阿摩線上測驗
登入
首頁
>
牙醫學(二)(包括口腔病理學、牙科材料學、口腔微生物學、牙科藥理學等科目及其臨床相關知識)
> 103年 - 103-2 專技高考_牙醫師(一):牙醫學(二)(包括口腔病理學、牙科材料學、口腔微生物學、牙科藥理學等科目及其臨床相關知識)#35909
103年 - 103-2 專技高考_牙醫師(一):牙醫學(二)(包括口腔病理學、牙科材料學、口腔微生物學、牙科藥理學等科目及其臨床相關知識)#35909
科目:
牙醫學(二)(包括口腔病理學、牙科材料學、口腔微生物學、牙科藥理學等科目及其臨床相關知識) |
年份:
103年 |
選擇題數:
80 |
申論題數:
0
試卷資訊
所屬科目:
牙醫學(二)(包括口腔病理學、牙科材料學、口腔微生物學、牙科藥理學等科目及其臨床相關知識)
選擇題 (80)
1.一位25歲男性患者,發現口底部有一無痛腫大,慢慢的變大以致影響說話與進食功能,目前連呼吸都有 點困難(如圖一所示),經活體組織切片(如圖二所示),您的診斷為下列何者?
(A)蝦蟆腫(ranula) (B)淋巴上皮囊腫(lymphoepithelial cyst) (C)腮裂囊腫(branchial cleft cyst) (D)皮樣囊腫(dermoid cyst)
2.下列何者為臨床上以肉眼辨別雙生齒(gemination)及融合齒(fusion)之最佳方法? (A)牙齒大小 (B)牙齒形狀 (C)牙弓上牙齒數目 (D)牙弓大小
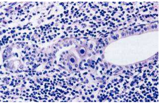
3.下列何種病毒感染,會造成唾液腺管道上皮細胞如下圖,呈現貓頭鷹眼之變化(owl eye alterations)?
(A)HHV-1 (B)HHV-3 (C)HHV-5 (D)HHV-8
4.下列何者不是頸顏面部放線菌病(cervicofacial actinomycosis)的常見致病原因? (A)拔牙傷口(extraction socket) (B)扁平苔癬(lichen planus) (C)牙周囊袋(periodontal pocket) (D)軟組織外傷(soft tissue injury)
5.下列何者為猩紅熱患者皮膚上出現之紅色條紋疹的名稱? (A)Scratch line (B)Mucous patches (C)Tramline (D)Pastia’s line
6.25歲的女病患,在拔除埋伏齒過程中,同側的臉頰出現快速的腫脹。病患先前並無牙周發炎 或發燒現象。腫脹處並無明顯疼痛,但出現吞嚥困難(dysphagia)、發音困難 (dysphonia)及呼吸困難(dyspnea)。表示此變化擴展到或進展成: (A)中膈腔(mediastinum) (B)肺臟(lung) (C)蜂窩組織炎(cellulitis) (D)副鼻竇腔(paranasal sinuses)
7.下列全身性疾病(systemic disorders)中,何者與復發性口瘡性口炎(recurrent aphthous stomatitis)無關? (A)Cyclic neutropenia (B)Vitamin B1、B2、B6、B12 deficiency (C)Behçet's disease (D)IgE deficiency
8.下列何者為口顏部肉芽腫病(orofacial granulomatosis)最常見的部位? (A)唇部 (B)牙齦 (C)咽喉 (D)頰黏膜
9.口腔黑斑(oral melanotic macule)最常發生於下列何處? (A)頰黏膜 (B)牙齦 (C)硬腭黏膜 (D)下唇之唇紅緣
10.嚴重後期之口腔黏膜下纖維化症(oral submucous fibrosis),其上皮呈現下列何種變化? (A)萎縮(atrophy) (B)輕度增生(mild hyperplasia) (C)中度增生(moderate hyperplasia) (D)重度增生(severe hyperplasia)
11.口腔黏膜疣狀黃瘤(verruciform xanthoma)之黃瘤細胞(xanthoma cells),最常出現於下 列何處? (A)多層鱗狀上皮(stratified squamous epithelium) (B)結締組織乳頭(connective tissue papilla) (C)黏膜下層(submucosa) (D)肌肉層(muscle layer)
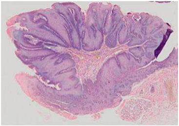
12. 發生於舌頭的白色突起,根據顯微鏡檢查的發現(如下圖),最可能的病理診斷為何?
