所屬科目:牙醫學(四)(包括口腔顎面外科學、牙科放射線學等科目及其相關臨床實例與醫學倫理)
1.下列術後用藥的注意事項,何者最適當? (A)acetaminophen的缺點是干擾血小板功能,明顯增加術後出血風險 (B)ibuprofen不會干擾血小板功能,適用於有血小板缺陷並且有出血風險的病患 (C)鴉片類鎮痛劑很少單獨在牙科處方中使用 (D)可待因成癮性低,所有人均具備使可待因有效作用的必要酶
2.下列對於手術傷口切開基本原則的敘述,何者正確? (A)切線位於附連牙齦上,為不良的翻瓣設計 (B)傷口採重複及較小力道的切開方式,可以減少組織傷害的範圍,傷口癒合較佳 (C)切開時手術刀片與上皮表面角度應形成銳角,有利於縫合並減少死腔的形成 (D)切開骨膜及韌帶組織的阻力大,刀片容易變鈍,應視需要更換刀片
3.有關滅菌處理技術的敘述,何者正確? (A)乾熱法可使細胞蛋白質變性,完成殺菌所需時間較溼熱法短,且更為有效 (B)溼熱法可氧化細胞蛋白質,費用較乾熱法便宜,且不易損傷器械 (C)器械經過熱滅菌處理一年後,微生物進入滅菌袋的可能性開始明顯增加 (D)使用氧化乙烯(ethylene oxide)的氣體滅菌法,於50℃時,在3小時內能有效殺死所有的微生 物,包括孢子
4.下列何項處置不是減少死腔(dead space)的方法? (A)由內而外一層一層的縫合傷口 (B)拔牙傷口塞入止血棉且不移除而後再縫合 (C)置入引流管 (D)使用敷料加壓
5.關於局部麻醉藥的藥物代謝動力學,下列敘述何者正確? (A)cocaine是唯一持續產生血管舒張作用的局部麻醉藥 (B)局部麻醉藥經黏膜吸收速率,其順序是食道快於咽部,咽部快於氣管 (C)tetracaine、chloroprocaine和propoxycaine具有不同程度的血管舒張特性,效果皆強過procaine (D)酯類(ester)局部麻醉藥在血漿中被偽膽鹼酶(pseudocholinesterase)水解
6.下列何者於使用含有血管收縮藥物的局部麻醉劑時,要特別衡量其益處及風險?①甲狀腺功能障礙 ②對亞硫酸鹽(sulfite)過敏 ③使用三環類抗憂鬱藥 ④心血管疾病處於ASA 3級和4級 (A)僅①③ (B)僅②③④ (C)僅①②④ (D)①②③④
7.關於局部麻醉藥劑中的epinephrine,下列敘述何者最不適當? (A)在高劑量時,會產生血管收縮的效果 (B)主要作用在血管,不會增加耗氧量 (C)在正常劑量下,對中樞神經系統不會有強烈刺激作用 (D)須注意術後血管擴張導致反彈性出血的可能性
8.圖示X光片,顯示何種手術併發症? (A)拔牙傷口流血不止 (B)魯特維氏咽峽炎(Ludwig's angina) (C)局部麻醉藥注射針頭斷裂殘留 (D)下顎骨骨折
9.預防阻生智齒牙冠周圍炎再發,下列何者為最有效的方法? (A)定期使用抗生素 (B)執行齦蓋切除術(operculectomy) (C)定期清洗牙結石 (D)拔除已產生牙冠周圍炎的智齒
10.依Pell and Gregory classification,下顎第三大臼齒咬合面位於前方第二大臼齒齒頸部以下, 此為何種分類? (A)class A (B)class B (C)class C (D)class D
11.拔除下列牙齒的拔牙鉗,何者有區分左右? (A)上顎小臼齒 (B)下顎第一、二大臼齒 (C)下顎小臼齒 (D)上顎第一、二大臼齒
12.關於乾性齒槽(dry socket),下列敘述何者正確? (A)通常發生在拔牙術後隔天,伴隨劇烈疼痛 (B)最好發於下顎小臼齒區 (C)致病機轉是傷口血塊過慢分解導致 (D)拔牙後以大量生理食鹽水沖洗傷口能降低其發生率
13.咽後間隙(retropharyngeal space)緊鄰下列那些筋膜? ①superficial cervical fascia ②alar fascia ③prevertebral fascia ④investing fascia (A)①②③ (B)①③④ (C)僅③④ (D)僅②③
14.下列菌種何者最可能為引發下顎化膿性骨髓炎的菌種? (A)Lactobacillus spp. (B)Streptococcus spp. (C)Haemophilus spp. (D)Klebsiella spp.
