阿摩線上測驗
登入
首頁
>
獸醫病理學
> 97年 - 97-1 專技高考_獸醫師:獸醫病理學#41047
97年 - 97-1 專技高考_獸醫師:獸醫病理學#41047
科目:
獸醫病理學 |
年份:
97年 |
選擇題數:
80 |
申論題數:
0
試卷資訊
所屬科目:
獸醫病理學
選擇題 (80)
傳染性犬肝炎病毒所造成的肝臟壞死,屬下列何種? (A)點狀局部壞死 (B)小葉中心區壞死 (C)小葉周邊區壞死 (D)大區域壞死
2.檢查細胞是否死亡最可靠的方法是: (A)觀察細胞質是否腫脹變性 (B)觀察細胞膜是否變形破裂 (C)檢查細胞核是否消失或呈現核濃縮及核破裂 (D)觀察紅血球的結構是否完整
3.類纖維素變性(fibrinoid degeneration),通常用來描述何種組織的變性? (A)上皮組織 (B)軟骨 (C)血管壁 (D)脂肪組織
4.梗塞會導致組織發生下列那一種病變?(A)化生(B)增生(C)凝固壞死(D)黑色素沈著
5.下列有關類澱粉病(amyloidosis)的描述何者正確? (A)病變部位堆積大量澱粉物質 (B)病變部位以弱酸處理後呈現澱粉物質 (C)血行中澱粉素上升 (D)病變部位與碘液反應後呈棕色
6.歐美各國冬天時,家中飼養犬隻偶爾會發生急性腎衰竭現象,下列有關敘述何者正確? (A)誤飲抗凍劑(乙二醇),腎小管上皮呈水腫變性,及草酸鹽結晶存於腎小管腔內 (B)誤飲抗凍劑(乙二醇),腎小管上皮呈類纖維素變性,及草酸鹽結晶存於腎小管腔內 (C)誤食抗黴菌劑,腎小管上皮呈水腫變性,及鈣鹽結晶存於腎小管腔內 (D)誤食抗黴菌劑,腎小管上皮呈類纖維素變性,及硫酸鹽結晶存於腎小管腔內
7.牛氯化萘烷(chlorinated naphthalene)中毒之病理變化為: (A)皮膚角化過度 (B)皮膚青苔樣病變及角化不全 (C)化膿性皮膚炎 (D)介面性皮膚炎和基底膜變厚
8.病豬之牙齒及骨組織呈暗紅色,且有螢光現象,此病變與下列何者有關? (A)氟中毒 (B)四環素中毒 (C)紫質症 (D)血鐵素沈著病
9.下列有關痛風(gout)的敘述,何項錯誤? (A)常發生於人、鳥、爬蟲類 (B)人類普遍發生於關節及其周圍組織 (C)鳥及爬蟲類普遍發生於內臟器官之漿膜 (D)常誘發淋巴球釋放溶素體酵素(lysosomal enzymes)誘發炎症反應
10.下列何者和轉移性鈣化無關? (A)維他命 D 過多症 (B)副甲狀腺機能亢進 (C)腎衰竭 (D)白肌病
11.下列何者與黃脂病(yellow fat disease)無關? (A)患畜腸繫膜與網膜的脂肪內因含有類腦黃素(又稱類蠟質;ceroid)而染成黃色 (B)本病與胰臟炎有密切的關係 (C)屬於一種脂肪組織炎(steatitis) (D)屬於維他命 E 與硒缺乏的一種病症
12.下列何者所產生的色素並非屬於血質(hematins)? (A)瘧疾原蟲 (B)巨大肝吸蟲 (C)肺蛭 (D)亞硝酸鹽中毒
13.下列何者的缺乏,與無色素毛髮(achromotrichia)之發生有關? (A)鐵 (B)鉬 (C)銅 (D)鋅
14.下列何者與動物死後腹部呈現綠色變化有關? (A)變性血紅素(methemoglobin) (B)硫血紅素(sulfhemoglobin) (C) 硫變性血紅素(sulfur methemoglobin) (D)一氧化碳血紅素(carboxyhemoglobin)
15.下列何項不屬於生理性萎縮? (A)成年動物的胸腺 (B)分娩後的子宮 (C)泌乳期後的乳腺 (D)心肌細胞之棕色萎縮
16.下列那一種疾病不會呈現散播性血管內凝血(disseminated intravascular coagulation)病變? (A)豬丹毒 (B)沙氏桿菌症 (C)休克 (D)犬瘟熱
17.馬的前腸繫膜動脈發生寄生蟲性血栓時,可在腸管引起何種病變? (A)梗塞 (B)腫瘤 (C)乾酪樣壞死 (D)脂肪壞死
18.有關這張病理切片的敘述,下列判讀何者正確?
