阿摩線上測驗
登入
首頁
>
基礎醫學(包括解剖學、生理學與病理學)
> 104年 - 104年第二次專技高考基礎醫學(包括解剖學、生理學與病理學) #38871
104年 - 104年第二次專技高考基礎醫學(包括解剖學、生理學與病理學) #38871
科目:
基礎醫學(包括解剖學、生理學與病理學) |
年份:
104年 |
選擇題數:
80 |
申論題數:
0
試卷資訊
所屬科目:
基礎醫學(包括解剖學、生理學與病理學)
選擇題 (80)
1.肝細胞內與酒精的解毒作用(detoxification)最為相關的胞器是下列何者? (A)粗糙內質網(rough endoplasmic reticulum) (B)過氧化酶體(peroxisomes) (C)溶酶體(lysosomes) (D)高爾基體(Golgi apparatus)
2.細胞分裂時,參與染色體移動的主要構造是: (A)微細絲(microfilaments) (B)中間絲(intermediate filaments) (C)微小管(microtubules) (D)訊息核糖核酸(mRNA)
3.下列構造,何者不是外皮系統(integumentary system)的一部分? (A)表皮(epidermis) (B)真皮(dermis) (C)角質層(stratum corneum) (D)皮下層(hypodermis)
4.下列有關皮膚及其衍生物所含角蛋白(keratin)的敘述,何者正確? (A)表皮和毛髮主要為軟角蛋白,指甲主要為硬角蛋白 (B)表皮和指甲主要為軟角蛋白,毛髮主要為硬角蛋白 (C)表皮和毛髮主要為硬角蛋白,指甲主要為軟角蛋白 (D)毛髮和指甲主要為硬角蛋白,表皮主要為軟角蛋白
5.上皮組織的分類主要是根據: (A)細胞大小 (B)細胞外纖維比例 (C)表層細胞形狀與層數 (D)細胞分裂特性
6.下列細胞中何者具有最多量的胞質顆粒? (A)脂肪細胞(adipocyte) (B)纖維母細胞(fibroblast) (C)巨噬細胞(macrophage) (D)肥大細胞(mast cell)
7.下列何者收縮可屈曲(flex)髖關節? (A)股外側肌(vastus lateralis) (B)股內側肌(vastus medialis) (C)股中間肌(vastus intermedius) (D)股直肌(rectus femoris)
8.下列何者附著於肱骨的外上髁(lateral epicondyle)? (A)旋前圓肌(pronator teres) (B)橈側屈腕肌(flexor carpi radialis) (C)掌長肌(palmaris longus) (D)橈側伸腕短肌(extensor carpi radialis brevis)
9.下列何者是手指的內收肌(adductor muscle)? (A)蚓狀肌(lumbrical muscle) (B)掌側骨間肌(palmar interosseous muscle) (C)背側骨間肌(dorsal interosseous muscle) (D)屈拇短肌(flexor pollicis brevis muscle)
10.下列何者屬於舌骨上肌(suprahyoid muscles)? (A)莖突舌骨肌(stylohyoid muscle) (B)胸骨舌骨肌(sternohyoid muscle) (C)肩胛舌骨肌(omohyoid muscle) (D)甲狀舌骨肌(thyrohyoid muscle)
11.下列何骨不屬扁平骨? (A)肋骨 (B)胸骨 (C)肩胛骨 (D)髕骨
12.下列何者通過棘孔? (A)耳蝸動脈 (B)腦膜中動脈 (C)小腦上動脈 (D)眼動脈
13.初級視覺區位於下列何者? (A)額葉皮質 (B)頂葉皮質 (C)顳葉皮質 (D)枕葉皮質
14.無法作伸腕的動作,是下列何者之病變所致? (A)尺神經 (B)橈神經 (C)正中神經 (D)肌皮神經
15.位置最靠近腦垂體的顱神經為: (A)嗅神經 (B)視神經 (C)面神經 (D)舌咽神經
16.下列何者源自於神經嵴(neural crest)? (A)背根神經節之神經元(neuron of dorsal root ganglion) (B)星狀細胞(astrocyte) (C)運動神經元(motor neuron) (D)寡樹突細胞(oligodendrocyte)
17.下列何種感覺訊息的傳遞不經過丘腦(thalamus)? (A)本體感覺 (B)視覺 (C)嗅覺 (D)聽覺