15.頭頸部放射治療後之病人,在適當條件下,仍可接受下列何種治療?①拔牙 ②人工植牙 ③活動 義齒 (A)僅① (B)僅①② (C)僅②③ (D)①②③
16.顴骨植體(zygomatic implant)的長度通常為多少mm? (A)20~30 (B)35~55 (C)60~70 (D)75~95
17.齒槽骨嵴牽引術的初始潛伏期(initial latency period)通常建議為多久? (A)3~4天 (B)5~7天 (C)10~14天 (D)14天以上
18.右側下顎第一大臼齒接受植牙治療,於牙冠黏著固定3個月後,追蹤檢查無咬合異常,但植牙區明顯有牙齦出血及流膿,檢測囊袋深度>5 mm,根尖X光片如圖所示。造成其植體周圍炎最可能的原因為何? (A)不當咬合力 (B)假牙邊緣不密合 (C)黏著劑殘留 (D)後牙向前傾斜分力
19.有關intraseptal alveoloplasty的敘述,何者正確? (A)藉由去除齒槽內的間隔骨板,可重置腭側的皮質骨 (B)於修整齒槽骨板時,會有損傷大腭神經的可能併發症 (C)手術鄰近部位的肌肉附著點,通常不會被影響到 (D)可增加術後齒槽嵴的厚度,有助於後續植體的穩定性
20.口腔癌病人在接受放射線治療後的副作用,下列何者正確?①味覺喪失且無法恢復 ②味覺喪失但 會逐漸恢復 ③刺激唾液腺分泌,導致唾液變黏稠 ④唾液腺萎縮,且不易完全恢復 (A)②③ (B)①④ (C)①③ (D)②④
21.有關造釉細胞瘤的組織特性,下列何者正確? (A)最常見的型態為濾泡型(follicular type)及角質型(keratosis type) (B)可見柱狀(columnar)及立方形(cuboidal)的外層上皮細胞(outer epithelial cell)排列在 結締組織邊緣 (C)外層上皮細胞(outer epithelial cell)的細胞核偏向基底膜(basement membrane) (D)內層上皮細胞(inner epithelial cell)常會出現dysplasia現象
22.口腔鱗狀細胞癌目前最主要之治療方法為何? (A)手術切除 (B)放射線治療 (C)化學治療 (D)免疫治療
23.對於口腔黏膜白斑(leukoplakia),下列敘述何者正確? (A)自體螢光影像(autofluorescence imaging)明顯比在白熾光光源(incandescent light)下的目 測法有較佳的口腔癌診斷率 (B)化學預防法(chemoprevention)比手術切除對於白斑症惡性轉變有較高的防治率 (C)手術切除有助於診斷白斑病灶內是否有上皮發育不良(dysplasia) (D)均質性(homogeneous)白斑與非均質性(non-homogeneous)白斑都有一樣的惡性轉變率
24.下列何者不是蘭格罕細胞組織球增生症(Langerhans cell histiocytosis)重要的預後因子? (A)發病年紀小於2歲 (B)肺臟、肝臟、脾臟發現腫瘤細胞 (C)侵犯到皮膚 (D)首次化療後的腫瘤反應(response to initial chemotherapy)
25.有關口腔內色斑病灶(pigmented lesion),若是出現下列何種徵象,必須強烈懷疑黑色素瘤 (melanoma)的可能?①外觀呈現非對稱性(asymmetry) ②在同一病灶有多重顏色(color)表 現 ③邊緣(border)不規則 (A)僅①② (B)僅①③ (C)僅②③ (D)①②③
