5.動物解剖時,發現肺臟表面布滿黑色針點狀病灶,顯微鏡下肺間質出現大量含黑色顆粒物質的巨噬細胞,正 確診斷為:
(A)pseudomelanosis
(B)silicosis
(C)anthracosis
(D)siderosis

答案:登入後查看
統計: A(79), B(82), C(786), D(109), E(0) #3282085

詳解 (共 4 筆)

#6173497

(A)假性黑色素症(pseudomelanosis):是指動物死後,因腸內產生的H2S,與紅血球作用,導致內臟變黑,與黑色素無關。

(B)矽肺病(silicosis)

(C)碳素沈著病  (anthracosis):此是肺塵埃沉著病  (pneumoconiosis) 的一種。吸入含碳的塵埃到肺,稱為碳素沈著病(anthracosis) 。都市的狗常見此病。早期在臺北市區長大的狗都可見此病。肉眼下,肺臟可變成灰色。鏡下可見黑色的碳化物沈著於小支氣管的周圍,大多在巨噬細胞內。另外,於支氣管的淋巴腺,也可見碳的沈積。

這是因吸入的碳化物經淋巴管排出到淋巴腺。經吸入並附著在上呼吸道的塵埃,部分可經呼吸道上皮的黏液纖毛系統(mucocilliary) 排出。

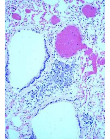
669f537bdbe25.jpg#s-370,473 

圖 6-1. 狗肺切片,於支氣管周圍有塵埃的沈著,稱肺塵埃沉著病(pneumoconiosis)  ,這是一種外來性的色素沈著。

(D)鐵質沈著病(siderosis)

Ref:家畜病理學上冊 第六章 異常著色p.48-50

22
0
#6173099
Anthracosis原圖奉上: 肺臟...


(共 125 字,隱藏中)
前往觀看
16
1
#6179753
炭末沉著症(anthra...
(共 690 字,隱藏中)
前往觀看
15
0
#6547260
補充個鑒別診斷:   矽肺(sili...
(共 191 字,隱藏中)
前往觀看
4
0

私人筆記 (共 2 筆)

私人筆記#7123567
未解鎖


(共 0 字,隱藏中)
前往觀看
7
0
私人筆記#6820444
未解鎖
簡單翻譯表格   形態學肺炭疽病是...


(共 313 字,隱藏中)
前往觀看
2
0