18.下肢碰到熱湯會痛的神經訊息傳遞路徑為何? (A)脊髓前角→下視丘→額葉 (B)脊髓後角→丘腦→頂葉 (C)脊髓後角→下視丘→顳葉 (D)脊髓前角→丘腦→顳葉
19.脊髓膜的齒狀韌帶(denticulate ligament)位於何處? (A)硬膜與脊椎骨之間 (B)硬膜與蜘蛛膜之間 (C)蜘蛛膜與軟膜之間 (D)軟膜與脊髓之間
20.下列關於晶狀體(lens)之敘述,何者錯誤? (A)如同角膜,晶狀體中無血管 (B)白內障(cataract)是晶狀體的病變 (C)晶狀體形狀受睫狀突起的纖維所調控 (D)看近物時,瞳孔放大以增加晶狀體的曲度
21.色盲患者經常是那一類網膜細胞代謝作用不正常所致? (A)錐細胞(cone cell) (B)桿細胞(rod cell) (C)節細胞(ganglion cell) (D)色素層細胞(pigmented layer cell)
22.下列有關糖尿病之敘述,何者錯誤? (A)幼年型病人常為自主免疫反應引起 (B)患者有多吃、多喝、多尿之病徵 (C)Type II是嚴重依賴胰島素之糖尿病 (D)脂肪代謝產物之堆積,會引起酸中毒
23.心臟之前室間動脈(anterior interventricular artery)是由那一條動脈分支而來? (A)右冠狀動脈 (B)肺動脈 (C)左冠狀動脈 (D)冠狀竇
24.威利氏環(circle of Willis)的血液是供應給下列何者? (A)心 (B)肺 (C)腦 (D)腎
25.大腦額葉的血流,主要來自於下列何者? (A)上頜動脈 (B)內頸動脈 (C)外頸動脈 (D)椎動脈
26.供應食道與氣管的動脈,主要從那一條血管分支? (A)升主動脈 (B)主動脈弓 (C)降主動脈 (D)胸內動脈
27.下列何者可以承受較大的血液壓力? (A)肌肉型動脈 (B)彈性型動脈 (C)小動脈 (D)下腔靜脈
28.下列那一條靜脈會直接匯入股靜脈? (A)大隱靜脈(great saphenous vein) (B)小隱靜脈(small saphenous vein) (C)髂內靜脈(internal iliac vein) (D)腓靜脈(fibular vein)
29.構成呼吸膜(respiratory membrane)的肺泡壁細胞主要為: (A)第一型肺泡細胞(type I alveolar cell) (B)第二型肺泡細胞(type II alveolar cell) (C)克氏細胞(clara cell) (D)肺泡巨噬細胞(alveolar macrophage)
30.下列何者刺激迫尿肌(detrusor)收縮? (A)下腹神經 (B)會陰神經 (C)交感神經 (D)骨盆內臟神經
31.胃腺中的何種細胞產生的物質需透過血液來運送? (A)壁細胞 (B)黏液頸細胞 (C)主細胞 (D)G細胞
32.肝臟中具有吞噬功能的細胞為何? (A)肝細胞(hepatocyte) (B)庫弗氏細胞(Kupffer cell) (C)竇狀隙內皮細胞(sinusoid endothelium) (D)脂肪貯藏細胞(fat-storing cell)
33.分布於舌頭前2/3與後1/3交界處的大型乳頭體為: (A)蕈狀乳頭(fungiform papillae) (B)絲狀乳頭(filiform papillae) (C)輪廓乳頭(vallate papillae) (D)葉狀乳頭(foliate papillae)
34.支氣管芽(bronchial bud)由下列何者衍生形成? (A)第二咽囊(second pharyngeal pouch) (B)第二咽裂(second pharyngeal cleft) (C)前腸(foregut) (D)中腸(midgut)
35.下列何者之潮放(surge)會促進卵巢排卵? (A)雌激素(estrogen) (B)濾泡刺激激素(follicle-stimulating hormone) (C)黃體生成激素(luteinizing hormone) (D)催乳激素(prolactin)
36.吞嚥時,下列何者會蓋住喉管的入口? (A)甲狀軟骨 (B)環狀軟骨 (C)會厭軟骨 (D)杓狀軟骨
37.下列何種狀況會使分子穿過細胞膜的速率趨緩? (A)轉運子(transporter)或攜帶蛋白(carrier)的數目大幅增加 (B)轉運子(transporter)或攜帶蛋白(carrier)的結構改變速率增加 (C)轉運子(transporter)或攜帶蛋白(carrier)使用GTP的能力下降 (D)轉運子(transporter)或攜帶蛋白(carrier)的結合位置被占滿或飽和