(A)急性腎上腺皮質部出血 (B)荳蔻肝組織病理變化 (C)肺臟鬱血 (D)急性胰臟發炎
19.下列有關發紺(cyanosis)的形成,何項錯誤? (A)還原血紅素減少 (B)血中缺氧 (C)黏膜呈青紫色 (D)心臟疾病
20.下列關於慢性炎症之敘述何項錯誤? (A)由毒力較低或持續存在的刺激物所造成 (B)具明顯滲出液與血管變化 (C)可見膠原纖維(collagen fiber)、纖維母細胞(fibroblast)及巨噬細胞的出現 (D)可見結締組織、網狀內皮細胞與上皮細胞的增殖
21.造成遲緩型過敏反應(delayed hypersensitivity)的原因為: (A)體液免疫反應 (B)細胞免疫反應 (C)凝血系統異常 (D)補體系統異常
22.下列何者與免疫作用無關? (A)人的血清病(serum sickness) (B)犬的全身性紅斑性狼瘡(systemic lupus erythematosus) (C)牛的非典型間質性肺炎(atypical interstitial pneumonia) (D)貓的異位性皮膚炎(atopic dermatitis)
23.關於類固醇(steroid)對炎症反應的影響,下列敘述何項錯誤? (A)可降低血管通透性,減少滲出液 (B)促進肉芽組織生長,有利癒合 (C)抑制吞噬細胞的吞噬能力 (D)可用以治療風濕性關節炎
24.兔子的化膿性炎症反應,其主要的炎症細胞為: (A)淋巴球 (B)嗜中性球 (C)嗜酸性球 (D)異嗜球
25.下列那一種炎症細胞存於組織中,並對血管的通透性及抗凝血作用具有調節作用? (A)嗜酸性球 (B)嗜中性球 (C)血小板 (D)肥胖細胞
26.生長豬的淋巴組織內組織球(histiocyte)細胞質中有成串如葡萄狀大小不一的嗜鹼性包涵體時,是因為下列那種病原的感染? (A)假性狂犬病病毒 (B)痘病毒 (C)細胞巨大病毒 (D)環狀病毒
27.母狗乳房如圓球狀構造,剖面病灶發現腫塊區柔軟具有彈性而其部分區域間有堅石般的 硬塊,組織病理學變化如下圖所示,其較適當的診斷應為:
(A)惡性乳腺腺癌(mammary gland adenocarcinoma) (B)乳腺乳突瘤(mammary gland papilloma) (C)乳腺混合瘤(mixed mammary gland tumor) (D)纖維肉瘤(fibrosarcoma)
28.黃麴毒素(aflatoxin)常會引發下列那一種腫瘤? (A) 肝癌 (B)腎上腺腫瘤 (C)腦膜瘤 (D)胰臟癌
29.牛隻常罹患惡性甲狀腺混合瘤(又稱 ultimobranchial tumor),其腫瘤細胞源自: (A)濾泡細胞(follicular cell)和間葉細胞(mesenchymal cell) (B)C 細胞(C cell)和腫瘤性纖維細胞 (C)間葉細胞(mesenchymal cell) (D)濾泡細胞(follicular cell)與 C 細胞(C cell)
30.有關白血病(leukemia)之描述,下列敘述何者錯誤? (A)白血病係來自骨髓幹細胞之一種腫瘤 (B)腫瘤細胞在骨髓被製造出後,隨即被釋放於血流中,並不在骨髓內形成腫瘤結節 (C)白血病常繼發貧血及出血病症 (D)急性淋巴球性白血病多見於年輕動物
31.下列何者會引起心肌炎? (A)貓疱疹病毒、貓小病毒 (B)豬第二型環狀病毒、豬生殖與呼吸綜合症病毒 (C)犬小病毒、口蹄疫病毒 (D)犬瘟熱病毒、犬乳突狀病毒
