所屬科目:進階專科護理-麻醉科
1. 有關腸道營養( enteral nutrition )的一般原則,下列敘述何者正確?
①假如病人情況允許,靜脈營養應優先於腸道營養
②管路灌食有腹瀉情形時,應使用止瀉藥及減少纖維素含量
③鼻胃管放置錯位,包括插進氣管、支氣管,常發生在昏迷的病人
④有長期管灌需求的病人,可以建議放置胃造廔管 (A) ①② (B) ②③ (C) ③④ (D) ①④
2. 一位58歲男性罹患糖尿病15年,目前口服藥物控制,下列何者 不是 營養狀態評估的指標? (A) BMI (B) albumin (C) HbA1c (D) hemoglobin
3. 有關嚴重高血鉀合併心電圖改變的醫療處置,下列敘述何者 不適當 ? (A) 靜脈輸注葡萄糖酸鈣( calcium gluconate ),可以有效降低血清鉀離子濃度 (B) 胰島素(regular insulin )與葡萄糖靜脈注射,可以使鉀離子移入細胞 (C) 以NaHCO3等滲溶液靜脈輸注,可以改善代謝性酸中毒 (D) 以 β2腎上腺素促效劑,可以促進細胞對鉀的攝取
4. 有關成年人的營養需求,下列敘述何者不適當? (A) 蛋白質攝取量每日0.8 g/ kg,可以滿足97%成年人的需求 (B) 對於重症病人,蛋白質攝取量至少每日1.2g/kg,以減少瘦體身體(lean body)質量流失 (C) 身體質量指數25 - 29 kg/m2的成年人,其熱量需求為21 - 25kcal/kg/ day (D) 某些組織(如骨髓、眼睛等)不能代謝脂肪酸,需以葡萄糖(每日約40g)作為能量來源
5. 有關病毒性腦炎( encephalitis)感染,下列敘述何者 不適當 ? (A) 第一型單純皰疹病毒(HSV- 1)為最常見和最重要的病原 (B) 臨床表現為發燒、意識狀態改變,合併性格改變或癲癇 (C) 腦脊髓液分析應包括單純皰疹病毒和腸病毒聚合酶連鎖反應檢測 (D) 磁振攝影常發現枕葉病灶,為HSV- 1最敏感的影像檢查
6. 有關胺基糖苷類( aminoglycosides)藥物,下列敘述何者 不適當 ? (A) 透過與細菌核糖體(ribosome )結合,在mRNA轉譯過程,抑制細菌蛋白質合成 (B) 常與細胞壁活性藥物(如 β 內醯胺類)併用,用於治療嚴重感染 (C) 在膿瘍( abscesses)的低 pH值/低氧環境中,仍保有良好的活性 (D) 使用需注意發生不可逆腎毒性( nephrotoxicity)和耳毒性( ototoxicity)
7. 磺胺類藥物(trimethoprim/sulfamethoxazole:Baktar® ),是廣效性抗生素,臨床 無法 治療下列何種病原? (A) 人類肺囊蟲(Pneumocystis jiroveci) (B) 大腸桿菌(E. coli) (C) 金黃色葡萄球菌( Staphylococcus aureus) (D) 綠膿桿菌(Pseudomonas aeruginosa )
8. 病人生命徵象為體溫 38.5 ℃、脈搏 120 次 / 分、呼吸 22 次 / 分、血壓 120 / 65 mmHg、 WBC15000μL (seg 84.7%)、CRP 19.8mg/dL、指甲夾板出血及主動脈瓣區舒張期心雜音, 下列何者為最可能的診斷? (A) bacterial peritonitis (B) myocarditis (C) pericarditis (D) bacterial endocarditis
9. 一位 70歲女性因暈厥被送至急診,圖(一)是此病人的心電圖,最有可能是下列何種心律?
(A) 一度房室傳導阻滯(first- degree AV block ) (B) 二度房室傳導阻滯(second - degree AV block ),Mobitz type I (C) 二度房室傳導阻滯(second - degree AV block ),Mobitz type II (D) 完全性房室傳導阻滯( complete AV block )
10. 一位60歲女性因腹痛、噁心與嘔吐來急診。此病人有剖腹產與膽囊切除手術病史,其 KUB如圖(二),請問最有可能的診斷為何?
