阿摩線上測驗
登入
首頁
>
醫學二:100題 ( 包括生理學,生化學,藥理學,病理學等科目及其臨床相關知識 )
> 98年 - 98-2 專技高考_醫師、醫師(一):醫學(二)(包括生理學、生化學、藥理學、病理學等科目及其臨床相關知識)#47788
98年 - 98-2 專技高考_醫師、醫師(一):醫學(二)(包括生理學、生化學、藥理學、病理學等科目及其臨床相關知識)#47788
科目:
醫學二:100題 ( 包括生理學,生化學,藥理學,病理學等科目及其臨床相關知識 ) |
年份:
98年 |
選擇題數:
100 |
申論題數:
0
試卷資訊
所屬科目:
醫學二:100題 ( 包括生理學,生化學,藥理學,病理學等科目及其臨床相關知識 )
選擇題 (100)
1 阻塞性睡眠呼吸中止症候群患者最常發生呼吸中止是在睡眠的那一個時期? (A)非快速動眼期(non-REM)stage 1 (B)非快速動眼期 stage 2 (C)非快速動眼期 stage 3 (D)快速動眼期(REM)
2 精子的生成過程(spermatogenesis)需經過減數分裂(meiosis)。有關減數分裂的敘述,下列何者最 正確? (A) 同源染色體(homologous chromosome)聯會(synapsis)可發生於減數分裂及有絲分裂(mitosis)時 (B)同源染色體聯會之後會發生同源片段的遺傳物質互換(crossing over) (C)性染色體(sex chromosome)X 和 Y 由於大小相差太大,無法發生如體染色體(autosome)一樣的 同源染色體聯會 (D)第一次減數分裂(meiosis I)是著絲粒(centromere)分離,同源染色體並不分離
3 胎盤對於胎兒之生長發育極為重要,此乃由於其能提供猶如成人除了下列何者以外重要器官之功能? (A)腎臟 (B)腸胃道 (C)肺臟 (D)外分泌腺體
4 缺乏那一種激素是引起尿崩症(diabetes insipidus)的主要原因?此激素在何處生成(synthesis)? (A) 血管加壓素(vasopressin);腦下腺後葉 (B)催產素(oxytocin);腦下腺後葉 (C)催產素;下視丘 (D)血管加壓素;下視丘
5 一位 60 歲的男性急性心肌梗塞發作,經急救人員施救後送來急診室。抽血檢驗發現:血中的pH 7.12, PCO2 58 mmHg,血中的HCO
3
-
為 18 mEq/L,下列有關他體內酸鹼平衡的敘述,何者正確? (A)呼吸性酸中毒(respiratory acidosis)合併部分性腎代償 (B)代謝性酸中毒(metabolic acidosis)合併部分性呼吸代償 (C)呼吸性酸中毒合併代謝性酸中毒 (D)呼吸性鹼中毒(respiratory alkalosis)合併代謝性鹼中毒(metabolic alkalosis)
6 在正常情況下,決定腎絲球濾過率(G
FR
)的史氏力量(Starling forces)中,絕對值最大的為何? (A) 腎絲球微血管內血漿的膠性滲透壓(Π
GC
) (B)腎絲球微血管內的壓力(P
GC
) (C)鮑氏囊中的壓力(P
BS
) (D)鮑氏囊中腎絲球濾過液的膠性滲透壓(Π
BS
)
複選題
7 有關於體內鈉離子(Na
+
)之生理調控及通透,下列敘述何者正確? (A)鈉離子濃度在細胞內液最高 (B)鈉離子的再吸收主要是靠在近端腎小管之主動運輸(active transport) (C)鈉離子的離子濃度梯度(concentration gradient)提供氫離子(H
+
)共同通透(co-transport)所需 的能量 (D)鈉離子通過腎元(nephron)之頂管腔膜(apical membrane)主要是靠主動運輸
8 全胃切除的病人,可能產生下列何種疾病? (A) 夜盲症 (B)貧血 (C)軟骨症 (D)骨質疏鬆症
9 下列何種離子大量進入消化道平滑肌細胞,會引發 spike potential 後引起平滑肌收縮? (A)鈉離子 (B)鉀離子 (C)鈣離子 (D)鎂離子
10 下列何者會因小腸中出現酸性食糜而分泌? (A)胃抑素(gastric inhibitory polypeptide) (B)胃泌素(gastrin) (C)飢餓素(ghrelin) (D)胰泌素(secretin)
11 下列何種疾病少有肺塌陷(atelectasis)情形? (A)氣胸(pneumothorax) (B)乳糜胸(chylothorax) (C)新生兒呼吸窘迫症候群(neonatal respiratory distress syndrome) (D)周邊性肺癌
