來分類? (A)近遠心 (B)頰舌 (C)垂直 (D)唇舌
8 以下那一項不是矯正用口腔模型的功能? (A)測量齒槽基底弓的寬度 (B)測量齒列弓的長度 (C)記錄治療過程的狀況 (D)記錄口腔周圍豐隆的形態
9 懷疑牙齒內部及牙根膜腔有問題,需要解像度高的穿透像,此時建議拍攝: (A)口腔內照片 (B)頭部 X 光規格照片 (C)dental X 光照片 (D)panorama X 光照片
10 有關牙齒的移動,以下敘述何者錯誤? (A)缺牙區的對咬牙常會自己移動突出 (B)壓迫側的齒槽窩會有齒槽骨吸收的現象 (C)比較大的矯正力可以加速牙齒的移動 (D)口腔周圍的肌肉也是牙齒移動的作用力
11 使用頦托(chin cap)裝置來取得錨定,此乃屬於: (A)顎內錨定 (B)顎間錨定 (C)顎外錨定 (D)上顎錨定
12 有關器械固位,下列何者錯誤? (A)是利用器械來固位齒列及咬合 (B)維持裝置有分可撤式與固定式 (C)維持固定需數個月到一年以上的時間 (D)經器械固位後即可維持後續咬合的安定
13 以下那一樣器具可以減少樹脂(resin)氣泡的發生? (A)矯正用 pincet (B)構成咬合器 (C)加壓聚合器 (D)加壓成形器
14 矯正線彎曲的一般性原則,以下何者錯誤? (A)太用力握緊 plier 會造成矯正用線的損傷 (B)plier 需與矯正線成垂直再彎線 (C)矯正線用 plier 夾住,使用手指來彎曲 (D)做鈍角的彎曲時,施力要離 plier 支點較近
15 有關矯正線彎曲的基本技法,下列何者錯誤? (A)在彎曲途中發生不適合的情況,需從彎曲的起始點修正 (B)夾痕是造成斷線的原因 (C)把矯正線彎曲成環形時要慢慢地移動彎曲點 (D)進行直角以上的彎曲,要把 plier 稍微移離彎曲點
16 有關自在銲接,下列何者錯誤? (A)把想銲接的部分用左右的手指固定 (B)可防止因過熱造成矯正線熱鈍 (C)可準確銲接在正確的位置 (D)銲接時銲接部分的油脂要先完全去除
17 矯正線之銲接,其銀銲之熔點為攝氏幾度? (A)600 (B)700 (C)800 (D)900
18 有關助熔劑(flux),下列何者錯誤? (A)內含氟添加物可去除氧化膜 (B)鉛筆會產生 anti flux 作用 (C)可增加熔解銲材的表面張力 (D)主成分是硼砂
19 有關自在銲接的原則,下列何者錯誤? (A)加熱時使用還原焰可以防止氧化 (B)在粗的矯正線上銲接細的矯正線時,應先把細的金屬線加熱 (C)銲接溫度過高,主線上銲材擴散會形成巢狀 (D)銲接部位最後的研磨可用 silicone point
20 樹脂(resin)形成方法有很多,以下何種方法可以使樹脂均一厚度,以利床型裝置的製作? (A)撒布法 (B)混合法 (C)spread 法 (D)mold 法
21 有關平行模型,下列何者錯誤? (A)可用來觀察異常咬合的分類 (B)是以上下顎模型的基底面與咬合平面相互平行所製作 (C)可以診察咬合平面的傾斜 (D)矯正診斷時必須與頭部 X 光規格照片併用
22 製作平行模型時會以什麼為模型的中心來製作? (A)正中口蓋縫線 (B)眼耳面 (C)正中矢向面 (D)眶平面
23 預測模型(set up model)的用途不包括: (A)模擬矯正治療後的齒列變化 (B)用來製作 tooth positioner (C)用來製作 spring(spling)retainer (D)診察顏面頭蓋與上下齒列的位置關係
24 製作平行模型時,下顎基底面到咬合面的高度約為? (A)2.5 cm (B)3.0 cm (C)3.5 cm (D)4.0 cm
25 以下何種異常咬合患者較易有口呼吸的習慣? (A)Angle I 級異常咬合 (B)Angle II 級 1 類異常咬合 (C)Angle II 級 2 類異常咬合 (D)Angle III 級異常咬合
26 以下那一種裝置屬於器械性矯正裝置? (A)擴大裝置 (B)咬合板 (C)唇擋 (D)生物功能矯正器
27 舌側弓線裝置構造中的補助彈簧是使用直徑為多少的矯正線製作? (A)0.45 mm (B)0.5 mm (C)0.55 mm (D)0.6 mm