(A) 沾黏性小腸阻塞( adhesive small bowel obstruction ) (B) 大腸阻塞(large bowel obstruction ) (C) 缺血性大腸炎(ischemic colitis) (D) 小腸憩室炎(small bowel diverticulitis)
11. 下列實驗室檢查結果,何者 不符合 腎前性急性腎損傷(prerenal acute kidney injury)的診斷? (A) 排鈉分率(fractional excretion of sodium,FENa )>1% (B) 尿液滲透壓( urine osmolality)>500mOsm/kg (C) 尿素氮和血清肌酸酐的比值(BUN:Cr ratio )>20 (D) 尿素排出分率(fractional excretion of urea nitrogen ,FEUrea )<35%
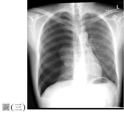
12. 一位 25歲男性因呼吸困難至急診就醫,主訴2天前工作撞擊到右側胸部,胸部X光檢查如圖(三),下列處置何者較適當?
(A) 立即給予右側胸管置入引流 (B) 觀察呼吸困難狀況並給予肌肉鬆弛劑 (C) 立即安排胸腔鏡手術治療 (D) 安排胸部電腦斷層檢查確立診斷
13. 一位 68 歲男性因右上腹悶痛 3 天加劇,伴隨噁心,出現黃疸與發燒 ( 38.5 °C ) 而就醫。 抽血檢查結果 WBC 16200 / μ L ( neutrophil 87 %,band form 9 % )、CRP 12.8 mg / dL、 AST 38 U / L、ALT 45 U / L、total bilirubin 4.5 mg / dL。最有可能之診斷為何? (A) 病毒性肝炎 (B) 細菌性膽管炎 (C) 肝硬化急性發作 (D) 急性胰臟炎
14. 一位 38歲男性,罹患第二型糖尿病未規則治療,因意識改變就醫。抽血檢查結果血糖980mg/ dL、血清滲透壓350 mOsm/kg、ketone (定量) 0.1 mmol/L、lactate 1.9mmol/L, 動脈血液氣體分析結果pH 7.36、PaCO₂ 41mmHg、 22mmol/L。根據以上數據, 最可能的診斷為何? (A) 高滲透壓高血糖狀態 (B) 糖尿病酮酸中毒 (C) 高乳酸酸中毒 (D) 正常代謝性酸中毒
15. 下列哪項檢驗最常用於判斷心衰竭嚴重程度的血清指標? (A) Troponin T (B) Myoglobin (C) BNP (D) Lactate
16. 一位 80 歲男性因肺炎併急性呼吸衰竭使用機械通氣 ( mechanical ventilation ) ,護理師 發現呼吸器異常警示音、頸部可觸及皮下氣泡聲( crepitus)、呼吸音右側變弱,SpO ₂降至86 %。最可能的併發症及最恰當的處置為何? (A) 呼吸器相關肺炎;給予經驗性抗生素治療 (B) 氣壓性傷害( barotrauma );通知醫師評估是否需胸管引流 (C) 呼吸器脫落導致肺不張;立即重新連接呼吸器 (D) 呼吸器異常同步( ventilator dyssynchrony);增加鎮靜劑改善病人適應度
17. 一位 65 歲男性因泌尿道感染併發寒顫與發燒入院,生命徵象為血壓 85 / 50 mmHg、 體溫 37.8 °C、心跳 110 次 / 分、呼吸速率 24 次 / 分,尿量明顯減少。 SpO ₂為 98 %, 乳酸值為4.2mmol/L。此時,作為專科護理師,下列哪項處置應優先執行? (A) 盡快安排病人立即接受腎臟超音波檢查,查明是否有水腎( hydronephrosis) (B) 給予退燒藥以降低病人不適 (C) 快速給予靜脈輸注晶體溶液( crystalloid fluid ) 30mL/ kg以穩定血壓 (D) 等待醫師評估後再決定是否使用升壓劑
