阿摩線上測驗
登入
首頁
>
中醫臨床醫學(三)
> 102年 - 102-1 專技高考_中醫師(二)、中醫師:中醫臨床醫學(三)(包括中醫外科學、中醫傷科學、中醫五官科學)#36660
102年 - 102-1 專技高考_中醫師(二)、中醫師:中醫臨床醫學(三)(包括中醫外科學、中醫傷科學、中醫五官科學)#36660
科目:
中醫臨床醫學(三) |
年份:
102年 |
選擇題數:
80 |
申論題數:
0
試卷資訊
所屬科目:
中醫臨床醫學(三)
選擇題 (80)
1 下列有關中醫外科開刀法的敘述,何者錯誤? (A)乳部開刀宜放射形切開,免傷乳囊 (B)瘡瘍膿深而淺切,則內膿不得外出 (C)膿未熟而過早切開,損氣血而膿易泄 (D)面部膿腫沿皮膚紋理切開,免生瘢疤
2 外瘍發於多血少氣之經,治療時首應注意下列何項? (A)行氣、活血 (B)行氣、滋養 (C)破血、補托 (D)破血、驅風
3 下列有關中醫外科辨癢的敘述,何者錯誤? (A)疔瘡、疽在初起時,局部腫勢平坦,根腳散漫,尚未成膿時,都會生癢,是毒勢熾盛 (B)潰瘍如癢甚焮熱,搔抓流水,屬脾胃濕重,或膿液浸漬皮膚 (C)風、瘡、疥癬等皮膚癢,如屬風勝,則走竄無定,遍體作癢 (D)中醫外科的癢皆為實證
4 下列何病不屬於膀胱經濕熱,又兼七情不和,憂憤凝滯而成? (A)坐馬癰 (B)騎馬癰 (C)上馬癰 (D)下馬癰
5 下列有關「牙衄」的證治,何者錯誤? (A)胃經實熱者,多見血出如湧 (B)胃經虛火者,多見牙齦腐爛,淡血滲流不止 (C)腎經虛者,多見血點滴而出,口不臭而牙動 (D)外用可以「李杲牢牙散」擦牙,青竹茹浸醋含漱
6 外科腫瘍內治法的三大原則為何? (A)溫、通、汗 (B)消、清、通 (C)消、托、補 (D)消、通、補
7 下列何者不是衝疽的別名? (A)中發疽 (B)臍二疽 (C)中脘疽 (D)雍腎疽
8 有關腦鑠,下列敘述何者錯誤? (A)生於督脈經風府穴 (B)宜急施桑柴烘法,艾壯灸法,以癢止為度 (C)速服仙方活命飲,以舒解其毒 (D)由陰精枯涸,毒火乘之而生
9 下列何者是由表淺性黴菌感染所致? (A)大麻風 (B)紫白癜風 (C)白駁風 (D)破傷風
10 一名來自印尼的外籍勞工,大腿出現紅斑白屑,蔓延如癜,形如蛇皮,脫落成片,而且皮膚感覺消 失。其最可能的診斷為下列何者? (A)紫白癜風 (B)赤白遊風 (C)白屑風 (D)癘風
11 對於「火赤瘡」的證治,下列何者錯誤? (A)上體多生者,屬風熱盛,宜服「解毒瀉心湯」 (B)下體多生者,屬濕熱盛,宜服「清脾除濕飲」 (C)未破者,宜外敷「蝌蚪拔毒散」或「如意金黃散」 (D)已破者,宜外敷「玉容散」養血生肌 代號:6103 頁次:8-2
12 對於「天泡瘡」的證治敘述,下列何者正確? (A)病因為感受暑風濕熱之氣所生,能互相傳染 (B)上身多者屬風熱,宜內服「清脾除濕飲」 (C)下身多者屬濕熱,宜內服「解毒瀉心湯」 (D)已破者,宜以「如意金黃散」外敷
13 下列有關疳瘡之敘述,何者正確? (A)生於前陰 (B)生於少腹 (C)生於肛門內 (D)生於肛門外
14 對於痔瘡之治療,下列何者錯誤? (A)成年人大便帶血,而無疼痛者,若為內痔,可服消痔止痛方 (B)因久瀉久痢而生痔,時時脫肛者,可服桃紅承氣湯 (C)如兼大便閉結或夜熱者,屬血熱結滯,可服清涼飲 (D)如因產後用力過大而生痔者,可服活血補中湯