32.下列關於金屬病(hardware disease)的敘述,何者錯誤? (A)本病於牛發生 (B)造成創傷性蜂巢胃腹膜炎(traumatic reticuloperitonitis) (C)不會引起纖維素性化膿性心囊炎(fibrinopurulent pericarditis) (D)心衰竭及敗血症而致死
33.當脾臟發生下列何種變化時稱之為西米脾(sago spleen)? (A)紅髓中有過度的髓外造血(extramedullary hematopoiesis),使得紅髓特別突顯 (B)大量澱粉樣物質(amyloid)堆積於脾小結的中央動脈周圍,並逐漸擴大 (C)脾小結因淋巴細胞大量增生,而於脾臟切片出現許多白點 (D)大量吞噬血鐵素(hemosiderin)的巨噬細胞堆積於紅髓中,使得脾臟顏色較為棕黃
34.貓發生鬱血性心肌病(congestive cardiomyopathy)與組織內何項濃度過低有關? (A)胆鹼(choline) (B)胺基乙磺酸(taurine) (C)銅(copper) (D)鈷(cobalt)
35.下列關於法洛氏四重畸形(tetralogy of Fallot)的敘述,何者錯誤? (A)在毛獅狗(Keeshond dogs)為遺傳性疾病 (B)好發於英國牛頭犬(English bulldogs) (C) 臨床主癥為呼吸急促 (D)基本缺陷為圓椎幹脊中隔(conotruncal septum)發育不全及位置異常(malpositioning)造成
36.牛隻罹患傳染性鼻氣管炎(infectious bovine rhinotracheitis)於氣管所呈現的特徵性病變為: (A)纖維素性壞死性偽膜 (B)大型之嗜鹼性質內包涵體 (C)複層扁平上皮細胞增生並呈現角質珠(keratin pearl) (D)角化過度與肉芽腫性結節增生
37.下列有關肺臟膨脹不全(atelectasis)之敘述,何者正確? (A)後天性肺臟膨脹不全之動物,在出生時肺泡無法擴張 (B)流產或死產的胎兒,將肺臟放入水中會浮起來 (C)胎兒出生後,肺臟內之液體不會被吸收,因此和吸入之空氣混在一起,使肺泡擴張 (D)先天性肺臟膨脹不全時,胎兒之 type II pneumocytes 有缺陷,使肺泡無法持續擴張
38.感染運輸熱(shipping fever)牛隻的肺臟呈現下列何種特徵性肺炎? (A)壞疽性支氣管肺炎 (B)肉芽腫性間質性肺炎 (C)纖維素性支氣管肺炎 (D)增殖性間質性肺炎
39.下列有關犬瘟熱(canine distemper)之敘述,何者正確? (A)本病僅發生在犬科動物 (B)本病只侵犯肺臟 (C)本病由呼吸道感染後形成病毒血症,常感染上皮細胞 (D)臨床上無嘔吐和發燒
40.豬隻感染離乳後多系統消耗症候群(postweaning multisystemic wasting syndrome)時, 肺泡壁會變厚,是因為單核細胞及下列何種細胞的增生? (A)typeⅠ肺泡上皮細胞 (B)typeⅡ肺泡上皮細胞 (C)融合細胞 (D)纖維母細胞
41.山羊關節炎腦炎(caprine arthritis-encephalitis; CAE)於肺臟所造成之病變為: (A)間質性肺炎 (B)纖維素性壞死性出血性胸膜肺炎 (C)化膿性支氣管肺炎 (D)非化膿性支氣管肺炎
42.下列有關傳染性馬腺疫(strangles)疾病之敘述,何項錯誤? (A)由鼻腔內常在菌叢 Streptococcus equi 感染所引起 (B)導致化膿性鼻炎 (C)呈現淋巴結腫大,淋巴腺炎 (D)常伴隨化膿性支氣管肺炎之二次性混合感染
