試卷資訊
試卷名稱:110年 - 110-1 專技高考_護理師:基礎醫學(包括解剖學、生理學、病理學、藥理學、微生物學與免疫學)#96431
年份:110年
科目:專技◆護理師◆基礎醫學 (包括生理學,病理學,藥理學,微生物學,免疫學)
8 下列關於內分泌細胞的敘述,何者錯誤?
(A)松果腺細胞分泌褪黑素(melatonin)
(B)胰臟 alpha 細胞分泌升糖素(glucagon)
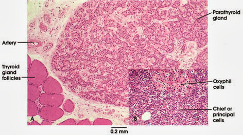
(C)副甲狀腺主細胞(chief cells)分泌副甲狀腺素(parathyroid hormone)
(D)腎上腺皮質絲球帶細胞(zona glomerulosa cells)分泌糖皮質激素(glucocorticoid)
詳解 (共 3 筆)
未解鎖
腎上腺皮質分三層,由外到內分別是:球狀帶...
未解鎖
解析:腎上腺皮質:①絲球帶→礦質皮質素、...
未解鎖
網狀帶:雄性激素(愛情蜘蛛網~)、葡萄糖...

私人筆記 (共 3 筆)
未解鎖
腎上腺皮質絲球帶細胞分泌糖礦物皮質激素,...
未解鎖
https://smallcolla...
未解鎖
(腎上腺外到內) zona glome...