所屬科目:臨床血液學與血庫學
1.下列關於Hb F之敘述,何者錯誤? (A)新生兒主要的Hb是Hb F(B)β-thalassemia major主要的Hb是Hb F(C)可利用high-performance liquid chromatography將Hb F與Hb A和A2分開(D)相較於Hb A,Hb F對酸較敏感而對鹼較不敏感
2.國人最常用的血色素電泳法是以下列何者為介質? (A)citrate agar(B)cellulose acetate(C)agarose(D)polyacrylamine
3.Hb SS病人的血色素電泳除可以見到大量的Hb S存在外,還可以見到約10~15%的: (A)Hb A(B)Hb A2(C)Hb C(D)Hb F
4.下列何者是embryonic hemoglobin的分子結構?①α2 δ2 ②ζ 2ε 2 ③α2γ 2 ④ζ 2γ 2 ⑤α2β2 ⑥α2ε 2(A)①②③(B)②④⑥(C)①③⑤(D)③④⑤
5.某病人嗜睡、臉色蒼白,並有輕微心跳加快,被送到急診處。血液報告顯示血紅素和血容積比明顯的下降,平 均紅血球體積(MCV)增加,有巨血小板及多葉嗜中性白血球,則此病人最有可能是缺乏下列何者?(A)cobalophilin(B)pepsin(C)intrinsic factor(D)transcobalamin
6.鉛會抑制紅血球中的何種酵素,導致紅血球內堆積許多變性的RNA? (A)glutathione reductase(B)pyrimidine 5' nucleotidase(C)lactic acid dehydrogenase(D)pyruvate kinase
7.Reticulocytosis出現於下列何種情況? (A)refractory anemia(B)iron deficiency anemia(C)aplastic anemia(D)autoimmune hemolytic anemia
8.下列關於缺鐵性貧血的檢驗結果,何者錯誤? (A)serum iron下降(B)TIBC下降(C)serum ferritin下降(D)hemoglobin下降
9.osmotic fragility test可用於確定診斷下列何種疾病? (A)hereditary spherocytosis(B)thalassemia(C)polycythemia(D)paroxysmal nocturnal hemoglobinuria
10.Protoporphyrin合成過程中,下列何者是最主要決定速率的關鍵酶? (A)δ-aminolevulinic acid synthase(B)succinyl coenzyme A(C)adenosine deaminase(D)pyruvate kinase
11.下列何者是紅血球的能量來源? (A)酮體(ketone bodies)(B)葡萄糖(glucose)(C)脂肪酸(fatty acid)(D)乳酸(lactic acid)
12.Heinz bodies是由下列何者所構成? (A)氧化變質的血紅素(B)DNA的殘留體(C)變性的RNA(D)鐵質
13.某病人之reticulocyte count = 7 % 和 Hct= 20 %,其corrected reticulocyte count為何? (A)1.4 %(B)3.1 %(C)3.5 %(D)14%
14.下列何種異常紅血球與細胞膜結構缺失無關?(A)spherocyte(B)target cell(C)siderocyte(D)acanthocyte
15.在骨髓血液抹片中,能辨識之最早期紅血球系列細胞為何? (A)BFU-E(B)CFU-E(C)pronormoblast(D)reticulocyte
16.有關紅血球的生成,下列敘述何者錯誤? (A)人體每天約製造1012顆新的紅血球(B)肝臟是調控紅血球生成的主要器官(C)高海拔居民紅血球生成數目比低海拔的高(D)出生後紅血球主要由骨髓製造
17.發生溶血,正常成人之骨髓會有補償效應,其造血速率最高能達平時的幾倍? (A)1~2(B)3~4(C)6~8(D)10~20
18.紅血球生成素(erythropoietin; EPO)不會作用於下列何細胞? (A)late BFUE(B)CFUE(C)pronormoblast(D)erythrocyte
19.下列那些染色方法常用來觀察Hb H disease的紅血球內涵體?①new methylene blue ②Prussian blue ③brilliant cresyl blue ④trypan blue(A)①③(B)②④(C)③④(D)①②
20.下列各造血系列細胞中,何者為其他三者的前驅細胞? (A)BFUE(B)CFUE(C)CFUGEMM(D)CFUGM
21.下列何因子致使紅血球變成鎌刀形? (A)鐵含量增加(B)血紅素下降(C)生食蠶豆(D)低氧
22.Nucleophosmin(NPM1)基因的突變最常發生於下列何種疾病? (A)acute myeloid leukemia(B)chronic myeloid leukemia(C)chronic lymphocytic leukemia(D)multiple myeloma