(A)乳頭瘤(papilloma) (B)纖維瘤(fibroma) (C)神經纖維瘤(neurofibroma) (D)顆粒細胞瘤(granular cell tumor)
13.關於發炎性乳頭狀增生(inflammatory papillary hyperplasia)的病因,下列何者錯誤? (A)不合適之假牙 (B)不良口腔衛生 (C)假牙戴太久 (D)固定式牙橋
14.當臨床上病患出現因藥物相關性牙齦增生時,一般最常侵犯的位置是在何處? (A)前牙唇側牙齦 (B)前牙舌側牙齦 (C)後牙頰側牙齦 (D)後牙舌側牙齦
15.2歲孩童被母親發現發音怪怪,而在舌頭前半出現許多小水泡樣的變化,病變處不會痛,也 無出血或化膿等現象。鏡下切片檢查,發現黏膜下出現許多大小不一的空腔,偶爾內含少許 淋巴球或淡紅色水樣物質。下列敘述何者正確? (A)這最可能是個感染性病變 (B)此病變可能是淋巴管瘤 (C)治療最有效是使用手術,且不易再發 (D)這是個良性的病變,但極可能轉變成惡性
16.有關瓦新氏腫瘤(Warthin tumor)的敘述,下列何者錯誤? (A)為第二多的唾液腺惡性腫瘤 (B)男性比女性發生率高 (C)多發生於腮腺尾部近下顎角 (D)為唾液腺腫瘤中較易兩側性發生的腫瘤
17.下列何種唾液腺的病變,在唾液腺放射線檢查(sialography)下,會出現典型的結實累累的 型態(fruit-laden, branchless tree pattern)? (A)慢性腮腺炎(chronic parotitis) (B)急性化膿性腮腺炎(acute suppurative parotitis) (C)顎下腺結石(submandibular stone) (D)腮腺的謝格連氏症候群(Sjögren syndrome)
18.下列何種貧血之患者,對瘧原蟲(malarial organism)之感染較有抗性(resistance)? (A)缺鐵性貧血(iron deficiency anemia) (B)惡性貧血(pernicious anemia) (C)缺葉酸貧血(folic acid deficiency anemia) (D)鐮刀狀細胞貧血(sickle cell anemia)
19.柏貝克顆粒(Birbeck granules),存在於下列何種細胞之細胞質中? (A)巨噬細胞(macrophage) (B)T淋巴細胞(T lymphocyte) (C)B淋巴細胞(B lymphocyte) (D)蘭格罕氏細胞(Langerhans cell)
20.下列何種疾病沒有黑色素沈積(melanin pigmentation)? (A)艾迪森氏病(Addison's disease) (B)浦茲-詹賀症候群(Peutz-Jeghers syndrome) (C)麥克肯恩-阿布萊特氏症候群(McCune-Albright syndrome) (D)艾那士-丁羅時症候群(Ehlers-Danlos syndromes)
21.骨質石化病(osteopetrosis)的病人,若骨頭做病理切片檢查,下列各項會有那些變化?① 層狀骨小樑(lamellar trabeculae) ②球狀無形的骨沈積(globular amorphous bone deposition) ③骨贅(osteophyte) ④豪攝氏陷窩(Howship’s lacunae) (A)①存在 ②存在 ③存在 ④存在 (B)①存在 ②不存在 ③不存在 ④存在 (C)①存在 ②存在 ③存在 ④不存在 (D)①不存在 ②不存在 ③存在 ④不存在
22.牙骨質-骨質發育不良(cemento-osseous dysplasia)病理切片可見到下列那些組織?①織 網骨(woven bone) ②層狀骨(lamellar bone) ③類牙骨質顆粒(cementum-like particles) ④牙本質(dentin) (A)①②③ (B)①②④ (C)②③④ (D)①③④
