31.下列何者感染後較少引發肉芽腫性肺炎病變?
(A)隱球菌(Cryptococcus neoformans)
(B)肺囊蟲(Pneumocystis carinii)
(C)牛結核分枝桿菌(Mycobacterium bovis)
(D)豬肺蟲(Metastrongylus apri)
統計: A(379), B(618), C(113), D(544), E(0) #853234
詳解 (共 5 筆)
12.下列那種病原感染之病灶,屬於肉芽腫性(granulomatous)炎症反應?
(A)Mannheimia haemolytica
(B)Rhodococcus equi
(C)Pasteurella multocida
(D)Pneumocystis carinii
65. 犬鼻道感染隱球菌呈現何種病變?
(A) 肉芽腫性
(B) 出血性
(C) 潰瘍性
(D) 化膿性
-105年 - 105-1 專技高考_獸醫師:獸醫病理學#41371
答案:A
造成肉芽腫性肺炎原因:隱球菌、肺結核、豬肺蟲、貓FIP
弓蟲:多發性壞死性肺炎
66.自然環境中,下列鳥類排遺之何種成分可能有利於Cryptococcus neoformans隱球菌之發育?
(A) 尿素氮
(B) 碳酸鹽
(C) 磷酸鹽
(D) 肌酸酐
-108年 - 108-1 專技高考_獸醫師:獸醫公共衛生學#74558
答案:D
21.下列有關隱球菌病的敘述,何者錯誤?
(A) 是由一種酵母樣芽生真菌引起
(B) 可引起腦膜炎或全身性感染
(C) 是一種人畜共通傳染病,菌體通常為mucicarmine染色陽性
(D) 菌體有厚壁,充滿內生孢子
-107年 - 107-1 專技高考_獸醫師:獸醫病理學#67593
答案:D
(D) 菌體有厚壁,充滿內生孢子 ->改成 芽生孢子
內孢子是對惡劣環境具有高度抵抗性的構造,僅發現於少數格蘭氏陽性細菌。
16.下列有關隱球菌病(cryptococcosis)之敘述,何者錯誤?
(A) 主要由Cryptococcus neoformans所引起
(B) 屬於人畜共通傳染病
(C) 僅有一種血清型
(D) 可以感染豬隻
-105年 - 105-1 專技高考_獸醫師:獸醫傳染病學#41364
答案:C
A、B、C、D、AD五種
台灣以A為主
出芽生殖
鴿子糞便富含creatinine
腐生傳播型(saprozoonosis)
63.下列有關犬貓隱球菌症(cryptococcosis)之敘述,何者錯誤?
(A) 約80%貓的病例均發生在鼻腔
(B) 病原屬於細菌,普遍存在於鴿糞中
(C) 犬之感染最常見於中樞神經系統及眼睛
(D) 最可能的傳染途徑為吸入感染
-103年 - 103-2 專技高考_獸醫師:獸醫傳染病學#22383
答案:B
酵母菌型真菌
15.下列有關隱球菌病(Cryptococcosis)的敘述,何者錯誤?
(A) 常與低免疫力有關
(B) 主要表現為隱球菌性腦膜炎
(C) 存在土壤及家禽、鴿子糞便中
(D) 主要經由消化道進入人體
-101年 - 101-2 專技高考_獸醫師:獸醫公共衛生學#22455
答案:D
52.下列有關隱球菌之敘述,何者錯誤?
(A) 呈酵母菌樣,出芽生殖
(B) 可藉吸入感染
(C) 會感染人,最常造成腸胃炎
(D) 可感染多種動物
-101年 - 101-2 專技高考_獸醫師:獸醫傳染病學#22452
答案:C
腦膜炎
48.犬隻感染隱球菌(Cryptococcus neoformans)後常導致鼻道呈現何種病灶?
(A) 肉芽腫病灶
(B) 出血病灶
(C) 潰瘍病灶
(D) 化膿病灶
-101年 - 101-1 專技高考_獸醫師:獸醫病理學#22436
答案:A
76.隱球菌感染的腦脊髓液細胞分類,以下列何者佔多數?
(A) 嗜中性球
(B) 淋巴球
(C) 嗜酸性球
(D) 單核球
-97年 - 97-2 專技高考_獸醫師:獸醫實驗診斷學#42464
答案:C
1.寄生蟲病或是隱球菌感染時,可能看到不定數量之嗜酸性球及病原體
2.貓傳染性腹膜炎,常見NEU及單核球與淋巴球並存的多細胞症
3.細菌性腦膜炎、腦炎、膿瘍及出血以NEU為主
4.病毒性、黴菌性、中毒性、退行性病變及李斯特菌多時以淋巴球為主
5.肉芽腫性腦膜炎蛋白質量增加(正常CSF蛋白質12-40mg/dl)以淋巴球與巨噬細胞占多數
6.犬瘟熱也會蛋白質量增加及輕度淋巴球增多
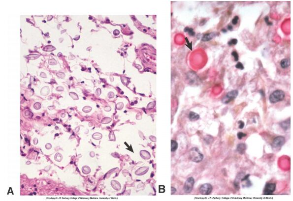
74.下圖切片分為H&E染色(圖A)及mucicarmine染色(圖B)。病變診斷為:

(A) 青黴菌症
(B) 弓漿蟲症
(C) 隱球菌症
(D) 隱孢子蟲症
-105年 - 105-1 專技高考_獸醫師:獸醫病理學#41371
答案:C
Mucicarmine染色, 可將mucin染成玫瑰紅色,常應用於隱球菌之夾膜染色。