所屬科目:牙醫學(二)(包括口腔病理學、牙科材料學、口腔微生物學、牙科藥理學等科目及其臨床相關知識)
8.如下圖所示,患者鼻孔及口周圍的多發性紅色丘疹,最可能為下列何者? (A)著色性乾皮病(xeroderma pigmentosum) (B)浦茲-詹賀症候群(Peutz-Jeghers syndrome) (C)環口皮膚炎(perioral dermatitis) (D)光照性口炎
16. 53歲女性,於兩週前發現左舌根側緣處有如圖之無痛性腫塊,患者無菸酒檳榔之習慣,且無咬傷,則最適當之診斷為下列何者? (A)化膿性肉芽腫(pyogenic granuloma) (B)刺激性纖維瘤(irritation fibroma) (C)黏液囊腫(mucocele) (D)淋巴樣增殖(lymphoid hyperplasia)
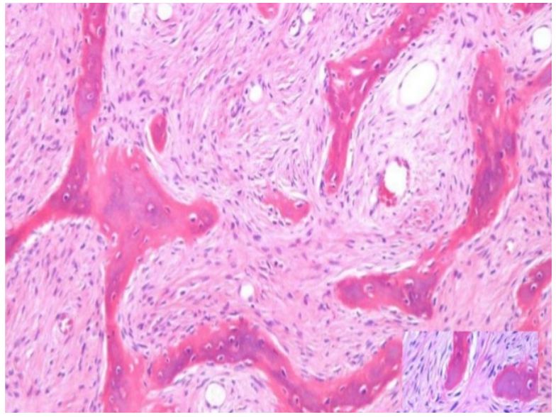
18. 45歲女性,左上顎無牙區有無痛的腫塊且表面黏膜完整,X光影像呈現毛玻璃樣(ground-glass)的變化,病 灶鏡下呈現如下圖。則此病變最可能為下列何者? (A)骨化纖維瘤(ossifying fibroma) (B)纖維性發育不良(fibrous dysplasia) (C)繁盛性牙骨質-骨質發育不良(florid cemento-osseous dysplasia) (D)骨質疏鬆症(osteoporosis)
19.患者主訴左下顎牙齦輕微腫脹且第二大臼齒動搖,黏膜表面完整,根尖放射線檢查如附圖一,切片檢查發現 如附圖二中所示,下列何者為最佳之診斷? (A)棘皮瘤性造釉細胞瘤(ameloblastoma, acanthomatous type) (B)慢性牙周炎(chronic periodontitis) (C)骨內鱗狀細胞癌(intraosseous squamous cell carcinoma) (D)鱗狀齒源性腫瘤(squamous odontogenic tumor)
24.45歲男性因下唇黑色斑塊求診,臨床所見如附圖一,切片檢查如附圖二,其正確診斷為下列何者? (A)黑斑(melanotic macule) (B)接合痣(junctional nevus) (C)藍痣(blue nevus) (D)黑色素瘤(melanoma)
30.何者最能代表牙本質(Dentin)與牙釉質(Enamel)受力到破壞的應力-應變曲線? (A) (B) (C) (D)