18. 有關 4 種休克類型的病理機轉,下列敘述何者最適當? (A) 低血容量性休克是因血管阻塞,造成心臟無法有效射出血液 (B) 心因性休克的主要機轉是心肌收縮力不足,導致心輸出量下降 (C) 阻塞性休克常見於嚴重感染,造成微血管滲透性上升 (D) 血管擴張性休克的特徵是前負荷增加,導致周邊灌流過度
19. 一位72歲男性因嚴重感染合併意識改變至加護病房治療,平均動脈壓 52mmHg,依體重 給予生理食鹽水輸注30mL/kg後仍呈現低血壓。此時最適合的第一線升壓劑為何? (A) epinephrine (B) dopamine (C) norepinephrine (D) vasopressin
20. 院內心跳停止(in -hospital cardiac arrest,IHCA)後成功ROSC(恢復自發性循環)之病人, 下列處置何者 不適當 ? (A) 常規給予lidocaine防止再次心律不整 (B) 維持PaCO₂在35 - 45mmHg (C) 對STEMI病人或高度疑似STEMI病人做PCI治療 (D) 將平均動脈壓控制在65mmHg以上
21. 一位58歲男性主訴胸悶、盜汗到急診,十二導程心電圖如圖(四)。目前血壓90/60mmHg、 心跳52 次/分,無明顯肺部濕囉音。在等待心導管檢查的同時,下列處置何者 不適當 ?
(A) 監測生命徵象、建立靜脈路徑 (B) 給予低流量氧氣支持(若SpO₂<90%) (C) 給予硝酸甘油( nitroglycerin )緩解胸痛 (D) 安排右側心電圖以排除右心心肌梗塞
22. 有關腦血流量( cerebral blood flow,CBF)的調節機制,下列敘述何者正確? (A) 低體溫( hypothermia )會增加腦血流量 (B) 慢性高血壓病人腦血流量自我調節的上下限都會上升 (C) 腦灌流壓( cerebral perfusion pressure )正常值約25 - 50mmHg (D) PaCO₂ 介於20- 80mmHg時,PaCO₂越高,腦血流量越低
23. 顱內壓(intracranial pressure ,ICP)升高對腦血流量( cerebral blood flow,CBF)及腦灌流壓 ( cerebral perfusion pressure ,CPP)的影響為何? (A) 腦血流量不變 (B) 腦血流量增加 (C) 腦灌流壓下降 (D) 腦灌流壓增加
24. 有關麻醉藥物對體感誘發電位(somatosensory evoked potentials,SSEPs)與運動誘發電位 (motor evoked potentials,MEPs)監測的影響,下列敘述何者正確? (A) ketamine傾向增加長潛伏期(long-latency)電位的波幅 (B) 一般臨床劑量下,靜脈麻醉劑對誘發電位的影響小於揮發性麻醉劑 (C) 高劑量靜脈藥物,會增加誘發電位波幅( amplitude )並縮短潛伏期(latency) (D) 吸入性麻醉劑對MEPs影響小,可使用1.2最小肺泡分壓(MAC)維持麻醉深度
25. 有關麻醉藥物對大腦生理的影響,下列敘述何者正確? (A) etomidate可降低腦代謝率與顱內壓 (B) propofol可降低腦代謝率與腦血流量 (C) ketamine可降低顱內壓與腦血流量 (D) isoflurane可降低腦血流與腦代謝率
26. 有關骨水泥植入症候群的臨床表現,下列敘述何者正確? (A) 包括高血壓與心輸出量增加 (B) 可能導致全身血管阻力上升 (C) 可能引起心律不整,如心傳導阻滯與竇性停搏 (D) 經常發生在肩關節置換,但與髖關節置換無關
27. 人工膝關節置換術於止血帶放氣後出現低血壓,下列何者為最可能的原因? (A) 局部缺血導致交感神經活性持續升高 (B) 麻醉藥物於放氣後被快速吸收導致中樞抑制 (C) 缺血末端產物釋放引發代謝性酸中毒與心律不整 (D) 因心跳變慢導致心輸出量降低
28. 有關dexmedetomidine臨床使用,下列敘述何者正確? (A) 可引起顯著呼吸抑制,因此不適用於清醒插管 (B) 再分布時間較慢,且消除半衰期超過6小時 (C) 可取代鴉片類藥物,單獨使用即可達到強效鎮痛效果 (D) 為 α2 -腎上腺素受體促效劑,可用於抗焦慮、鎮靜與止痛