15 下列有關肉瘤的敘述何者最正確? (A)病機為脾失健運,濕痰內生及氣血凝結而成 (B)質地堅硬,按之不動,推之不移 (C)治以健脾益氣,化痰散結 (D)甚易引發臁瘡或濕疹
16 經常久站或負擔重物的人,因下肢皮膚發癢搔抓感染,而容易造成: (A)瘑瘡 (B)足跟疽 (C)爛腿 (D)鶴膝風
17 許多疾病均可能造成感染性膿瘍,在皮下組織、肌肉、骨骼或關節之間漫延流竄。下列何者不具上 述特性? (A)流痰 (B)流注 (C)流火 (D)螻蛄癤
18 某患者罹患赤白遊風,皮膚出現病灶起如雲片,浮腫焮熱,痛癢相兼,高壘如粟,色赤者,初宜服 荊防敗毒散疏解之,次宜服何方治療為佳? (A)四物消風飲 (B)清胃湯 (C)補中益氣湯加防風、蟬蛻、殭蠶、生何首烏 (D)烏藥順氣散
19 (A)眼胞痰核 (B)眼胞菌毒 (C)圓翳內障 (D)鍼眼
20 承上題,治宜下列何方? (A)小防風湯 (B)茺蔚丸 (C)化堅二陳湯 (D)疏風清肝湯
21 某 17 歲男性患者,因騎車跌倒,導致左前臂骨折,經送醫後以手法復位,外敷如意金黃散,並以副 木外固定治療。五天後複診時,發現其左臂外觀如圖所示。則下列相關之處置何者正確?
(A)腫未消,應繼續敷如意金黃散,並繼續副木外固定 (B)腫已消,但應堅持外敷如意金黃散,並繼續副木外固定 (C)皮膚有過敏反應,應立即停止外敷藥,並去除副木外固定 (D)皮膚有過敏反應,應立即停止外敷藥,僅以副木外固定即可
22 附圖所示之肩部 X 光是屬於何種視角的成像法? (A)前後位視角(AP view) (B)腋視角(axillary view) (C)側視角(lateral view) (D) Y 視角(Y view)
23 「肩關節盂(shoulder glenoid)」指的是圖中的那個結構? (A)① (B)② (C)③ (D)④
24 經由所提供之影像,可以判斷其病變為何? (A)肩胛骨骨折 (B)肩關節前脫位 (C)肱骨頸陳舊性骨折 (D)無明顯異常
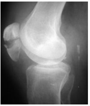
25 某 65 歲女性病患,因在浴室跌倒,主訴右膝疼痛,X 射線檢查如附圖所示。經手法整復後,下列固 定包紮的正確順序為何?
①紗布固定 ②外敷如意金黃散 ③固定抱膝 ④固定夾板 (A)③②④① (B)③②①④ (C)②③④① (D)②③①④
26 某 16 歲男性患者,某日因從事直排輪極限運動自斜板上跌下,著地時左臂撐地,旋即發生劇烈疼痛。 經送醫檢查發現其 X 光片如圖所示,則其骨折之類型於分類上應屬下列何者?
(A)骨骺分離 (B)嵌插骨折 (C)裂縫骨折 (D)青枝骨折
27 (A)尿路結石 (B)脊柱退行性病變(Degenerative Spondylosis) (C)薦腸關節炎(Sacroiliitis) (D)椎間盤突出
28 承上題,該病人宜作何項檢查進一步確診? (A)進一步作 CT 檢查,確認椎間盤突出位置及神經受壓迫程度 (B)進一步作 IVP 影像學檢查確診是否為尿路結石 (C)進行腰椎正面及側面影像學檢查,有無骨贅物生成,以確診脊柱退行性病變 (D)建議作血液檢驗紅血球沉降速率(ESR)、C 反應蛋白(CRP)及 HLA-B27,以確診是否為僵直 性脊柱炎
29 附圖為肩部核磁共振的冠狀斜向(coronal oblique)某一切面影像,其中以白色星狀標示的結構為何?