43.下列有關牛瘟和牛病毒性下痢的敘述,那些正確?○1皆為高傳染性及低死亡率疾病 ○2病灶內皆有質內包涵體出現 ○3皆造成消化道上皮細胞的壞死 ○4皆造成腸道淋巴組織的壞死 (A)13 (B)14 (C)23 (D)34
44.四氯化碳中毒的肝臟可見: (A)大區域壞死 (B) 小葉中心區壞死 (C)小葉中間區壞死 (D)門脈周圍壞死
45.下列有關貓的脂肪肝症候群(fatty liver syndrome)的敘述,那些正確?○1原因不明 ○2 患畜常為肥胖或厭食的動物 ○3易導致肝衰竭 ○4易導致肝因性腦病(hepatic encephalopathy) (A)13 (B)124 (C)234 (D)1234
46.荳蔻肝之病因為? (A)慢性鬱血 (B)全身高血壓 (C)局部肺水腫 (D)全身水腫
47.有關組織漿菌病(histoplasmosis)之描述,下列何者正確? (A)本病最常見於牛 (B)病灶區有大量上皮細胞堆積,且常見融合細胞 (C)淋巴結腫大,常見壞死鈣化等病變 (D)腸管壁變厚,結節突出及可見潰瘍灶
48.犬或貓長期使用過量非固醇類抗炎症藥,如 aspirin 或 acetaminophen,會導致腎臟呈現何種特徵性病變? (A)腎臟梗塞(renal infarct) (B)腎臟皮質部出血(renal cortical hemorrhage) (C)腎乳頭壞死(papillary necrosis) (D)水腎(hydronephrosis)
49.下列有關中性女牛(freemartin)的敘述何者錯誤? (A)與公犢同胎的女牛,不具生殖能力 (B)早期發育時因胎盤血管相通致雌性胎兒生殖器官發育受影響 (C)中腎旁管(paramesonephric duct)發育仍然良好 (D)中性女牛常有發育不全的儲精囊
50.下列何者會出現在母狗假懷孕(pseudopregnancy)時? (A)助孕酮(progesterone)濃度增加 (B)催乳激素(prolactin)濃度降低 (C)子宮內膜囊腫增生(cystic endometrial hyperplasia) (D)黃體(corpus luteum)萎縮
51.下列有關子宮蓄膿的敘述,何項錯誤? (A)犬貓與假懷孕及子宮囊腫性增生有關 (B)多半發生產前與持續性助孕素存在有關 (C)牛豬亦會發生 (D)牛常在產後子宮復舊不全情況下發生
52.切片下豬有典型的肉芽腫型乳房炎,外有纖維被膜,內有膿汁及典型的「玫瑰花形」 (rosette),可能是下列那一種病原引起? (A)鏈球菌 (B)隱球菌 (C)奴卡氏菌 (D)放線菌
53.下列何者並非以生殖道為主要傳播途徑? (A)牛弧形菌病 (B)牛滴蟲症 (C)豬弓蟲病 (D)公豬布氏桿菌
54.在何種動物缺乏何種物質,容易造成胎兒的腎臟發育不全與不發生? (A)貓葉酸缺乏 (B)豬維他命 A 缺乏 (C)牛維他命 B 缺乏 (D)犬維他命 A 缺乏
55.下列有關貯精囊炎的敘述,何項錯誤? (A)多發生在公牛及公豬 (B)沙門氏桿菌為犬貯精囊重要病原 (C)公馬甚少發生 (D)腺體腫大、呈囊狀、內含膿性滲出物
56.在腎單位中,何者最具吞噬能力? (A)內皮細胞 (B)絲球體血管間細胞 (C)絲球體上皮細胞 (D)鮑氏囊壁層上皮
57.腎臟若發生 acute tubular necrosis 時,在那一部位最容易呈現典型病變? (A)近端彎曲小館 (B)遠端彎曲小管 (C)亨利氏小管 (D)輸尿管
