阿摩線上測驗
登入
首頁
>
醫學二:100題 ( 包括生理學,生化學,藥理學,病理學等科目及其臨床相關知識 )
> 99年 - 99-1 專技高考_醫師(一):醫學(二)(包括生理學、生化學、藥理學、病理學等科目及其臨床相關知識)#47282
99年 - 99-1 專技高考_醫師(一):醫學(二)(包括生理學、生化學、藥理學、病理學等科目及其臨床相關知識)#47282
科目:
醫學二:100題 ( 包括生理學,生化學,藥理學,病理學等科目及其臨床相關知識 ) |
年份:
99年 |
選擇題數:
100 |
申論題數:
0
試卷資訊
所屬科目:
醫學二:100題 ( 包括生理學,生化學,藥理學,病理學等科目及其臨床相關知識 )
選擇題 (100)
複選題
1 一位 50 歲女性,近兩日感到頭暈目眩且運動時也有呼吸急促現象,在心臟科門診發現心跳每分鐘只 有 36 次,以下關於心臟傳導之敘述何者錯誤? (A)心肌之去極化始於 SA(sinoatrial)node,並造成之後心房之收縮 (B) AV(atrioventricular)node 作用電位(action potential)之傳導速率相對較快,以使心室可以緊接 著心房而收縮 (C)傳導系統中各組成部分之自主性(automaticity)速率快慢為:SA node > AV node > Bundle of His (D)心電圖上徒有 P 波卻無緊接之 QRS 波組,可能代表心房心室間之傳導阻滯
2 一般人處在光亮環境一段時間後,眼睛對光線的敏感度會減低,這種現象稱為光適應(light adaptation), 其主要的形成機制與光感細胞(photoreceptor cells)之何種變化有關? (A)胞內之 cGMP 含量降低 (B)胞內之 rhodopsin 含量降低 (C)細胞之數量減少 (D)細胞膜上之鈉離子通道(sodium channels)不活化
3 大量失血時,身體透過許多機轉引起口渴而增加飲水量,以下何者是合理機轉? (A)體液之 osmolarity 改變,活化下視丘之 osmoreceptor 而引發口渴 (B)血壓下降,活化位於心臟及血管壁之 baroreceptor,最後訊號透過下視丘引發口渴 (C)增加 renin 之釋放,renin 作用於下視丘引發口渴 (D)血液中 angiotensin II 的濃度增加,並作用於 subfornical organ(位於 diencephalon),最後訊號透 過下視丘引發口渴
4 下列關於單元性(single-unit)平滑肌的敘述,何者錯誤? (A)每個細胞必須接受神經調控,產生收縮作用 (B)細胞間有許多的裂隙接合(gap junction) (C)也許會有節律器的活動 (D)受到牽拉時會產生收縮
5 下列有關一氧化氮(nitric oxide)之敘述,何者正確? (A)是化學性(chemical)傳遞物質(messenger)可活化 adenylate cyclase (B)由 L-arginine 與氧分子作用形成 (C) 可導致血管壁收縮(constriction of blood vessels) (D)是極安定之氣體分子代號:2101頁次:11-2
6 下列何者不會促進胃相期(gastric phase)之胃酸分泌? (A)胃壁受到食物擴張 (B)消化蛋白質之產物 (C)胰泌素(secretin)分泌增加 (D)刺激迷走神經
7 下列關於膽囊收縮素(cholecystokinin)之敘述,何者正確? (A)促進胃排空(gastric emptying)作用 (B)刺激胰臟分泌富含酵素的胰液 (C)受迷走神經(vagus nerve)刺激而分泌 (D)受十二指腸壁擴張而分泌
8 下列有關視神經盤(optic disc)的敘述,何者錯誤? (A)視神經盤和黃斑(macula densa)是視網膜(retina)上兩個不同的構造 (B)視神經盤富含光感受器(photoreceptor) (C)視神經盤為視網膜與視神經(optic nerve)交界處 (D)視野(visual field)檢查的盲點(blind spot)位於視神經盤
9 有關右眼之右視野(即外側視野)訊息之敘述,何者正確? (A)經由 right optic nerve 傳遞,在 optic chiasm 交叉,然後經由 left optic tract 傳至左側 thalamus (B)經由 right optic nerve 傳遞,在 optic chiasm 不交叉,然後經由 right optic tract 傳至右側 thalamus (C)經由 right optic tract 傳遞,在 optic chiasm 交叉,然後經由 left optic radiation 傳至左側 thalamus (D)經由 right optic tract 傳遞,在 optic chiasm 不交叉,然後經由 right optic radiation 傳至右側 thalamus
10 肝臟所生產之白蛋白(albumin)在循環系統中扮演下列何種角色? (A)形成抗體 (B)產生滲透壓 (C)參與凝血機制 (D)參與抗凝血機制
