阿摩線上測驗
登入
首頁
>
牙醫學(四)(包括口腔顎面外科學、牙科放射線學等科目及其相關臨床實例與醫學倫理)
> 100年 - 100-1 專技高考_牙醫師(二)、牙醫師:牙醫學(四)(包括口腔顎面外科學、牙科放射線學等科目及其相關臨床實例與醫學倫理)#36018
100年 - 100-1 專技高考_牙醫師(二)、牙醫師:牙醫學(四)(包括口腔顎面外科學、牙科放射線學等科目及其相關臨床實例與醫學倫理)#36018
科目:
牙醫學(四)(包括口腔顎面外科學、牙科放射線學等科目及其相關臨床實例與醫學倫理) |
年份:
100年 |
選擇題數:
80 |
申論題數:
0
試卷資訊
所屬科目:
牙醫學(四)(包括口腔顎面外科學、牙科放射線學等科目及其相關臨床實例與醫學倫理)
選擇題 (80)
1.下列有關傷口止血(hemostasis)的方法,何者最正確? (A)在出血點(bleeding point)周圍移除液體的情況下,熱凝結(thermal coagulation)的止血效 果比較好 (B)比較大的血管破裂時,用止血鉗確實夾住約30秒即可止血 (C)Thrombin不能直接用於傷口止血 (D)含有epinephrine的局部麻醉藥具有止血效果,所以可在出血點附近局部注射該藥品,等待數分 鐘後即可止血
2.下列有關下齒槽神經阻斷麻醉(inferior alveolar nerve block anesthesia)的敘述,何者錯誤? (A)進針深度不足時,可能只有舌神經(lingual nerve)遭到麻醉 (B)進針太深時,可能使病人注射側的眼瞼無法閉合、嘴角下垂 (C)成功的右側下齒槽神經阻斷麻醉後,可以於同側下顎大臼齒頰側黏膜部位手術,而不至於令病 人疼痛 (D)成功的右側下齒槽神經阻斷麻醉後,通常同側舌神經不會有麻醉的效果
3.下列關於aspiration 鑑別診斷的敘述,何者錯誤? (A)straw-colored fluid 可能是囊腫 (B)air可能為腫塊 (C)血液則可能為血管瘤 (D)黃色膿液可能為炎症感染
4.頸部淋巴可依據解剖學的構造區分為level Ⅰ到level Ⅵ,肩胛舌骨上頸部廓清術(supraomohyoid neck dissection)之清除區域為何? (A)level Ⅰ,Ⅱ,Ⅲ (B)level Ⅱ,Ⅲ,Ⅳ (C)level Ⅲ,Ⅳ,Ⅴ (D)level Ⅳ,Ⅴ,Ⅵ
5.牽引骨生成術(distraction osteogenesis)可用來治療顎面畸形,一般建議施行此術時,在骨切 開與裝上牽引器之步驟後,最好要經多長之等待期(latency period)才開始牽引? (A)1天 (B)3天 (C)7天 (D)14天
6.牽引骨生成術(distraction osteogenesis)可用來治療顎面畸形,一般建議施行此術時,骨牽引 速率每天約為: (A)0.1 mm (B)1 mm (C)2 mm (D)3 mm
7.臨床上最常見之頭痛種類是: (A)偏頭痛(migraine) (B)緊張性頭痛(tension-type headache) (C)叢性頭痛(cluster headache) (D)血管性頭痛(vascular headache)
8.典型之三叉神經痛,常有下列那些特徵?①陣發性劇痛,每次持續數秒至一分鐘;②常會因觸及 引發區(trigger zone)而引起疼痛;③常伴隨有其他神經缺陷(neurologic deficits) (A)只有①② (B)只有①③ (C)只有②③ (D)①②③
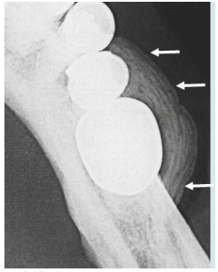
9.如下圖所示,該唾液腺體呈現ball in hand之顯像,則最有可能之診斷為何?