12 李先生到醫院進行各項肺容積之測量,測量結果顯示總肺活量(total lung capacity)為 5800 毫升,餘 容積(residual volume)為 1000 毫升,功能性肺餘容量(functional residual capacity)為 1800 毫升,潮 氣容積(tidal volume)為 500 毫升。李先生的呼氣儲備容積(expiratory reserve volume)為多少毫升? (A) 800 (B) 1300 (C) 1500 (D) 2300
13 一位健康者於平靜呼氣過程中,不會發生下列何種情況? (A) 肺泡壓(alveolar pressure)為正壓 (B)肋膜內壓(intrapleural pressure)為負壓 (C)外肋間肌(external intercostal muscles)收縮 (D)約與吸氣的氣體總量相同
14 下列何者不是休克治療失敗(refractory shock 或 irreversible shock)的可能原因? (A)大腦嚴重缺血(severe cerebral ischemia) (B)血液容積持續不足(persistent reduction of blood volume) (C)心肌受到抑制而衰竭(myocardial depression / failure) (D)急性呼吸窘迫症候群(acute respiratory distress syndrome, ARDS)
15 正常時,下列何種 immunoglobulin(Ig)在血中濃度最高?何種最低? (A) IgM 最高,IgA 最低 (B) IgA 最高,IgG 最低 (C) IgE 最高,IgM 最低 (D) IgG 最高,IgE 最低
複選題
16 關於不同部位之動脈壓力的敘述,下列何者正確? (A) 心室開始收縮時,主動脈內壓力高於左心室內壓力 (B)心室開始舒張時,左心室內壓力高於左心房內壓力 (C)頸動脈內壓力通常高於上臂及橈動脈內壓力 (D)下肢動脈壓力通常高於頸動脈內壓力
17 下列有關 nitric oxide synthase(NOS)的敘述,何者正確? (A) NOS 1(nNOS)存在於神經系統,可被交感神經刺激而活化 (B) NOS 2(iNOS)存在於免疫細胞及巨噬細胞(macrophage),可被 bradykinin 活化 (C) NOS 3(eNOS)存在於血管內皮細胞(endothelial cell),可被 cytokine 活化 (D) NOS 1、NOS 2 及 NOS 3 所產生之 NO 會被血紅素(hemoglobin)去活化
18 Gap junction 常見於下列那些肌肉細胞? (A) single-unit smooth muscle 與 skeletal muscle (B) multi-unit smooth muscle 與 cardiac muscle (C) single-unit smooth muscle 與 cardiac muscle (D) skeletal muscle 與 cardiac muscle
19 下列有關惡性高溫(malignant hyperthermia)的敘述,何者錯誤? (A)與鈣離子的 homeostasis 失調有關 (B)可能與 ryanodine receptor 蛋白的基因缺損有關 (C)可能與肌漿網(sarcoplasmic reticulum)受器蛋白的基因缺損有關 (D)主要因為肌肉無法進行收縮作用
20 下列何者為糖尿病多發性神經病變(diabetic polyneuropathy)病患的特徵之一? (A) Babinski sign (B) Areflexia (C) Grasp reflex (D) Exaggerated stretch reflex
21 造成耳蝸(cochlea)內 hair cell 去極化的機轉為何? (A) 鉀與鈣離子由 endolymph 流入 hair cell (B)鉀與鈣離子由 perilymph 流入 hair cell (C) 鈉與鈣離子由 endolymph 流入 hair cell (D)鈉與鈣離子由 perilymph 流入 hair cell
22 在視覺神經傳導路徑中,最早產生動作電位(action potential)的細胞為何? (A) Bipolar cell (B) Ganglion cell (C) Horizontal cell (D) Photoreceptor cell
23 在自主神經系統中,清除神經末梢所釋放之 acetylcholine 之最主要機制為何? (A)神經末梢之再回收(re-uptake)機制 (B)被 acetylcholinesterase 水解 (C)擴散至鄰近微血管內之血流 (D)不會被清除