26.關於齒源性腫瘤(odontogenic tumors)的敘述,下列何者錯誤? (A)轉移性造釉細胞瘤(metastasizing ameloblastoma)最常轉移的部位是肺 (B)造釉細胞癌(ameloblastic carcinoma)不一定會合併遠端轉移的病灶 (C)亮細胞齒源性癌(clear cell odontogenic carcinoma)好發於成年女性 (D)亮細胞齒源性癌(clear cell odontogenic carcinoma)較好發於上顎骨
27.源自胚胎發育時期多能幹細胞或上皮組織被包埋在下顎舌骨肌(mylohyoid muscle)附近,其囊腫 上皮為複層鱗狀上皮(stratified squamous epithelium),最可能是下列何者? (A)皮樣囊腫(dermoid cyst) (B)甲狀舌管囊腫(thyroglossal duct cyst) (C)鰓裂囊腫(branchial cleft cyst) (D)胸腺囊腫(thymic cyst)
28.被診斷出基底細胞痣症候群(basal cell nevus syndrome)的孩童患者,其顎骨區發現多個大型 齒源性角化囊腫(odontogenic keratocyst)病灶,下列何者是優先考慮的治療方式? (A)刮除術(curettage)後再追加剜除術(enucleation) (B)剜除術(enucleation)後再追加減壓術(decompression) (C)整塊切除手術(en bloc resection) (D)減壓術(decompression)後再視情況追加剜除術(enucleation)及刮除術(curettage)
29.腮腺的淋巴表皮囊腫(lymphoepithelial cyst)與下列何者最有相關性? (A)後天免疫缺乏症候群(acquired immunodeficiency syndrome, AIDS) (B)全身性紅斑性狼瘡(systemic lupus erythematosus, SLE) (C)傳染性單核球增多症(infectious mononucleosis) (D)腮腺炎(mumps)
30.關於鈣化齒源性囊腫(calcifying odontogenic cyst)的敘述,下列何者正確? (A)好發於上顎 (B)若伴生齒瘤(odontoma),多發生於年輕人 (C)好發於臼齒區,尤其是阻生齒 (D)一般需以骨切除手術(resection)治療
31.下列各區域中,何者為含齒囊腫較好發區域? (A)上顎犬齒區 (B)下顎犬齒區 (C)下顎第一大臼齒區 (D)上顎側門牙區
32.關於上顎垂直向生長過多(vertical maxillary excess)的特徵,下列敘述何者錯誤? (A)顏面的下三分之一明顯過長 (B)通常鼻翼較寬 (C)上顎前牙牙齦暴露(gingival exposure)較多 (D)病人的齒列可能是異常咬合Class Ⅰ、Class Ⅱ、Class Ⅲ
33.病人顏面不對稱,且有咬合面傾斜,可能須接受何部位之正顎手術?①上顎骨 ②下顎骨 ③頦部 (A)僅① (B)僅② (C)僅②③ (D)①②③
34.相對於口內下顎枝垂直截骨術(intraoral vertical ramus osteotomy),施行兩側矢向分裂截骨 術(bilateral sagittal split osteotomy)有下列那項缺點? (A)術後之穩定性較差 (B)較易傷及下齒槽神經,導致下唇感覺異常 (C)較易造成術後感染 (D)術後必須施行6~8週之顎間固定(intermaxillary fixation)
35.下列何者為肌筋膜疼痛及功能障礙(myofascial pain and dysfunction)病人常見的症狀?①咀 嚼時會產生疼痛 ②顳顎關節運動範圍受限 ③情緒壓力增加時疼痛加劇 (A)僅①② (B)僅①③ (C)僅②③ (D)①②③
