阿摩線上測驗
登入
首頁
>
醫學物理學與輻射安全
> 98年 - 98-2 專技高考_醫事放射師:醫學物理學與輻射安全#36935
98年 - 98-2 專技高考_醫事放射師:醫學物理學與輻射安全#36935
科目:
醫學物理學與輻射安全 |
年份:
98年 |
選擇題數:
80 |
申論題數:
0
試卷資訊
所屬科目:
醫學物理學與輻射安全
選擇題 (80)
1 磁振造影的技術中,脂肪的 T1 值比水的 T1 值短,所以在 T1 weighted(short TR 及 short TE)磁振 影像上,脂肪的訊號比水的訊號: (A)高 (B)低 (C)一樣 (D)無法判定
2 碳 14 的半衰期為 5730 年,請問其衰變常數約為何? (A) 1.21×10
-4
s
-1
(B) 3.31×10
-7
s
-1
(C) 1.38×10
-8
s
-1
(D) 3.84×10
-12
s
-1
3 已知Ra的原子序為 88,請問
226
Ra是屬於那系列的衰變核種? (A) 4n 系列(Thorium) (B) 4n+1 系列(Neptunium) (C) 4n+2 系列(Uranium) (D) 4n+3 系列(Actinum)
4 下列關於放射性核種衰變的敘述,何者正確?
(A)若
Ra 的 α 蛻變所釋放出來的能量 Q 為 4.87 MeV,則 α 粒子的動能為 0.086 MeV 22688
(B)β
-
衰變的方式為
(C)
18
F常利用核反應器製造
(D)電子捕獲的反應式為
5 若兩物體之間發生彈性碰撞,則兩物體之間的動能和與動量和須符合下列那一條件? (A)動能和減少,動量和增加 (B)動能和增加,動量和不變 (C)動能和不變,動量和不變 (D)動能和不變,動量和增加
6 使用一 X 光管暴露 5 次,每次的操作條件是 100 kVp, 150 mA, 2 sec。若此 X 光機是固定電壓的 X 光 機,則陽極沉積的能量為何? (A) 202 J (B) 202 kJ (C) 150 J (D) 150 kJ
7 一影像增強器(image intensifier)的輸入磷光體(input phosphor)直徑為 22.86 cm,輸出磷光體 (output phosphor)直徑為 2.54 cm,電子放大率(electronic gain)為 50,其縮小放大率(minification gain)為: (A) 9 (B) 81 (C) 450 (D) 4050
8 在乳房攝影中常見之特性 X 光,17.5 keV / 19.6 keV / 20.2 keV / 22.7 keV 依序分別為: (A)鉬靶K
α
/鉬靶K
β
/銠靶K
α
/銠靶K
β
(B)鉬靶K
β
/鉬靶K
α
/銠靶K
β
/銠靶K
α
(C)銠靶K
α
/銠靶K
β
/鉬靶K
α
/鉬靶K
β
(D)銠靶K
β
/銠靶K
α
/鉬靶K
β
/鉬靶K
α
9 一個能量為Eo的入射光子,發生同調散射(coherent scattering)後能量變成Es,則下列何者正確? (A)E
o
<
E
s
(B)E
o
>
E
s
(C)E
s
等於零 (D)E
o
等於Es
10 請問鎢靶的Kβ輻射其能量為何?(K, L, M層軌道電子結合能分別為 70 keV, 12 keV, 3 keV) (A) 58 keV (B) 67 keV (C) 55 keV (D) 9 keV
11 下列何者能增加 X 光的最高能量? (A)增加管電流 (B)增加管電壓 (C)增加濾片 (D)使用高頻電源
12 下列何者並非基本粒子(elementary particle)? (A)中子 (B)微中子 (C)電子 (D) α 粒子
13 有一射束含 500 個光子,射入 12 公分厚、直線衰減係數為 0.2 cm
-1
的物質,則有多少光子跟物質 作用? (A) 6 (B) 45 (C) 455 (D) 494
14 每平方公分 10
4
個 20 MeV的電子射入水中,其游離阻擋本領和輻射阻擋本領分別為 2.063 和 0.4097 MeV/cm,請問在最表面 1 mm的深度,因制動輻射所帶走的能量為多少MeV? (A) 2063 (B) 409.7 (C) 20.63 (D) 4.097
15 已知鉛(Pb)的密度為 11.4 g/cm
3
,且其原子量為 207.21,則每立方公分(cm
3
)的鉛原子數約為: (A) 3.3×10
22
個 (B) 2.1×10
23
個 (C) 5.6×10
22
個 (D) 6.0×10
21
個
