39.有關皮膚感染非典型分枝桿菌的描述,何者正確?①快速生長的機緣性感染細菌 ②形成化膿性肉芽腫性皮
膚炎 ③病灶僅含極少量細菌且存於嗜中性球內 ④在貓較易發現
(A)①②③
(B)②③④
(C)①②④
(D)①③④
答案:登入後查看
統計: A(385), B(830), C(1178), D(227), E(0) #1631659
統計: A(385), B(830), C(1178), D(227), E(0) #1631659
詳解 (共 5 筆)
#3390514


文字敘述:
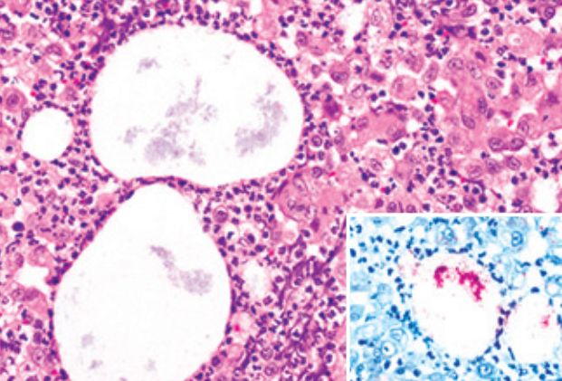
注意此化膿性肉芽腫性炎症中,細菌團塊會位於病灶的空泡內,而炎症細胞如嗜中性球及巨噬細胞則圍繞於空泡周圍
此種非典型非枝桿菌感染的菌體位於細胞外
小圖為抗酸染色
78
0