11 氧飽和度(oxygen saturation)主要是在觀察那一項生理指標? (A)氧氣直接溶解 (B)氧氣與血紅素(hemoglobin)結合量 (C)氧氣直接溶解與血紅素結合的總量 (D)氣體交換程度
12 下列關於鐵(iron)的吸收之敘述,何者正確? (A)食物中的鐵離子可百分之百的被吸收 (B)以載體(transporter)運輸的方式被吸收 3+ (C)主要以Fe 的形式吸收 (D)酸性環境抑制鐵的吸收
13 下列何種物質,對血液中酸鹼值調控的重要性最低? (A)蛋白質 (B)硫酸氫根 (C)碳酸氫根 (D)血紅素
14 關於胃壁細胞(parietal cells)之敘述,下列何者錯誤? (A)H+/K+ ATPase幫浦位於壁細胞頂端細胞膜(apical membrane) (B)壁細胞內之H+經由初級主動運輸(primary active transport)分泌至胃腔中 (C)Cl-經由位於壁細胞頂端細胞膜之通道分泌至胃腔中,此通道受到細胞內cAMP的調控 (D)HCO3-與Cl-於壁細胞底側細胞膜(basolateral membrane)以共同運輸進入壁細胞
15 鬱血性心臟衰竭(congestive heart failure)病患合併有肺水腫(pulmonary edema),下列敘述何者錯 誤? (A)肺微血管壓力增加 (B)頸靜脈壓力增加 (C)平躺後可使症狀減輕 (D)嚴重時會影響肺泡之氣體交換
16 醛固酮(aldosterone)主要是從腎上腺的何處分泌? (A)絲球帶(zona glomerulosa) (B)囊狀帶(zona fasciculata) (C)網狀帶(zona reticularis) (D)髓質(medulla)
17 降鈣素(calcitonin)主要是與何種荷爾蒙有生理拮抗(antagonist)作用? (A)甲狀腺素(thyroxine) (B)促濾泡素(FSH) (C)雄性素(androgen) (D)副甲狀腺素(PTH) 代號:2101 頁次:11-3
18 有關肺通氣量與血液灌流量比值不吻合(
mismatch)之敘述,下列何者錯誤? (A)不存在於正常的肺中 (B)肺泡無效腔(alveolar dead space)的形成,可增加
mismatch (C)相較於肺通氣量,太多或太少的血液灌流量,皆可導致
mismatch (D)慢性支氣管炎(chronic bronchitis)患者發生
ismatch 之機率較大
複選題
19 母乳中含有免疫球蛋白 A(IgA)及何種成分有助於嬰兒抗拒感染(infection)? (A)乳糖(lactose) (B)脂肪 (C)酪蛋白(casein) (D)乳鐵蛋白(lactoferrin)
20 一位腦中風(stroke)患者,其身體檢查發現有一側肢體的軀體感覺(somatosensory)功能缺損,而 肌力(muscle power)正常。腦中風病灶最有可能位於: (A)大腦額葉(frontal lobe) (B)大腦顳葉(temporal lobe) (C)視丘(thalamus) (D)大腦枕葉(occipital lobe)
21 慢性骨髓性白血病患者週邊血液及骨髓內紅血球系列、白血球系列及血小板系列,各成熟階段之血 球均具有費城染色體(Philadelphia chromosome),由此可以推斷,此病最早發生染色體異常之起始 細胞層級為何? (A)淋巴球幹細胞(lymphoid stem cell) (B)骨髓性幹細胞(myeloid stem cell) (C)多源性造血幹細胞(pluripotent hematopoietic stem cell) (D)胚胎幹細胞(embryonic stem cell)
22 吳先生因身體不適至醫院就診,體循環血液數值顯示:動脈血氧分壓(PaO
2
)為 55 mmHg,動脈血 二氧化碳分壓(PaCO
2
)為 61 mmHg,酸鹼值為 7.16,碳酸氫根(HCO
3
-
)為 24.5 mEq/L。這名患者 最可能的診斷為何? (A)急性呼吸道阻塞 (B)慢性呼吸道阻塞 (C)腎衰竭 (D)腎衰竭合併呼吸代償
23 有關細胞外液(extracellular fluid, ECF)的敘述,何者錯誤? (A)氯離子為細胞外液之主要陰離子 (B)鉀離子為細胞外液之主要陽離子 (C)造成細胞內外液之主要陽離子不同之主要原因為位於細胞膜上之Na
+
/K
+
ATPase (D)一位體重 70 公斤的成年男性其細胞外液量約為 14 公升
複選題
24 當膜內外氯離子濃度呈 1:10 之比例分布時,倘若容許氯離子通透,則下列何者正確? (A)膜電位將逼近氯離子平衡電位 (B)當膜電位未達氯離子平衡電位之前,氯離子流動方向為自胞內向胞外 (C)當膜電位未達氯離子平衡電位之前,氯離子電流流動方向為自胞外向胞內 (D)當膜電位達氯離子平衡電位時,氯離子電流流動方向為自胞內向胞外
複選題
25 當 ligand-gated ion channel 被打開時,可容許鈉離子與鉀離子以 1:1 比例流通。若此神經細胞之靜 止膜電位為-60mV,則這種 ion channel 被打開時膜電位如何變化? (一律給分) (A)去極化 (B)過極化 (C)不變 (D)不一定
26 下列何者不能直接提供人體能量? (A)麵條 (B)蘋果 (C)維生素 C (D)飲料中之酒精代號