24 一位 30 歲健康男性因車禍嚴重陰囊外傷,而切除兩側睪丸。切除兩側睪丸後,並未予以補充睪酮 (testosterone)。該患者所發生之生理變化,下列何者正確? (A) 身高會變得更高一些 (B)聲音會變得像青春期之前般的童音 (C)陰部毛髮會逐漸變得稀疏 (D)陰莖勃起功能會消失
25 下列那一種腦下腺激素負責引起排卵? (A)泌乳素(prolactin) (B)黃體促素(luteinizing hormone) (C)催產素(oxytocin) (D)甲促素(thyrotropin)
26 下列何種激素須經由細胞膜上受體才能產生作用? (A) Glucocorticoid (B) Thyroid hormone (C) Insulin (D) Estrogen
27 下列何者不會出現於 phenylketonuria 病患的尿液中? (A) Phenylalanine (B) Phenylpyruvate (C) Para-hydroxyphenylpyruvate (D) Phenylacetate
複選題
28 在新生兒病房,有一位 1 天大的小男嬰常常都在睡眠狀態,進食欠佳且出現嘔吐,抽血結果發現血 液中氨(ammonia)濃度異常的高。下列相關敘述何者正確? (A) 氨是糖類的代謝物 (B)人體細胞可以利用氨來做為胺基酸的合成 (C)尿素循環(urea cycle)方面的疾病可引起血液中氨升高 (D)由於人體有血腦障壁(blood-brain barrier),所以氨不會進入腦部
複選題
29 下列那一個胺基酸可以降解成 fumarate? (A) Phenylalanine (B) Alanine (C) Cysteine (D) Serine
30 粒線體氧化磷酸化的過程所產生的·O
2
-
自由基,可由下列那一個酵素去除? (A) NADH dehydrogenase (B) Glutathione peroxidase (C) Glutathione reductase (D) Superoxide dismutase
31 動物呼吸氧(O
2
)進入細胞進行氧化磷酸化,O
2
最終會轉變為何種物質? (A)H
3
PO
4
(B)CO
2
(C)CO (D)H
2
O
32 有關甘油-3-磷酸穿梭路徑(glycerol 3-phosphate shuttle)之敘述,下列何者正確? (A) 此穿梭路徑將細胞質的 NADH 穿過粒線體內膜運送至間質(matrix)而得到 3ATP / NADH (B)此穿梭路徑可將細胞質的NADH轉換為NAD
+
,同時在粒線體生成FADH
2
(C)此穿梭路徑不需要粒線體甘油-3-磷酸脫氫酶(mitochondrial glycerol 3-phosphate dehydrogenase)的 參與 (D)此穿梭路徑需要蘋果酸脫氫酶(malate dehydrogenase)的參與
33 一位接受腎臟移植手術的病患,需長期服用環孢靈素(cyclosporine)來對抗排斥作用,下列有關此 藥之敘述,何者正確? (A)環孢靈素不會產生腎毒性,最適合腎臟移植病患使用 (B)環孢靈素經過細胞色素 P450(cytochrome P450)代謝,變成親水性,從腎臟排泄 (C)葡萄柚汁(grapefruit)本身含有類黃酮(flavonoid),能幫助電子傳遞,與環孢靈素一起服用不會 影響環孢靈素血中濃度 (D)抗生素紅黴素(erythromycin)並不經由細胞色素 P450 代謝,因而不會影響環孢靈素血中濃度
34 有一種體染色體隱性(autosomal recessive)遺傳的疾病,稱為 familial chylomicronemia,病人血液中 的 triglyceride 會因下列何種基因突變,因此造成高血脂症? (A) Pancreatic lipase (B) Endothelial lipase (C) Lipoprotein lipase (D) HMG-CoA reductase
35 阿斯匹靈是常用之解熱鎮痛藥劑,它主要是抑制下列那一項激素的產生? (A) Leukotriene (B) Testosterone (C) Insulin (D) Prostaglandin
36 下列那一項是 DNA 和 RNA 共同的特性? (A) 皆為雙股 α 螺旋鏈 (B)合成過程都具有相同校正機制避免錯誤 (C)皆含有磷酸根、醣及鹼基 (D)在五碳糖的第二個位置都是-OH 基
37 下列關於真核生物 RNA 的敘述,何者錯誤? (A) 5'-cap 可保護 mRNA 的端點,增加其穩定性 (B) rRNA 及 tRNA 均無 5'-cap (C) mRNA 之 3' poly(A)序列是依循模板(template)DNA 上 poly(T)而來 (D) histone 的 mRNA 沒有 3' poly(A)序列