28 以下那一種補助彈簧線是對主線成 90 度的銲接? (A)單式彈簧線 (B)複式彈簧線 (C)指樣彈簧線 (D)連續彈簧線
29 有關 Nance appliance,下列何者錯誤? (A)利用口蓋為錨定源 (B)僅限使用於上顎 (C)可同時提供動態矯正裝置機能 (D)可利用於上顎前方牽引裝置
30 Bionator 的口蓋線是用直徑多少的矯正線彎製? (A)0.7 mm (B)0.9 mm (C)1.0 mm (D)1.2 mm
31 有關固定式急速擴張裝置,下列何者錯誤? (A)擴張裝置直接銲接在維持帶上 (B)擴張螺旋中央要放置在正中腭縫線上 (C)擴張螺旋要與咬合平面平行 (D)擴張螺旋的箭頭方向為口蓋前緣方向
32 使用加壓聚合器時,是以攝氏幾度的水,在多少的加壓下進行 20 分鐘以上? (A)35~45 度;1.5~2 kg (B)35~45 度;2~2.5 kg (C)45~55 度;1.5~2 kg (D)45~55 度;2~2.5 kg
33 上下第二乳臼齒最末端平面平齊時(flush terminal plane),可能在恆牙時期會形成安格氏第幾類 咬合? (A)只形成 class I 咬合 (B)只形成 class II 咬合 (C)只形成 class I 或 class III 咬合 (D)class I 或 class II 或 class III 咬合
34 在恆牙齒列中,以下那一顆牙齒是最可能且最早罹患齲齒? (A)下顎第一大臼齒 (mandibular first molar) (B)上顎正中門齒 (maxillary central incisor) (C)上顎側門齒 (maxillary lateral incisor) (D)下顎正中門齒 (mandibular central incisor)
35 有關亞當斯牙鉤(Adams clasp)製作的描述,下列何者為誤? (A)亞當斯牙鉤可分為橋(bridge)、箭頭(arrowhead)、過隙、足(foot)及鉤(hook)五個部分 (B)亞當斯牙鉤其中橋的高度應與牙冠的高度齊平 (C)亞當斯牙鉤其中箭頭與橋以及牙齒的長軸成 45 度 (D)亞當斯牙鉤其中一毫米的小鉤(hook)是用來增加金屬線在樹脂內之固位(retention)
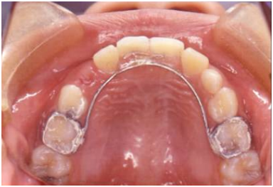
36 附圖為一位九歲女童因意外撞傷前牙區,上顎兩顆門齒因而脫落,牙醫師為她製作的是何種裝置?
(A)兒童義齒(kiddy denture) (B)修飾型南斯氏裝置(modified Nance appliance) (C)跨腭弓線(transpalatal arch) (D)腭弓(palatal arch)
37 小明八歲,因上顎兩顆第二乳臼齒嚴重齲齒必須拔除,家長沒有給小明裝戴空間維持器,半年後回 診最可能會發生: (A)上顎前牙向腭側傾斜(palatal tipping) (B)上顎中線偏移(midline shift) (C)上顎第一恆臼齒向近心處移動(mesial shift) (D)上顎第一恆臼齒向咬合面突出(occlusal shift)
38 上下第二乳臼齒最末端平面呈現遠心階梯(distal step),最可能在恆牙時期會形成安格氏第幾類 咬合? (A)class I 咬合 (B)class II 咬合 (C)class III 咬合 (D)class I 或 class III 咬合
39 在乳牙齒列中,通常最晚萌出的牙齒是: (A)上顎第一乳臼齒(maxillary first deciduous molar) (B)上顎第二乳臼齒(maxillary second deciduous molar) (C)下顎第一乳臼齒(mandibular first deciduous molar) (D)下顎第二乳臼齒(mandibular second deciduous molar)
複選題