(A)三角肌(deltoid) (B)棘上肌(supraspinatus) (C)小圓肌(teres minor) (D)大圓肌(teres major)
30 某 25 歲男性患者,一個月前打籃球時,遭球友由前方衝撞右小腿上端致膝關節受傷,當時右膝嚴重腫 脹及疼痛。目前腫脹消失,但患者自覺關節不穩、無力,上下樓梯有錯落感,向後推拉試驗呈陽性, 其最可能之診斷為下列何者? (A)半月板損傷 (B)前十字韌帶斷裂 (C)後十字韌帶斷裂 (D)髕韌帶斷裂
31 下列有關肘部周圍軟組織的敘述,何者錯誤? (A)環狀韌帶可維持肱尺關節之穩定性 (B)橈側副韌帶可維持肱橈關節之穩定性 (C)前臂伸肌腱附著於肱骨外上髁 (D)肱二頭肌肌腱附著於橈骨結節
32 有關腕部傷筋之敘述,下列何者錯誤? (A)腕部扭挫傷較嚴重者,可用兩塊夾板將腕關節固定於功能位 3 週。去除固定後,可用彈力護腕保護 (B)橈側伸腕肌腱周圍炎於急性期一般不適宜行理筋手法,腫脹稍退後可作輕拿捏和理順手法 (C)腕三角軟骨損傷為腕關節遭受突然的過度旋轉暴力時,引起三角軟骨損傷或破裂,在損傷初期要 進行腕關節活動以免關節僵硬 (D)腱鞘囊腫患者往往在沒有明顯外傷史情況下發現囊性的腫塊
33 有關彈響髖的敘述,下列何者正確? (A)患肢的關節活動度多會受影響 (B)患處多會有明顯疼痛感 (C)可用熱敷患處的方式減輕症狀 (D)一般認為與髖內收肌群的緊繃有關
34 有關膝關節半月板撕裂傷(meniscus tear),下列何種檢查最不具直接的診斷價值? (A)麥克馬雷氏測試(McMurray’s test) (B)核磁共振影像(MRI) (C)關節鏡(Arthroscopy)檢查 (D) X 光平片(X-ray plain film)攝影
35 有關腎虛性跟痛症的敘述,下列何者錯誤? (A)久病臥床或年老體弱的患者,足跟部因不常負重而發生退行性變化,皮膚變薄,跟下脂肪墊萎縮, 骨骼脫鈣致骨萎筋弛 (B)患者站立或行走時雙腿酸軟無力,雙跟部感到酸痛,走一段路後反而較不痛 (C)大多數患者 X 光未見骨質破壞,僅有脫鈣現象 (D)補腎強筋可選用六味地黃丸或金匱腎氣丸
36 有關腕三角軟骨(Triangular fibrocartilage complex)結構的敘述,下列何者正確?①軟骨基底部附著 於尺骨遠端關節面的橈側緣 ②軟骨尖端附著於尺骨莖突基底部 ③僅軟骨的掌側緣與腕關節囊相連 ④軟骨將腕關節腔與尺橈下關節腔隔開 (A)①② (B)②④ (C)①③ (D)③④
37 下列有關足踝扭挫傷之敘述,何者錯誤? (A)前腓距韌帶損傷最常見 (B)扭挫傷嚴重時,跟腓韌帶損傷亦可見 (C)因三角韌帶關係,可造成內踝骨折 (D)可因腓腸肌收縮造成第五蹠骨骨折
38 某 23 歲男性,跌倒後左手食指撞擊地面,疼痛劇烈、腫脹明顯,遠端指間關節無法伸直,X 光無明 顯異常,其最可能病症為何? (A)伸指肌腱斷裂 (B)屈指肌腱損傷 (C)腕隧道症候群 (D)扳機指
39 (A)腕三角軟骨損傷 (B)腕隧道症候群 (C)橈神經損傷 (D)橈骨莖突腱鞘炎
40 承上題,有何測試可鑑別診斷? (A)手腕放置於屈曲 90° 的位置,60 秒內出現麻痛加重 (B)四指包住拇指握拳並向尺側屈曲,患處疼痛加劇 (C)手肘伸直前臂旋後,再將手腕極度背伸,患處疼痛加劇 (D)手肘伸直前臂旋前,再將手腕屈曲及向尺側偏,患處疼痛加劇