(A)sialolithiasis (B)sialoadenitis (C)sialodochitis (D)tumor of salivary gland
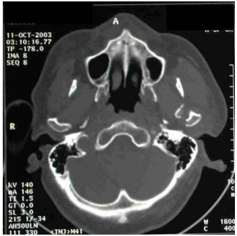
10.下圖是頭部電腦斷層影像,其診斷應是:
(A)右側上顎骨骨折 (B)右側下顎骨髁突(condylar process)骨折 (C)左側上顎骨骨折 (D)左側下顎骨髁突骨折
11.過長時間的閉合式復位術會造成患者顳顎關節出現下列那些可能的症狀?①沾黏 ②吸收 ③骨 質增生 ④纖維化(fibrosis) ⑤張口困難 (A)①②③ (B)③④⑤ (C)②③④ (D)①④⑤
12.下列腸線的使用何者正確? (A)現在使用的腸線是用貓的腸子作成的 (B)腸線吸收較絲線快 (C)腸線的組織反應性較低故適用於皮膚縫合 (D)腸線是經由水解被吸收的
13.下列有關傷口止血(hemostasis)的方法,何者正確? (A)含有epinephrine的局部麻醉劑具有止血效果,為了降低出血量,注射後可立即下刀 (B)在出血點(bleeding point)周圍不移除液體的情況下,熱凝結(thermal coagulation)的止血 效果比較好 (C)含有epinephrine的局部麻醉劑具有止血效果,為了降低出血量,至少於下刀前7分鐘局部注射 該藥品於預定之切線部位 (D)在出血點(bleeding point)周圍移除液體的情況下,熱凝結(thermal coagulation)的止血效 果比較差
14.下列敘述何者錯誤? (A)縫合皮瓣時,縫線應先穿過可動組織 (B)縫線與傷口邊緣的組織距離最少應為3毫米 (C)口內縫線應於術後5-7日後拆除,以免增加感染機會 (D)傷口切斷神經後,施行神經吻合術,其再生速率每日可長3~5毫米
15.軸突斷傷(axonotmesis)修復的開始時間及速度分別為: (A)受傷後24小時內開始,每日4-4.5毫米 (B)受傷後48小時內開始,每日3-3.5毫米 (C)受傷後24小時內開始,每日2-2.5毫米 (D)受傷後48小時內開始,每日1-1.5毫米
16.拔牙時所造成的口腔軟組織擦傷(abrasion)至少需多少天可以癒合? (A)1 (B)3 (C)7 (D)14
17.下列何者是舌下間隙(sublingual space)及顎下間隙(submandibular space)的共同點? (A)均以下顎骨為外壁(lateral wall) (B)均以頸部皮膚為外壁(lateral wall) (C)均以口底黏膜為頂(roof) (D)均以下顎舌骨肌(mylohyoid muscle)為頂(roof)
18.根據美國心臟學會(American Heart Association)於1997年之建議,為預防口腔手術可能引起 的細菌性心內膜炎,對penicillin過敏之病患,可於術前1小時給予下列何種藥物? (A)clindamycin 2 gm (B)clindamycin 600 mg (C)erythromycin 2 gm (D)erythromycin 600 mg
19.下列有關咀嚼間隙(masticatory space)感染的敘述,何者錯誤? (A)咀嚼間隙主要包括了咬肌間隙(masseteric space),翼突下顎間隙(pterygomandibular space),外咽間隙(lateral pharyngeal space) (B)咀嚼間隙感染共同的症狀是會造成牙關緊閉(trismus) (C)咬肌間隙(masseteric space)感染可能是由頰間隙感染而來 (D)翼突下顎間隙(pterygomandibular space)感染可能是因為施打下齒槽神經阻斷麻醉而造成
20.下列關於顎骨中囊腫之臨床表徵描述,那些錯誤?①除非繼發感染,很少在早期出現症狀 ②很 少因壓迫神經而造成感覺異常 ③常造成鄰近牙根的吸收 (A)只有① (B)只有①② (C)只有③ (D)①②③