29. 有關圍術期視力喪失( perioperative vision loss,POVL)的風險,下列敘述何者正確? (A) 最常見於眼睛直接受到手術操作造成的創傷 (B) 缺血性視神經病變和青光眼會增加發生率 (C) 頭部穩定擺位與眼部壓力無關,不會增加發生率 (D) 俯臥手術時刻意採用低血壓策略,有助於降低發生率
30. 全膝關節置換術於術後止痛採用 acetaminophen、ketorolac、單次劑量硬脊膜外止痛與 股神經阻斷 ( femoral nerve block ) ,下列敘述何者正確? (A) acetaminophen與單次劑量硬脊膜外止痛合併使用會拮抗止痛效果 (B) ketorolc屬中樞止痛藥,與acetaminophen作用機轉相同 (C) 股神經阻斷不影響運動功能,不會增加跌倒風險 (D) 多模式止痛可降低鴉片類藥物使用
31. 下列何者 最不適合 使用propofol作為鎮靜或麻醉誘導? (A) 對大豆、花生過敏之病人 (B) 長期服用苯二氮平類藥物的癲癇病人 (C) BMI 40 kg/m²的病人需接受胃鏡檢查 (D) 腎功能不全(CKD stage 3 )的病人
32. 肝癌合併凝血功能異常的病人,在手術中大量出血,除了緊急輸注濃縮紅血球(PRBC) 以外,下列輸注處方何者為最優先? (A) 冷凍沉澱品( cryoprecipitate )與抗利尿激素( desmopressin ,DDAVP) (B) 抗利尿激素與纖維蛋白濃厚液(fibrinogen concentrate ,FC) (C) 新鮮冷凍血漿(fresh frozen plasma ,FFP)與抗利尿激素 (D) 凝血酶原複合物( prothrombin complex concentrate ,PCC)與冷凍沉澱品
33. 腹腔鏡膽囊切除手術置放trocar後,機械式呼吸10次/分、SpO2 99 %、心跳106次/分、 血壓180/103mmHg、EtCO2 45mmHg。有關麻醉照護,下列敘述何者最適當? (A) TOF(train - of-four)有1 count,可以先給予rocuronium10mg (B) 調整PEEP為0,增加呼吸次數,I/E ratio 1:1 (C) 根據麻醉深度監測(BIS)數值為40,每2分鐘給予靜脈推注remifentanil 5 - 10mcg/ kg (D) 根據麻醉深度監測(BIS)數值為70,調整麻醉氣體sevoflurane< 0.3MAC
34. 有關長期接受血液透析治療病人的術前麻醉評估,下列敘述何者最適當? (A) 電解質監測,確認高血鈣與低血磷狀態已矯正 (B) 電解質監測,確認高血鈉與低血鉀狀態已矯正 (C) 長期服用imipramine,會提高心律不整的風險 (D) 長期服用fluoxetine,會提高非典型性尿毒溶血症候群風險
35. 有關甲狀腺全切除術中使用的神經功能監測,下列敘述何者最適當? (A) 監測神經為 recurrent laryngeal nerve (B) 監測神經為superior laryngeal nerve (C) 神經功能監測與術後聲帶水腫相關 (D) 肌肉鬆弛劑的劑量與肌電圖( electromyography)訊號無關
36. 病人常規用藥對於術中合併症的影響,下列敘述何者最適當? (A) captopril與嚴重低體溫有關 (B) furosemide與發生低血鉀有關 (C) propanolol與發生寡尿有關 (D) clopidogrel與發生高血鉀有關
37. 有關達文西前列腺全切除手術之照護,下列敘述何者最適當? (A) 氣腹中使用的氣體成分,可能引起電燒火花 (B) 頭低腳高姿位,可能增加心臟血流量 (C) 機械手臂的移動,可能引起氣管內徑變小 (D) 氣腹流量增加,可能降低麻醉氣體最小肺泡濃度(MAC)
38. 病人接受甲狀腺全切除手術前的胸腔X光片如圖(五) ,下列敘述何者最適當?