40 在恆牙齒列中,通常最早萌出的牙齒是: (A)上顎正中恆門齒(maxillary permanent central incisor) (B)下顎正中恆門齒(mandibular permanent central incisor) (C)下顎第一恆臼齒(mandibular first permanent molar) (D)上顎第一恆臼齒(maxillary first permanent molar)
41 有關靈長空間(primate space) 的敘述,下列何者錯誤? (A)在上顎存在於乳側門齒與乳犬齒之間 (B)在下顎存在於乳側門齒與乳犬齒之間 (C)在乳臼齒末端平面平齊時(flush terminal plane) 的小孩,下顎靈長空間(primate space)有助於 恆牙齒列得到安格氏 class I 的咬合 (D)乳牙齒列有靈長空間(primate space),有利於舒緩齒列空間的擁擠
42 在下顎恆牙齒列中,除了第三大臼齒,通常最晚萌出的牙齒是: (A)下顎第一小臼齒 (B)下顎第二小臼齒 (C)下顎犬齒 (D)下顎第二大臼齒
43 下列乳齒的牙根何者最長? (A)上顎正中門齒 (B)上顎側門齒 (C)上顎犬齒 (D)下顎犬齒
44 下列何種保隙裝置會同時使用到銲接(soldering)與樹脂(resin)? (A)舌側弓線裝置(lingual arch) (B)帶環線裝置(band and loop appliance) (C)兒童全口活動義齒(complete denture) (D)南斯氏裝置(Nance appliance)
45 根據現有文獻的統計,人類牙齒的萌發順序下列何者最不可能? (A)上顎恆齒的萌發順序 6-1-2-4-5-3-7-8 (B)下顎恆齒的萌發順序 6-1-2-3-4-5-7-8 (C)上顎乳齒的萌發順序 A-B-D-E-C (D)下顎乳齒的萌發順序 A-B-D-C-E
46 有關牙齒的成長發育時間,下列敘述何者錯誤? (A)下顎牙齒的鈣化(calcification)通常在上顎牙齒之前 (B)最早鈣化(calcification)的是乳門齒 (C)最晚鈣化(calcification)的是第三恆臼齒 (D)恆牙齒列中最早鈣化(calcification)的是下顎犬齒
47 下列何者不是被動(靜態)之保隙裝置? (A)舌側弓線裝置(lingual arch) (B)帶環線裝置(band and loop appliance) (C)指樣彈線裝置(finger spring appliance) (D)南斯氏裝置(Nance appliance)
48 有關固定式的保隙裝置,下列敘述何者正確? (A)相較活動式之保隙裝置不容易清潔 (B)相較需要考量兒童的配合度 (C)無法一次配戴直到保隙的目的達成結束後再拆除 (D)臨床上較活動式之保隙裝置容易調整
49 下列有關牙體技術師法之敘述何者正確? (A)中華民國國民經牙體技術師考試及格,並依本法領有牙體技術師證書者,得充牙體技術師與牙體 技術生 (B)曾受本法所定廢止牙體技術師證書處分者,可改充牙體技術生繼續執業之 (C)國內公、私立大學之牙體技術科、系畢業,不需要經過實習期滿及格,領有畢業證書者,即得應 牙體技術師考試 (D)符合教育部採認規定之日本專科以上學校牙體技術科(系)畢業,並經實習期滿成績及格,領有 畢業證書者,得應牙體技術師考試
50 某人受到廢止牙體技術師執業執照的處分,根據牙體技術師法的規定,下列敘述何者正確? (A)滿 1 年後可再參加考試取得執照 (B)滿 1 年以後可以向主管機關重新申請發照 (C)滿 3 年以後可以向主管機關重新申請發照 (D)終生不得再充當牙體技術師
51 牙體技術所應將何種證件揭示於明顯處所?①開業執照 ②考試及格證書 ③所屬牙體技術師(生)證 書 ④所屬牙體技術師(生)執業執照 (A)①②③④ (B)僅①②③ (C)僅①③④ (D)僅①③
52 高雄市已設有一間名為“第一牙體技術所”,某甲想在臺北市登記牙體技術所依規定不能命名為下列 那一個名稱? (A)第一名牙體技術所 (B)第一牙體技術所 (C)慈濟牙體技術所 (D)帝一牙體技術所