38 下列有關著色性乾皮症(xeroderma pigmentosum)的敘述,何者錯誤? (A) 是一種遺傳性疾病 (B)病患對紫外光(ultraviolet)敏感,容易產生皮膚癌 (C)部分病患伴隨神經異常(neurological abnormalities) (D)因為缺乏鹼基切除修復(base excision-repair)功能代號:2101頁次:8-4
39 岡崎氏片段(Okazaki fragments)會在下列何種生物過程中出現? (A)轉錄作用(transcription) (B)轉譯作用(translation) (C) DNA 重組(DNA recombination) (D) DNA 複製(DNA replication)
40 下列何種酵素不會參與 DNA 複製(DNA replication)? (A) DNA 拓樸異構酶(DNA topoisomerase) (B)解螺旋酶(helicase) (C)單股 DNA 鍵結蛋白(single-stranded DNA binding protein) (D)依賴 DNA 的 RNA 聚合酶(DNA-dependent RNA polymerase)
41 癌症腫瘤細胞傾向進行無氧呼吸,下列關於無氧呼吸 glucose 代謝的敘述,何者錯誤? (A)產生 ATP 較少 (B)產生 lactate 較多 (C)產生 acetyl-CoA 較多 (D) Krebs cycle 參與的程度較低
42 臨床上我們可以將患者 DNA 經過亞硫酸氫鈉(sodium bisulfite)處理過後,使未被甲基化的細胞嘧 啶(cytosine)轉變成尿素嘧啶(uracil),經由 PCR 放大特定基因之序列,再藉由兩股的解離溫度 不同而判別其甲基化的程度。下圖中何者甲基化程度較高? (A)A股 (B)B股 (C) A 股和 B 股的甲基化程度一樣高 (D)資料不足,無法判讀
43 下列那種酵素活性高低會影響 NADPH 的形成以及 glutathione 的還原狀態? (A) Glucose 6-phosphate dehydrogenase (B) Pyruvate dehydrogenase (C) Lactate dehydrogenase (D) Alcohol dehydrogenase
44 調控紅血球與O
2
親合力的重要因子為 2,3-bisphosphoglycerate,它由下列那種代謝作用所提供? (A)酮體生成作用(ketogenesis) (B)糖解作用(glycolysis) (C)葡萄糖新生作用(gluconeogenesis) (D)五碳糖磷酸途徑(pentose phosphate pathway)
45 下列何者是 DNA 片段 5’-ATTGCAG-3’ 的互補核酸股? (A) 5’-CUGCAAU-3’ (B) 5’-TAACGTC-3’ (C) 5’-ATTCGTC-3’ (D) 5’-ATTGCAG-3’
46 一位病患疑似有維生素B12缺乏現象,下列何種血液變化最不支持此一診斷? (A)甲基丙二酸(methylmalonic acid)過高 (B)對羥基苯丙酮酸(para-hydroxyphenylpyruvate)過高 (C)紅血球過少 (D)巨母紅血球過多
47 輔酶NAD+、FAD、coenzyme A等分子中之共同結構單元(structure module)為: (A) ADP (B) CDP (C) GDP (D) UDP
48 一位 30 歲男子主訴有牙齒鬆動、傷口不易癒合等症狀,口腔理學檢查發現牙齦浮腫、牙齦泛紫。這 些病徵最可能與維他命 C 參與何種蛋白修飾(protein modification)變化有關? (A)羥基化(hydroxylation) (B)磷酸化(phosphorylation) (C)乙醯化(acetylation) (D)甲基化(methylation)
49 組胺酸(histidine)的胺基(-NH
2
)、側鏈(R-group)與羧基(-COOH)的pKa值分別為 9、6 和 2 ,當此胺基酸處於pH 5.0 的環境中時,溶液中大部分組胺酸分子的帶電狀態應為: (A)帶二個正電荷 (B)帶一個正電荷 (C)不帶電 (D)帶一個負電荷
50 下列何者不能做為酵素執行酸-鹼催化(acid-base catalysis)時的活性中心胺基酸(active site residue)? (A)組胺酸(histidine) (B)甲硫胺酸(methionine) (C)天門冬胺酸(aspartic acid) (D)麩胺酸(glutamic acid)
