所屬科目:免疫科
2. 一位43歲女性為B型肝炎帶原者,其主訴為兩側PIP、MCP,及wrist joint腫脹酸痛達兩年之久。但是檢查rheumatoid factors多次均呈陰性反應。手部X-光檢查如圖 。請問要成立rheumatoid arthritis的診斷時,下列何種檢查最為關鍵? (A) ANA (B) CRP (C) Anti-cyclic citrullinated peptide antibody (D) Complement levels (E) Anti-RNP
3. 53歲女性主訴為冬天或吹冷氣時手指會變白變紫如圖 達四年之久。近兩年來手指的皮膚變硬而無法握拳。時有乾咳發生,而且吞食流質食物會嗆到。請問下列何種檢查對疾病的診斷最有幫助? (A) Anti-Sm/anti-RNP (B) Nailfold capillary microscopic examination (C) Standard spirometry (D) Esophageal transit time measurement (E) Anti-Scl 70/anti-CENP
4. 61歲女性近兩個月來起床時無力,必須用兩手撐起才能下床。她發現在兩側手背指間關節處有紅斑發生如圖。抽血檢查: CK 1280 U/ml, GPT 86 IU/L, GOT 27 IU/L, ANA 1:1280 speckled。請問最可能的診斷為何? (A) Dermatomyositis (B) Rhabdomyolysis (C) Multiple sclerosis (D) Transverse myelitis (E) Polymyositis
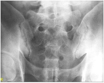
6. 19歲男性最近半年覺得早上起床時下背有酸痛及僵硬發生達一小時之久,骨盆X-光發現有異常如圖。請問下列何種藥物對疾病治療最為有效? (A) Anti-TNF-alpha therapy (B) Salazopyrin (C) Azathioprine (D) Prednisolone (E) Hydroxychloroquine
7. 16歲男性在感冒發燒五天之後,發現兩側下腿部有廣泛的紅疹發生,且有輕微的痛感如圖。抽血檢查發現: ESR 36 mm/1h, CRP 2.15 mg/dl, IgG 1565 mg/dl,IgA 457 mg/dl, IgM 145 mg/dl, proteinuria (++),RBC 25-30/HPF,WBC 10-15/HPF。 請問最可能的診斷為何? (A) IgA nephropathy (B) Post-streptococcal glomerulonephritis (C) Henoch-Schonlein purpura (D) Dengue hemorrhagic fever (E) Urticaric vasculitis
8. 48歲肥胖女性走路時腰部會酸痛,蹲下去及站起來有困難,腰椎X-光檢查有異常發現如圖。請問下列的何種治療最為有效? (A) NSAIDs (B) Oral glucosamine (C) Intra-articular steroid injection (D) Physical therapy (E) Reduction of body weight