27 下列關於粒線體(mitochondria)的敘述,何者錯誤? (A)含有自己的 genome (B)電子傳遞鍊(electron transport system)之基因,全位於 mitochondrial genome (C) mitochondrial genome mutation 常造成先天神經肌肉或內分泌疾病 (D) mitochondrial genome mutation 通常遺傳自母親
28 何種維生素所形成的 coenzyme 不參與酵素 pyruvate dehydrogenase complex 的作用? (A) thiamine (B) biotin (C) riboflavin (D) niacin
29 心絞痛緩解藥物 nitroglycerin 釋出 NO(nitric oxide),啟動訊息傳遞途徑,以放鬆心肌,此過程中 不包括下列何種分子? (A) cGMP (B) G protein-coupled receptor (C) protein kinase G (D) guanylyl cyclase
30 肺結核病人常以各種不同藥物一併治療,rifampicin 為主要的藥物之一。Rifampicin 抑制肺結核桿菌 的機轉為抑制下列那一種酶? (A)去氧核糖核酸聚合酶(DNA polymerase) (B)細菌核糖核酸聚合酶(bacterial RNA polymerase) (C)粒線體核糖核酸聚合酶(mitochondrial RNA polymerase) (D)反轉錄酶(reverse transcriptase)
31 一分子棕櫚醯輔酵素 A(palmitoyl-CoA)經過 beta-oxidation,完全產生 acetyl-CoA 須加入多少水分子? (A)6 (B)7 (C)8 (D)9
32 下列何種鹼基不存於一般 RNA 分子? (A)腺嘌呤(adenine) (B)尿嘧啶(uracil) (C)胞嘧啶(cytosine) (D)胸腺嘧啶(thymine)
33 下列那個維生素是由膽固醇(cholesterol)所衍生? (A)維生素 A(vitamin A) (B)維生素 D(vitamin D) (C)維生素 E(vitamin E) (D)維生素 K(vitamin K)
34 下列有關 inositol 1, 4, 5-triphosphate 的敘述,何者正確? (A)可將 G protein 磷酸化 (B)可由 phospholipase A 所催化之反應產生 (C)經由活化之 phospholipase C 分解產生的 second messenger (D)可活化 protein kinase A
35 在 DNA 複製中,下列何酵素功能主要是用以增加 DNA 複製之準確度? (A)單股 DNA 結合蛋白 (B) 3’→5’外切核酸酶 (C) DNA 連接酶 (D) DNA 解螺旋酶
36 聚合酶鏈鎖反應(polymerase chain reaction, PCR)為二十世紀最偉大的發明之一。PCR 反應早已廣 泛應用於醫學及生物研究。PCR 反應並不需要下列何種物質? (A) DNA 雙股模板(template) (B)引子(primer) (C)去氧核糖核酸聚合酶(DNA polymerase) (D)反轉錄酶(reverse transcriptase)
37 Tm 值是描述雙股 DNA 有一半的鏈結被打開而成單股時的溫度,下列的敘述,何者錯誤? (A) Tm 值和 DNA 中的 GC 含量有關 (B) Tm 值和溶液中離子的濃度有關 (C) Tm 值和溶液中的 pH 值無關 (D) Tm 值和 DNA 的長度有關 代號:2101 頁次:11-5
38 下列何種胺基酸為合成甲狀腺素T3 & T4的前驅物? (A) arginine (B) tryptophan (C) lysine (D) tyrosine
39 下列有關脊椎動物脂肪酸的延長之敘述,何者錯誤? (A)合成的位置在平滑內質網上 (B)利用 malonyl-CoA 作為受質 (C)把 palmitoyl-CoA 延長後變成 stearoyl-CoA (D) methyl-CoA 亦可作為其受質
複選題
40 尿素有兩個氮原子。假如第一個氮原子是從氨來的,第二個氮原子是從下列何者來的? (A) aspartate (B) histidine (C) arginine (D) ornithine
41 在 DNA 複製時,原核細胞的 primase 之功能為: (A)合成 RNA 的引子,做為 DNA 合成的啟始 (B)填補 Okazaki 片段間的空隙 (C)作用方向是從 3'→5' (D)有校正功能
42 關於葡萄糖-6-磷酸酵素(glucose-6-phosphatase)表現的組織和其在細胞內的分布,下列何者正確? (A) kidney, plasma membrane (B) small intestine, cytosol (C) muscle, plasma membrane (D) liver, endoplasmic reticulum membrane