51 有位孕婦受到淋病感染,但她對 amoxicillin 會產生過敏反應。下列何者為治療這孕婦之首選藥物? (A) Cefixime (B) Spectinomycin (C) Ciprofloxacin (D) Ceftriaxone
52 在器官移植時,腎上腺皮質素也是經常使用的抗排斥藥物之一,下列何者是最常使用的腎上腺皮質素? (A) Beclomethasone (B) Prednisolone (C) Dexamethasone (D) Triamcinolone
53 懷孕或長期服用避孕藥的婦女作手術時,使用下列何種神經肌肉阻斷劑時需特別謹慎小心? (A) Alcuronium (B) Doxacurium (C) Pancuronium (D) Succinylcholine
54 下列有關治療癲癇(epilepsy)藥物 phenytoin 之藥理作用之敘述,何者錯誤? (A) Phenytoin 會抑制神經元連續性動作電位(repetitive firing)的發生 (B)Phenytoin為一種鈉離子管道阻斷劑(Na+ channel blocker) (C) Phenytoin 會縮短鈉離子管道不活化期(inactivation state)的時間 (D) Phenytoin 會減少興奮性麩胺酸鹽(glutamate)的神經傳遞作用
55 下列何者為治療無機砷中毒之首選藥物? (A) EDTA (B) Penicillamine (C) Deferoxamine (D) Dimercaprol
56 下列藥物作用機轉的敘述,何者正確? (A) Fluoride 會抑制骨母細胞(osteoblast)的活性,抑制骨頭的形成 (B) Bisphosphonates 會抑制噬骨細胞(osteoclast)的活性,可用來治療骨質疏鬆症(osteoporosis) (C) Calcitonin 治療骨質疏鬆症的效果較 bisphosphonates 為佳 (D)副甲狀腺素會抑制骨母細胞釋放 RANKL,促進骨頭的蝕骨作用
57 腎衰竭(kidney failure)病患其腎髓質細胞所生成之何種成分會減少,因而降低循環中紅血球之數量? (A) Renin (B) GM-CSF (C) G-CSF (D) Erythropoietin
複選題
58 下列何者為治療 Coccidioides immitis 感染造成持續性肺部損傷之首選藥物? (A) Ketoconazole (B) Voriconazole (C) Fluconazole (D) Terbinafine
59 下列何者可以有效治療土壤絲菌病(nocardiosis),且與 pyrimethamine 合併可用來治療愛滋病人對 抗 Pneumocystis jirovecii(舊名:Pneumocystis carinii)的感染? (A) Clindamycin (B) Norfloxacin (C) Trimethoprim (D) Sulfadiazine
60 下列何者與含有酒精的飲料一起服用會造成嘔吐、噁心、腹部絞痛和頭痛等症狀? (A) Daptomycin (B) Methenamine (C) Nitrofurantoin (D) Metronidazole
61 下列有關血清素再吸收阻斷劑 fluoxetine 與三環類抗憂鬱藥物 amitriptyline 作用之比較,何者錯誤? (A)前者較不適用於前列腺肥大的病人 (B)前者較不會產生鎮靜作用(sedative action) (C)前者較不會產生直立性低血壓(orthostatic hypotension)的副作用 (D)前者較不會產生視覺模糊及口乾等的副作用
62 下列有關局部性麻醉劑(local anesthetics)藥理作用之敘述,何者錯誤? (A) 局部麻醉劑一般為弱酸性物質 (B)局部麻醉劑通常作用在鈉離子管道產生其藥理作用 (C)局部麻醉劑在正常生理的 pH 值(7.4)為陽離子形式 (D)全身性投與局部麻醉劑時容易發生中樞神經抑制作用
63 用於化療法引發之嘔吐拮抗藥物 ondansetron 主要作用於中樞神經之何種受體? (A) 5-HT2受體 (B) 5-HT3受體 (C)Histamine H2受體 (D)Muscarinic M3受體
64 下列何種藥物可以有效地預防病人感染 Onchocerca volvulus 引發蟠尾絲蟲病(onchocerciasis)而造 成“river blindness"? (A) Diethylcarbamazine (B) Bithionol (C) Oxamniquine (D) Ivermectin