21.下顎口外骨兩側垂直骨切開術(extraoral bilateral vertical osteotomy)的優點為何? (A)不易造成顏面神經下顎分枝受傷 (B)不易造成下齒槽神經受傷 (C)不易在手術後留下疤痕 (D)手術後比較不易發生復位
22.三叉神經痛最常發生於三叉神經那些分枝所支配的區域? (A)第一及第二 (B)第一及第三 (C)第二及第三 (D)發生於三分枝之比例相同
23.腮腺(parotid gland)的分泌是由那條腦神經支配? (A)CN V (B)CN VII (C)CN IX (D)CN X
24.齒槽裂植骨修補術(alveolar cleft bone grafting)之修補及縫合進行之順序是:①縫合唇側黏膜 ②縫合鼻及腭黏膜 ③植入移植骨 (A)①③② (B)③②① (C)②③① (D)③①②
25.在4種過敏反應(hypersensitivity reaction)類型中,只有那一型可能會出現急性之致命狀況? (A)第一型(type I) (B)第二型(type II) (C)第三型(type III) (D)第四型(type IV)
26.一位曾有氣喘(asthma)病史的22歲年輕女性病人,因右下顎智齒蛀牙太深必須拔除,則下列注 意事項中,何者錯誤? (A)要注意詢問病人氣喘病發時的嚴重度、頻率、誘發因素 (B)病人若有長期使用類固醇藥物時,可能要在術前給予預防性的類固醇藥物加重劑量 (C)手術當中因局部麻醉失效、疼痛,可能引起焦慮而誘發氣喘 (D)術前、術中一氧化氮(nitrous oxide)的正常使用以減緩焦慮,對氣喘病人仍是危險的藥物選 擇
27.麻醉針有長短之分,下列敘述何者正確? (A)短針是15 mm,長針為25 mm (B)短針是20 mm,長針為32 mm (C)短針是15 mm,長針為32 mm (D)短針是20 mm,長針為25 mm
28.施打局部麻醉時,下列何者操作較適當? (A)快推進,快抽出 (B)慢推進,慢抽出 (C)慢推進,快抽出 (D)快推進,慢抽出
29.下列有關局部麻醉藥物的藥理作用之敘述,何者錯誤? (A)局部麻醉藥對神經系統及心血管系統都有影響,但對前者影響較大 (B)骨骼肌對局部麻醉藥劑不具反應 (C)臨床上使用的局部麻醉藥物中,只有古柯鹼(cocaine)具有血管收縮的藥效 (D)利度卡因(lidocaine)在安全血濃度下,也是治療某些心律不整的藥物之一
30.有一病患主訴左臉頰接近上顎大臼齒區域,有一紅腫突起,並略有疼痛感覺,你認為是下列何者 開口處發炎? (A)Bartholin’s duct (B)Stensen’s duct (C)Wharton’s duct (D)Rivinus’ duct
31.下列何種情形,不能將牙根碎片留在骨頭中? (A)只有約2 mm大小的下顎第三大臼齒牙根尖 (B)有根尖病灶的下顎第二大臼齒根尖碎片,但是離下齒槽神經很近 (C)因車禍撞斷的上顎第一大臼齒的腭側牙根小碎片 (D)沒有根尖病灶的上顎第二大臼齒根尖小碎片,但是離副鼻竇很近
32.病患因殘根引起齒源性感染而住院,一日前上頸部腫脹範圍自右耳後至舌骨附近,按壓堅硬、觸 之溫熱、心跳及呼吸速率均上升。下列敍述何者錯誤? (A)應投予高劑量靜脈注射之抗生素 (B)必要時可行切開引流 (C)提供適當營養水分 (D)不必拔除殘根
33.治療嚴重齒槽骨吸收的原則,下列何者錯誤? (A)創造寬廣的骨嵴型態 (B)足夠的前庭深度 (C)保護神經血管叢 (D)顎間關係不重要
34.在下顎骨種植人工牙根時可能產生的併發症,下列何者錯誤? (A)下齒槽神經可能受傷 (B)下顎骨可能產生骨折 (C)下顎前庭變淺 (D)頰側或舌側皮質骨可能穿通
35.下列那一種囊腫最常見於口腔的上下顎骨? (A)含齒囊腫(dentigerous cyst) (B)牙根尖囊腫(radicular cyst) (C)齒源性角化囊腫(odontogenic keratocyst) (D)鈣化齒源性囊腫(calcifying odontogenic cyst)
