阿摩線上測驗
登入
首頁
>
臨床血液學與血庫學
> 96年 - 96-2 專技高考_醫事檢驗師:臨床血液學與血庫學#51631
96年 - 96-2 專技高考_醫事檢驗師:臨床血液學與血庫學#51631
科目:
臨床血液學與血庫學 |
年份:
96年 |
選擇題數:
80 |
申論題數:
0
試卷資訊
所屬科目:
臨床血液學與血庫學
選擇題 (80)
1 乙型海洋性貧血(β-thalassemia)多肇因於: (A) α globin 基因發生 deletion (B) α globin 基因發生 point mutation (C) β globin 基因發生 deletion (D) β globin 基因發生 point mutation
2 Iron deficiency anemia(IDA)病患血液檢查可發現: (A) serum transferrin receptor 下降 (B) serum transferrin 下降 (C) serum ferritin 下降 (D) serum TIBC 下降
3 紅血球最主要的能量 ATP 的來源為: (A)以 anaerobic Embden-Meyerhof pathway 代謝 glucose (B)以 hexose monophosphate shunt 代謝 glucose (C)以 Rapoport-Luebering shunt 代謝 glucose (D)以 TCA 循環代謝 glucose
4 Brilliant cresyl blue stain 可將含何種異常血紅素之 RBC 染成高爾夫球狀? (A) Hb H (B) Hb E (C) Hb C (D) Hb S
5 Cyanmethemoglobin method 定量 Hb,測量波長為何? (A) 415 nm (B) 490 nm (C) 540 nm (D) 650 nm
6 Hyperchromic RBC 的發生與 CBC 報告中的何者有直接關聯? (A) MCV 上升 (B) RDW 上升 (C) MCHC 上升 (D) HCT 上升
7 下列有關 Howell-Jolly body 的敘述,何者正確? (A) RBC 內細胞核的殘留 (B) RBC 內紡錘絲的殘留 (C)以 Prussian blue 染色呈陽性反應 (D)以 peroxidase stain 染色呈陽性
8 Reticulocyte 染色所用的 supravital stain 染劑是: (A) PAS stain (B) brilliant cresyl blue (C) crystal violet (D) fast blue BBN
9 RBC 的大小不一致,稱為: (A) poikilocytosis (B) anisocytosis (C) schistocytosis (D) polycytosis
10 自動化血液分析儀中,用以評估紅血球大小不一者,為下列何數據? (A) MCV (B) MCH (C) MCHC (D) RDW
11 形成 hypochromic anemia 的主要原因是: (A)缺乏造血生長因子 (B)造血幹細胞病變 (C)血紅素製造能力缺陷 (D)紅血球破壞增加
12 慢性肝病引起紅血球形成 target cells 以及 spur cells 之原因為何? (A)膜蛋白質減少 (B)膜蛋白質增加 (C)膜卵磷脂-膽固醇減少 (D)膜卵磷脂-膽固醇增加
13 Fanconi’s anemia 屬於下列何種疾病? (A)純紅血球再生不良症(pure red cell aplasia) (B)溶血性貧血(hemolytic anemia) (C)全血球減少症(pancytopenia) (D)巨芽球性貧血(megaloblastic anemia)
14 下列有關 glucose-6-phosphate dehydrogenase(G6PD)之敘述,何者錯誤? (A) G6PD 具還原 NADP 之功能 (B) G6PD 基因位於 Y 染色體上 (C) G6PD 基因變異非常多,超過數百種 (D) G6PD 基因缺乏症之病患,在氧化壓力下易發生溶血
15 驟發性夜間血尿症(paroxysmal nocturnal hemoglobinuria, PNH)是細胞膜何種缺失的疾病? (A) Na
+
/K
+
pump (B) spectrin (C) glycosylphosphatidylinositol(GPI)anchor (D) ankyrin
