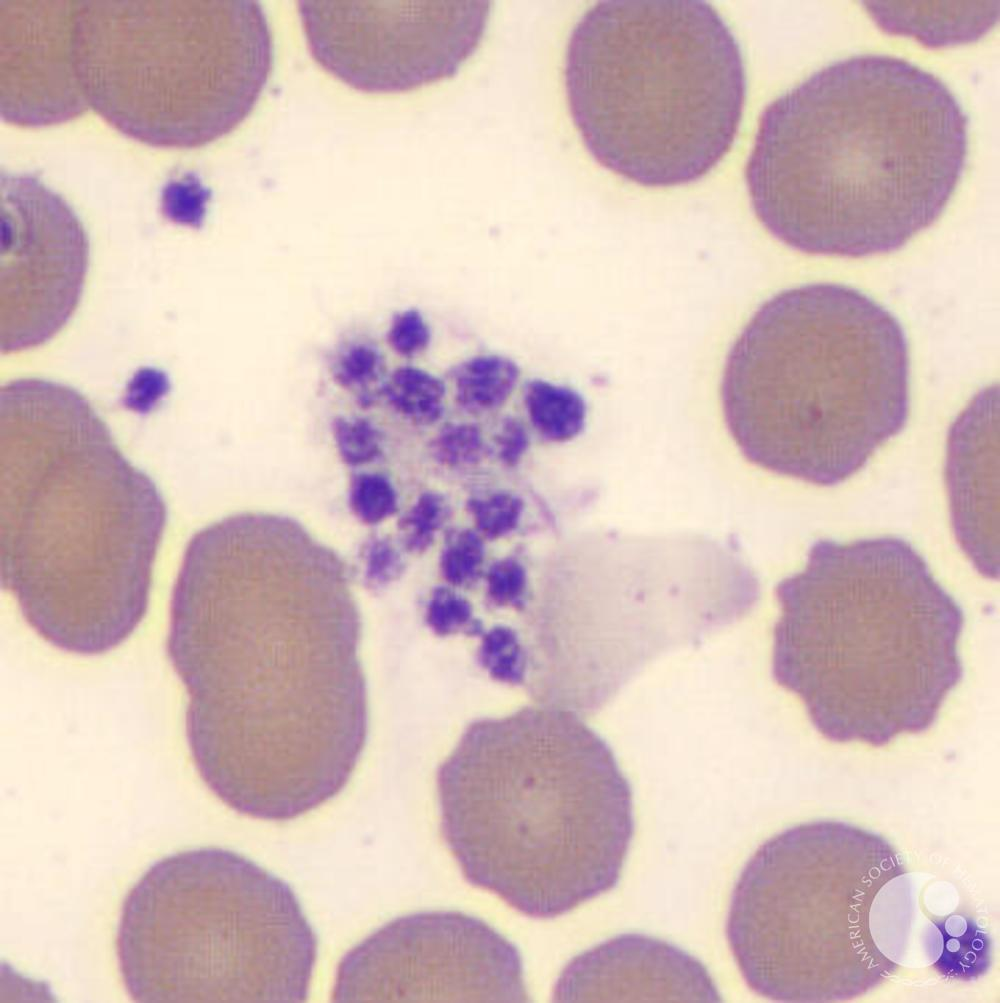
51.下列何者是造成血小板計數時,導致偽陽性血小板數量減少最常見的因素?
(A)巨型血小板(giant platelet)
(B)血小板衛星現象(platelet satellitism)
(C)血小板結塊(platelet clumping)
(D)不正常的血管外匯集(abnormal extravascular platelet pooling)
答案:登入後查看
統計: A(519), B(434), C(1102), D(84), E(0) #3062936
統計: A(519), B(434), C(1102), D(84), E(0) #3062936
詳解 (共 2 筆)
#6169450
偽陽性血小板數量減少最常見的因素:plt clumping: EDTA的關係(常用),改用sodium citrate
ㅤㅤ

12
0