16 有關光子與物質的作用,下列敘述何者錯誤? (A)主要作用包括光電效應,康普吞散射及成對發生 (B)放射診斷科主要應用光電效應得到清晰的影像 (C)放射治療科應用的光子能量較高,大多數屬於康普吞作用的範圍 (D)病患接受放射治療後,因為成對發生的效應,體內仍然不斷放出輻射
17 附圖為一透視攝影示意圖,其中 A / B / C / D 分別為:
(A) X 光管/光柵/準直儀/影像增強器 (B) X 光管/準直儀/光柵/影像增強器 (C)影像增強器/光柵/準直儀/X 光管 (D)影像增強器/準直儀/光柵/X 光管
18 SSD為 80 cm,照野為 15×15 cm
2
,深度為 10 cm時的PDD為 58.4(鈷 60 射束),若照野與深度不變 的情況下,SSD變為 100 cm時,PDD為何? (A) 56 (B) 57.2 (C) 59.6 (D) 60.9
19 X 光電腦斷層掃描中,射束數量(number of rays)主要影響下列何種解析度? (A)左右方向(left-right) (B)前後方向(anterior-posterior) (C)徑向(radial) (D)環向(circumferential)
20 輻射使半導體偵檢器產生一電子電洞對,約需要多少能量? (A) 33.97 eV (B) 33.97 J (C) 3.5 eV (D) 3.5 J
21 下列何者是屏蔽快中子的最佳選擇? (A)硼 (B)鎘 (C)水 (D)銅
22 電容游離腔(condenser chamber)之敏感度(sensitivity)與下列何者成反比? (A)電容大小 (B)游離腔體積 (C)氣體密度 (D)氣體質量
23 一攝護腺癌病人置入103Pd(T1/2=17 days)做永久性插種治療,若初始劑量率為 0.42 Gy/h,則置入病 人體內一個月後病人接受多少Gy的劑量? (A) 87 (B) 113 (C) 121 (D) 174
24 在單光子斷層掃描病人時,假如距離偵檢器(detector)的三個位置分別為:a=5 cm,b=8 cm 和 c=10 cm。則那一個位置會有最大的光子衰減(attenuation)? (A) a (B) b (C) c (D)三者皆同
25 Ge(Li)偵檢器是屬於下列何種偵檢器? (A)半導體偵檢器 (B)充氣式偵檢器 (C)閃爍偵檢器 (D)熱發光劑量計
26 核種之生物半衰期及有效半衰期分別為 8 小時及 4 小時,試問該核種之衰變常數(decay constant) λ(h
-1
)為何? (A) 0.086 (B) 0.076 (C) 0.066 (D) 0.056
27 頻率為 5 MHz,具有兩週波(Two-cycle)之脈衝超音波在波速為 1500 m/s 之軟組織中,其軸線解像 力(Axial Resolution)為多少? (A) 0.1 mm (B) 0.3 mm (C) 0.5 mm (D) 0.9 mm
28
99
Mo-
99
mTc產生器中母核種可經由下列何種途徑產生? (A)
98
Mo(n, γ) (B)
235
U(n, γ) (C)
238
U(n, n') (D)
98
Mo(
1
2
H , p)
29 在脈衝式超音波中,若提高脈衝重複頻率(Pulse Repetition Frequency),則其 SPTA(Spatial Peak Temporal Average)強度改變為何? (A)升高 (B)降低 (C)不變 (D)消失
30 下列關於超音波在組織中傳播速度的敘述,何者正確? (A)與頻率成正比 (B)與頻率成反比 (C)與波長成正比 (D)與組織密度有關
31 超音波軸線解像力(Axial Resolution)可藉由下列何者來改善? (A)阻尼作用(Damping) (B)聚焦(Focusing) (C)吸收(Absorbing) (D)反射(Reflection)
32 磁振造影技術中,會使用到梯度磁場(gradient, Gx, Gy, Gz),其功能為何? (A)產生空間解析度 (B)增加訊雜比 (C)降低 radio frequency pulse 的能量 (D)使磁矩翻轉到 xy 平面
33 磁振造影的技術中,需要使用到 RF(radio frequency)的脈衝,下列何者可使磁矩偏轉到所需要的 角度? (A)電場 (B)磁場 (C)電場和磁場同時作用 (D)電場或磁場,其中任一個場存在即可
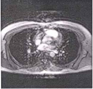
34 附圖是一張胸部的磁振影像,很明顯地可以看到中央垂直方向有假影,下列有關這張磁振影像的敘 述,何者錯誤?