36.55歲病人,主訴右臉頰陣發性疼痛,具電擊刺痛感,每次發作時間約持續幾秒鐘至1分鐘,特別在 吃東西碰到右下第一大臼齒前庭區時。其診斷最可能是下列何者? (A)叢發性頭痛 (B)肌筋膜疼痛 (C)非典型顏面痛 (D)三叉神經痛
37.關於顱神經痛(cranial neuralgias)的敘述,下列何者錯誤? (A)最常見的是舌下神經痛 (B)迷走神經痛可能會引發咽喉附近的疼痛而轉移至下顎枝 (C)常用抗癲癇藥物治療 (D)部分病患需顱內手術治療
38.關於唾液腺之分泌,下列敘述何者錯誤? (A)腮腺所分泌的唾液較舌下腺黏稠 (B)顎下腺的唾液分泌占整體唾液量的比例最高 (C)調控舌下腺的副交感神經是來自顏面神經 (D)顎下腺之唾液成分中鈣離子濃度較其他唾液腺高,且較呈鹼性
39.下列涎管放射攝影檢查(sialogram)影像,何者較可能是謝格連氏症候群(Sjögren's syndrome)所致? (A)(B)(C)(D)
40.顎下腺導管可大致以下顎那一顆牙為界,分成前區及後區,協助判斷是否容易經口內手術處理顎下腺結石? (A)第一小臼齒 (B)第二小臼齒 (C)第一大臼齒 (D)第二大臼齒
41.對於全層之下唇撕裂傷(full-thickness lower lip laceration),下列縫合順序何者最為適 當?①口腔黏膜(oral mucosa) ②口輪匝肌(orbicularis oris) ③唇紅緣邊緣 ④顏面皮 膚(facial skin) (A)④③②① (B)③④②① (C)①②③④ (D)③②①④
42.針對上顎骨骨折(maxillary fracture)之治療,下列敘述何者錯誤? (A)對於勒福一式上顎骨骨折(Le Fort Ⅰ maxillary fracture),可將鼻上顎支柱(nasomaxillary buttress)及顴上顎支柱(zygomaticomaxillary buttress)加以復位固定 (B)對於勒福二式上顎骨骨折(Le Fort Ⅱ maxillary fracture),可將額顴骨縫(frontozygomatic suture)及顴上顎骨縫(zygomaticomaxillary suture)加以復位固定 (C)如骨折處不易移動進行復位,可以考慮進行截骨術(osteotomy)來幫助復位 (D)若合併腭部骨折(palatal fracture),製作手術咬合板(surgical splint)可幫助維持上顎寬 徑
43.鈍性創傷(blunt trauma)所造成之皮下腫脹瘀血稱之為: (A)挫傷(contusion) (B)撕裂傷(laceration) (C)擦傷(abrasion) (D)撕脫傷(avulsion)
44.關於撕裂傷(laceration wound)的敘述,下列何者錯誤? (A)是指上皮(epithelial)與上皮下(subepithelial)組織的撕裂 (B)若伴隨牙齒齒槽外傷,應先縫合軟組織,減少傷口出血,再處理硬組織 (C)處理時應包括清潔、清創、止血、縫合等四個步驟 (D)處理下唇穿通性撕裂傷,需要縫合肌肉層
45.關於上下顎間固定(maxillomandibular fixation)的敘述,下列何者錯誤? (A)只用上下顎間固定來治療骨折,稱為閉合式復位術(closed reduction)(B)有多種方式可以施行上下顎間固定,例如arch bar、Ivy loop(C)全口無牙的病人,無法施行上下顎間固定(D)使用開放式復位術(open reduction)來治療骨折,可以合併施行上下顎間固定
