64.下列有關豬包含體鼻炎之敘述,何者正確?
(A)病因為porcine cytomegalovirus
(B)通常感染成豬
(C)病毒在上皮細胞大量增殖,形成質內包含體
(D)本病和細菌混合感染時,造成漿液性滲出物
答案:登入後查看
統計: A(2109), B(161), C(238), D(170), E(0) #2038171
統計: A(2109), B(161), C(238), D(170), E(0) #2038171
詳解 (共 5 筆)
#3749777
選項B:This virus commonly infects the nasal epithelium of piglets younger than 5 weeks and causes a transient viremia .
選項C:
選項D:In uncomplicated cases, the gross lesion is hyperemia of the nasal mucosa, but with secondary bacterial infections, mucopurulent exudate can be abundant.
病理第六版 P491-492
19
0
#3712463
C cytomegalovirus是Herpesvirus
核內包含體
14
2
#6518021
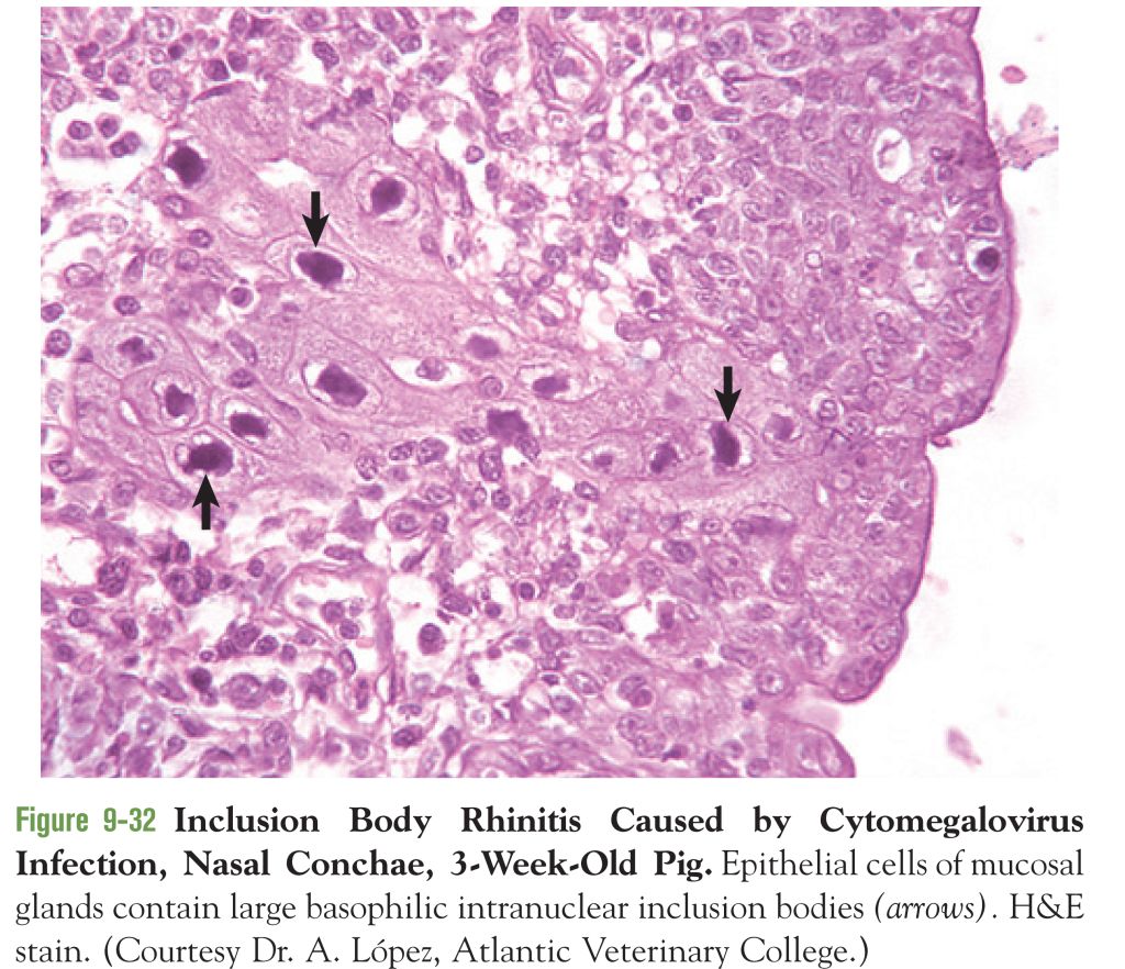
複習一下包含體鼻炎
病原:Herpesviridae-Betaherpesvirinae-Roseolovirus-豬巨大細胞病毒 Porcine cytomegalovirus (PCMV)
就把它想像成小豬的感冒➡️高發生、低致死、目前豬是唯一宿主
他與其他皰疹病毒一樣有核內包含體,只是一般的皰疹病毒是嗜酸性,他是嗜鹼性單一大型包含體,因為他只有這個地方最特別所以名字甚至叫包含體性鼻炎
3
0