(A)假影是由心跳所造成的 (B)取影切面是 axial (C)水平方向是 frequency encoding 方向 (D)受試者在取影時暫停呼吸(breath holding),可以減少這種假影
35 下列關於強度調控放射治療(intensity modulation radiation therapy,IMRT)的敘述,何者正確?①使用 2D治療計畫 ②降低腫瘤治療劑量 ③降低正常組織併發機率 ④增加腫瘤周圍正常組織與重要器 官的給予劑量 (A)③ (B)③④ (C)②③④ (D)①②③④
36 一放射師在距離點射源 50 公分處所接受到的劑量為 0.1 mSv,若欲使接受劑量降到 0.05 mSv,則距 離應調整為距射源多少公分? (A) 171 (B) 100 (C) 71 (D) 50
37 距某射源某距離處,計算得其空氣克馬率(air Kerma rate)為 1(Gy/h),請問其暴露率為多少 R/h? [w/e=33.97(eV/ion)] (A) 114 (B) 31.5 (C) 8.69 (D) 256
38 下列輻射劑量計中,何者最適宜作為臨床活體(in vivo)劑量之量測? (A)熱發光劑量計 (B)化學劑量計 (C)熱卡計 (D)游離腔
39 一窄射束共有 100 個光子,經過 2 mm 厚的鋁物質,有 75 個光子跟鋁物質作用,請問鋁對該射束的 半值層為多少 mm? (A) 0.5 (B) 1.0 (C) 2.0 (D) 4.0
40 下列何者為吸收劑量的單位? (A) Gy(J/kg) (B) Sv(J/kg) (C) exposure(C/kg) (D) Bq(disintegration/s)
41 增建因數(build-up factor)和輻射能量與介質厚度有關,下列何種搭配所得的增建因數最小? (A)介質厚,能量高 (B)介質厚,能量低 (C)介質薄,能量高 (D)介質薄,能量低
42 有一鈷 60 密封射源 7.4×10
8
貝克,今欲置於厚的鉛罐內,再以箱型車運送,鉛罐距離司機的位置為 1.2 米,問司機位置的輻射劑量率小於 0.02 mSv/h時,鉛罐厚度應約為幾公分?(鈷 60 的γ放射比為3.7×10
-4
mSv-m
2
/hr-MBq,鉛比重 11.0 g/cm
3
,對鈷 60 的質量衰減係數 0.0595 cm
2
/g,增建因數不考 慮) (A) 1.0 (B) 2.2 (C) 3.4 (D) 5.0
43 輻射傷害的第一步驟非常短,大約在千分之幾秒內完成,其結果是在作用物內造成游離,而出現某 些現象。請問下列那一個現象不會在千分之幾秒內出現? (A)產生熱 (B)使皮膚紅腫 (C)使作用分子的分子鍵被打斷 (D)使作用原子被激發
44 定義快中子擴散長度為「快中子進入介質減速至熱中子所經平均直線距離」。請問H
2
O(液態)、 Be與石墨(C)的快中子擴散長度之大小順序為何? (A)C>Be>H
2
O (B)H
2
O>C>Be (C)C>H
2
O>Be (D)Be>H
2
O>C
45 相同的吸收劑量,下列那一種輻射造成的體內生物效應最大? (A) α 粒子 (B) β 粒子 (C) γ 射線 (D) X 射線
46 訪客進入輻射管制區,應佩帶何種劑量計最適宜? (A)弗立克劑量計 (B)液晶劑量計 (C)袖珍劑量筆 (D)液態閃爍偵檢儀
47 化學劑量計多應用於何種輻射場的測量? (A)環境背景輻射 (B)人員劑量計 (C)高劑量場所 (D)能譜分析
48 低能量 X 光與高原子序物質作用的主要機制是: (A)光電效應 (B)康普吞效應 (C)成對效應 (D)光蛻變
49 下列偵檢器何者不能作為能譜分析用? (A)碘化鈉偵檢器 (B)比例計數器 (C)蓋革計數器 (D)鍺(鋰)偵檢器
50 輻射示警標誌之顏色為: (A)圖底為黃色,三葉形為紫紅色 (B)圖底為紫紅色,三葉形為黃色 (C)圖底為黃色,三葉形為紅色 (D)圖底為紅色,三葉形為黃色