36.對於正常角質化齒源性角化囊腫(orthokeratinized odontogenic keratocyst)的敘述,下列何者 錯誤? (A)在X光片下,大多是呈現單房性(unilocular)的放射性透光病灶 (B)與含齒囊腫(dentigerous cyst)相似,也都會有伴隨著未萌發齒 (C)復發率極高 (D)挖出術(enucleation)加刮除術(curettage)是很好的治療選擇
37.功能基質理論(functional matrix theory)是指顏面骨的生長與下列何者有關? (A)咀嚼肌的作用力 (B)顏面部豐富的血管供應 (C)腦容量大小 (D)靈敏的神經分佈
38.有關正顎手術對神經損傷的敘述,下列何者錯誤? (A)口外使用下顎枝C形骨截開術(C osteotomy),易傷及顏面神經 (B)下顎骨進行下顎矢向分裂骨截開術(bilateral sagittal split osteotomy),可能傷及下齒槽神經 (C)實行LeFort I手術容易造成顏面神經麻痺 (D)頦成型術(genioplasty)可能會造成頦神經損傷
39.下列關於「下顎矢向分裂骨切開術(bilateral sagittal split osteotomy)」的敘述,何者錯誤? (A)此種術式只能讓下顎骨往後退,無法讓下顎前移 (B)術式是在下顎升枝內側面作水平的骨切開,在前緣作矢狀骨切開以及在臼齒頰側面作垂直的骨 切開 (C)在骨切開區域產生了大面積骨質重疊的伸縮效應,具備多方向移動的彈性 (D)易傷害到下齒槽神經
40.下列對於檢查牙齒及齒槽傷害(dentoalveolar injuries)的敘述,何者錯誤? (A)牙齒及其支持組織外傷後,即使沒有牙齒的移位或動搖,亦可能對敲診或觸診檢查產生敏感 (sensitivity) (B)牙髓測試(pulp testing)較少在急性傷害後立即檢查,因為可能出現偽陰性的結果,故多在外 傷數週後再行測試牙齒活性 (C)牙根的斷裂(root fracture),藉由單張X光片即可明確的診斷出 (D)利用X光片置於軟組織內側面,可用來檢查外傷後之異物陷入或存留,惟其放射線暴露時間應 減少為正常值的1/3
41.恆牙牙冠斷裂導致牙本質暴露(dentin expose),下列敘述何者正確? (A)應立即斷髓(pulpotomy),以防後續感染 (B)根尖發育愈不成熟的牙齒,對覆髓(pulp capping)的反應愈差 (C)以複合樹脂填補時,酸蝕表面處理是禁忌症 (D)可在氫氧化鈣與複合樹脂填補物間,再放一層玻璃離子體黏合劑
42.一車禍合併顏面外傷(facial injury)病人送至急診處,醫師應立即首要評估之項目為何? (A)心肺狀況(cardiopulmonary stability) (B)神經學反應(neurologic status) (C)頸椎狀況(cervical spine) (D)頭頸部傷勢(head and neck injury)
43.關於裂唇(cleft lip)之敘述,下列何者錯誤? (A)非單一基因疾病,為多重致病因素所引發之疾病 (B)好發於男性 (C)右側多於左側 (D)單側裂多於雙側裂
44.患者於接受牙科治療時若有氣喘急性發作時,下列何者屬不恰當處置? (A)停止牙科治療,讓患者平躺 (B)給予氧氣 (C)噴isoproterenol (D)靜脈點滴crystalloid solution
45.下列有關頭頸部理學檢查之敘述,何者錯誤? (A)主要之檢查方法有視診(inspection)、觸診(palpation)、敲診(percussion)及聽診 (auscultation) (B)觸診(palpation)可用於檢查頸部淋巴結是否有腫大 (C)敲診(percussion)主要用於檢查顳顎關節 (D)聽診(auscultation)可用於檢查頸動脈是否有雜音(carotid bruits)
46.35歲女性因右頰無痛性腫塊6個月,至醫院求治(如下圖),咬合下顎中線往左偏移6毫米。無外 傷或其他系統性病史,觸診時腫塊質地堅硬如骨,下列何者為正確的診斷方法?