43 在粒線體懸浮液中,以琥珀酸(succinate)為受質進行氧化磷酸化反應,此時若加入 2,4 二硝基苯酚 (2,4-dinitrophenol),下列何種情況會發生? (A)氧氣的消耗會下降 (B)氧氣的消耗會增加 (C) ATP 的產生可繼續 (D)氫離子的梯度會維持
44 在某一細胞內 ATP、ADP、AMP 的濃度分別為 4 mM、2 mM、0.2 mM,則其能荷(energy charge)值為: (A) 0.81 (B) 0.84 (C) 0.90 (D) 0.93
45 下列有關肌肉的肝醣磷酸化酶(glycogen phosphorylase)的敘述,何者正確? (A)作用於肝醣(glycogen)的還原端移去葡萄糖分子 (B)將肝醣降解直接產成葡萄糖-6-磷酸(glucose-6-phosphate) (C)將肝醣的(α1→6)糖苷鍵[(α1→6)glycosidic bond]作水解 (D)以活化型(a 型)及非活化型(b 型)二種型式存在
46 下表為某一酵素之受質(substrate)濃度與反應速率分析表,已知此酵素依據米凱利斯-門頓動力學 (Michaelis-Menten kinetics)運作,此酵素的KM值約為多少m
M
? 受質濃度(substrate concentration) V
(A) 1.5 (B)3 (C)6 (D) 1500
47 關於脂肪吸收代謝,下列敘述何者錯誤? (A)腸道吸收後,分泌至血液之乳糜微粒(chylomicron),以含三酸甘油酯(triglyceride)為主 (B)血 液 中 乳 糜 微 粒 及 極 低 密 度 脂 蛋 白 ( VLDL ) 之 三 酸 甘 油 酯 , 是 經 由 荷 爾 蒙 敏 感 脂 解 酶 (hormone-sensitive lipase)所分解 (C)荷爾蒙敏感脂解酶受 cAMP 之調控 (D)三酸甘油酯分解後,脂肪酸在肌細胞被送至粒線體(mitochondria),生產能量代號:2101頁次:11-6
48 胰臟癌中有很高的比例可發現有 RAS 基因的突變。正常 RAS 蛋白屬於 small G protein 家族成員,可 在一些 receptor tyrosine kinases RTKs) ( 訊號傳導中活化。常見的致癌 RAS 突變可造成 RAS 不受 RTK 調控而有持續性活化(constitutive activation)。下列敘述何者錯誤? (A)致癌 RAS 突變常是造成 RAS 失去 GTPase 活性 (B)致癌 RAS 突變常是造成 RAS 無法與 GTP 結合 (C) RTK 接受生長因子訊號活化後,是透過 guanine exchange factor(GEF)來活化 RAS (D)正常 RAS 與 GTPase activating protein(GAP)結合後,其 GTPase 活性會提高
49 鈴木先生患有一種稱為 Oguchi’s disease 的罕見遺傳性夜盲症,其白晝視力正常,但當夜間的黑暗背 景出現強光(例如在高速公路上見到對面來車的頭燈)後,會有比常人須更長的時間,才能看見東 西。目前已有一些證據顯示此種病人之 rhodopsin signaling pathway 有缺陷,由所描述之病徵與你對 rhodopsin signaling 機制之認識來判斷,下列敘述何者不太可能是致病機轉? (A)此病之缺陷可能牽涉到不正常的 desensitization of rhodopsin (B)有可能是病人之 rhodopsin kinase 有缺陷 (C)有可能是病人之 arrestin 有缺陷 (D)有可能是病人之 transducin 有缺陷,完全無法被吸收光後的 rhodopsin 活化
50 50 歲的李太太從年輕時就是胖胖的,最近發現自己居然瘦了一圈,慶幸之餘,卻由健檢得知尿中及 空腹時血漿中的葡萄糖過高,醫師判斷她可能罹患了第 2 型糖尿病(type 2 diabetes)。此型糖尿病 患者胰臟仍產生胰島素,但體內細胞會「抵抗」胰島素之作用。胰島素正常作用時不會發生下列何 項? (A)胰島素受體蛋白 carboxyl 部分之 tyrosine residues 被磷酸化 (B) insulin receptor substrate-1(IRS-1)被磷酸化,進而活化 PI-3 kinase (C)活化的PI-3 kinase促進PIP3產生,接著使protein kinase B(PKB/AKT)被活化 (D)活化的 PKB 刺激 glucose transporter GLUT4 由細胞膜上移入細胞內部,使得細胞無法吸收葡萄糖
51 下列何者為細菌對 aminoglycosides 產生抗藥性的主要機轉? (A)改變 folic acid 合成的過程 (B)抑制乙醯轉移酵素的活性 (C)誘發代謝藥物酵素的合成 (D)增加細胞的通透性
52 下列何種藥物可以有效地抑制 tumor necrosis factor-α引起的自體免疫與發炎疾病? (A) muromonab-CD3 (B) sirolimus (C) infliximab (D) thalidomide
53 下列藥物何者可以抑制 B 與 T 淋巴細胞中 purine 的合成,而達到抑制免疫反應的作用? (A) cyclophosphamide (B) prednisone (C) tacrolimus (D) mycophenolate mofetil