53 某甲(牙體技術師)受雇於某乙(牙體技術師開業資格)負責之牙體技術所,某甲因業務無故洩漏 他人之秘密,處分為何? (A)某甲處新臺幣兩萬元以上十萬元以下罰鍰 (B)某甲處新臺幣三萬元以上十五萬元以下罰鍰 (C)某乙處新臺幣兩萬元以上十萬元以下罰鍰 (D)某乙處新臺幣三萬元以上十五萬元以下罰鍰
54 牙體技術師死亡時,未到原發照機關註銷其執業執照,依法應處多少新臺幣罰鍰? (A)一萬元以上五萬元以下 (B)二萬元以上十萬元以下 (C)三萬元以上十五萬元以下 (D)三萬元以上二十萬元以下
55 某牙體技術師違法從事口腔內之醫療行為,依法應處多少新臺幣罰鍰? (A)一萬元以上五萬元以下 (B)二萬元以上十萬元以下 (C)三萬元以上十萬元以下 (D)三萬元以上十五萬元以下
56 牙體技術師公會應訂立章程,造具會員名冊及選任職員簡歷名冊,送請那個機關立案?那個機關 備查? (A)所在地人民團體主管機關立案,並分送中央及所在地主管機關備查 (B)中央主管機關立案,並分送所在地主管機關及人民團體主管機關備查 (C)所在地主管機關立案,並分送中央及所在地人民團體主管機關備查 (D)中央人民團體主管機關立案,並分送中央及所在地主管機關備查
57 各級牙體技術師公會之理事、監事一任之任期為幾年? (A)1 (B)3 (C)5 (D)7
58 某牙體技術師之執業執照不慎損壞時,須向原發執業執照機關申請換發,有關應檢附之文件,下列 敘述何者錯誤? (A)繳納執業執照費 (B)原執業執照 (C)申請書 (D)最近 3 個月內二吋正面脫帽半身照片二張
59 擔任專科以上學校、教學醫院、政府機關舉辦之專業相關繼續教育課程授課者,每小時積分採計為 多少? (A)五點 (B)六點 (C)七點 (D)八點
60 某牙體技術師應邀擔任有公開徵求論文及審查機制之牙體技術學術研討會特別演講者,請問此次演 講應採計多少積分? (A)五點 (B)十點 (C)十五點 (D)二十點
61 執業之牙體技術師依規定應每幾年接受一定點數之繼續教育,始得辦理執業執照更新? (A)2 (B) 3 (C) 4 (D) 6
62 領得牙體技術師證書逾 5 年,首次申請執業登記時須附上前 1 年內接受繼續教育課程總積分達多少 以上之證明文件? (A)四分之一 (B)五分之一 (C)六分之一 (D)十分之一
63 依據醫事人員執業登記及繼續教育辦法規定,牙體技術師執業,應於固定年限內接受繼續教育課程, 其中課程項目、議題不包含下列何者? (A)專業課程 (B)醫療品質 (C)專業倫理 (D)性別議題
64 牙體技術師申請設立牙體技術所時,至少需檢附下列那些文件?①牙體技術師證書 ②公會會員證 明文件 ③繼續教育之證明文件 ④牙體技術所平面配置圖 ⑤國民身分證 ⑥執行牙體技術業務 滿 2 年以上之證明 (A)①②③④⑤ (B)①④⑤⑥ (C)①②⑤⑥ (D)②④⑤⑥
65 牙體技術師證書若損壞,應向中央主管機關申請補發,必須具備下列那些文件?①執業執照 ②牙 體技術師考試及格證書 ③申請書 ④繳納證書費 ⑤損壞之原證書 (A)①③④ (B)②③④ (C)③④⑤ (D)①④⑤
66 各種物理性消毒與化學性消毒的比較,下列何者正確? (A)中程度的消毒即可把全部細菌的芽孢殺死 (B)低溫的殺菌效果與高溫相同 (C)使用一般的超音波設備也能有效地達到滅菌的效果 (D)一般說來,物理性消毒較化學性消毒容易達到滅菌的效果
67 滅菌(sterilization)是指消滅下列何者?①細菌 ②病毒 ③微生物芽孢 (A)僅①② (B)僅①③ (C)僅②③ (D)①②③
68 被「人類後天免疫缺乏症候群」帶原者血液污染的石膏模型,下列何種方法是最適當的化學藥劑滅 菌法? (A)70%酒精擦拭 (B) 0.005 %漂白水浸泡 (C)2%戊二醛溶液浸泡 (D)20 %碘仿浸泡
69 依據「事業廢棄物貯存清除處理方法及設施標準」,將事業廢棄物進行衛生掩埋、封閉掩埋、安定 掩埋或海洋棄置之行為稱為: (A)貯存 (B)清除 (C)最終處置 (D)中間處理
70 關於牙體技術所內之廢棄物處理,下列何者錯誤? (A)含鈹金屬廢料屬於有害事業廢棄物 (B)有害事業廢棄物應與一般事業廢棄物分開貯存 (C)貯存以 5 年為限 (D)貯存期限須延長者,應向所在地之地方主管機關申請