(A) 氣管位置向右偏移 (B) 氣管與甲狀腺間有沾黏 (C) 氣管與血管間有廔管 (D) 氣管發育不全
39. 有關70公斤成人執行腹腔鏡切除術的多模式止痛,下列敘述何者最不適當? (A) 術中靜脈滴注remifentanil 0.1mcg/kg/mL (B) 靜脈注射Dynastat® 40mg (C) 口服給予acetaminophen 500mg (D) 靜脈注射Naldebain® 150mg
40. 有關severe aortic stenosis的麻醉照護,下列敘述何者 錯誤 ? (A) 可能有heart failure、angina及syncope等症狀 (B) 術中應降低systemic vascular resistance (C) 術中應維持normal sinus rhythm (D) 低血壓時可考慮給予norepinephrine
41. 執行單肺通氣時,血氧自99%下降至85%,下列處理方式何者最不適當? (A) 將FiO2調高為1.0 (B) 建議外科醫師夾閉肺靜脈以減少shunt (C) 使用fiberoptic bronchoscope檢查double lumen tube的位置 (D) 在ventilated lung使用recruitment maneuvers以改善肺塌陷
42. 下列何者無法抑制hypoxic pulmonary vasoconstriction? (A) calcium channel blocker (B) beta blocker (C) nitroglycerin (D) milrinone
43. 有關眼心反射( oculocardiac reflex ,OCR)的發生原因與處置,下列敘述何者錯誤? (A) 應先立即停止手術刺激 (B) 可能需要使用atropine治療 (C) 反射路徑由迷走神經傳入、三叉神經傳出 (D) 球後神經阻斷(retrobulbar block ),可能導致OCR發生
44. 下列有關甲狀腺風暴(thyroid storm)的敘述何者錯誤? (A) 可能由嚴重感染、分娩、手術所誘發 (B) 一旦發生,其死亡率可達80%以上 (C) 常發生於手術後6 -24小時之間 (D) 治療甲狀腺亢進藥物如propylthiouracil,術前不需停藥
45. 有關法洛氏四重症(tetralogy of Fallot)的特徵,下列敘述何者錯誤? (A) 為發紺型先天性心臟病 (B) 常有心室中膈缺損異常 (C) 常有肺動脈狹窄 (D) 常有左心室出口狹窄
46. 有關左管雙腔氣管內管(double lumen endotracheal tube)的臨床使用,下列敘述何者錯誤? (A) 插管後先打飽氣管端氣囊 (B) 讓支氣管氣囊上緣剛好在氣管隆凸 (C) 氣管端有 1 個開口、支氣管端有 2 個開口 (D) 遇困難插管可考慮一般氣管內管與支氣管閉鎖導管( bronchial blocker)
47. 有關post-tonsillectomy bleeding的臨床症狀與照護,下列敘述何者最不適當? (A) 可能有躁動、心跳快、低血壓的臨床表現 (B) 出血情形通常發生在術後2週之後 (C) 病人小於3歲,通常建議常規住院觀察 (D) 若需再次手術,則建議執行rapid sequence intubation
48. 手術病人有使用植入式心臟復律去顫器(implantable cardioverter defibrillator ,ICD),下列 敘述何者錯誤? (A) 單極電燒比雙極電燒更容易引起電磁干擾 (B) 需連絡廠商調整去顫器,並將經皮去顫器貼上 (C) 連續心電圖與動脈壓波形是重要的監測 (D) 使用磁鐵調整去顫器設定,移除後都會恢復去顫設定