46.將脫落的成熟恆牙再植回,下列何者對癒合的成功率最沒有幫助? (A)植入後將牙齒固定7~10天(B)若脫落時間小於20分鐘,應以生理食鹽水輕微沖洗牙齒後立即植回(C)先將齒槽窩用優碘溶液沖洗(D)若脫落時間超過20分鐘,植入前牙齒要先泡在Hanks溶液30分鐘,然後以四環黴素溶液泡5分鐘
47.關於唇腭裂手術時機,下列敘述何者正確? (A)位於上顎骨及齒槽骨的骨缺損,接受骨移植手術的時機在出生6至9個月時(B)唇腭裂患者的鼻整形(rhinoplasty)較適當的時機在正顎手術之後(C)腭裂修復時機在出生後10週(D)相較於一般人,唇腭裂患者接受正顎手術的年齡需要延遲
48.下列何種皮瓣無法用來修復口鼻瘻管? (A)腭瓣(palatal flap)(B)頰瓣(buccal flap)(C)顳肌瓣(temporalis flap)(D)頦下瓣(submental flap)
49.65歲的陳先生患有第一型糖尿病,並規律注射胰島素,血糖控制在正常範圍內。因右上第一小臼齒 牙根斷裂,須在局部麻醉下拔除斷齒,下列敘述何者正確?(A)本次拔牙手術前不能進食,以免血糖太高(B)拔牙前一天應開始停止胰島素注射(C)若接受手術時,發生焦慮、臉色發白、盗汗、心跳加速且全身無力的狀況,很可能是血糖太高造成 的現象(D)發生低血糖的現象時,應先停止牙科治療,給患者喝一杯果汁或是吃糖果
50.對於有心肌梗塞病史的病人,減少焦慮是牙科治療過程重要的一環,下列何種處置對於降低病人焦 慮最沒有幫助?(A)治療中儘量不要跟病人說話(B)治療時給與足夠的局部麻醉劑量(C)靜脈注射抗焦慮藥物(anxiolytics)(D)治療器械遠離病人視野
51.哺乳中的母親(lactating mothers)使用下列何種藥物,會對受哺育的嬰兒最不安全? (A)acetaminophen (B)lidocaine (C)tetracyclines (D)cephalexin
52.下列何種檢查,可以幫助評估血友病病人的凝血功能? (A)血小板數 (B)流血時間(bleeding time) (C)prothrombin time (D)partial thromboplastin time
53.關於類風濕性顳顎關節炎的敘述,下列何者錯誤? (A)滑膜組織異常增生(pannus formation) (B)發生年齡可能比退化性關節炎早 (C)通常侵犯單側 (D)可能會造成髁頭-上行枝高度(condylar-ramus height)喪失
54.關於顳顎關節osteoarthritis的影像學變化,下列敘述何者錯誤? (A)早期可能出現joint space縮小 (B)早期可能出現subchondral bone resorption (C)隨著疾病的進展,articular eminence可能變平 (D)晚期可能出現condylar head皮質骨侵蝕
55.關於關節穿刺術(arthrocentesis)之敘述,下列何者錯誤? (A)其作用在沖洗出關節內之發炎物質,達到症狀緩解之目的 (B)通常施行在下關節腔 (C)沖洗液建議至少100毫升 (D)第一穿刺點約在關節窩後緣,即在耳珠-眼眥線下方2 mm,耳珠前10 mm之位置
56.生命倫理學建構於共有道德理論基礎之上。其有四個原則做為道德判斷的起點。下列何者不屬於生 命倫理學的四個原則? (A)尊重自主原則 (B)不傷害原則 (C)利己原則 (D)正義原則
57.關於X光機的敘述,下列何者錯誤? (A)在X光管中,電子束來源為陰極(cathode) (B)超過99%的電子束動能,轉換為熱能,僅少數轉換為X光 (C)X光的能量單位是mAs,強度單位為kVp (D)X光的影像對比主要由能量決定;影像亮度與劑量主要由強度決定
