所屬科目:免疫科
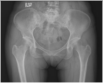
7. 一位47歲的女性患者5年前曾有一次虹彩炎(Iritis)發生,及有一段時期早上起床時會有下背疼痛,後來便逐漸好轉。最近8個月來頸部及兩側肩關節經常酸痛而求診。檢查結果顯示ANA(-),RF(-),CRP 1.74,HLA-B27(+)。另外,家族史中顯示父親有亦有類似情況,而弟弟為乾癬患者。本患者的骨盆的X光照相如圖 ,請問這位患者的最可能的診斷為何? (A) Rheumatoid arthritis (B) Undifferentiated spondyloarthropathy (C) Systemic lupus erythematosus (D) Osteoarthritis (E) Ankylosing spondylitis