80.牛隻濾泡囊腫時,下列何種症狀較為罕見?
(A)慕雄狂
(B)不發情
(C)帶血的黏液
(D)經常駕乘其他牛隻
答案:登入後查看
統計: A(41), B(546), C(444), D(55), E(0) #3134007
統計: A(41), B(546), C(444), D(55), E(0) #3134007
詳解 (共 4 筆)
#6148636

餐參考資料:獸醫科技資訊網 https://vettech.nvri.gov.tw/view.php?theme=web_structure&id=1675
5
0
#6512559
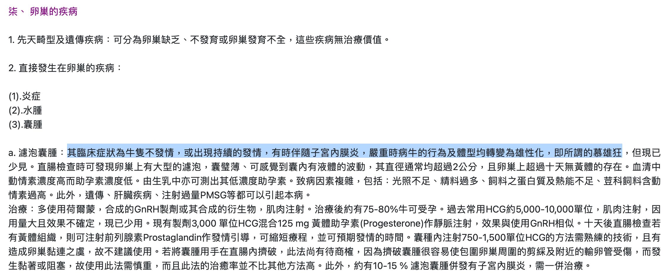
濾泡囊腫(Follicular Cyst):卵巢濾泡在未能正常排卵的情況下,因持續生長而形成的病理性結構,屬於功能性卵巢囊腫之一。這種囊腫通常充滿液體,並可能導致內分泌失調,影響動物的繁殖能力。賀爾蒙調節被破壞,主因是LH的抑制。
臨床症狀:會出現頻繁的、間歇性的發情以及騎乘、刨地等行為。Estrogen濃度穩定高值,無時無刻都存在大的Follicle。
治療方式:
- 給予GnRH,促使FSH,LH分泌。
- 給予LH+PGF2α,讓estrus cycle重新進行一次

Polycystic ovarian syndrome(多囊性卵巢種):目前機制不清楚,目前認為是濾泡生長受干擾,多發生在第一次estrus cycle
臨床症狀:estrus cycle不規則,分為:
- 過多estrogen➡️慕雄狂:小且多的濾泡造成estrogen堆積。
- 過多androgen➡️雄性化:濾泡無正常功能,缺乏estrogen,造成androgen相對太多

以下為補充:
黃體囊腫:臨床上牛隻多不發情。直腸檢查時囊璧厚而硬,通常只有單一囊腫在卵巢上。有時黃體囊腫可自行消退。病牛血清及生乳中有高濃度的助孕素可測出。治療一般使用前列腺素即可,病牛3-5天後即發情,可配種。但一般臨床上,直腸檢查有時不易確診,若不確定為黃體囊腫或濾泡囊腫時則注射GnRH或HCG與Progesterone的混合劑。
囊腫性黃體:與黃體囊腫很相似,但臨床上並不影響牛隻的生殖週期,一般在超音波檢查中才發現。其發生是在黃體發育期間,在其中心出現空洞。若不能與黃體囊腫區別,則可注射前列腺素以誘導牛隻發情。
小泡性的濾泡退性:其症狀為許多小型未成熟的濾泡充滿在卵巢的表面,卵巢無法產生正常的濾泡。其臨床症狀為無發情的徵候。治療方法可使用HCG、PMSG或GnRH,但通常效果不佳,故應考慮淘汰。
來源:https://vettech.nvri.gov.tw/view.php?theme=web_structure&id=1675
5
0