58.典型或常見的頭頸部放射治療所導致的併發症中,下列何者通常最早恢復? (A)味覺異常或喪失 (B)口腔黏膜炎 (C)唾液減少 (D)放射線齲齒
59.目前牙科X光攝影使用的有線數位CCD(charge-coupled device)感應片,其接受到X光至傳送訊號 到電腦後,以灰階方式呈現。目前最常見的灰階數為多少? (A)256 (B)512 (C)1024 (D)2048
60.關於以分角線法(bisecting-angle technique)進行牙根尖放射線攝影(periapical radiography)的缺點,下列敘述何者錯誤? (A)影像中的牙冠常會變形 (B)不容易準確判斷齒槽骨高度 (C)顴骨弓(zygomatic arch)的影像疊加(superimpose)常干擾上顎大臼齒牙根的觀察 (D)以影像測量上顎大臼齒的頰側牙根長度,可能比實際長
61.下列何種拍攝方式,其coronoid process的影像最不清楚? (A)lateral cephalometric projection (B)Waters projection (C)posteroanterior cephalometric projection (D)panoramic projection
62.關於正子攝影的敘述,下列何者錯誤? (A)最常使用的顯影劑為2-[] fluoro-2-deoxy-D-glucose(FDG),配合細胞的高糖解活性 (glycolytic activity) (B)正子掃描需配合核磁共振攝影,將兩者重疊而得最後影像 (C)可用於評估骨代謝疾病、原發或復發之惡性腫瘤、骨髓炎 (D)一次檢查可同時獲得形態及功能性資訊
63.下列何者不是口腔咬翼放射線攝影法(bitewing radiography)主要的適應症(main indication)? (A)偵測鄰接面齲齒 (B)評估牙周狀況 (C)評估復形物狀況 (D)監測牙根尖病變的進展
64.關於附圖影像箭頭處所指構造,下列敘述何者錯誤? (A)放射線影像學名稱為篩狀板 (B)其外觀會受放射線行進方向與皮質骨厚度之相對關係影響 (C)其外觀會受放射線行進方向與牙根之相對角度影響 (D)此一構造之厚度與牙齒承受之咬合力有關
65.附圖影像中箭頭所指之處,為下列何種構造? (A)鼻腭管(nasopalatine duct) (B)前鼻棘(anterior nasal spine) (C)上顎間縫(intermaxillary suture) (D)營養管(nutrient canal)
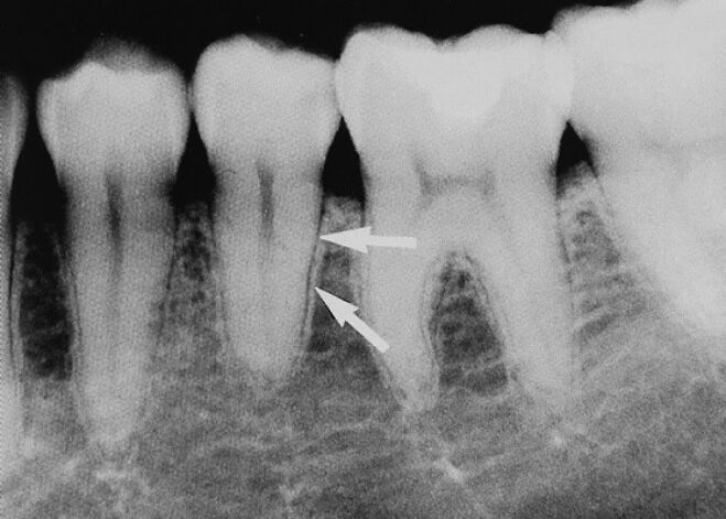
66.附圖中紅色箭頭所指放射線透過性線條(radiolucent lines)為下列何者? (A)mandibular canals (B)nutrient canals (C)lamina dura (D)lingual foramen
67.附圖中紅色箭頭所指者為何種牙齒異常? (A)fusion(B)concrescence(C)gemination(D)taurodontism
68.附圖X光片中大臼齒有何種牙齒異常?(A)fusion(B)concrescence(C)gemination(D)taurodontism
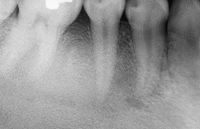
69.附圖X光片中,無齒頸部或牙根齲齒的牙位為何? (A)44 (B)45 (C)46 (D)47
70.附圖X光片中,左下第一大臼齒遠心側(distal side)的牙周破壞影像描述為何? (A)horizontal bone loss (B)vertical bone defects (C)interdental craters (D)buccal or lingual cortical plate loss