51 十六歲至十八歲接受輻射作業教學或工作訓練者,一年內之有效劑量不得超過多少毫西弗? (A) 1 (B) 6 (C) 20 (D) 100
52 在我國現行游離輻射防護法規中,下列何器官組織之加權因數較大? (A)甲狀腺 (B)肺 (C)胃 (D)性腺
53 下列那種情況不得採行緊急暴露? (A)搶救財物 (B)搶救生命或防止嚴重危害 (C)減少大量集體劑量 (D)防止發生災難情況
54 依「游離輻射防護法」及其施行細則規定,應經主管機關許可之輻射作業,何者須完成試運轉始可 取得許可證照? (A)使用許可類放射性物質 (B)使用許可類可發生游離輻射設備 (C)製造可發生游離輻射設備 (D)生產放射性物質
55 經依「游離輻射防護法」規定廢止許可證或登記者,自廢止之日起多久之內不得申請同類的許可證 或登記備查? (A) 6 個月 (B) 1 年 (C) 2 年 (D) 5 年
56 放射性物質永久停止使用,經核准以放射性廢棄物處理時,設施經營者應於多久期間內,將放射性 廢棄物運送至接收單位? (A) 1 個月 (B) 2 個月 (C) 3 個月 (D) 6 個月
57 所有涉及增加輻射劑量之作業,其利益須超過代價,此係屬輻射防護劑量限制系統之何項原則? (A)正當化 (B)最適化 (C)劑量限制 (D)合理抑低
58 設施經營者對進入輻射管制區之輻射工作人員,應先審查一些紀錄,下列何者非屬「輻射工作場所 管理與場所外環境輻射監測作業準則」規定其應審查之項目? (A)輻射作業紀錄 (B)輻射防護安全訓練紀錄 (C)輻射劑量紀錄 (D)體格檢查、健康檢查紀錄
59 依「放射性物質與可發生游離輻射設備及其輻射作業管理辦法」規定,下列何項作業不被允許? (A)同一 X 光室裝置 2 部醫用可發生游離輻射設備,各設備間置有切換開關 (B)同一治療室裝置 2 部含放射性物質之醫用機具,各機具間置有切換開關 (C)同一 X 光室裝置 4 部醫用可發生游離輻射設備,各設備間置有切換開關 (D)於設置安全連鎖、監視器及緊急停止等裝置之治療室中,使用放射性物質之醫用治療機具
60 阻擋本領(stopping power)愈大時,帶電粒子的射程(range)會如何變化? (A)愈長 (B)愈短 (C)沒影響 (D)不一定
61 下列 X 光機的參數中,何者與 X 光的穿透力最相關? (A) mAs (B) watt (C) H.U.(heat unit) (D) kVp
62 某物質厚 2 cm 將加馬射束之強度減為原來之 80%,則 6 cm 之該物質可將加馬射束減為原來之多少? (A) 20.3% (B) 41.7% (C) 51.2% (D) 76.2%
63 度量輻射的能量吸收時常用直線能量轉移(linear energy transfer),請問直線能量轉移的單位為何? (A)keVµm
-1
(B)keVg
-1
(C)keVµm
-2
(D)keVµm
-3
64 高能量 β 粒子的屏蔽設計,應選擇何者較佳? (A)低原子序之材質 (B)高原子序之材質 (C)先用低原子序再加上高原子序之材質 (D)先用高原子序再加上低原子序之材質
65 直線加速器治療室之走道設計成彎曲之迷宮的主要目的是: (A)防止病人由室內開門 (B)減少室外人員受到散射輻射 (C)保護病人隱私 (D)減低病人受治療的劑量
66 國內診斷型 X 光機最常用的主射束濾片材料為: (A)鎢 (B)鈾 (C)鉬 (D)鋁
67 某一 X 光機平均每天做骨盆照相 38 張(平均設定條件 80 千伏特,100 毫安培–秒)及胸部照相 70 張(平均設定條件 80 千伏特,10 毫安培–秒),每星期工作五天,則此部 X 光機之工作負載 是多少? (A) 75 毫安培–分/週 (B) 240 毫安培–分/週 (C) 375 毫安培–分/週 (D) 540 毫安培–分/週
68 體內放射性污染常用的偵測方法有全身計測法及生物鑑定法,下列那一項不是全身計測法之優勢? (A)可直接自體外計測體內所含核種及活度 (B)可自體外直接測到體內所含核種的位置 (C)可以測量 α、β、γ 等任何核種 (D)對 γ 核種的測量甚為方便,高能量 β 核種也可能測量