49. 有關體外循環( cardiopulmonary bypass ,CPB)之麻醉處置,下列敘述何者錯誤? (A) CPB低溫可能導致神經肌肉阻斷增強 (B) CPB靜脈管置入時期降低潮氣量通氣可減少肺擴張遮蔽手術視野 (C) protamine靜脈推注(IV push )能迅速恢復凝血功能,提早脫離CPB (D) protamine可能引起肺動脈高壓,需嚴密監測生命徵象及心收縮功能
50. 出生5周的幼兒,因幽門狹窄預計接受幽門環肌切開術,下列敘述何者錯誤? (A) 餵母乳禁食時間為 4 小時 (B) 應注意代謝性鹼中毒和脫水 (C) 麻醉前使用口胃管排空胃 (D) 建議使用有氣囊的氣管內管
51. 有關剖腹產術後加速康復的照護,下列敘述何者錯誤? (A) 術前禁食應 8 小時,以避免術後嘔吐 (B) 給予適當平衡性晶體溶液,維持等體液容積 (C) 預防手術中低體溫,可使用主動式充氣保溫裝置 (D) 術後血管栓塞預防,可使用下肢間歇性充氣加壓襪
52. 體重12公斤的兒童接受輸尿管重建手術( ureteral reimplantation ),術前禁食已給予足夠 靜脈輸液,從麻醉開始到手術1小時,出血量極少,此時應給予多少輸液(maintenance+ replacement of ongoing losses)? (A) 44mL (B) 50mL (C) 70mL (D) 110mL
53. 有關子癇前症合併使用MgSO4之麻醉處置,下列敘述何者錯誤? (A) MgSO4如果停藥可能增加術後癲癇機會 (B) MgSO4會延長rocuronium的持續時間 (C) 使用TOF可較精準確定肌肉鬆弛劑使用量 (D) 使用succinylcholine時,需要因MgSO4減量
54. 有關產後大出血之麻醉處置,下列敘述何者錯誤? (A) 如預期子宮頸或陰道撕裂傷需要T10脊髓阻斷;如預期子宮手術則需要T4阻斷 (B) 因為輸液可能造成氣道水腫惡化,應準備短柄喉鏡與小號的氣管內管 (C) 如果出血原因為子宮收縮無力,可以給予MgSO4幫助收縮 (D) 使用血栓彈力圖(TEG® )或旋轉血栓彈力圖(ROTEM® ),有助於輸血治療
55. 有關硬脊膜穿刺後頭痛(PDPH)的照護,下列敘述何者錯誤? (A) 危險因子包括女性、懷孕、多次硬膜穿刺以及曾有頭痛病史 (B) 仍應考慮原發性頭痛、子癇前症、哺乳期頭痛等鑑別診斷 (C) 意外穿刺後立刻預防性施打硬腦膜外血液補片,可大幅降低PDPH發生率 (D) 使用鉛筆尖脊椎針如Whitacre針和Sprotte針與較小的針頭發生機會較低
56. 有關無法配合且無靜脈導管的特殊需求牙科病人照護,下列處置何者最不適當? (A) intranasal midazolam (B) intramuscular ketamine (C) inhalation nitrous oxide (D) intramuscular pentobarbital
57. 出生4周的幼兒接受PDA ligation,下列敘述何者正確? (A) 為了足夠的氧氣供應,最好把FiO2調高到1.0 (B) 給予 Prostaglandin E1可以關閉PDA (C) 非侵入式血壓計或動脈導管盡量都在右手 (D) 可使用fentanyl和cisatracurium進行麻醉
58. 有關兒童氣道的解剖和生理特徵,下列敘述何者錯誤? (A) 扁桃體和腺樣體肥大,可能阻塞上呼吸道 (B) 聲門最狹窄,經常需要比較細的氣管內管 (C) 長且軟的 Ω 型會厭,容易阻礙聲門視野 (D) 枕骨比較突出,仰臥時會導致呼吸道阻塞
59. 有關carbetocin (Duratocin® )的臨床使用,下列敘述何者錯誤? (A) 只能靜脈注射,以超過1分鐘的速度,慢慢施打 (B) 相較於oxytocin,carbetocin維持時間較短 (C) 2 小時內如子宮持續收縮不良,不應重複給予 (D) 如有子癇前症時要監測血壓的變化
