19.牛運輸熱肺泡腔所見的燕麥形細胞(oat-shaped cell),是下列何種細胞受細菌毒素作用所致?
(A)肺泡壁細胞
(B)嗜中性球
(C)淋巴球
(D)肺泡巨噬細胞與淋巴球
答案:登入後查看
統計: A(325), B(1159), C(82), D(1169), E(0) #1587825
統計: A(325), B(1159), C(82), D(1169), E(0) #1587825
詳解 (共 5 筆)
#3767651

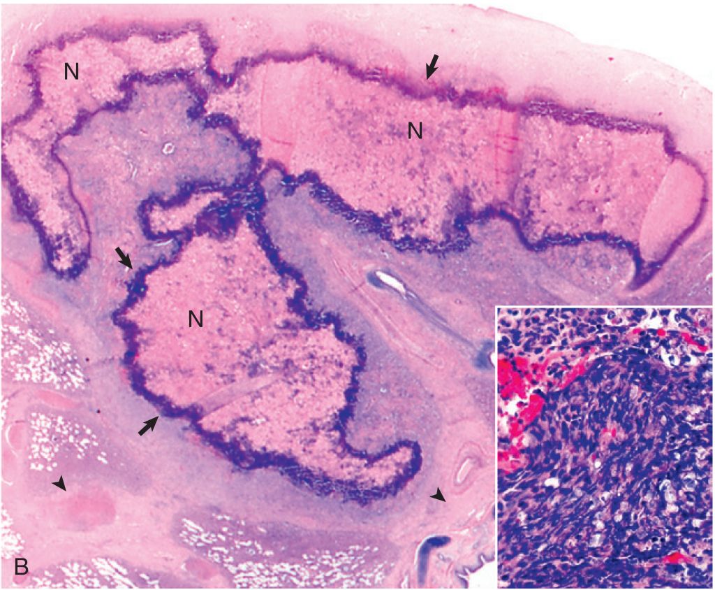
B, Note a large irregular area of necrosis (N) of the pulmonary parenchyma. Typically, these necrotic areas are surrounded by an outer dense layer of inflammatory cells (arrows). The interlobular septa are distended (arrowheads). Inset (bottom right corner) shows the typical elongated and basophilic appearance of degenerated neutrophils known as oat cells. H&E stain.
病理第六版p531
14
0