所屬科目:獸醫傳染病學
2.下圖為 Toxoplasma gondii 生活史那一階段? (A)tachyzoites (B)bradyzoites (C)unsporulated oocyst (D)sporulated oocyst
5.下圖為豬隻傳染病引起之病變,推測致病原因是 Bordetella bronchiseptica,其與下列何病原的感染最為相關?(A)Salmonella Typhimurium (B)Escherichia coli (C)Pasteurella multocida (D)Staphylococcus aureus
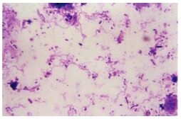
6.肥育豬有消瘦、下痢情形,糞便含有黏液、血液、纖維素及壞死的組織碎片,鏡檢可見如圖所示之螺旋體 菌,其在血液培養基可生長並造成溶血。最可能感染下列那一種疾病?(A)豬赤痢 (B)豬丹毒 (C)增生性腸病 (D)沙門氏菌症
65.銀紋笛鯛體表肉眼檢查如下圖所示,其病原下列何者最有可能? (A)argulus (B)lernaea (C)leech (D)sea lice
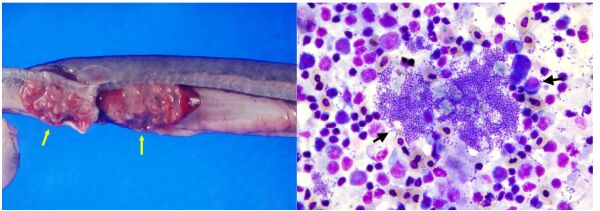
72.罹病鰻魚,臨床剖檢肉眼病變與組織抹片如下圖所示,該鰻魚最有可能受到下列何種病原感染? (A) Edwardsiella tarda (B)Vibrio anguillarum (C)Aeromonas hydrophila (D)Pseudomonas anguilliseptica
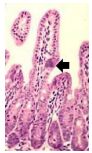
77.下圖小鼠腸道組織病變,最可能由下列何種病原所引起? (A)lactate dehydrogenase-elevating virus (B)mouse hepatitis virus (C)ectromelia virus (D)lymphocytic choriomeningitis virus