60. 懷孕36週孕婦因頭痛、上腹痛與噁心入院,住院血壓160 / 110mmHg、心跳80次/分, 檢查數值:血紅素9.1g/dL,且血液抹片出現溶血、血小板 68000/μL、AST 210U/L、 ALT220U/L、LDH 740U/L、24小時尿蛋白 2+ 。下列何者為最可能的診斷? (A) 急性脂肪肝 (B) 妊娠高血壓 (C) HELLP syndrome (D) 胰臟炎
61. 一位8歲兒童,診斷為Duchenne肌肉營養不良症(DMD),術前心電圖顯示有輕微左心室 肥厚,肌酸激酶(CK)顯著上升。有關麻醉的處置,下列敘述何者最適當? (A) 採用全靜脈麻醉並避免使用吸入性麻醉劑 (B) 不需要 1 年內的心臟超音波與肺功能檢查報告 (C) 可使用succinylcholine做為快速氣管插管的肌肉鬆弛劑 (D) 主要是阻塞性通氣障礙,麻醉時降低呼吸頻率防止氣體滯留
62. 有關老化對於呼吸系統的影響與改變,下列敘述何者正確? (A) 閉合容量( closing capacity)下降 (B) 總肺容量(total lung capacity)不變 (C) 功能肺餘容量(functional residual capacity)下降 (D) 呼氣儲備容積( expiratory reserve volume )增加
63. 有關老年人的生理變化,下列敘述何者正確? (A) 左心室後負荷增加 (B) 腦血流量增加 (C) 肺順應力減少且胸壁順應力增加 (D) 腎絲球過濾率增加
64. 老年病人通常服用多種藥物,麻醉中容易導致藥物交互作用,下列敘述何者正確? (A) β 受體阻斷劑增加麻醉藥物需求 (B) 長期使用酒精會降低麻醉藥物需求 (C) 三環抗憂鬱藥物具有抗膽鹼性作用 (D) 抗心律不整藥物降低神經肌肉阻斷作用
65. 有關肥胖病人麻醉中呼吸器設定的建議,下列敘述何者正確? (A) 使用肺保護性通氣策略容易導致肺擴張不全 (B) 將潮氣量(TV)設定為6至8mL × 實際總體重(TBW) (C) 可予呼氣末正壓(PEEP) ≥5cm H2O以防止肺泡塌陷 (D) recruitment maneuvers可改善低血壓及低血氧情形
66. 有關肥胖病人進行手術,姿勢擺位對其呼吸系統的影響,下列敘述何者正確? (A) 截石位會使腹腔內容物移向膈肌,減少肺容量導致通氣不足 (B) 側臥可減輕腹部對橫膈膜的重量,並降低咽部氣道的直徑 (C) 肥胖病人在全身麻醉時,採取俯臥位降低功能性肺餘容積(FRC) (D) 頭低腳高可減輕胸壁和膈肌的壓力,改善肥胖病人的呼吸功能
67. 有關術後加速康復療程的麻醉照護,下列敘述何者錯誤? (A) 使用短效麻醉藥及止痛藥 (B) 建議使用長效神經肌肉阻斷劑(NMBA) (C) 採用精準水分控制( zero - balance )維持血液容積正常 (D) 減少鴉片類藥物總劑量
68. 有關手術病人的感染管制,下列敘述何者錯誤? (A) 手術前 60 分鐘內給予抗生素,才能達到適當的血液及組織濃度 (B) cefazolin是手術期間最常見抗生素,僅能預防革蘭氏陽性菌 (C) 病人嗜中性白血球<500μL,應延遲常規手術 (D) 若因抗生素過敏引起休克反應,應立即停藥
69. 一位2歲兒童進行常規疝氣修補手術,依據美國麻醉醫學會(American society of anesthesiologists)禁食指南,下列敘述何者正確? (A) 固體食物8小時,清澈液體4小時 (B) 配方牛奶6小時,清澈液體2小時 (C) 母奶4小時,清澈液體4小時 (D) 母奶6小時,清澈液體2小時
70. 腹膜炎病人明顯嗜睡、血壓 85 / 55 mmHg、心跳 140次/分、SpO2 92 %、體溫39.2℃, 禁食時間不足4小時,下列敘述何者錯誤? (A) 應考慮septic shock,systemic vascular resistance偏低 (B) 可考慮使用etomidate進行rapid sequence intubation (C) 給予足夠的輸液,並考慮使用升壓劑,以維持平均動脈壓 (D) 升壓劑首選dopamine以增加內臟血流、減少腸壞死機率