38.關於前庭系統(vestibular system)中毛細胞(hair cell)的敘述,下?何者最正確? (A)身體靜止時,所有毛細胞均產生去極化(depolarization) (B)當身體瞬間加速時,所有毛細胞會因彎曲,產生去極化(depolarization) (C)當身體瞬間加速時,所有毛細胞會因彎曲,產生過極化(hyperpolarization) (D)毛細胞會因身體進行不同特定方向移動時,產生去極化(depolarization)或過極化 (hyperpolarization)反應
39.關於非快速動眼睡眠(non-rapid eye movement sleep, NREM sleep)之敘述,下列何者正 確? (A)常伴隨作夢 (B)由淺睡到熟睡,可區分為四期 (C)腦電波圖(electroencephalogram)的波形與警覺清醒的狀態類似 (D)除了眼球的肌肉之外,骨骼肌的張力大幅降低
40.下列何者與產生情緒經驗(emotional experience)最有關? (A)小腦(cerebellum) (B)感覺運動皮質(sensorimotor cortex) (C)腦幹(brain stem) (D)邊緣系統(limbic system)
41.在生理狀態下,下列敘述何者最正確? (A)感覺神經接受區(receptive field)越大,感覺便越精準 (B)感覺神經接受區(receptive field)越小,感覺便越精準 (C)在感覺神經接受區(receptive field)的範圍內,刺激產生的動作電位頻率與距離細胞本體 遠近無關 (D)感覺神經越多,感覺敏銳度越差
42.下列何者是錐體系統(pyramidal system)的主要功能? (A)控制身體軀幹的肌肉收縮以維持直立的姿勢、平衡和行走 (B)控制手指肌肉收縮以執行精細準確的動作 (C)誘發意向性震顫(intention tremor) (D)誘發膝跳反射(knee jerk reflex)
43.關於重症肌無力症(myasthenia gravis)之描述,下列何者最正確? (A)是運動終板(motor end plate)上的nicotinic acetylcholine receptor功能受損 (B)其運動終板電位(motor end plate potential)正常 (C)運動神經元軸突末端(axon terminal)釋放的acetylcholine減少 (D)acetylcholinesterase activator可以用以治療本疾病
44.有關代謝率之敘述,下列何者最正確? (A)代謝率高時較容易感到飢餓 (B)老年人代謝率高於年輕人 (C)女性代謝率高於男性 (D)睡眠時代謝率高於清醒時
45.於心臟等容舒張末期,房室瓣打開前,下列何者壓力最低? (A)左心室壓 (B)左心房壓 (C)主動脈壓 (D)肺靜脈壓
46.請問下列何者在血液中濃度增加與微血管壓力增加最有關? (A)維生素(vitamin) (B)白蛋白(albumin) (C)睪固酮(testosterone) (D)組織胺(histamine)
47.心肌細胞收縮時,肌動蛋白與肌凝蛋白形成橫橋的數目是由下列何種離子所調控? (A)鈉 (B)鉀 (C)鈣 (D)鎂
48.正常情況下,被吸入卻無法進行氣體交換的氣體量最接近下列何者? (A)肺泡死腔(alveolar dead space) (B)解剖死腔(anatomical dead space) (C)功能性肺餘容量(functional residual capacity) (D)肺餘容積(residual volume)
49.下列關於二氧化碳於血液中運送的敘述,何者錯誤? (A)主要是以重碳酸氫根離子(HCO
3
-
)型態運送 (B)可與血紅素結合,形成碳醯胺基化合物(carbamino compounds) (C)可直接溶解於血漿中 (D)重碳酸氫根離子(HCO
3
-
)可與血紅素結合,調節酸鹼平衡
50.下列何者可直接幫助腎髓質高滲透度梯度的建立? (A)氫幫浦(H
+
pump) (B)鈉/氫交換器(Na
+
/H
+
exchanger) (C)鈉-鉀-氯運送器(Na
+
-K
+
-2Cl
-
transporter) (D)鈉/鈣交換器(Na
+
/Ca
2+
exchanger)
51.使用非類固醇抗發炎藥物,可抑制腎內何種物質之產生,而造成腎絲球過濾率的改變? (A)一氧化氮(nitric oxide) (B)前列腺素(prostaglandin) (C)內皮素(endothelin) (D)血管張力素(angiotensin Ⅱ)