71.頭頸部X光影像常見軟組織鈣化的典型分布圖中,何者為涎石(sialoliths)最常出現的區域? (A)1 (B)2 (C)3 (D)4
72.下列那一種檢查,其原理是利用傳統核醫追蹤劑(radiotracer)及gamma camera以一定的角度, 環繞病人之標的器官,得到一系列的平面影像,再以電腦影像重組技術得到另一系列的影像,且可 用於檢查口腔癌病人是否有遠端轉移? (A)computed tomography (B)magnetic resonance imaging (C)ultrasonography (D)single photon emission computed tomography
73.附圖X光片影像,在何種疾病中最易觀察到? (A)戈林症狀群(Gorlin syndrome)(B)柏哲德氏病(Paget disease)(C)骨化纖維瘤(ossifying fibroma)(D)顱顏面骨發育不全(craniofacial dysostosis)
74.附圖X光片影像,最可能是下列何種疾病? (A)骨化纖維瘤(ossifying fibroma) (B)纖維發育不良(fibrous dysplasia) (C)牙骨質-骨質發育不良(cemento-osseous dysplasia) (D)成纖維性纖維瘤(desmoplastic fibroma)
75.下顎骨前部外傷時,最常造成下列何部位之間接骨折? (A)下顎角(mandibular angle) (B)下顎枝(mandibular ramus) (C)下顎喙狀突(coronoid process) (D)下顎髁頸(condylar neck)
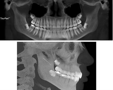
76.附圖影像為下列何種疾病之特徵? (A)皮耶-羅賓氏症候群(Pierre Robin syndrome) (B)亞伯氏症候群(Apert syndrome) (C)戈林氏症候群(Gorlin syndrome) (D)崔屈-寇林氏症候群(Treacher Collins syndrome)
77.顎骨中神經鞘瘤(neurilemoma)之X光影像,最可能為下列何者? (A)周圍界線清楚之放射線透過性病變(well-defined radiolucent lesion) (B)周圍界線不清楚之放射線透過性病變(ill-defined radiolucent lesion) (C)周圍界線清楚之放射線透過性及不透過性混合病變(well-defined radiolucent and radiopaque mixed lesion) (D)周圍界線清楚之放射線不透過性病變(well-defined radiopaque lesion)
78.下列何種顎骨疾病,其X光影像較常呈現放射線透過性病變(radiolucent lesion),沿著牙根邊 緣呈波浪狀,且好犯於10至20歲病人下顎骨? (A)史塔尼氏囊腫(Stafne cyst) (B)單純性骨囊腫(simple bone cyst) (C)動脈瘤性骨囊腫(aneurysmal bone cyst) (D)裂隙囊腫(fissural cyst)
79.超音波(ultrasound)應用在頭頸部診斷時,所用的頻率為下列何者? (A)1~20 MHz (B)30~50 MHz (C)60~80 MHz(D)90~120 MHz
80.下列何者不是游離輻射造成的生物效應? (A)畸胎 (B)致癌 (C)中毒 (D)骨壞死