(A)電腦斷層 (B)氟-18正子攝影 (C)顳顎關節攝影 (D)TC-99骨骼掃描
47.單側顳顎關節盤前置脫位無法復位(anterior disk displacement without reduction)時,下列敘 述何者正確? (A)患者張口時患側一定會有彈響(clicking) (B)張口時下顎會向患側偏移 (C)患側側方運動(lateral excursion)不受影響 (D)在放射線檢查時會發現關節明顯增生
48.下列關於關節炎之敘述,何者錯誤? (A)最常見全身性關節疾病影響顳顎關節是退化性關節炎(Degenerative joint disease) (B)退化性顳顎關節炎(Degenerative joint disease)通常為單側 (C)類風濕性關節炎通常為兩側 (D)血球沈降速率對類風濕性關節炎診斷有幫助
49.關於下顎髁突骨折(fracture of mandibular condyle)處理的敘述,下列何者正確? (A)斷裂的髁突常因內翼肌(internal pterygoid muscle)的拉力,導致其向前內側方向的移位 (B)在髁突骨折癒合過程,首重建立病患正確的咬合關係,骨癒合後即使斷裂的髁突仍有些許或中 等程度的移位,通常是可被接受的 (C)若施予上下顎間鋼絲固定術(IMF)治療成人下顎髁突骨折,最少應固定8週 (D)若施予上下顎間鋼絲固定術(IMF)治療兒童下顎髁突骨折,最少應固定4到6週
50.在門診掏斷裂的牙根時,牙醫師將器械放置在患者胸前,對於這樣的行為解釋,下列何者正確? (A)不管患者是男性或女性,這樣的行為是不妥的 (B)如果患者是男性,這樣的行為是可以接受的 (C)如果患者是女性,只要先解釋,這樣的行為是可以接受的 (D)為了方便將斷裂的牙根拔出來,這樣的行為是可以接受的
51 (A)病人的頭部必須有所依靠,不得懸空。左手用來固定頭部,並且可以感覺到鼻樑及外眼眶部位 是否有鬆動 (B)病人的頭部必須有所依靠,不得懸空。右手拇指、食指抓住上顎門牙,適度搖晃來測試上顎骨 是否有移動 (C)病人的頭部必須有所依靠,不得懸空。右手拇指、食指抓住上顎前牙的齒槽骨,適度搖晃來測 試上顎骨是否有移動 (D)若右手察覺到上顎骨有搖動,左手卻感覺不出鼻樑及外眼眶部位有鬆動時,則可能是LeFort I fracture
52.承上題,若檢查者左手所接觸的兩個位置(鼻樑與雙側外眼眶),都有搖晃、鬆動的感覺時,最 可能的診斷為何? (A)只有LeFort III fracture (B)只有LeFort II fracture (C)只有LeFort I fracture (D)LeFort II fracture and LeFort I fracture
53.承上題,若檢查者左手所接觸的兩個位置(鼻樑與雙側外眼眶),都沒有搖晃、鬆動的感覺時, 最可能的診斷是? (A)只有LeFort III fracture (B)只有LeFort II fracture (C)LeFort I fracture或LeFort II fracture (D)LeFort I fracture或者是上顎骨根本沒骨折
(A)米庫立資氏症候群 (B)庫欣氏症候群 (C)痣樣基底細胞癌症候群 (D)歐伯來氏症候群
55.承上題,該患者最有可能罹患下列那一種? (A)多發性基底細胞癌 (B)肝癌 (C)膀胱癌 (D)胃癌
56.承上題,該患者罹患之顎骨囊腫,對於此囊腫之敘述,下列何者錯誤? (A)常伴隨未萌發之牙齒 (B)復發性高 (C)需要積極性的治療 (D)挖出術(enucleation)是治療的首選
57.放射線是一種能量,於空間與物質間產生能量的傳輸,它經常以下列何種形態出現? (A)Electron and neutron (B)Neutron and proton (C)Electromagnetic and Particulate (D)Photon and Electron
58.一般約要照幾張牙科牙根尖片,才會達到相當於人體一年所受的背景輻射劑量? (A)1張 (B)20張 (C)50張 (D)100張以上
59.牙科放射線攝影時有關感染的防治中,下列敘述何者正確? (A)照射時不會造成交叉感染 (B)照射時是利用X光底片,醫師並不直接接觸病人,因此直接感染的機會很低 (C)牙科X光機並不直接接觸病人但可經由X光機得到交叉感染 (D)牙科診所中僅有牙科醫師較需要注意感染問題
60.牙科X光照射平行法比分角線法較被推薦,主要原因為何? (A)被照物與底片的距離較近 (B)其使用慢速片 (C)較不會使影像中的牙根長度變形 (D)其可減少顯影的時間
61.上顎咬合片(upper standard or cross-sectional maxillary occlusal film)的照法是以何角度由患 者上前方照向片子? (A)35° (B)45° (C)65° (D)85°
62.使用牙科放射線攝影之平行法(paralleling technique),中心射線(central beam)之敘述何者 正確? (A)與牙齒長軸及X光片垂直 (B)與牙齒長軸平行但與X光片垂直 (C)與牙齒長軸垂直但與X光片平行 (D)與牙齒長軸及X光片夾角之分角線垂直
63.側窩(lateral fossa)之放射線影像,為一放射線可透區(radiolucent area),通常位於下列那 一牙齒之牙根尖位置? (A)上顎中門齒 (B)上顎側門齒 (C)上顎小臼齒 (D)下顎側門齒
64.下列所附咬合片(occlusal film)中,對箭頭所指之放射線影像,最適切之描述為何?
