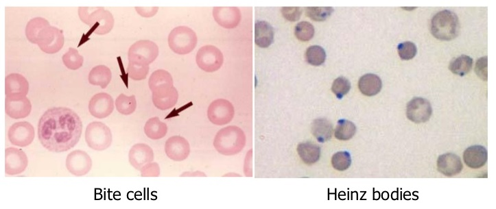
37 Heinz 氏小體是一種氧化的血紅素,下列何種溶血性貧血的紅血球內最常見到 Heinz 氏小體?
(A)免疫性溶血性貧血(immunohemolytic anemia)
(B)地中海型貧血(thalassemia)
(C)鐮刀血球性貧血(sickle cell anemia)
(D)葡萄糖-6-磷酸去氫酶缺乏症(glucose-6-phosphate dehydrogenase deficiency)
答案:登入後查看
統計: A(235), B(246), C(318), D(545), E(0) #2874943
統計: A(235), B(246), C(318), D(545), E(0) #2874943
詳解 (共 4 筆)
#5570538
A Howell-Jolly Bodies 溶血性貧血
B Target Cell 地中海型貧血
C Sickle cell 鐮刀型貧血
B Target Cell 地中海型貧血
C Sickle cell 鐮刀型貧血
39
1
#5978467

1
0
#6156514
推理題(?)
關鍵字"氧化" -> G6PD有還原能力較差的紅血球
0
0