41 某患者因意外致肩挫傷,診察發現為肩關節脫位,經整復固定後,患者抱怨手臂外側知覺異樣感, 下列何項為最可能原因? (A)尺神經損傷(Ulna nerve injury) (B)腋神經損傷(Axillary nerve injury) (C)肌皮神經損傷(Musculocutaneous nerve injury) (D)正中神經損傷(Median nerve injury)
42 有關奧斯戈德氏病(Osgood-Schlatter disease),下列何者錯誤? (A)常見於青少年,且男生多於女生 (B)外觀常見脛骨隆突腫大 (C)有少數病患會合併出現脛骨隆突撕裂性骨折 (D)大部分的患者在急性期應給予膝伸直位之石膏固定 代號:6103 頁次:8-6
43 某 23 歲女性患者,今天上午因穿高跟鞋不小心踝關節受傷,晚上由家人攙扶來院就診。症見外踝腫 脹瘀血嚴重,腳無法踩地。關於醫師之處理方式,下列何者錯誤? (A)請病患仰臥於診療床,醫師檢查損傷部位骨頭、韌帶有無壓痛點 (B)可以作牽拉試驗,若疼痛為陽性;若與健側比較時,內翻活動增大則考慮外側韌帶斷裂 (C) X 光檢查可以排除撕脫骨折、距骨移位與判定傷筋的嚴重程度 (D)外敷金黃散後並以繃帶固定踝關節於內翻位(Varus)即可
44 落枕常用的理筋手法中,以頸部旋轉搖晃法的潛在危險性較高。下列何者是其主要原因? (A)容易造成頸部肌肉拉傷 (B)容易造成腦部缺血 (C)頸椎發出的關節聲響令患者不安 (D)搖晃頭部容易產生暈眩
45 如意金黃散以下列何藥為君? (A)大黃 (B)黃柏 (C)天花粉 (D)白芷
46 有關腰椎椎管狹窄症的敘述,下列何項最正確? (A)單純椎管狹窄症,腰腿痛症狀與椎間盤破裂突出類似,難以鑑別區分 (B)以第四、五腰椎最多見,跛行症狀主因是行走時椎管內壓力增加,出現缺血性神經炎造成 (C)可影響小腿外側及足背外側感覺異常,足蹠屈能力降低,為 L5-S1 的神經受影響 (D)患者常有腰痛,腰背後伸動作時,可減少腰痛情形,常在腰部放置腰墊可減輕疼痛發作
47 下列那一位醫家記載了現存中醫最早的顳頜關節脫位整復方法,直至現在還普遍沿用? (A)葛洪 (B)龔慶宣 (C)巢元方 (D)孫思邈
48 下列何項為《醫宗金鑑.正骨心法要旨》所記載的「鎖子骨」? (A)襯骨 (B)琵琶骨 (C)拄骨 (D)髃骨
49 肱骨幹骨折處在三角肌止點以上時,骨折遠端由於肌肉的牽拉,可發生下列何種典型的移位? (A)向前、向內移位 (B)向上、向外移位 (C)向外、向前移位 (D)向下移位
50 有關橈骨下 1/3 骨折合併下橈尺關節脫位的敘述,下列何者正確? (A)多見於兒童,成人較少見 (B)直接暴力,則多因前臂被機器的輪帶捲傷所致 (C)橈骨下 1/3 骨折極穩定,整復固定容易 (D)下橈尺關節脫位容易診斷,預後良好
51 《醫宗金鑑.正骨心法要旨》使用攀索疊磚法應保持脊柱於何位置? (A)過屈位 (B)過伸位 (C)中立位 (D)直立位
