阿摩線上測驗
登入
首頁
>
獸醫病理學
>
106年 - 106-1 專技高考_獸醫師:獸醫病理學#61798
> 試題詳解
試題詳解
試卷:
106年 - 106-1 專技高考_獸醫師:獸醫病理學#61798 |
科目:
獸醫病理學
試卷資訊
試卷名稱:
106年 - 106-1 專技高考_獸醫師:獸醫病理學#61798
年份:
106年
科目:
獸醫病理學
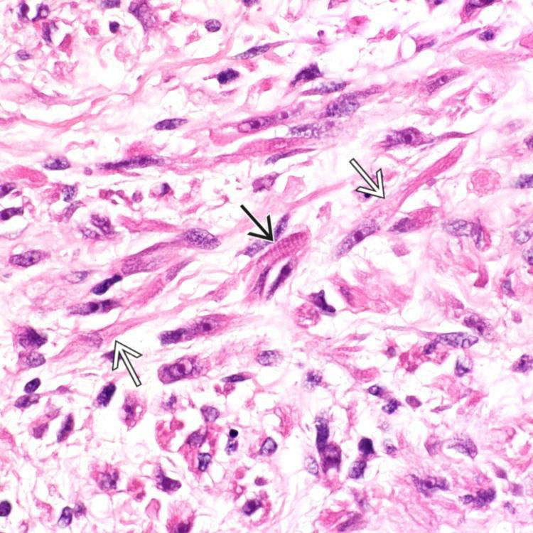
78.腫瘤鏡檢下若發現長條形多核的皮帶細胞(strap cell),較可能是:
(A)平滑肌肉瘤
(B)血管肉瘤
(C)橫紋肌肉瘤
(D)骨肉瘤
正確答案:
登入後查看
詳解 (共 3 筆)
張展華
B1 · 2017/07/15
推薦的詳解#2339602
未解鎖
平滑肌是單核縮狀樣血管肉瘤 為間質來源細...
(共 56 字,隱藏中)
前往觀看
36
0
Veta
B2 · 2017/07/23
推薦的詳解#2356501
未解鎖
複習一下:心肌是單核細胞,核在中間;骨骼...
(共 34 字,隱藏中)
前往觀看
30
1
八寶~為自己再戰一次
B5 · 2020/09/06
推薦的詳解#4255787
未解鎖
橫紋肌肉瘤 還可以包含細長的多核帶狀細...
(共 80 字,隱藏中)
前往觀看
9
0
私人筆記 (共 3 筆)
奶子
2020/07/18
私人筆記#2420663
未解鎖
如果是平滑肌來源腫瘤,通常會看見ciga...
(共 45 字,隱藏中)
前往觀看
32
0
國考帳號
2020/07/10
私人筆記#2377482
未解鎖
Rhabdomyosarcoma 橫紋肌...
(共 207 字,隱藏中)
前往觀看
15
0
Wang Yu-Ming
2018/12/26
私人筆記#1179881
未解鎖
橫紋肌肉瘤 Rhabdomyosarco...
(共 431 字,隱藏中)
前往觀看
14
0