58.豬隻感染豬丹毒(Erysipelothrix rhusiopathiae)時,可呈現多種腎臟病變,但下列何者除外? (A)腎臟梗塞 (B)皮質部出血 (C)絲球體性腎炎 (D)水腎
59.下列何種疾病的病因為銅缺乏? (A)小腦發育不全 (B)脊髓膜膨出 (C)水腦 (D)羔羊彎凹背病(swayback)
60.下列有關奈格利小體(Negri bodies)的描述何者錯誤? (A)嗜酸性,在神經細胞及各神經膠質細胞中均可找到 (B)是狂犬病的特異細胞病變,在診斷上極具價值 (C)在反芻獸小腦的浦金氏細胞(Purkinje cell)及肉食獸的海馬角(hippocampus)中特別容易找到 (D)呈嗜酸性,只出現在神經細胞的細胞質內
61.有關非化膿性腦炎的敘述,下列何者正確? (A)和鏈球菌感染有關 (B)腦組織內可見多量以嗜中性白血球為主的炎症細胞浸潤 (C)和病毒感染有關,且腦實質呈現肉芽腫病變 (D)腦組織有多量以單核細胞為主的炎症細胞浸潤,及神經膠質細胞聚集
62.腦組織病理切片呈現圍管現象(perivascular cuffing),此圍管現象主要發生在何處? (A)Virchow-Robin space (B)endoneurium (C)degenerated neuron (D)Virchow-Rubber space
63.下列何者會導致中樞神經的傷害及腎小管的壞死? (A)錳 (B)銅 (C)鋅 (D)汞
64.下列有關頭部遭重擊所引起的挫傷(contusion),如被車撞,之描述,何者正確? (A)僅遭重擊側的腦膜及腦實質部發生局部大出血,但反方向處則完全正常 (B)遭重擊側的腦膜及腦實質部無出血或僅出現較輕微的出血,但於反方向部位的腦膜實質部卻出現較嚴重的出血 (C)遭重擊側的腦膜及腦實質部均正常,但反方向的腦膜及腦實質部出現點狀出血 (D)發生全面性腦膜及腦實質部的點狀出血
65.1999 年美國紐約地區發生一種人畜共通傳染病,下列敘述何者錯誤? (A)由西尼羅河病毒(West Nile virus)引起 (B)引起人、馬及鳥禽類感染 (C)藉由蚊蟲叮咬傳播 (D)感染以呼吸系統為主
66.馬臨床上若出現頻尿、頻渴、食慾增加、肌肉衰弱及全身性多毛,應懷疑下列何者? (A)pituitary adenoma of pars nervosa (B)pituitary adenoma of pars intermedia (C)hyperthyroidism (D)hypoadrenocorticism
67.一公犬因過敏性皮膚炎長期服藥,近半年來逐漸呈現肥胖、腹部膨大下垂、雙側性脫毛, 但無雌性化現象,應優先懷疑下列何者? (A)睪丸賽托利(Sertoli)細胞瘤 (B)無功能性腦下垂體瘤 (C)類固醇藥物引發之醫源性庫興氏病(iatrogenic Cushing’s disease) (D)阿狄孫氏病(Addison’s disease)
68.下列那些病灶和原發性糖尿病無關? (A)胰島Beta細胞數目減少,顆粒脫失及水樣變性 (B)胰島微血管類澱粉沈著(amyloidosis) (C)胰島內結締組織增生 (D)血管炎
69.下列何者是指在皮膚表皮層中的棘皮層出現水疱或膿疱,同時在水疱或膿疱內漂浮著單獨或聚集成小團塊狀的棘細胞? (A)氣球樣變性(ballooning degeneration) (B)海綿狀水腫(spongiosis) (C)棘皮層增厚(acanthosis) (D)棘皮層細胞鬆脫(acantholysis)
70.下列何種病毒的 DNA 與蛋白質等組成分子均在宿主細胞的細胞質內合成? (A)腺病毒 (B)乳頭狀瘤病毒 (C)疱疹病毒 (D)痘病毒