52 有關腕舟狀骨骨折的敘述,下列何者正確? (A)是腕骨骨折中最常見的骨折類型 (B)舟狀骨血液供應良好,骨折後容易癒合 (C)受傷 2 週後,舟狀骨 X 射線未發現骨折線,即可排除舟狀骨骨折的可能 (D)尺側腕關節或叩擊第二掌骨頭時患部會有劇痛出現
53 有關肘關節脫位的敘述,下列何者正確? (A)多發生於兒童 (B)後脫位為常見型態 (C)患者跌撲時,肘關節伸直,前臂旋後,掌面觸地,而形成前脫位 (D)患者屈肘位跌撲,肘尖觸地,形成後脫位
54 跌倒時,因肘關節突然屈曲,同時肱三頭肌強烈收縮,則可發生下列何者之撕脫骨折? (A)橈骨頭 (B)尺骨鷹嘴 (C)肱骨外髁 (D)肱骨內上髁
55 有關骨盆骨折的敘述,下列何者正確? (A)按盆弓斷裂的程度分為二類 (B)常見的併發症有神經損傷、膀胱破裂等 (C)骨盆正位 X 光片無法明確骨折部位和類型 (D)髂骨翼外旋時,其寬度增加、閉孔變大 代號:6103 頁次:8-7
56 某 60 歲男性病患,騎車不慎摔傷手臂,門診時中醫師根據下列何種症狀,即可以在臨床上初步診斷 為骨折? (A)劇烈的疼痛 (B)明顯的腫脹、瘀血 (C)手腕呈餐叉樣畸形 (D)手臂無力,抬不起來
57 固定的範圍和時間要恰到好處,並早期進行關節的練功活動,可以避免骨折併發下列何種症狀? (A)創傷性關節炎 (B)關節僵硬 (C)骨化性肌炎 (D)缺血性肌攣縮
58 成人橈骨骨折部位形成骨性連接,一般需要幾週才能完成? (A) 2~3 週 (B) 3~4 週 (C) 4~8 週 (D) 8~12 週
59 有關肘關節脫位的練功活動,下列敘述何者正確? (A)肘關節損傷後不易產生關節僵硬 (B)肘關節儘早進行被動活動,方能有效 (C)去除固定後,開始肘關節主動活動,以伸肘為主 (D)應鼓勵患者早期練功活動
60 肩關節脫位之復位前後應注意檢查下列何神經有無損傷? (A)腋神經 (B)正中神經 (C)橈神經 (D)尺神經
61 下列何者有「血輪四廓」之稱? (A)風廓、火廓、澤廓、山廓 (B)風廓、雷廓、火廓、山廓 (C)火廓、雷廓、澤廓、山廓 (D)雷廓、風廓、澤廓、山廓
62 「貞王弗疾目」、「大目不喪明」出自何處? (A)《甲骨文卜辭》 (B)《黃帝內經》 (C)《山海經》 (D)《淮南子》
63 《目經大成》認為下列何者是凝脂翳的險候之徵? (A)納食不進 (B)氣逆作咳 (C)脇肋作痛 (D)二便閉澀
64 有關「真睛破損」的治療,下列何者錯誤? (A)風邪乘襲可以除風益損湯加減 (B)可用還陰救苦湯涼血化瘀 (C)外邪入侵熱毒盛,治以經效散合五味消毒飲加減 (D)手術前後均可滴用黃芩、千里光等眼藥
65 某 73 歲女性主訴逐漸視力模糊,眼部不痛不癢,但眼前有位置固定之點狀、條狀或圓盤狀陰影,頭 暈耳鳴,腰膝酸軟,脈沉細。檢視瞳神,部分晶珠灰白色混濁。下列有關患者的治療,何者正確? (A)馬上手術 (B)內服補中益氣湯 (C)內服杞菊地黃丸 (D)內服石決明散
66 有關耳鼻喉口齒科癌症病因病理的敘述,下列何者錯誤? (A)其病因複雜,易引發肝、脾、腎等的病理變化 (B)情志不遂,肝脾傷,久則氣滯瘀阻,積結成腫塊 (C)年少早衰,腎精虧損,又為寒邪所犯,漸漸積聚而成癌腫 (D)飲食內傷,過食辛辣及發霉腐敗之品,熱毒蘊積,上升頏顙、咽喉、口腔,結聚而成