71. 體重100公斤病人,麻醉誘導時給予rocuronium 80mg,面罩通氣困難,使用傳統喉頭鏡 插管失敗後,下列處置何者錯誤? (A) 求救,並尋找影像輔助插管 (B) 置放laryngeal mask airway(LMA) (C) 置放oral airway/ nasal airway,再次嘗試扣mask (D) 盡快給予sugammadex 200mg,恢復病人自呼的力氣
72. 足月剖腹產婦接受硬脊膜外麻醉,累積給予 bupivacaine 200 mg,5 分鐘後抱怨耳鳴、 看不清楚、癲癇發作、ventricular fibrillation (VF),下列處置何者錯誤? (A) CPR時應把子宮推向左側以避免壓迫下腔靜脈 (B) 如果沒有amiodarone,可用lidocaine治療VF (C) 使用雙向120 - 200焦耳進行電擊器去顫 (D) 盡速給予20%lipid emulsion (脂肪乳劑)
73. 有關術中擺位的注意事項,下列敘述何者錯誤? (A) 正躺時雙手需將掌心轉向朝地面,避免尺神經受損 (B) 側躺時,腋下墊應與腋下間隔一段空間,避免臂神經受損 (C) 泌尿碎石手術的截石位,應避免壓迫腓骨頭造成腓神經受損 (D) 趴臥的腰椎手術時,雙手外展不能超過90度,避免臂神經受損
74. 有關laryngospasm的緊急處理,下列敘述何者錯誤? (A) 以下顎推舉法(jaw thrust),給予持續正壓呼吸 (B) 虛弱的老年人更容易因laryngospasm產生負壓性肺水腫 (C) 給予小劑量propofol或succinylcholine以緩解肌肉痙攣 (D) 拔管前看不出臨床症狀,都是拔管後才會發現
75. 下列何者不屬於重大創傷的致命三角(lethal triad )? (A) 低體溫 (B) 低血氧 (C) 代謝性酸中毒 (D) 凝血功能異常
76. 有關燒燙傷的麻醉照護,下列敘述何者錯誤? (A) 嚴重燒燙傷的48小時以內,禁用succinylcholine,以免產生致命性高血鉀 (B) 嚴重燒燙傷定義是2度或3度燒傷範圍超過全身體表面積(TBSA)的20%以上 (C) 根據Parkland formula:成人燒傷的點滴建議在24小時內給予4mL/ kg/%TBSA (D) 輸液偏好使用balanced crystalloid,而不是normal saline或colloid
77. 有關惡性高熱(malignant hyperthermia ) 的特徵與處置,下列敘述何者錯誤? (A) 誘發因子有:succinylcholine、所有吸入性麻醉藥(包含笑氣N2O) (B) 最早出現的症狀是:心跳加快、肌肉僵硬、EtCO2上升 (C) 體溫上升,接著高血鉀、代謝性酸中毒,最後引發器官衰竭 (D) dantrolene為粉末狀,需用無菌蒸餾水( distilled water)配製
78. 有關術後噁心嘔吐(PONV)的發生機率,下列敘述何者錯誤? (A) 年輕人>老年人 (B) 男性>女性 (C) 不抽菸>抽菸 (D) sevoflurane>propofol
79. 肝臟移植手術進入新肝期再灌流(reperfusion )時,較不會出現下列何者現象? (A) 腹腔器官血液大量回流,造成肺水腫 (B) 器官保存液和再灌流,造成高血鉀 (C) 冰冷保存後再灌流,造成低體溫 (D) 代謝廢物累積回流,造成酸中毒
80. 有關腦死的病人進行器官捐贈,下列敘述何者錯誤? (A) 術中輕度低體溫( 34 - 35 °C)也是可接受的範圍 (B) 類固醇可減少捐贈的器官發炎反應、改善肺功能 (C) 如有捐腎,應避免使用Voluven® ( hydroxyethyl starch ,HES) (D) 腦死病人應補充含糖溶液,血糖在250mg/ dL以內是可接受的