65 下列何種藥物給予腎臟功能不全與缺乏 G-6-P dehydrogenase 的病人會造成神經病變及溶血症? (A) Salicylic acid (B) Nitrofurantoin (C) Metronidazole (D) Methenamine
66 下列藥理作用何者與 misoprostol 之療效無關? (A)減少胃酸分泌 (B)促進胃黏液分泌 (C)促進子宮收縮 (D)血管收縮
67 下列何者不是腎上腺皮質素的副作用? (A)骨質疏鬆 (B)免疫抑制 (C)肌病變(myopathy) (D)黑色素沈積
68 下列制酸劑(antacid)何者具有輕瀉作用? (A)Mg(OH)2 (B)Al(OH)3 (C)CaCO3 (D)NaHCO3
69 Epinephrine 作用在腎臟 juxtaglomerular apparatus 的何種 receptor 而導致 renin 的釋放增加? (A)α1 (B)β1 (C)α2 (D)β2代號:2101頁次:8-6
複選題
70 下列何種藥物會惡化維他命 D(vitamin D)過量所引起的高血鈣(hypercalcemia)副作用? (A) Phenytoin (B) Glucocorticoids (C) Benzothiadiazine (D) Phenobarbital
71 下列何者不會抑制男性荷爾蒙(testosterone)之合成(biosynthesis)? (A) Ketoconazole (B) Flutamide (C) Estradiol (D) Leuprolide
72 副交感神經釋放出 ACh 作用在 muscarinic receptor,會引起平滑肌收縮,主要是下列何種 second messenger 增加? (A)cAMP (B)cGMP (C)IP
3
(D)PIP
2
73 可以取代 dapsone,治療癩病且血漿中半衰期長達 2 個月之藥物為: (A) rifampin (B) ethambutol (C) clofazimine (D) cycloserine
複選題
74 下列何種藥物必須口服給予,治療感染急性 Plasmodium vivax 瘧疾患者? (A) Mefloquine (B) Pyrimethamine (C) Quinine (D) Chloroquine
75 以 statin 併服 niacin 治療高血脂症,不會降低下列何種血脂成分? (A) LDL-C (B) Triglyceride (C) Apo B (D) HDL-C
76 一位 30 歲女性,胰臟尾部有一個 7 公分大的囊狀腫瘤而接受腫瘤切除手術。手術時發現腫瘤並未與 胰管相通。切除標本切面外觀可見其為一個多囊狀腫瘤,內含黏稠液體。顯微鏡下可見腫瘤囊壁由 一單層柱狀上皮覆蓋,在上皮下有一層緻密的間質細胞存在。上皮細胞的細胞核位於細胞底部並不 濃染,且無明顯多形性存在。下列何者是最可能的診斷? (A) Pseudocyst (B) Serous cystadenoma (C) Mucinous cystadenoma (D) Intraductal papillary mucinous neoplasm
77 一位 60 歲男性於喝酒 1 小時後昏迷,血液驗出甲醇(methanol),該物質喜好傷害何處的神經細胞? (A)黑質(substantia nigra) (B)橄欖核(olivary nucleus) (C)視網膜(retina) (D)視神經(optic nerve)
78 一位 15 歲女生輕度發燒及頭痛,電腦斷層掃描發現左額葉有個腦膿瘍,無外傷,住院後 2 個星期死 亡。下列有關該病變的敘述,何者正確? (A)來源最可能是額竇炎 (B)來源最可能是中耳炎 (C)周邊部位莢膜以反應性星狀細胞為主 (D)中央區域是凝固壞死
79 一位 74 歲男性,10 年前開始覺得排尿愈來愈困難,特別是在開始排尿及結束時。最近甚至一個晚上 需起身數次排尿,但尿量並不多。身體檢查發現他的攝護腺為正常的兩倍大,但並不會有壓痛情形。 他去年與今年皆曾接受 prostatic specific antigen 檢測,結果均稍高。他的攝護腺最可能出現何種變化? (A) 明顯的嗜中性白血球浸潤 (B)分化不佳的腺體不規則排列在纖維組織中 (C)由腺體與間質細胞構成的增生性結節 (D)具乾酪性壞死肉芽腫發炎反應
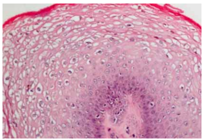
80 一位 25 歲男性於陰莖表面發現一豆狀突起,求診泌尿科做手術切除,病理顯示主要為乳突狀突起結 構覆蓋鱗狀上皮呈現過度角化、上皮增厚與細胞空洞樣化(koilocytosis)情形(如附圖),下列何者 正確? (A) 該病變診斷為波文氏疾病(Bowen disease) (B)該病變易發生於外生殖器,特別是於包皮的冠狀溝與內面 (C)與人類乳突狀病毒感染相關,特別是第 18 與 30 型 (D)該病變容易復發,且會導致侵犯性癌症發生