16 下列有關紅血球中 2,3-diphosphoglycerate(2,3-DPG)之敘述,何者錯誤? (A)是 Luebering-Rapoport 迴路的代謝物 (B)可和血紅素 β globin 結合 (C)濃度上升,造成血紅素對氧之親和力增加 (D)濃度上升,使血紅素氧之解離曲線右移
17 下列敘述,何者與遺傳性球形血球症(hereditary spherocytosis)有關? (A)細胞膜蛋白垂直作用力弱 (B)鉀離子出細胞膜之通透性變高 (C)細胞膜 spectrin heterodimers 無法 self-associate (D)細胞膜蛋白水平作用力弱
18 Heinz bodies 的形成源自於下列何者? (A)變性 RNA (B) DNA 殘餘物 (C)鐵顆粒 (D)氧化變性血紅素
19 正常體內血紅素對氧之親和力 P
50
為多少 mmHg? (A) 26.6 (B) 40 (C) 50 (D) 95
20 血紅素(heme)的合成大部分發生在: (A)粒線體 (B)高爾基體 (C)核糖體 (D)細胞核
21 關於紅血球生成素(erythropoietin, EPO)正常狀況之合成,下列敘述何者正確? (A) 90%來自肝臟,10%來自腎臟及其他器官 (B) 90%來自腎臟,10%來自肝臟及其他器官 (C) 90%來自骨髓,10%來自腎臟及其他器官 (D) 90%來自肺臟,10%來自肝臟及其他器官
22 最常造成 megaloblastic anemia 的原因為: (A)缺乏 vitamin B6及鐵 (B)缺乏 vitamin B12及葉酸(folate) (C) vitamin B12及葉酸(folate)的新陳代謝異常 (D)缺乏 DNA 合成相關酵素
23 若在周邊血液抹片觀察到大量如圖所示的細胞,則此人比較可能得到下列何種疾病?
(A) large granular lymphocytic leukemia (B) adult T-cell leukemia/lymphoma (C) prolymphocytic leukemia (D) hairy cell leukemia
24 因為慢性呼吸道阻塞的疾病造成組織缺氧,而分泌過多的紅血球生成素(erythropoietin),會引起何 種疾病? (A) secondary polycythemia (B) aplastic anemia (C) polycythemia vera (D) CML
25 下列何者是多發性骨髓瘤(multiple myeloma)患者,比較可能出現的檢驗異常? (A) ESR 正常或降低 (B) serum creatinine 降低 (C) serum β2-microglobulin 升高 (D) serum calcium 降低
26 淋巴組織切片出現何種的細胞,是 Hodgkin’s disease 的診斷依據? (A) Reed-Sternberg cell (B) fagot cell (C) Pelger-Huët anomaly (D) hairy cell
27 下列有關 T 細胞及 B 細胞的敘述,何者正確? (A)在正常人的骨髓中,B 細胞比 T 細胞少 (B)在正常人的周邊血液中,T 細胞比 B 細胞少 (C)在胸腺皮質的 T 細胞主要是 TdT
+
(D) CD2 與 CD20 是 T 細胞的表面特異性抗原
28 下列何種化學物質可幫助確認在 nonspecific esterase staining 中,被染的細胞是 monocytes? (A) sodium chloride (B) sodium fluoride (C) potassium chloride (D) sodium bicarbonate
29 下列何者在嗜中性白血球中,藉由結合鐵離子而抑制細菌的增生? (A) arginase (B) cathepsin G (C) lactoferrin (D) lysozyme
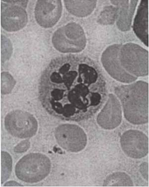
30 下列何者最適合用來描述如圖所示的嗜中性白血球?
(A)出現於 neutrophil leukocytosis (B)出現於 megaloblastic anemia (C) Alder-Reilly anomaly (D) Pelger-Huët anomaly
31 圖中所示的白血球為下列何者?