54 切除神經後,其所支配的器官對於外加之藥物的敏感性增強的現象,稱為: (A) addiction (B) supersensitivity (C) hypersensitivity (D) idiosyncrasy
55 下列何種藥品,臨床上可當做墮胎藥來使用? (A) progesterone (B) mifepristone (C) celecoxib (D) ritodrine
56 臨床上常用 nitroglycerin 治療心絞痛,但最困擾醫師和病患的是服用此藥物易產生下列何種問題? (A) bradycardia (B) sodium retention (C) tolerance (D) impotence
57 服用下列何種藥物後會增加慢性肺阻塞病人的氣管阻力? (A) bitolterol (B) terbutaline (C) atenolol (D) nadolol 代號:2101 頁次:11-
58 臨床上對於患有 GERD(gastroesophageal reflux disease)之治療,下列何者之 efficacy 最佳? (A)proton pump inhibitor (B)H2-blocker (C) muscarinic receptor antagonist (D) sucralfate
59 若是 mineralocorticoids 分泌不足,須要做 replacement therapy,則下列何者為首選之藥物? (A) aldosterone (B) fludrocortisone (C) metyrapone (D) spironolactone
60 長期使用 phenytoin 時會產生軟骨症(osteomalacia),係由於下列那一種維生素代謝異常所造成的? (A)vitamin B6 (B)vitamin D (C)vitamin B12 (D)vitamin E
61 下列那一種治療帕金森氏症的藥物,不適合使用於同時具有前列腺肥大或開放性青光眼症的帕金森 氏症患者? (A) benztropine (B) bromocriptine (C) selegiline (D) levodopa
62 下列有關抗癲癇藥物的敘述,何者錯誤? (A) ethosuximide 具有抑制視丘神經元 T-type 鈣離子通道的活性,因此可以用來治療失神性癲癇 (B) vigabatrin 具有抑制 GABA transaminase 及 GABA 再回收(uptake)的作用 (C) vigabatrin 具有活化 GABA amino-transferase 的作用 (D) primidone 可以代謝成 phenobarbital 及 phenylethymalonamide
63 下列有關全身麻醉劑 halothane 的藥理作用描述,何者錯誤? (A) halothane 具有很好的止痛效果 (B) halothane 具肝毒性,但小兒病人較不易產生肝毒性 (C) halothane 的麻醉誘導速率較 isoflurane 慢 (D) halothane 的肺泡最低濃度(minimal alveolar concentration)較 ether 小
64 Omeprazole 可用於十二指腸潰瘍,且可減輕胃食道逆流之食道炎,其作用機制為何? (A)拮抗histamine-H1受體 (B)拮抗muscarinic-M1受體 (C)拮抗dopamine-D2受體 (D)抑制H+/K+ ATPase(proton pump)
65 下列何種藥物易產生姿態性低血壓? (A) propranolol (B) dobutamine (C) labetalol (D) methoxamine
複選題
66 下列何種神經肌肉阻斷劑的作用是透過中樞和脊椎反射而來的? (一律給分) (A) baclofen (B) dantrolene (C) pancuronium (D) atracurium
67 毛地黃的藥理和毒性作用是透過抑制下列何者而來的? (A)Ca2+ pump (B)cAMP-dependent protein kinase (C)protein kinase C (D)Na+/K+ ATPase
68 下列何種自主神經接受器受刺激時會導致 adenylyl cyclase 的活化? (A)nicotinic (B)muscarinic (C)α1-adrenergic (D)β1-adrenergic
69 Furosemide 產生利尿的作用部位是在腎小管的那一部位? (A)近曲小管 (B)亨利氏環上行支 (C)遠曲小管 (D)集尿管
70 若要診斷 Cushing’s syndrome,需要抑制 ACTH 釋放時,則下列何者為首選之藥物? (A) prednisolone (B) dexamethasone (C) mitotane (D) ketoconazole
71 下列何種藥物不具有抑制甲狀腺素去碘反應(deiodination)的作用? (A) perchlorate (B) propylthiouracil(PTU) (C) glucocorticoids (D) β-adrenergic receptor blockers