81 一位 80 歲男性腎組織在顯微鏡下出現廣泛的小血管增厚並發生玻璃樣變性(hyaline change),下列 疾病中,何者最常造成這種病理變化? (A) Prolonged systemic hypertension (B) Membranous glomerulonephritis (C) Renal cell carcinoma (D) Acute pyelonephritis
82 有關攝護腺癌的敘述,下列何者錯誤? (A) High-grade prostatic intraepithelial neoplasia 可能是攝護腺癌的前驅病變 (B)好發的位置在 transitional zone (C) PSA 異常升高,可用於攝護腺癌的篩檢 (D)轉移出去的腫瘤比原發的腫瘤更常發生 p53 的突變
83 下列生殖系統之腫瘤與其病理特徵的組合,何者正確? (A) granulosa cell tumor 與 Schiller-Duval bodies (B) sarcoma botryoides 與 cambium layer (C) yolk sac tumor 與 Call-Exner bodies (D) clear cell adenocarcinoma 與 Reinke crystal
84 關於惡性高血壓(malignant hypertension)的腎臟病理變化,下列何者最不適當? (A) 細動脈類纖維蛋白壞死(fibrinoid necrosis of arterioles) (B)增生性細動脈炎(hyperplastic arteriolitis) (C)腎小球壞死或血栓變化(necrotic or thrombotic changes in glomeruli) (D)玻璃質細動脈硬化(hyaline arteriolosclerosis)
85 一位 42 歲男性因嘔吐來急診,醫師檢查嘔吐物時發現內含膽汁,則最可能是下列那種疾病? (A) 十二指腸末端腫瘤阻塞 (B)胃幽門阻塞 (C)食道腫瘤阻塞 (D)食道弛緩不能症
86 一位 75 歲男性在不同的靜脈位置交替發生血栓。此種移走性血栓靜脈炎(migratory thrombophlebitis) 的現象(亦稱 Trousseau sign),最常併發於下列何種疾病? (A)胰臟、大腸或肺癌 (B)慢性骨髓炎 (C)鬱血性心臟衰竭 (D)末期腎疾病
87 缺少表面張力素(surfactant)與下列那一項肺病最相關? (A) 肺炎(pneumonia) (B)肺氣腫(emphysema) (C)肺膨脹不全(atelectasis) (D)支氣管擴張症(bronchiectasis)
88 下列有關淋巴瘤(lymphoma)的敘述,何者錯誤? (A) 鼻 NK / T 細胞淋巴瘤與 EB 病毒有相當強的關聯 (B)大致而言,T 細胞淋巴瘤較 B 細胞淋巴瘤病程較嚴重,預後較差 (C) B 細胞為 CD20 陽性,而 T 細胞為 CD3 陽性 (D)大多小孩的淋巴瘤為淋巴母細胞淋巴瘤(lymphoblastic lymphoma)及濾泡淋巴瘤(follicular lymphoma)
89 一位 69 歲女性病人主訴近 1 個月逐漸加劇之背痛病史。影像檢查顯示 T11 脊椎體塌陷,胸椎體及腰 椎體並有多個骨溶解變化。骨髓抹片如附圖。下列併發變化中,何者較少見? (A) 高鈣血症(hypercalcemia) (B)紅血球沈降率(erythrocyte sedimentation rate)增加 (C)漿細胞白血病(plasma cell leukemia) (D)類澱粉沈積(amyloidosis)
90 一位 58 歲女性病人之血清中鐵(iron)及全鐵質結合能力(total iron-binding capacity, TIBC)兩者之 值均較低,但含鐵蛋白(ferritin)較高。下列何者為可能的原因? (A) 慢性病引起之貧血 (B)自體免疫溶血性貧血 (C)維生素B12缺乏 (D)缺鐵性貧血
91 一位 69 歲男性病患呈現嚴重的高血壓。影像學檢查發現他右腎臟的動脈進口處發生狹窄。下列疾病 中那一個是造成這類腎臟動脈狹窄最常見的原因? (A) Fibromuscular dysplasia (B) Takayasu arteritis (C) Polyarteritis nodosa (D) Atherosclerosis
92 下列何者所併發的栓塞(embolic complications)可在肺部微血管循環中發現鱗狀細胞(squamous cell)? (A)分娩 (B)嚴重骨折 (C)胸壁傷害 (D)血管導管檢查