(A) neutrophil (B) eosinophil (C) basophil (D) monocyte
32 下列有關 polycythemia vera 的敘述,何者錯誤? (A)紅血球、白血球與血小板的計數都會增加 (B)會分泌過量的 erythropoietin,導致紅血球增生 (C) LAP score 增高 (D)血清的 erythropoietin 正常或減少
33 在 T 淋巴球的發展過程中,下列那一個細胞表面標記的出現最晚? (A) CD2 (B) CD3 (C) CD5 (D) CD7
34 Sudan black B 主要是與細胞中的何種物質反應? (A) iron (B) carbohydrate (C) phospholipid (D) alkaline phosphatase
35 在 B 淋巴球發展到漿細胞(plasma cells)的過程中,下列那一個細胞表面標記的出現最晚? (A) CD10 (B) CD20 (C) CD19 (D) CD138
36 寄生蟲(例如線蟲、鈎蟲、蟯蟲)的感染,最常導致下列何種血球數目升高? (A) neutrophils (B) monocytes (C) eosinophils (D) lymphocytes
37 成熟的顆粒性白血球在執行吞噬細菌功能時,會產生 superoxide 以殺死細菌。此步驟是藉助於下列 何種物質? (A) selectin (B) non-specific esterase (C) integrin (D) NADPH oxidase
38 Dichlorofluorescein(DCFH)diacetate probe 搭配 flow cytometer,可用來測量細胞中的何種物質? (A) hydrogen peroxide (B) myeloperoxidase (C) azurophilic granules (D) carbohydrate
39 運用 flow cytometry 分析白血球時,下列那一種血球有最小的 side scatter? (A) segmented neutrophils (B) eosinophils (C) myelocytes (D) mature lymphocytes
40 t(8;14)(q24;q32)的染色體轉位,使兩個基因 c-myc 及 IgH(immunoglobulin heavy chain)融合一起, 此變化最有可能見於下列何種疾病? (A) follicular lymphoma (B) Burkitt’s lymphoma (C) mantle cell lymphoma (D) diffuse large cell lymphoma
41 附圖是一般人的骨髓細胞,經流式細胞儀(flow cytometer)分析後的示意圖形。Label 1 指的是下列 那一種細胞?
(A) lymphocytes (B) neutrophils (C) monocytes (D) blasts
42 一般而言,下列何種白血球在成年人的周邊血液中最少? (A) neutrophils (B) monocytes (C) eosinophils (D) basophils
43 下列何種凝血因子所具之生物半衰期(biological half life)最短? (A) factor XI (B) factor XIII (C) factor XII (D) factor VII
44 下列何種酵素可被阿斯匹靈(aspirin)所抑制? (A) lipoxygenase (B) thromboxane synthase (C) adenylate cyclase (D) cyclo-oxygenase
45 下列何種因子可以水解 fibrin? (A) factor XIIa (B) factor XIIIa (C) plasmin (D) thrombin
46 Vitamin K 在 vitamin K-dependent 血液凝固因子扮演的角色為: (A)活化血液凝固因子 (B)當作抑制劑 (C)參與 carboxylation (D)增加蛋白質穩定度
47 下列何種凝血檢驗的試劑不需添加 CaCl
2
? (A) prothrombin time (B) thrombin time (C) partial thromboplastin time (D) plasma recalcification test
48 下列有關 INR(international normalized ratio)之敘述,何者錯誤? (A)主要用來評估出血與栓塞狀況 (B)監測口服抗凝劑療效 (C)用來校正不同實驗室間凝血酶原時間(prothrombin time)之變異 (D)開始給藥後 2-3 週,INR 才會穩定