72 下列何者藥品可經由抑制 α-glucosidase 的作用,用來當作口服降血糖的用藥? (A) acarbose (B) acetohexamide (C) glyburide (D) repaglinide代號:2101頁次:11-8
73 抗血小板活化用藥 abciximab 為由單株抗體之 Fab 端構成,試問此抗體主要結合在血小板上之何種結 構? (A)glycoprotein Ia /IIb (B)glycoprotein IIb /IIIa (C)selectin (D)CD11a /CD18
74 下列降血脂藥物何者作用機轉為與膽酸(bile acid)結合,以避免膽固醇再吸收,而加強膽固醇由腸 道排除? (A) probucol (B) fenofibrate (C) cholestyramine (D) niacin
75 下列何者之重組性接受體拮抗劑稱為 anakinra,可使用於治療 rheumatoid arthritis? (A) interleukin 1 (B) interleukin 2 (C) interleukin 4 (D) interleukin 5
76 一名 48 歲婦女因最近數月有不正常子宮出血而就醫。子宮頸抹片檢查並無異常細胞存在。骨盆檢查 發現右側卵巢有一個約 10 公分大的實體腫瘤存在,子宮超音波檢查也同時發現子宮內膜明顯增厚, 病人接受卵巢腫瘤切除。下列何種病理特徵最可能出現在所切除的腫瘤標本? (A) Call-Exner bodies (B) embryoid bodies (C) psammoma bodies (D) Schiller-Duval bodies
77 一名 42 歲男性因慢性腹痙攣(cramp)、腹瀉及面部潮紅就醫。檢查發現小腸有一個 8 公分大的腫 瘤,同時在肝臟有許多個大小不一的腫瘤存在。下列何種物質在他的尿液中濃度最可能增加? (A) 5-hydroxyindoleacetic acid(5-HIAA) (B) aminolevulinic acid(ALA) (C) N-formiminoglutamate(FIGlu) (D) vanillylmandelic acid(VMA)
78 急性髓性白血病(acute myelogenous leukemia, AML)病人併發瀰漫性血管內凝集,最可能的白血病 型為: (A) M3-AML (B) M4-AML (C) M6-AML (D) M7-AML
79 下列何者是腎病症候群或肝硬化所導致全身性水腫的最重要原因? (A)靜水壓上升 (B)血漿滲透壓下降 (C)淋巴管阻塞 (D)鈉及水滯留
80 劉先生今年 60 歲,健康檢查時胸部 X 光片發現有一個 3 公分的結節在右肺中葉。他接受結節切除手 術。檢查發現此結節有明顯界限及白色而軟的中心區。此結節細菌培養結果長出 Mycobacterium tuberculosis。下列何種病理變化最可能出現在此結節? (A)乾酪性壞死(caseous necrosis) (B)凝固性壞死(coagulative necrosis) (C)液化性壞死(liquefactive necrosis) (D)脂肪壞死(fat necrosis)
81 一名 45 歲男性,有多發肝臟轉移,進一步檢查發現右眼球原發惡性腫瘤,該腫瘤最有可能是: (A)視網膜母細胞瘤(retinoblastoma) (B)基底細胞癌(basal cell carcinoma) (C)皮脂腺癌(sebaceous carcinoma) (D)惡性黑色素瘤(malignant melanoma)
82 一名 72 歲男性,約從 5 年前開始覺得排尿愈來愈困難,最近甚至一個晚上需起身數次排尿,但尿量 並不多。就醫檢查發現他的攝護腺較正常大,觸診時不會有壓痛現象。PSA(prostate specific antigen) 檢測值也在正常範圍。下列何者是他攝護腺變化最主要的因子? (A) testosterone (B) dihydrotestosterone (C) glutathione S-transferase (D) fibroblast growth factor
83 一位 25 歲男性出現突發的高血壓。檢驗數據顯示尿中含兒茶酚胺(free catecholamines)及其代謝物。 影像檢查發現左側腎上腺有一腫瘤。下列關於這類腫瘤的敘述,何者最適當? (A)惡性腫瘤約占 10% (B) 90%與多發性內分泌腫瘤症候群(MEN)有關 (C)腫瘤由腎上腺皮質生長出來 (D)腫瘤細胞不含神經內分泌物質
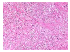
84 一位 27 歲男性,因為上腹痛伴隨有心灼熱,做內視鏡檢查發現在食道距門齒 32 公分處有一腫瘤, 經手術切除,腫瘤最大徑 3 公分位於食道黏膜下方,覆蓋腫瘤的食道黏膜完整無病變。附圖為腫瘤 顯微鏡下之表現,免疫組織化學染色結果為 CD117: negative; smooth muscle actin: positive; CD34: negative; S-100 protein: negative;則下列何者為最可能之診斷?