71 關於感染性醫療廢棄物的清除,下列何者正確? (A)委託外部合格專業公司處理時,只需記錄清除日期即可 (B)可以交由一般的縣市政府環保局垃圾車代為清除處置 (C)尚未做清除處置之前的暫時存放廢棄物,依法業主必須要先做防止廢棄物飛散、溢漏、爆炸等處置 (D)感染性醫療廢棄物,一律只能委外處理,不能自行處置
72 根據有害事業廢棄物認定標準之定義,下列何者屬於腐蝕性事業廢棄物?①pH 值大於 12.5 ②pH 值小於 2.0 ③在攝氏溫度 55 度時,對鋼之腐蝕速率,每年超過 3.35 毫米者 (A)僅①② (B)僅②③ (C)僅①③ (D)①②③
73 有關牙體技術所設置標準之規範內容,下列敘述何者錯誤? (A)應設置業務記錄存放室 (B)需設置成品區 (C)設有污物處理設備 (D)應設置清洗設備
74 牙體技術所室內工作場所,應有足夠的通道空間供人員通行。其主要人行通道之最小寬度,至少應 為多少? (A)100 公分 (B)80 公分 (C)40 公分 (D)無限制
75 未經公司允許,員工私自將公司的資料攜出並交給他人時,此員工觸犯了下列何種罪刑? (A)竊盜罪 (B)侵佔罪 (C)背信罪 (D)工商秘密罪
76 在職場倫理中,社會安全責任的範圍是以下列何者為主體? (A)民權 (B)主權 (C)人權 (D)所有權
77 下列何者是企業雇主對員工負責任的具體表現? (A)全球基金 (B)郵政基金 (C)股票投資基金 (D)失業補償金
複選題
78 公司員工如意圖為自己或他人之不法利益,或損害公司利益,而無故洩漏公司的營業秘密,致生損 害公司的財產或利益是觸犯了下列何項刑法? (A)竊盜罪 (B)侵佔罪 (C)背信罪 (D)工商秘密罪
79 執業之牙體技術師進行健康檢查時,其所需之費用應由下列何者負擔? (A)衛生福利部 (B)負責牙體技術師 (C)牙體技術師本人 (D)勞資雙方各半
80 某牙體技術師經健康檢查後發現有異常情形,不能適應原有工作內容時,雇主不可採取下列何項 作法? (A)變更作業場所 (B)縮短工作時間 (C)彙編健康檢查手冊,發給此牙體技術師 (D)解雇此位員工,讓他安心休養
申論題 (0)
相關試卷
114年 - 114 專技高考_牙體技術師:牙體技術學(四)(包括牙科矯正技術學、兒童牙科技術學及牙技法規與倫理學科目)#129134
114年 · #129134
113年 - 113 專技高考_牙體技術師:牙體技術學(四)(包括牙科矯正技術學、兒童牙科技術學及牙技法規與倫理學科目)#121781
113年 · #121781
112年 - 112 專技高考_牙體技術師:牙體技術學(四)(包括牙科矯正技術學、兒童牙科技術學及牙技法規與倫理學科目)#115993
112年 · #115993
111年 - 111 專技高考_牙體技術師:牙體技術學(四)(包括牙科矯正技術學、兒童牙科技術學及牙技法規與倫理學科目)#109980
111年 · #109980
110年 - 110 專技高考_牙體技術師:牙體技術學(四)(包括牙科矯正技術學、兒童牙科技術學及牙技法規與倫理學科目)#100632
110年 · #100632
109年 - 109 專技高考_牙體技術師:牙體技術學(四)(包括牙科矯正技術學、兒童牙科技術學及牙技法規與倫理學科目)#89560
109年 · #89560
108年 - 108-2 專技高考_牙體技術師:牙體技術學(四)(包括牙科矯正技術學、兒童牙科技術學及牙技法規與倫理學科目)#78365
108年 · #78365
107年 - 107-2 專技高考_牙體技術師:牙體技術學(四)(包括牙科矯正技術學、兒童牙科技術學及牙技法規與倫理學科目)#71162
107年 · #71162
106年 - 106-2專技高考_牙體技術師:牙體技術學(四)(包括牙科矯正技術學、兒童牙科技術學及牙技法規與倫理學科目)#64002
106年 · #64002
105年 - 105-2 專技高考_牙體技術師:牙體技術學(四)(包括牙科矯正技術學、兒童牙科技術學及牙技法規與倫理學科目) #54597
105年 · #54597