49 血友病之遺傳模式為: (A) autosomal dominant (B) autosomal recessive (C) X-linked dominant (D) X-linked recessive
50 下列何種生長激素與血小板生成有關? (A) platelet-derived growth factor(PDGF) (B) interleukin 8(IL-8) (C) thrombopoietin(TPO) (D) interleukin 1(IL-1)
51 一顆成熟的 megakaryocyte 可以釋放出多少血小板? (A) 10~50 (B) 100~500 (C) 1000~5000 (D) 10000~50000
52 下列何試驗可鑑定診斷 von Willebrand 疾病及 Glanzmann’s 疾病? (A) BT (B) APTT (C)血小板數目 (D)血小板凝集試驗
53 Factor XIIIa 的主要作用是: (A)啟動內部血液凝固路線 (B)加速 prothrombinase 產生 (C)穩定 fibrin clot (D)啟動 anticoagulation
54 下列何者不是 Bernard-Soulier syndrome 之特徵? (A)巨大血小板 (B)以 ristocetin 誘發血小板凝集,呈異常反應曲線 (C)血小板 glycoprotein Ib 受器之表現有缺陷 (D)容易發生血管栓塞
55 血小板之細胞質顆粒中,dense body 所含內容物,包含下列何者? (A) adenosine diphosphate (B) platelet factor 4 (C) factor V (D) protein S
56 血液凝固系統活化時,所產生之凝血酶原酶複合物(prothrombinase complex),其組成包括: (A)活化型第十凝血因子、活化型第五凝血因子與鈣離子 (B)活化型第九凝血因子、活化型第八凝血因子與鈣離子 (C)活化型第二凝血因子、血小板與鈣離子 (D)活化型第十凝血因子、血小板與鈣離子
57 溶血檢體會對活化部分凝血酶原時間(activated partial thromboplastin time, APTT)造成何種影響? (A)偽性延長 (B)偽性縮短 (C)不影響 (D)視抗凝劑種類而定
58 下列何者不是影響血小板凝集試驗反應之因素? (A)抗凝固劑檸檬酸鈉(sodium citrate)的濃度 (B)血小板數目 (C)誘發凝集藥物的濃度 (D)凝血因子活性
59 下列何種 plasminogen activator 的作用屬於“intrinsic activation"? (A) tissue plasminogen activator (B) urokinase (C) streptokinase (D) factor XIIa
60 血液中出現下列何者,最適合當作血液凝固系統活化之指標? (A)纖維蛋白原裂解產物(fibrinogen degradation product) (B) fibrinopeptide A (C)組織胞漿原活化蛋白(tissue plasminogen activator) (D) C 蛋白(protein C)
61 下列方法中,何種最適合用來進一步診斷 A 型血友病帶因子(carrier)? (A)血小板凝集試驗 (B) von Willebrand 因子之 multimer 分析 (C)第八凝血因子抗原量電泳分析 (D)測量第八凝血因子活性與 von Willebrand 因子抗原量比值
62 缺乏下列何者時,容易發生嚴重之血管栓塞? (A)狼瘡性凝血抑制子(lupus anticoagulant) (B)胞漿原活化抑制子(plasminogen activator inhibitor) (C) C 蛋白(protein C) (D)第八凝血因子抗體
63 下列有關纖維蛋白裂解產物(fibrin degradation product)試驗之敘述,何者錯誤? (A) D-dimer 屬於纖維蛋白裂解產物(fibrin degradation product)之一種 (B) D-dimer 陽性表示有血液凝固系統活化 (C)以單株抗體檢測 D-dimer 可以減少纖維蛋白原(fibrinogen)干擾 (D) D-dimer 陽性表示應該有瀰漫性血管內凝固(disseminated intravascular coagulation)
64 那些凝血因子活性改變會影響凝血酶時間(thrombin time)試驗? (A)第二與第五凝血因子 (B)第八與第九凝血因子 (C)第五與第九凝血因子 (D)纖維蛋白原(fibrinogen)
65 區別骨髓異形成症候群(myelodysplastic syndrome)中的 refractory anemia(RA)與 refractory anemia with ringed sideroblast(RARS)須要靠何種染色技術? (A) iron stain(Perl’s stain) (B) Sudan black B stain (C) peroxidase stain (D) PAS stain