(A)鱗狀上皮細胞癌(squamous cell carcinoma) (B)胃腸道間質瘤(gastrointestinal stromal tumor) (C)神經纖維瘤(neurofibroma) (D)平滑肌瘤(leiomyoma)
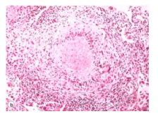
85 一位 60 歲男性,慢性咳嗽、有痰,X 光顯示右上肺葉有一陰影,經開刀切除後,病變的組織變化如 圖示。其最可能的診斷為:
(A)肺結核 (B)支氣管肺炎 (C)肺癌 (D)肺栓塞
86 下列何杰金氏淋巴瘤病人中,何者預後最佳? (A)淋巴細胞缺乏亞型 (B)侵及脾臟 (C)結節硬化型 (D) 60 歲以上之病人
87 一位 25 歲男性接受心臟移植手術後,按規定時程接受心內膜心肌切片檢查,病理報告顯示有異常淋 巴細胞增生並可能發展成淋巴瘤,此病變與下列何者感染最有關? (A) polyomavirus (B) cytomegalovirus (C) Epstein-Barr virus (D) herpes simplex virus
88 一位 28 歲女性因急性腹痛求診,經過以腸胃引起的腹痛治療後仍疼痛不止,做超音波檢查發現右側 卵巢有顆 6 公分的腫瘤,經手術取出腫瘤,觀察到有廣泛性出血,內有一些毛髮及灰白色皮脂。請 問下列診斷何者為最適當? (A)類子宮內膜癌(endometrioid carcinoma) (B)子宮內膜異位瘤(endometrioma) (C)卵巢畸胎瘤合併扭轉(teratoma with torsion) (D)漿液性囊狀腺癌(serous cystadenocarcinoma)有大量出血壞死代號:2101頁次:11-10
89 一個 9 個月大嬰孩多次發生多種病原感染,包括巨細胞病毒、白色念珠菌、金黃色葡萄球菌及表皮 葡萄球菌等。經詳細家族史詢查及分析,確定為一種體染色體隱性遺傳性疾病。下列檢查中何者為 最佳測試可以解釋病人之免疫缺陷? (A)血清中免疫球蛋白之定量測試 (B)周邊血液 CD3 陽性細胞之定量計數 (C)嗜中性顆粒球功能測試 (D)白血球中之腺苷脫氨酶(adenosine deaminase)
90 兩側睪丸摘除後,前列腺上皮最可能會有下列何種變化? (A)壞死(necrosis) (B)增生(hyperplasia) (C)萎縮(atrophy) (D)化生(metaplasia)
91 如圖所示的兩個大腦半球剖面較符合下列那一種情況?
(A)左為正常大腦,右為 Huntington 氏舞蹈症 (B)左為腦水腫,右為正常大腦 (C)左為正常大腦,右為維生素B1缺乏 (D)左為星狀細胞瘤,右為正常大腦
92 一位 30 歲女性有多名性伴侶,一星期以來陰道出現膿狀的分泌物,內診發現子宮頸黏膜呈現火紅色 草莓樣的外觀(strawberry cervix),子宮頸抹片可以找到很多具鞭毛的微生物。則下列何者為最可 能之診斷? (A)陰道滴蟲感染(Trichomonas vaginalis infection) (B)單純疱疹病毒感染(Herpes simplex virus infection) (C)淋菌性軟下疳(gonorrhea chancroid) (D)披衣菌感染(chlamydia infection)
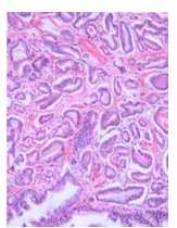
93 55 歲王先生身體一向健康沒有泌尿系統的問題,如小便困難或夜間頻尿等,但體檢時發現 PSA (prostate specific antigen)升高至 20 ng/mL,接受攝護腺的病理切片檢查,其結果如圖示。請問下 列診斷何者最適當? (A)良性結節狀增生 (B)攝護腺炎 (C)攝護腺腺癌 (D)轉移性腺癌
94 一名 60 歲慢性支氣管擴張症患者,在腎臟顯微切片發現嗜伊紅性的物質沈積,且此物質內無細胞(如圖 示),經剛果紅(Congo red)染色後,在偏光顯微鏡下觀察呈現出蘋果綠的雙折射光。則該嗜伊紅 性的物質是:
(A)類澱粉(amyloid) (B)尿酸鹽(urate) (C)血鐵素(hemosiderin) (D)鈣質(calcium)