71.在犬皮膚生檢病例中發現有化膿性肉芽腫性皮膚炎,且在毛囊中可見雪茄樣病原,則可 能罹患何種皮膚病? (A)毛囊蟲病 (B)疥癬蟲病 (C)蠅蛆病 (D)壁蝨症
72.3-4 週齡鴨隻;臨床上呈現跪臥、無法站立,其肉眼及組織病變如下圖,診斷應為:
(A)肌肉炎(myositis) (B)白肌病(white muscle disease) (C)惡性水腫(malignant edema) (D)熱緊迫
73.長期攝食麩皮的馬,頭部異常腫脹、骨骼柔軟刀子即可輕易切斷,其病灶和下列何者有 關? (A)軟骨病(rickets) (B)纖維性骨營養不良症(fibrous osteodystrophy) (C)軟骨營養不良症(chondrodystrophy) (D)軟骨異常形成(chondrodysplasia)
74.下列那些會導致光敏性皮膚炎?○1攝取富含光敏物質的植物 ○2飼料中缺乏鉈 ○3肝功能衰竭 ○4荷爾蒙的不平衡 ○5先天性紫質代謝異常 (A)134 (B)135 (C)235 (D)145
75.下列何者與雞的脫腱症(perosis)無關? (A)錳 (B)磷 (C)菸鹼酸 (D)生物素
76.下列何者是狗的年輕型骨質石化症之原因? (A)贅骨生成過多 (B)骨骺端的骨重吸收不良 (C)骨髓腔過度纖維化 (D)骨髓腔的骨吸收不良
77.豬肘關節部的黏液囊腫(bursal cyst)是一種: (A)先天性畸形 (B)滑液囊的水腫 (C)慢性漿液性黏液囊炎 (D)慢性肌腱炎
78.動物椎間盤向腹側方向突出,比較明顯的後遺症為何? (A)壓迫到附近的內臟 (B)刺激外生骨贅,最終可能導致硬固性椎關節病 (C)壓迫到脊髓並伴有充、出血,水腫,炎症修復 (D)壓迫到背最長韌帶,使脊椎易於斷裂
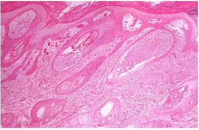
79.下圖所示是狗皮膚的組織病變,本病灶和下列何者有關?
(A)panniculitis (B)folliculitis & furunculosis (C)sebaceous adenitis (D)hidradenitis
80.犬髖關節發育不良(hip dysplasia),容易導致: (A)退型性關節病 (B)骨髓炎 (C)骨質疏鬆症 (D)繼發性纖維性骨營養不良症
申論題 (0)
相關試卷
114年 - 114 公務升官等考試_薦任_獸醫:獸醫病理學#133107
114年 · #133107
114年 - 114 專技高考_獸醫師:獸醫病理學#128959
114年 · #128959
113年 - 113 專技高考_獸醫師:獸醫病理學#121673
113年 · #121673
112年 - 112 專技高考_獸醫師:獸醫病理學#115857
112年 · #115857
111年 - 111 專技高考_獸醫師:獸醫病理學#109876
111年 · #109876
110年 - 110 公務升官等考試_薦任_獸醫:獸醫病理學#103430
110年 · #103430
110年 - 110 專技高考_獸醫師:獸醫病理學#99944
110年 · #99944
109年 - 109-2 專技高考_獸醫師:獸醫病理學#89213
109年 · #89213
109年 - 109-1 專技高考_獸醫師:獸醫病理學#82788
109年 · #82788
108年 - 108 公務升官等考試_薦任_獸醫:獸醫病理學#80181
108年 · #80181