23.下列有關基因功能和其相關疾病之敘述,何者錯誤? (A)t (9;22)之ABL基因的蛋白質為serine-threonine kinase(B)t (8;14)之MYC基因的蛋白質為transcription factor(C)t (14;18)之BCL-2基因的蛋白質與抑制apoptosis有關(D)t (15;17)之RARA基因的蛋白質與transcription有關
24.下列何種細胞化學染色,對於區分急性淋巴性白血病(acute lymphoblastic leukemia)與急性骨髓性白血病 (acute myeloid leukemia)最有幫助?(A)過氧化酶染色(myeloperoxidase stain)(B)tartrate抗性酸性磷酸酶染色(tartrate-resistant acid phosphatase stain)(C)非特異性esterase染色(non-specific esterase stain)(D)白血球鹼性磷酸酶染色(leukocyte alkaline phosphatase stain)
25.Sudan black stain和myeloperoxidase stain分別是用來染細胞內之何種成分? (A)protein;chloroacetate esterase(B)phospholipid;peroxidase(C)carbohydrate;acid phosphatase(D)glucose;peroxidase
26.下列何者是不會在Burkitt lymphoma病患出現的基因異常? (A)t(8;14)(B)t(8;22)(C)t(2;8)(D)t(8;21)
27.下列何種抗原常存在於myeloma cell,而正常的plasma cell通常沒有? (A)CD56(B)CD38(C)CD138(D)cytoplasmic light chain
28.下列何種細胞標記對於acute megakaryocytic leukemia診斷最有幫助? (A)CD13(B)CD19(C)CD117(D)CD41
29.白血病患者做化學治療時會造成血癌細胞碎裂,因此最容易干擾全血計數(CBC)中的下列那一個項目? (A)hemoglobin(B)MCH(C)platelet(D)MCV
30.Adult T cell leukemia及infectious mononucleosis分別與下列何種微生物感染有關? (A)HTLV-1及EBV(B)HTLV-2及toxoplasma(C)cytomegalovirus及HIV(D)herpes simplex及pertussis
31.補體系統中membrane attack complex的分子為何? (A)C4b2a(B)C4b2a3b(C)C5b-6-7-8(D)C5b-6-7-8-9
32.慢性淋巴性白血病(chronic lymphocytic leukemia)通常不會表現下列何種表面標記? (A)CD5(B)CD7(C)CD19(D)CD23
33.Tartrate-resistant acid phosphatase(TRAP)染色,最常用於診斷下列何種疾病? (A)Burkitt lymphoma(B)chronic lymphocytic leukemia(C)systemic mastocytosis(D)hairy cell leukemia
34.下列何種類型的抗體在多發性骨髓瘤中所佔的比例最高? (A)IgA(B)IgG(C)IgM(D)IgD
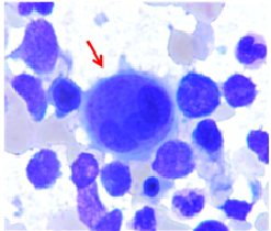
35.箭頭所指的細胞最有可能是下列何者? (A)plasma cell(B)metamyelocyte(C)large granular lymphocyte(D)normoblast
36.箭頭所指的細胞最有可能是下列何者? (A)micromegakaryocyte(B)dendritic cell(C)plasma cell(D)normoblast
37.箭頭所指的,最可能是下列何種細胞? (A)monocyte(B)promyelocyte(C)large granular lymphocyte(D)pseudo Pelger-Huët cell
38.下列關於嗜酸性白血球增多症(eosinophilia)的敘述,何者錯誤? (A)可能會由於第五染色體異常,產生FIP1L1-PDGFRA融合基因所致(B)會出現在過敏疾病、寄生蟲感染的患者(C)會由於使用GM-CSF治療而引起(D)正常成人血液中嗜酸性白血球的量為0.04~0.4×109/L
39.下列有關原發性骨髓纖維化(primary myelofibrosis)的敘述,何者錯誤? (A)JAK2基因V617F的突變,可見於90%以上的病人(B)有可能發生MPL基因W515位點的突變,比率約5%(C)此病必須與次發性的骨髓纖維化作區隔,有些腫瘤,例如轉移性的乳癌、肺癌等,也會造成骨髓纖維化(D)此病的確認診斷必須排除BCR-ABL之融合基因的存在