(A)洋蔥皮狀影像(onion-skin appearance) (B)陽光線狀影像(sun-ray appearance) (C)羊毛棉花狀影像(cotton-wool appearance) (D)毛玻璃狀影像(ground-glass appearance)
65.關於顎骨後方史塔尼缺陷(Stafne defect)之顎骨放射線影像之敍述,下列何者錯誤? (A)病變通常呈現界線清楚之放射線透過區域(radiolucency) (B)病變大小通常1-3公分 (C)病變通常位於下齒槽神經管上方 (D)病變通常圓形或卵圓形
66.顎骨內之鱗狀細胞癌(squamous cell carcinoma)之放射線影像,最常呈現為下列何者? (A)界線清楚之放射線透過性病變(radiolucent lesion) (B)界線不清楚之放射線透過性病變(radiolucent lesion) (C)混合放射線透過性和不透過性病變(mixed radiolucent and radiopaque lesion) (D)放射線不透過性病變(radiopaque lesion)
67.關於血磷酸鹽過少(hypophosphatemia)患者顎骨放射線影像之敍述,下列何者錯誤? (A)顎骨之骨密度減少 (B)患者常有牙根尖病變 (C)患者牙釉質之形成正常 (D)患者牙本質之形成有缺陷
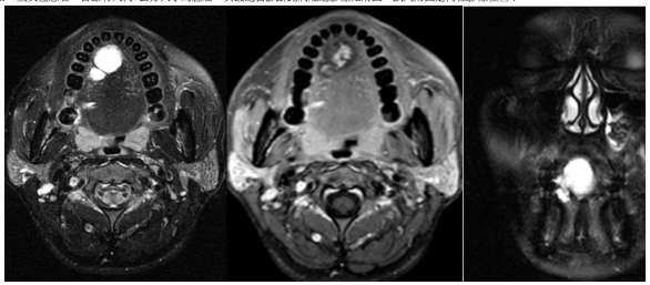
68.26歲女性患者,舌部有大約3公分大小的腫瘤,其最適合診斷此病灶之影像如附圖,試問附圖是何種影像檢查?
(A)CT scan (B)MRI (C)Tomography (D)Ultrasound
69.一般而言,下列何種斷層掃描射線的運動(tomographic movement)所形成的影像效果最差? (A)直線(linear) (B)擺線形(hypocycloidal) (C)圓形(circular) (D)螺旋形(spiral)
70.由於人體的細胞中含有很多的水分,因此放射線對於細胞的作用,多屬於: (A)Direct effect (B)Indirect effect (C)Select effect (D)Mixed effect
71.X光機在下列何時產生放射線? (A)陽極被加熱到3000℃ (B)鎢鋼絲通電時 (C)電子撞擊陰極時 (D)電子撞擊陽極時
72.輻射線之穿透力與LET(linear energy transfer)有關,但當速度一定時,下列何種越大其穿透力 越小? (A)能量 (B)質量 (C)頻率 (D)磁場
73.下圖為XCP之組裝圖示,此裝置是用來拍攝那些後牙區之放射線影像?
