阿摩線上測驗 登入

試題詳解

試卷:115年 - 115 專技高考_醫師(二):醫學(三)(包括內科、家庭醫學科等科目及其相關臨床實例與醫學倫理)#137317 | 科目:醫學三:80題 ( 包括內科,家庭醫學科等科目及其相關臨床實例與醫學倫理 )

試卷資訊

試卷名稱:115年 - 115 專技高考_醫師(二):醫學(三)(包括內科、家庭醫學科等科目及其相關臨床實例與醫學倫理)#137317

年份:115年

科目:醫學三:80題 ( 包括內科,家庭醫學科等科目及其相關臨床實例與醫學倫理 )

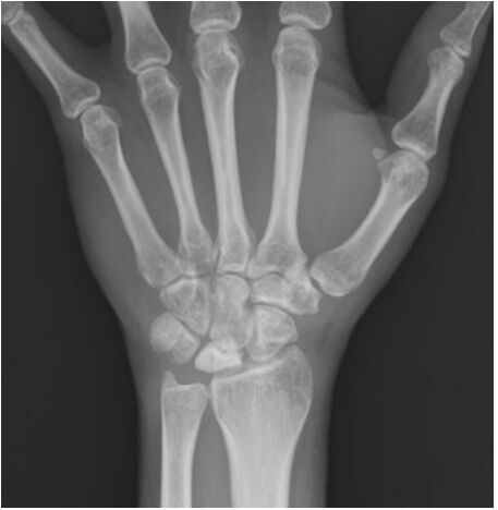
74.34 歲男性長期在風濕免疫科就診,最近開始抱怨左手腕疼痛,醫師告知手腕的月狀骨(lunate bone)有異常。病人的手腕 X 光片影像如圖所示,下列何者最可能造成月狀骨影像之異常?

(A)退化性關節炎(osteoarthritis)
(B)類風濕性關節炎(rheumatoid arthritis)
(C)痛風性關節炎(gouty arthritis)
(D)缺血性壞死(avascular necrosis)

正確答案:登入後查看