所屬科目:臨床生理學與病理學
3.下列心電圖的判讀何者錯誤? (A)有竇性心律不整(B)有心室早期收縮(C)有心房早期收縮(D)心跳速率不規則
9.下列心電圖最不可能是何種診斷? (A)急性下壁心肌梗塞 (B)右冠狀動脈發生病變的機會比左冠狀動脈大 (C)心包膜炎 (D)心室逃漏性心律(ventricular escape rhythm)
23.一位糖尿病患者腹痛數日,血液氣體分析結果為血液氣體分析結果為 pH 7.26、 :28.6 mmHg、 :90 mmHg、:11.0 mmol/L,下列診斷結果何者最合理? (A)慢性呼吸性酸中毒 (B)慢性代謝性鹼中毒 (C)急性呼吸性酸中毒 (D)急性代謝性酸中毒
27.下列何種姿勢下的一氧化碳肺瀰散量()最大? (A)坐姿 (B)站姿 (C)平躺 (D)側躺
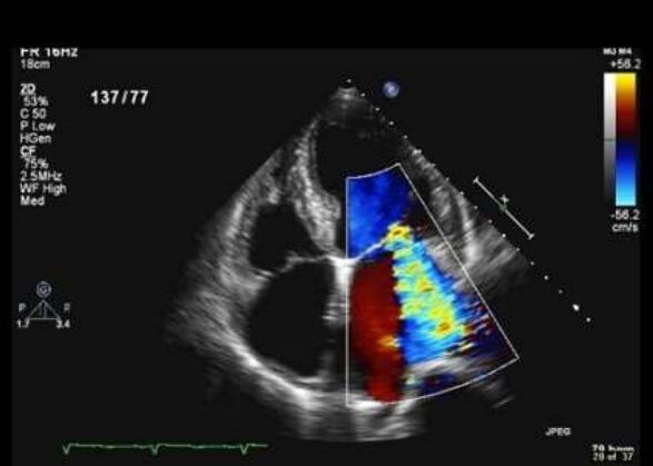
33.如圖所示,依此心臟超音波可以得到的資訊 依此心臟超音波可以得到的資訊,下列何者錯誤? (A)左心房擴大 (B)有主動脈瓣狹窄 (C)有明顯二尖瓣膜逆流 (D)沒有心包膜積水
34.超音波音波阻抗(acoustic impedance) )的定義為: (A)介質密度÷傳導速度 (B)傳導速度×介質密度 (C)傳導速度÷介質密度 (D) 介質密度÷
52.惡性貧血(pernicious anemia)與下列何者缺乏最相關? (A)維生素 C (B)維生素 A (C)維生素 (D)鐵