(A)右上、左下 (B)右下、左上 (C)右上、左上 (D)右下、左下
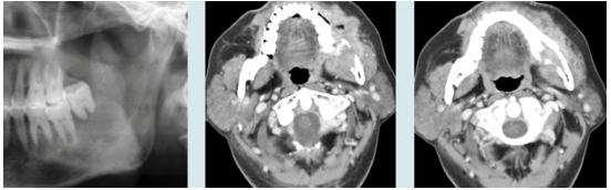
74.下圖三張影像所呈現的病灶區,其臨床診斷最可能為下列何者?
(A)纖維性發育不良(fibrous dysplasia) (B)鱗狀細胞癌(squamous cell carcinoma) (C)纖維瘤(fibroma) (D)造釉細胞瘤(ameloblastoma)
75.圖A及圖B為克魯遜氏症候群(Crouzon syndrome)之頭顱X光影像,其放射線特徵稱為何?
(A)punched-out appearance (B)beaten-metal appearance (C)cotton-wool appearance (D)ground-glass appearance
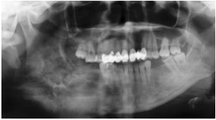
76.下圖X光片所呈現的影像,其臨床診斷最可能為下列何者?
(A)骨髓炎(osteomylitis) (B)纖維性發育不良(fibrous dysplasia) (C)骨肉瘤(osteosarcoma) (D)腺瘤樣齒源性瘤(adenomatoid odontogenic tumor)
77.下圖中左下顎骨之放射線不透性病灶,其最可能的診斷為下列何者?
(A)殘根(residual root) (B)骨肉瘤(osteosarcoma) (C)內生骨瘤(endosteoma) (D)骨髓炎(osteomylitis)
78.鐮刀狀細胞貧血(sickle cell anemia)在顱部之放射線影像,下列何者為其特徵? (A)ground glass (B)cotton-wool (C)punched-out (D)hair-on-end
79.對於LeFort I骨折之診斷,下列何種影像較無幫助? (A)submentovertex view (B)Waters’ view (C)電腦斷層攝影(computed tomography) (D)側顱X光片(lateral skull film)
80.鼻腭管囊腫(nasopalatine duct cyst)在X光下呈現心形的原因為何? (A)兩側正中門齒的牙根較側門齒長 (B)在發育上,為兩側融合而成 (C)上顎唇側的骨板較腭側薄 (D)因照射到前鼻脊
申論題 (0)
相關試卷
115年 - 115-1 專技高考_牙醫師(二):牙醫學(四)(包括口腔顎面外科學、牙科放射線學等科目及其相關臨床實例與醫學倫理)#137358
115年 · #137358
114年 - 114-2 專技高考_牙醫師(二):牙醫學(四)(包括口腔顎面外科學、牙科放射線學等科目及其相關臨床實例與醫學倫理)#128945
114年 · #128945
114年 - 114-1 專技高考_牙醫師(二):牙醫學(四)(包括口腔顎面外科學、牙科放射線學等科目及其相關臨床實例與醫學倫理)#125098
114年 · #125098
113年 - 113-2 專技高考_牙醫師(二):牙醫學(四)(包括口腔顎面外科學、牙科放射線學等科目及其相關臨床實例與醫學倫理)#121679
113年 · #121679
113年 - 113-1 專技高考_牙醫師(二):牙醫學(四)(包括口腔顎面外科學、牙科放射線學等科目及其相關臨床實例與醫學倫理)#118730
113年 · #118730
112年 - 112-2 專技高考_牙醫師(二):牙醫學(四)(包括口腔顎面外科學、牙科放射線學等科目及其相關臨床實例與醫學倫理)#115909
112年 · #115909
112年 - 112-1 專技高考_牙醫師(二):牙醫學(四)(包括口腔顎面外科學、牙科放射線學等科目及其相關臨床實例與醫學倫理)#113155
112年 · #113155
111年 - 111-2 專技高考_牙醫師(二):牙醫學(四)(包括口腔顎面外科學、牙科放射線學等科目及其相關臨床實例與醫學倫理)#109860
111年 · #109860
111年 - 111-1 專技高考_牙醫師(二):牙醫學(四)(包括口腔顎面外科學、牙科放射線學等科目及其相關臨床實例與醫學倫理)#106178
111年 · #106178
110年 - 110-2 專技高考_牙醫師(二):牙醫學(四)(包括口腔顎面外科學、牙科放射線學等科目及其相關臨床實例與醫學倫理)#99925
110年 · #99925