67 有關耳鼻喉口齒科瘤症的敘述,下列何者正確? (A)喉瘤:在咽部多生於喉關兩旁和喉結的地方,發病迅速 (B)鼻咽部血管纖維瘤:瘤體長大後,會出現鼻塞、耳鳴、耳聾、耳痛、張口呼吸、吞嚥困難等症, 甚則引起視覺障礙 (C)痰包:舌下結腫如包,外表光滑,色淡黃,按之堅硬,如石一般 (D)唇部黏液腺囊腫:為口腔黏膜常見的一種囊腫,一般多發生於上唇
68 下列有關耳脹之病因病機敘述何者錯誤? (A)肝膽經氣不舒,內有鬱熱 (B)風邪侵襲,引動經熱上循 (C)此病因感於濕邪而發者較多 (D)與心腎肝膽之經脈相關連 代號:6103 頁次:8-8
69 耳鳴為耳聾之漸,但是根據《雜病源流犀燭.二十三卷》提及下列何種情況導致的耳聾,事前並無 耳鳴的困擾? (A)虛閉 (B)火閉 (C)濕閉 (D)氣閉
70 因脾氣虛弱所致的鼻淵,可選用何方加北黃耆、澤瀉,以健脾益氣,清利濕濁? (A)歸脾湯 (B)逍遙散 (C)參苓白朮散 (D)連理湯
71 若鼻病症狀表現出鼻塞、嗅覺減退、流黃稠涕、鼻內肌膜紅腫加重、頭痛較劇、頭脹、目眩、胸悶、 耳聾等;病理變化為火熱上亢,循經上熏鼻竅,此為邪熱壅盛內犯何臟腑所致? (A)膽 (B)肺 (C)胃 (D)脾
72 若小兒因脾胃氣弱,肌膚嬌嫩,易積食化熱,熱上攻熏灼肌膚時,多產生何種小兒鼻病? (A)鼻窒 (B)鼻疳 (C)鼻衄 (D)鼻鼽
73 針刺法多用於急性熱性咽喉病,若咽喉腫痛時,常選用下列何組穴位治療? (A)合谷、魚際 (B)神門、內關 (C)陽陵泉、陰陵泉 (D)液門、中衝
74 咽喉乾燥疼痛,如有芒刺,吞嚥困難,或聲音嘶啞為主要症狀。檢查可見咽喉潰爛,邊緣參差不齊, 上附灰黃色污穢腐物者,為下列何病證? (A)咽白喉 (B)陰虛喉癬 (C)喉瘖 (D)喉癰
75 緊喉風呼吸困難的程度分等級,若症候出現唇青面黑,額汗如珠,身汗如雨,甚者四肢厥冷應屬第 幾度? (A)二 (B)三 (C)四 (D)五
76 某患者因口腔疾病前來求診,症見牙齒疼痛,呈陣發性,遇風發作,患處得冷則痛減,受熱則痛增, 牙齦紅腫,發熱、惡寒、口渴,舌紅、苔白乾,脈浮數。下列敘述何者正確?①牙齒疼痛,牙齦紅 腫,係因火鬱牙齦,瘀阻脈絡之故 ②此患者係因風濕之邪外襲,與熱相搏而致諸症 ③宜用薄荷、 牛蒡子以疏風清熱 ④宜用金銀花、連翹以清熱解毒 (A)①②③ (B)①②④ (C)①③④ (D)②③④
77 若患者牙齦浮腫,不紅而痛,或牙齦微紅微腫,牙齒浮動,咬物時痛,午後痛加劇者,屬何證型? (A)陰虛火旺 (B)胃火實熱 (C)脾胃虧損 (D)脾經濕熱
78 某 7 歲男童游泳完後隔天耳朵痛、發燒,檢查發現耳膜穿孔、耳內流膿。下列何者最不可能為其診斷? (A)急性化膿性中耳炎 (B)耳瘡 (C)聤耳 (D)膿耳
79 眼病如右圖,其病機最可能為何?
(A)血寒 (B)血燥 (C)血瘀 (D)血虛
80 某患者常覺眼睛疼痛,有局部紫紅色結節隆起於白睛(如下圖)。下列相關敘述何者錯誤?
(A)症狀輕者,發病稍緩,可有咽痛,苔黃等,宜瀉白散,瀉肺利氣 (B)若病情反覆發作,血絲色偏紫暗,病久傷陰,邪留不去,紫紅結節難退,反覆發作,宜養陰清肺 湯加減 (C)若風濕熱邪攻目,結節色較鮮紅,濕熱蘊蒸,宜散風除濕活血湯加減 (D)本病不會波及黑睛
申論題 (0)