93 關於腸道血管結構不良(angiodysplasia)的敘述,何者錯誤? (A)好發年紀為 60 幾歲 (B)常見部位為盲腸(cecum)及右結腸 (C)在腸黏膜下層可見許多擴張的小血管 (D)有血管內皮細胞異生
94 一位 4 歲小男孩洗澡時,媽媽發現其右腹部有凸出的腫塊,經超音波檢查確定是約 8 公分大的腫瘤, 手術後病理診斷為腎上腺惡性腫瘤,下列何種基因變異最可能? (A) N-myc 基因增幅變異 (B) p53 基因點狀突變 (C) c-myc 基因轉位 (D) RB 基因刪除
95 一位 68 歲農夫 2 年前就發現鼻樑上有個結實的小腫瘤,他注意到該小腫瘤慢慢長大,目前約 1 公分 且中央有個小潰瘍,就醫後接受腫瘤全切除,並做了鼻樑修補手術。下列各種輻射線何者與該腫瘤 關係最密切? (A) X 射線 (B) γ 射線 (C)紫外線 (D)紅外線
96 一位 37 歲男性 HIV 抗體陽性病人,具臉部、軀體及四肢多處紅紫色斑疹,數個斑疹亦呈結節性變化。 斑疹在 6 個月之前開始出現,並逐漸增大。這些病變中最可能偵測到何種病毒? (A)巨細胞病毒(cytomegalovirus) (B) EB 病毒(Epstein-Barr virus) (C)人類疱疹病毒第八型(human herpesvirus 8) (D)人類免疫缺損病毒第一型(HIV-1)
97 下列有關細菌內毒素之敘述,何者錯誤? (A)其製造是經由染色體基因、溶源性噬菌體(lysogenic bacteriophage)或質粒(plasmid)之密碼傳譯 (B)中毒性休克症候群絕大多數是由金黃色葡萄球菌感染之內毒素所造成 (C)可引起發燒、播散性血管內凝血或休克 (D)具熱穩定性
98 一位 50 歲男性,覺得明顯胸痛。心電圖檢查顯示急性心肌梗塞的變化。血液檢查發現血清 creatine kinase(CK)值有上升的現象。下列何種情況最能解釋血液的變化? (A) CK 合成增加 (B) CK 分解速率減緩 (C)心肌細胞膜缺損 (D)心肌細胞核染色質凝集
99 有關氣喘之病理特徵敘述,何者錯誤? (A)支氣管痙攣 (B)黏液阻塞 (C)α1抗胰蛋白酵素(α1-antitrypsin)缺乏 (D)痰中出現夏萊二氏晶體(Charcot-Leyden crystal)
100 一位 40 歲男性,診斷為急性闌尾炎而接受闌尾切除手術。病理檢查時,在闌尾尾端可見一個 1 公分 大、界限明顯的淡黃色實體腫瘤。鏡下,腫瘤細胞有粉紅色顆粒樣細胞質,且細胞彼此間形態一致。 下列何者是最可能的診斷? (A)類癌瘤(carcinoid tumor) (B)惡性淋巴瘤(malignant lymphoma) (C)轉移性腺癌(metastatic adenocarcinoma) (D)黃色瘤(xanthoma)
申論題 (0)
相關試卷
106年 - 106-1 專技高考_醫師(一):醫學(二)(包括生理學、生化學、藥理學、病理學等科目及其臨床相關知識)#62858
106年 · #62858
105年 - 105-2 專技高考_醫師(一):醫學(二)(包括生理學、生化學、藥理學、病理學等科目及其臨床相關知識) #54825
105年 · #54825
105年 - 105-1 專技高考_醫師(一):醫學(二)(包括生理學、生化學、藥理學、病理學等科目及其臨床相關知識)#41372
105年 · #41372
104年 - 104-1 專技高考_醫師(一):醫學(二)(包括生理學、生化學、藥理學、病理學等科目及其臨床相關知識)#52719
104年 · #52719
104年 - 104-2 專技高考_醫師(一):醫學(二)(包括生理學、生化學、藥理學、病理學等科目及其臨床相關知識)#42713
104年 · #42713
104年 - 104-2 專技高考_醫師(一):醫學(二)(包括生理學、生化學、藥理學、病理學等科目及其臨床相關知識)#35758
104年 · #35758
104年 - 104-1 專技高考_醫師(一):醫學(二)(包括生理學、生化學、藥理學、病理學等科目及其臨床相關知識)#21195
104年 · #21195
103年 - 103-2 專技高考_醫師(一):醫學(二)(包括生理學、生化學、藥理學、病理學等科目及其臨床相關知識)#21206
103年 · #21206
103年 - 103-1 專技高考_醫師(一):醫學(二)(包括生理學、生化學、藥理學、病理學等科目及其臨床相關知識)#21204
103年 · #21204
102年 - 102-2 專技高考_醫師(一):醫學(二)(包括生理學、生化學、藥理學、病理學等科目及其臨床相關知識)#22187
102年 · #22187