52.下列有關腸道神經控制的敘述,何者錯誤? (A)副交感神經系統興奮造成腸道括約肌放鬆 (B)副交感神經系統興奮造成腸道肌肉收縮 (C)交感神經系統興奮造成腸道括約肌肉收縮 (D)交感神經系統興奮造成腸道肌肉收縮
53.下列敘述何者錯誤? (A)損壞第5、9及10對腦神經可引發吞嚥困難 (B)吞嚥中樞在脊髓 (C)吞嚥肌肉萎縮可引發吞嚥困難 (D)重症肌無力是神經肌肉傳遞的障礙
54.月經週期中,在濾泡期(follicular phase)一開始,何種激素分泌量增加最明顯? (A)FSH (B)estrogen (C)progesterone (D)LH
55.下列何者與性別決定最無關? (A)Ychromosome (B)SRY gene (C)testis-determining factor (D)testosterone
56.下列何者不是血管張力素II(angiotensin II)的生理作用? (A)刺激醛固酮(aldosterone)分泌 (B)增加血液容積 (C)血管收縮 (D)血壓下降
57.胰臟蘭氏小島中的β細胞分泌下列何種激素? (A)升糖素(glucagon) (B)胰島素(insulin) (C)體抑素(somatostatin) (D)抑制素(inhibin)
58.一隻狗經由靜脈注射對抗升糖素的抗體(anti-glucagon antibody),牠的血液中將發生下列 何種變化? (A)血糖增加 (B)胰島素增加 (C)胰島素降低 (D)胰島素不變
59.有關先天性免疫反應(innate immune responses)的敘述,下列何者正確? (A)透過辨識特定的致病原來對抗外來細胞的入侵 (B)辨認外來微生物細胞壁上的特定碳水化合物或脂肪所引起的免疫反應 (C)會有抗體產生 (D)淋巴球在先天性免疫反應中扮演重要角色
60.下列何者為初級淋巴器官(primary lymphoid organ)? (A)胸腺(thymus) (B)脾臟(spleen) (C)扁桃腺(tonsils) (D)淋巴結(lymph nodes)
61.組織發生急性炎症反應時,則下列敘述何者錯誤? (A)血管受thromboxane等影響而收縮 (B)血管受prostacyclin等影響而舒張 (C)降低血管通透性 (D)白血球聚積
62.何種情況會減低胃腸道之防禦能力,使個體易受細菌感染? (A)胃酸濃度過高 (B)濫用抗生素致胃腸道正常菌叢(normal flora)改變或不平衡 (C)膽汁分泌過多 (D)便秘
63.傷口癒合須適當之膠原纖維合成,且必須有足夠的: (A)膽固醇 (B)腎上腺皮質類固醇 (C)維生素C (D)維生素E
64.凝血第八因子缺乏(A型血友病)的遺傳方式是: (A)自體顯性遺傳異常 (B)自體隱性遺傳異常 (C)自體共顯性遺傳異常(autosomal codominant) (D)X-聯結異常(X-linked disorder)
65.下列有關嬰幼兒與成人常見的惡性腫瘤的敘述,何者錯誤? (A)嬰幼兒常見的惡性腫瘤常見於造血系統、神經組織以及軟組織 (B)成人惡性腫瘤多見於肺、前列腺、大腸 (C)胎兒及新生兒的惡性腫瘤可以有自動消退或進一步細胞分化的傾向 (D)雖經多年研究,但兒童期惡性腫瘤的存活率治療結果仍然很差,進步有限
66.臨床評估惡性腫瘤,由轉移與否來決定腫瘤的: (A)分級(grading) (B)分期(staging) (C)分類(histologic type) (D)分化(differentiation)
67.心臟發育時若受到不當之影響,會造成先天性心臟病,其最關鍵的懷孕時期為: (A)第一個三月期(first trimester) (B)第二個三月期(second trimester) (C)第三個三月期(third trimester) (D)第四個三月期(fourth trimester)
68.在痰中看到Curschmann spiral時,要考慮此病人可能患有何種疾病? (A)氣喘病(asthma) (B)肺膨脹不全(atelectasis) (C)支氣管擴張症(bronchiectasis) (D)肺氣腫(emphysema)
69.有關急性呼吸窘迫症(acute respiratory distress syndrome)的致病機轉,下列何者擔任重 要角色? (A)漿細胞 (B)嗜伊紅性白血球 (C)中性白血球 (D)嗜鹼性白血球
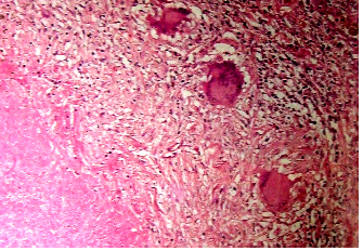
70.附圖所顯示肺部切片顯微鏡下的變化是下列何種疾病?