40.下列關於heparin的敘述,何者錯誤? (A)藉由結合antithrombin III增強抗凝血反應(B)抑制凝血酶及factor Xa(C)heparin治療濃度應維持在APTT基準值之1.5~2.5倍(D)chondroitin sulfate可抑制其活性
41.LMWH(low molecular weight heparin)與UFH(unfractionated heparin)相較,下列敘述何者錯誤? (A)LMWH的生物利用度(bioavailability)較佳(B)LMWH的半衰期較長(C)兩者皆有抑制血小板作用的功能(D)APTT是監測UFH治療時的檢測方法
42.有關自體免疫性第八凝血因子抗體之敘述,下列何者正確? (A)主要成因是病人輸注第八凝血因子造成的一種自體免疫反應的結果(B)執行病人血漿的APTT檢驗,在37℃混合試驗會出現無法矯正的結果(C)病人無出血症狀(D)大部分屬於高濃度自體免疫抗體
43.有關vWF功能的敘述,下列何者錯誤? (A)攜帶factor VIII(B)輔助血小板參與初步止血(primary hemostasis)(C)與血小板細胞表面醣蛋白IIa/IIIb結合(D)嚴重缺乏時會造成出血
44.下列何種vWD之臨床出血症狀類似重度血友病? (A)第一型(B)第二型(C)第三型(D)第一及三型
45.有關thrombopoietin的敘述,下列何者正確? (A)主要由內皮細胞製造釋放(B)可以刺激platelet活化(C)可以刺激megakaryopoiesis(D)臨床上廣泛使用於治療Glanzmann thrombasthenia
46.血小板中的何種酵素與thromboxane A2製造有關? (A)Peroxidase(B)Cyclooxygenase I(C)Chymotrypsin(D)Phosphatase
47.有關platelet function analyzer-100(PFA-100)檢驗之敘述,下列何者錯誤? (A)可以篩檢vWD(B)可以作為血小板功能篩檢試驗(C)可以預測手術後出血狀況(D)使用ADP或epinephrine作為誘導血小板凝集的試劑
48.下列關於血小板疾病的敘述,何者正確? (A)Glanzmann thrombasthenia是因為缺乏GPIb(B)Bernard Soulier syndrome是因為缺乏GPIIb(C)Glanzmann thrombasthenia又稱為「gray platelet syndrome」(D)Bernard Soulier syndrome病人的血小板會明顯比正常大
49.下列何者不是Glanzmann thrombasthenia的特點? (A)Ristocetin引發血小板凝集減少(B)血小板缺乏GPIIb/IIIa(C)臨床表徵以出血為主(D)Bleeding time延長
50.下列何者不屬於體染色體顯性遺傳的血小板減少症? (A)Bernard Soulier Syndrome(B)Gray platelet syndrome(C)May-Hegglin anomaly(D)Paris-Trousseau syndrome
51.下列有關維生素K依賴型凝血因子之敘述,何者正確? (A)為血液凝固過程的輔因子(B)為heparin治療時的抗凝標的(target)(C)可被protamine sulfate吸附(D)具有Gla domain
52.有關先天性Factor XIII缺乏症之敘述,下列何者正確? (A)出血症狀很輕微(B)APTT延長(C)PT延長(D)Urea solubility test時間縮短(<1 hour)
53. 有關fibrinopeptide B之敘述,下列何者正確?(A)Fibrinolysis之生物標記(B)屬於fibrin degradation products(C)是thrombin作用後之產物(D)是plasmin作用後之產物
54.下列何者不會導致凝血檢驗的PT延長? (A)A型血友病(B)口服coumarin藥物(C)嚴重肝硬化(D)維生素K缺乏
55.當檢體出現thrombin time延長,但reptilase time正常,可能的判讀結果為何? (A)病人fibrinogen濃度下降(B)病人使用heparin治療(C)病人使用aspirin治療(D)病人發生溶血(fibrinolysis)
56.最常出現small platelet的遺傳性血小板減少症,為下列何者? (A)Bernard Soulier syndrome(B)ADAMTS-13缺乏(C)vWD type 2B(D)Wiskott-Aldrich syndrome
57.下列有關platelet factor 3的敘述,何者正確? (A)促進血栓溶解(B)抑制heparin活性(C)主成分為磷脂(D)由內皮細胞合成分泌
58.下列何種儀器可以檢測血小板閉鎖時間(closure time)? (A)Platelet function analyzer(PFA)-100(B)Light transmittance platelet aggregometry(C)Thromboelastography(D)Flow cytometry
