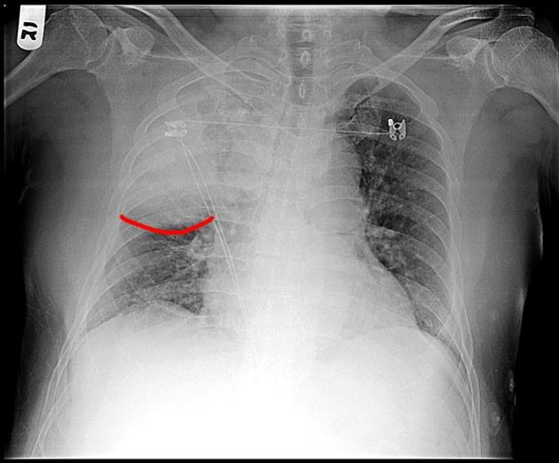
78 一位 68 歲男性,長期酗酒,因發燒、咳嗽併咖啡色濃痰、呼吸困難,胸部 X 光顯示右上肺野白色堅
實性變化(consolidation)合併肺葉間隙鼓漲(bulging interlobar fissure),此病患肺部感染的菌種最
可能為何?
(A)結核菌
(B)克雷白氏肺炎桿菌(Klebsiella pneumoniae)
(C)肺炎雙球菌
(D)肺炎黴漿菌(Mycoplasma pneumoniae)
答案:登入後查看
統計: A(12), B(33), C(8), D(4), E(0) #1061433
統計: A(12), B(33), C(8), D(4), E(0) #1061433
詳解 (共 1 筆)
#6289759
The bulging fissure sign refers to lobar consolidation where the affected portion of the lung is expanded, causing displacement of the adjacent fissure. Any type of pneumonia or space-occupying process can lead to bulging (sagging) fissure sign.
ㅤㅤ
Classically, it has been described in right upper lobe (RUL) consolidation secondary to Klebsiella pneumonia. It is now rarely seen due to prompt antibiotic therapy for suspected pneumonia.
ㅤㅤ

ㅤㅤ
source:
by Ashesh Ishwarlal Ranchod on 11 Oct 2023
0
0