(A)腺癌(adenocarcinoma) (B)鱗狀細胞癌(squamous cell carcinoma) (C)結核病(tuberculosis) (D)大葉性肺炎(lobar pneumonia)
71.胃腸道間質細胞瘤(gastrointestinal stromal tumor)與下列何種基因最有關? (A)APC (B)KIT (C)p53 (D)RAS
72.下列何機轉與逆流性食道炎(reflux esophagitis)較無關? (A)滑動性裂孔疝氣(sliding hiatal hernia) (B)大量胃內容物 (C)食道對胃酸有很強的修復率 (D)食道之抗逆流機制下降
73.下列有關自體免疫性肝炎(autoimmune hepatitis)的敘述何者錯誤? (A)好發於男性 (B)肝炎病毒血清標記呈陰性 (C)血清內IgG濃度升高(大於2.5 g/dL) (D)HLA-B8比例較高
74.Hemochromatosis是指下列何種物質代謝發生問題? (A)銅 (B)鐵 (C)鉀 (D)鋅
75.一位8歲小女孩因長期臉色蒼白和發育不良而就醫,血液檢查發現紅血球數目及血紅素皆下 降,血紅素球蛋白電泳發現缺乏甲型血紅素球蛋白(α-globin)。則下列何者是最可能的診 斷? (A)再生不良性貧血 (B)缺鐵性貧血 (C)地中海型貧血 (D)鐮刀形血球性貧血
76.下列何種乳癌最易造成乳頭凹陷,且皮膚皺褶似橘皮? (A)乳突癌(papillary carcinoma) (B)侵襲性乳管癌(invasive ductal carcinoma) (C)乳管原位癌(ductal carcinoma in situ) (D)小葉原位癌(lobular carcinoma in situ)
77.下列何種病變最容易發生在輸卵管? (A)扭轉 (B)惡性腫瘤 (C)子宮外孕 (D)先天發育異常
78.因車禍腦部受傷造成腦下垂體後葉功能失衡,將因分泌ADH過量而發生下列何病症? (A)高血鈣症 (B)低血鈉症 (C)高血糖症 (D)低血壓症
79.下列何種星狀細胞瘤(astrocytoma)的預後比較好? (A)毛狀細胞星狀細胞瘤(pilocytic astrocytoma) (B)瀰漫性星狀細胞瘤(diffuse astrocytoma) (C)退行分化性星狀細胞瘤(anaplastic astrocytoma) (D)多形性神經膠母細胞瘤(glioblastoma multiforme)
80.下列有關阿茲海默氏病(Alzheimer disease)的敘述,何者錯誤? (A)好發於50歲之後 (B)最初症狀以運動功能受損為表現方式 (C)可退化到失智狀態 (D)大腦呈明顯萎縮、腦迴變寬、腦室擴大
申論題 (0)
相關試卷
115年 - 115-1 專技高考_醫事放射師:基礎醫學(包括解剖學、生理學與病理學)#137332
115年 · #137332
114年 - 114-2 專技高考_醫事放射師:基礎醫學(包含解剖學、生理學與病理學)#128936
114年 · #128936
114年 - 114-1 專技高考_醫事放射師:基礎醫學(包括解剖學、生理學與病理學)#125105
114年 · #125105
113年 - 113-2 專技高考_醫事放射師:基礎醫學(包括解剖學、生理學與病理學)#121646
113年 · #121646
113年 - 113-1 專技高考_醫事放射師:基礎醫學(包括解剖學、生理學與病理學)#118702
113年 · #118702
112年 - 112-2 專技高考_醫事放射師:基礎醫學(包括解剖學、生理學與病理學)#115878
112年 · #115878
112年 - 112-1 專技高考_醫事放射師:基礎醫學(包括解剖學、生理學與病理學)#113165
112年 · #113165
111年 - 111-2 專技高考_醫事放射師:基礎醫學(包括解剖學、生理學與病理學)#109908
111年 · #109908
111年 - 111-1 專技高考_醫事放射師:基礎醫學(包括解剖學、生理學與病理學)#106179
111年 · #106179
110年 - 110 臺灣菸酒股份有限公司_從業職員及從業評價職位人員甄試_從業評價職位人員/護理:基礎醫學概要#111388
110年 · #111388