59.以高濃度ADP(5 µM)誘導血小板凝集之敘述,下列何者正確? (A)反應曲線出現兩個primary wave(B)反應曲線可見兩個secondary wave(C)常見單一高原期(plateau)反應平滑曲線(D)出現可逆反應曲線且無高原期(plateau)
60.被稱為"labile factor"的凝血因子是︰ (A)Factor V(B)Factor VII(C)Factor VIII(D)Factor XII
61.關於凝血因子在血漿中的濃度高低的排列,下列何者正確? (A)Factor VII>Factor I>Factor IX(B)Factor X>Factor IX>Factor II(C)Factor II>Factor VIII>Factor IX(D)Factor I>Factor IX>Factor VIII
62.唾液試驗結果如下表,依此檢驗結果,可以認定此受檢者為: (A)A型分泌型(B)不分泌型,故唾液試驗無法得知血型(C)B型分泌型(D)無法判斷須重作檢驗
63.病患輸血前的配合試驗所用的檢體,最遲應在輸血前多久採集? (A)3天內(B)5天內(C)7天內(D)2週內
64.酵素處理後,抗原反應變弱的血型系統為: (A)P(B)MNS(C)Rh(D)Lewis
65.下列何種植物的lectin帶有anti-A1的活性? (A)Ulex europaeus(B)Dolichos biflorus(C)Helix pomnatia(D)Viciagraminea
66.有關冷型抗體anti-IH與不同血球反應結果,下列何者最符合? (A)adult O cells(4+)、adult A cells(+)、O type cord cells(+)(B)adult O cells(+)、adult A cells(+)、O type cord cells(3+)(C)adult O cells(4+)、adult A cells(4+)、O type cord cells(+)(D)adult O cells(4+)、adult A cells(+)、O type cord cells(4+)
67.控制表現B血型之基因,主要製造的蛋白質為: (A)fucosyltransferase(B)N-acetylgalactosaminyltransferase(C)galactosyltransferase(D)glucosyltransferase
68.病人在五年前發現有anti-Jka,但在這一次抗體篩檢呈現陰性,則血庫人員應如何處理? (A)輸血前篩檢測試,加測病人之Jka抗原(B)照一般程序作交叉測試,給病人輸用交叉試驗相合之血液(C)只取用Jka抗原陰性血袋來做交叉試驗,給病人輸用交叉試驗相合血液(D)給病人O型Rh陰性的血液
69.ABO血型抗體引起之新生兒溶血症,最易發生於下列何種母子之血型配對情形? (A)母A型,子B型(B)母AB型,子A型(C)母O型,子A型(D)母B型,子O型
70.在台灣引起即時性血管內溶血之輸血反應,不可能由下列何種抗體所引起? (A)ABO抗體(B)anti-Mia(C)anti-K(D)anti-Lea
71.血小板貯存隨著時間會有的變化為何? (A)pH值上昇,swirling現象消失(B)pH值下降,swirling現象消失(C)pH值上昇,swirling現象增加(D)pH值下降,swirling現象增加
72.下列有關洗滌紅血球之敘述,何者錯誤? (A)適用於多次過敏者輸血(B)適用於陣發性夜間血色素尿症(PNH)(C)適用於IgA缺乏的病人(D)保存期限為35天
73.使用冷凍血漿時需在下列何溫度下解凍? (A)4℃(B)20℃(C)37℃(D)56℃
74.冷凍沉澱品血液製劑含有下列那些凝血因子?①Factor I ②Factor II ③Factor VIII ④Factor XIII (A)①②④(B)①③④(C)①②③(D)②③④
75.下列何者是最適合貯存冷凍沉澱品的溫度? (A)0℃(B)4℃(C)-10℃(D)-25℃
76.嚴重肝衰竭合併凝血因子不足時,決定新鮮冷凍血漿輸注頻率之凝血因子為: (A)Factor VII(B)Factor VIII(C)Factor II(D)Factor IX
77.常出現於下列何種疾病? (A)multiple myeloma(B)Burkitt lymphoma(C)follicular lymphoma(D)hairy cell leukemia
78.承上題,此種疾病常有下列何種染色體變化? (A)t(8;14)(q24;q32)(B)t(11;14)(q13;q32)(C)t(14;18)(q32;q21)(D)t(12;21)(p13;q22)
79.Lactoferrin藉由結合下列何種細菌生長所需的離子而達到抑制細菌生長的效果? (A)Mg2+(B)Ca2+(C)Mn2+(D)Fe2+
80.承上題,lactoferrin主要存在於嗜中性白血球的下列何種結構中? (A)初級顆粒(B)次級顆粒(C)核醣體(D)粒線體