66 病人進行血型測定時,血球和各種抗血清反應為:anti-A(4+),anti-B(-);血清和不同血球反應為: A cells (-),B cells (4+),則該病人的血型應該是: (A) AB (B) O (C) B (D) A
67 Kell 血型系統係由兩個蛋白鏈組成,下列何者所在的鏈與其他三者不同? (A) K 或 k 抗原 (B) Kp
a
或 Kp
b
抗原 (C) Js
a
或 Js
b
抗原 (D) K
x
抗原
68 現絕大多數血庫均未做小交叉試驗,其最主要的原因是: (A)當病人直接球蛋白反應為陽性時,會造成偽陽性反應 (B)捐血者已經做過血清抗體篩檢 (C)捐血者抗體不致於傷害受血者 (D)不會檢出 ABO 不合的輸血
69 下列各種血液成分及其貯存溫度與期限的配對中,何者錯誤? (A)血小板濃厚液:室溫(20~24℃),5 天 (B)紅血球濃厚液(CPDA-1):1~6℃,35 天 (C)白血球濃厚液:室溫(20~24℃),24 小時 (D)新鮮冷凍血漿:零下 20℃以下,5 年
70 下列那些是使用冷凍沉澱品的適應症?① A 型血友病 ② B 型血友病 ③血纖維蛋白原缺乏 ④ von Willebrand 氏病 (A)①② (B)②④ (C)①③④ (D)②③④
71 K0表現型個人紅血球上會有下列那一抗原? (A) K 或 k 抗原 (B) Kpa 或 Kpb抗原 (C) Ku 抗原 (D) Kx抗原
72 酵素會破壞的抗原有那些?① Duffy 抗原 ② Kell 抗原 ③ MN 抗原 ④ Ss 抗原 (A)②③ (B)①② (C)②④ (D)①③④
73 在血袋中添加何種物質,可延長紅血球的保存期限? (A) heparin (B) adenine (C) NaCl (D) citrate
74 若想要測試病人是否在體內(in vivo)即有抗體或補體被覆在紅血球之上,該用何種試驗? (A)直接抗球蛋白試驗(DAT) (B)間接抗球蛋白試驗(IAT) (C)血球凝集抑制試驗(inhibition test) (D)洗出試驗(elution test)
75 下列何種血型的紅血球與 anti-H 或 anti-IH 的反應最強? (A) A1B (B) A
1
(C) B (D) A
2
76 A 血型抗原的決定性醣基為: (A) L-fucose (B) N-acetyl-D-galactosamine (C) D-galactose (D) N-acetyl-D-glucosamine
77 下列何種血型的抗原被發現可作為部分 malaria 侵入紅血球的受體? (A) Rh (B) I/i (C) P (D) Duffy
78 下列那種抗體不屬於 cold antibody? (A) anti-M (B) anti-I (C) anti-P
1
(D) anti-Fy
b
複選題
79 下列有關 anti-Mi
a
抗體的敘述,何者正確? (A)用白種人的 panel cells 可以鑑定出來 (B)台灣捐血中心提供的抗體篩檢細胞能偵測到 Anti-Mi
a
抗體 (C) Anti-Mi
a
抗體只有 IgM (D) Anti-Mi
a
抗體在台灣出現頻率小於 1% .
80 下列何種血品不需經交叉配合試驗,即可輸血? (A) packed RBC (B) WBC concentrate (C) fresh frozen plasma (D) washed RBC
申論題 (0)
相關試卷
115年 - 115-1 專技高考_醫事檢驗師:臨床血液學與血庫學#137349
115年 · #137349
114年 - 114-2 專技高考_醫事檢驗師:臨床血液學與血庫學#128964
114年 · #128964
114年 - 114-1 專技高考_醫事檢驗師:臨床血液學與血庫學#125109
114年 · #125109
113年 - 113-2 專技高考_醫事檢驗師:臨床血液學與血庫學#121666
113年 · #121666
113年 - 113-1 專技高考_醫事檢驗師:臨床血液學與血庫學#118710
113年 · #118710
112年 - 112-2 專技高考_醫事檢驗師:臨床血液學與血庫學#115897
112年 · #115897
112年 - 112-1 專技高考_醫事檢驗師:臨床血液學與血庫學#113129
112年 · #113129
111年 - 111-2 專技高考_醫事檢驗師:臨床血液學與血庫學#109906
111年 · #109906
111年 - 111-1 專技高考_醫事檢驗師:臨床血液學與血庫學#106183
111年 · #106183
110年 - 110-2 專技高考_醫事檢驗師:臨床血液學與血庫學#99961
110年 · #99961