95 一位 40 歲女性主訴最近六個月感覺吞嚥困難,身體檢查並無異常,鋇劑攝影則發現食道下端靠近胃 的地方有狹窄的情形。醫師為她做了內視鏡的檢查,並在狹窄處做了病理切片。切片顯示食道的上 皮並無發炎或潰瘍的現象,但有黏膜下萎縮 submucosal atrophy) ( 及平滑肌纖維化 fibrosis of smooth ( muscle)的情形。則最可能的診斷是: (A) Mallory-Weiss 症候群 (B)門靜脈高壓 (C) Barrett 食道 (D) CREST 症候群
96 一位 50 歲中風病人,長期臥床且神志喪失。出現漸進性呼吸困難,胸部 X 光可見肺部混濁化 (haziness),其診斷最可能是: (A)吸入性肺炎 (B)院內感染性肺炎 (C)非典型肺炎 (D)伺機性肺炎
97 一個 23 歲婦人,懷孕 25 週時即無胎動,突發呼吸不順、發紺及休克,並具全身瘀青斑。糞便潛血 陽性、凝血酶原時間(PT)及部分促凝血酶原激酶時間(aPTT)均延長,血小板低,纖維蛋白原顯 著降低,並有纖維蛋白分解物(FDP)。下列何者為此病人出血傾向之可能原因? (A)血管之脆性度(fragility)增加 (B)血小板之製造減少 (C)凝血因子及血小板耗損增加 (D)血小板之黏連(adhesion)及凝集(aggregation)之功能減低
98 一位 12 歲女童有跛足現象(claudication),身體檢查時發現其上下肢血壓有相當的差異。下列心臟 血管病變中,何者最可能造成上述現象? (A)僧帽瓣(二尖瓣)狹窄(mitral valve stenosis) (B)主動脈瓣狹窄(aortic valve stenosis) (C)主動脈窄縮(coarctation of aorta) (D)肺動脈瓣狹窄(pulmonary valve stenosis)
99 一位 65 歲嚴重憂鬱症婦人,有強烈自殺念頭,而服下約 70 顆的 acetaminophen(500mg/粒),她馬 上發生噁心、嘔吐,就醫時體溫 37℃、脈搏 75 次/分、呼吸 17 次/分、血壓 105/70 mmHg。下列何 種檢查結果與她的後遺症最有關係? (A) creatine kinase 升高 (B)低血鉀症 (C)尿酮酸症 (D) ALT 及 AST 升高
100 下列那一項疾病的病理變化不出現包涵體(inclusion body)? (A)風濕熱 (B)單純疱疹腦炎 (C)狂犬病 (D)帕金森氏症
申論題 (0)
相關試卷
106年 - 106-1 專技高考_醫師(一):醫學(二)(包括生理學、生化學、藥理學、病理學等科目及其臨床相關知識)#62858
106年 · #62858
105年 - 105-2 專技高考_醫師(一):醫學(二)(包括生理學、生化學、藥理學、病理學等科目及其臨床相關知識) #54825
105年 · #54825
105年 - 105-1 專技高考_醫師(一):醫學(二)(包括生理學、生化學、藥理學、病理學等科目及其臨床相關知識)#41372
105年 · #41372
104年 - 104-1 專技高考_醫師(一):醫學(二)(包括生理學、生化學、藥理學、病理學等科目及其臨床相關知識)#52719
104年 · #52719
104年 - 104-2 專技高考_醫師(一):醫學(二)(包括生理學、生化學、藥理學、病理學等科目及其臨床相關知識)#42713
104年 · #42713
104年 - 104-2 專技高考_醫師(一):醫學(二)(包括生理學、生化學、藥理學、病理學等科目及其臨床相關知識)#35758
104年 · #35758
104年 - 104-1 專技高考_醫師(一):醫學(二)(包括生理學、生化學、藥理學、病理學等科目及其臨床相關知識)#21195
104年 · #21195
103年 - 103-2 專技高考_醫師(一):醫學(二)(包括生理學、生化學、藥理學、病理學等科目及其臨床相關知識)#21206
103年 · #21206
103年 - 103-1 專技高考_醫師(一):醫學(二)(包括生理學、生化學、藥理學、病理學等科目及其臨床相關知識)#21204
103年 · #21204
102年 - 102-2 專技高考_醫師(一):醫學(二)(包括生理學、生化學、藥理學、病理學等科目及其臨床相關知識)#22187
102年 · #22187