69 下列何者不是光電倍增管的元件? (A) diode (B) anode (C) dynode (D) photocathode
70 下列鋰(Li)的同位素中,何者最適合做為熱中子偵測用? (A)
6
Li (B)
7
Li (C)
8
Li (D)
9
Li
71 一輻射計測 5 秒,淨計數為 1600 次,計數率及標準偏差為多少 cps? (A) 320±40 (B) 320±18 (C) 320±12 (D) 320±8
72 下列那一種輻射偵檢器的操作電壓最高? (A)蓋革計數器 (B)比例計數器 (C)游離腔 (D)高壓游離腔
73 若 a 和 b 分別代表 250 kVp 的 X 光及某一輻射產生相同輻射生物效應的吸收劑量,則相對生物效應 RBE 的值為何? (A) a+b (B) a-b (C) a/b (D) b/a
74 距離銫 137 點射源 1 公尺處之劑量率為 2890 µSv/h,若要使此點之劑量率降為 25 µSv/h,應於其間加 多厚的鉛屏蔽?(鉛之直線衰減係數為µ=1.24 cm-1 ,假設增建因數為 1) (A) 0.33 公分 (B) 1.27 公分 (C) 2.53 公分 (D) 3.83 公分
75 若α粒子在空氣中的射程為 3.95 公分,假設人體組織的密度是 1 g/cm
3
,則此α粒子在組織中的射程約 是多少公分?(假設空氣的密度為 0.0013 g/cm
3
) (A) 3.1×10
-3
(B) 5.1×10
-3
(C) 7.1×10
-3
(D) 9.1×10
-3
76 一 γ 點射源之活度增為 4 倍,且偵測點距射源之距離亦增為 4 倍,若不考慮衰減與增建因數,則偵 測點之劑量率為原偵測點所測得劑量率之多少倍? (A) 1/4 (B) 1 (C) 4 (D) 16
77 細胞在細胞週期的那一時期對放射線最敏感? (A)M (B)S (C)G0 (D)G1
78 輻射工作人員使用 TLD 人員劑量計時,則下列敘述何者正確? (A)穿著鉛衣時,人員劑量計佩戴於鉛衣內外皆可 (B)接受醫療暴露時,亦應佩戴人員劑量計 (C)可與其他人共用一個人員劑量計 (D)使用人不得故意讓人員劑量計接受輻射暴露
79 下列造成環境輻射的放射性核種中,何者主要來自於核武器試爆? (A)
87
Rb (B)
40
K (C)
239
Pu (D)
222
Rn
80 組織加權因數之國際制單位為: (A)Sv
-1
(B)Sv (C)G
-1
(D)無單位
申論題 (0)
相關試卷
115年 - 115-1 專技高考_醫事放射師:醫學物理學與輻射安全#137346
115年 · #137346
114年 - 114-2 專技高考_醫事放射師:醫學物理學與輻射安全#128973
114年 · #128973
114年 - 114-1 專技高考_醫事放射師:醫學物理學與輻射安全#125126
114年 · #125126
113年 - 113-2 專技高考_醫事放射師:醫學物理學與輻射安全#121689
113年 · #121689
113年 - 113-1 專技高考_醫事放射師:醫學物理學與輻射安全#118733
113年 · #118733
112年 - 112-2 專技高考_醫事放射師:醫學物理學與輻射安全#115881
112年 · #115881
112年 - 112-1 專技高考_醫事放射師:醫學物理學與輻射安全#113167
112年 · #113167
111年 - 111-2 專技高考_醫事放射師:醫學物理學與輻射安全#109904
111年 · #109904
111年 - 111-1 專技高考_醫事放射師:醫學物理學與輻射安全#106168
111年 · #106168
110年 - 110-2 專技高考_醫事放射師:醫學物理學與輻射安全#99931
110年 · #99931