23.下列何者不是僅源自於牙板(dental lamina)上皮殘留體(epithelial rest)之腫瘤? (A)平伯氏腫瘤(Pindborg tumor) (B)鱗狀齒源性腫瘤(squamous odontogenic tumor) (C)造釉細胞瘤(ameloblastoma) (D)齒源性黏液瘤(odontogenic myxoma)
24.關於造釉細胞瘤(ameloblastoma)可能的上皮細胞來源,下列何者錯誤? (A)牙釉質器官(enamel organ) (B)牙板(dental lamina)之上皮殘留體 (C)齒源性囊腫之內襯上皮(epithelial lining of odontogenic cyst) (D)偽多層纖毛柱狀上皮(pseudostratified ciliated columnar epithelium)
25.下列何者可能為根尖囊腫(radicular cyst)有關之牙齒拔除後所產生的病變? (A)牙周囊腫(periodontal cyst) (B)牙齦囊腫(gingival cyst) (C)萌牙囊腫(eruption cyst) (D)殘餘囊腫(residual cyst)
26.下列何種疾病之孩童,其口內常出現許多牙齦化膿(parulides),但牙齒本身卻無齲齒或創 傷,牙齒磨片出現大的牙髓腔,且髓角(pulp horn)延伸至牙本質牙釉質交界(如圖所 示)?
(A) 甲狀腺功能低下症(hypothyroidism) (B)低磷酸酶症(hypophosphatasia) (C)副甲狀腺功能低下症(hypoparathyroidism) (D)遺傳性低磷酸血症(hereditary hypophosphatemia)
27.下列那種疾病不會在眼睛的結膜形成疤痕(symblepharon)? (A)大疱性類天疱瘡(bullous pemphigoid) (B)瘢痕性類天疱瘡(cicatricial pemphigoid) (C)良性黏膜類天疱瘡(benign mucous membrane pemphigoid) (D)史蒂芬-強生氏症侯群(Stevens-Johnson syndrome)
28.下列有關amyloidosis的敘述,何者錯誤? (A)可能與multiple myeloma有關 (B)不同的amyloid有不同的來源,但是都有一樣的分子結構,那就是ß-pleated sheet (C)組織學上可以用Congo red來染色,在偏光顯微鏡(polarized microscope)下會呈現橘紅 色的影像 (D)與洗腎(hemodialysis)有關的amyloidosis,其amyloid是ß-2 microglobulin
29.有關於牙科材料的熱物理性質(thermophysical properties),下列敘述何者正確? (A)與黃金相比,汞齊的熱擴散(thermal diffusivity)係數較高 (B)牙本質(dentin)內部導熱的能力〔又稱之為熱傳導(thermal conductivity)〕,比牙釉 質(enamel)高 (C)與牙本質相比,牙釉質可傳遞更多熱能到填補材料(restorative materials) (D)在熱擴散的數學模型中,熱擴散與熱傳導呈反比
30.下圖為牙科用合金之動電位極化測試(potentiodynamic polarization tests)結果圖,依該 圖,外加電壓超過何值之後合金就會開始腐蝕?
(A)0伏特 (B)E
b
(C)E
pp
(D)E
corr
31.下列何種因素會促進接觸磨損(adhesive wear)? (A)荷重小 (B)兩表面具有相等的高硬度 (C)物質表面凹凸不平 (D)防止接觸
32.下列何者不是材料內部的晶格缺陷(lattice defect)? (A)空位(vacancy) (B)刃差排(edge dislocation) (C)晶界(grain boundary) (D)滑動面(slip plane)
33.有關反應式
之敘述,下列何者錯誤? (A)此式為牙科硬石膏之凝固作用(setting reaction) (B)此式表示石膏模型遇水溶解之反應 (C)該反應是可逆反應 (D)實際操作時,所使用水會比該反應式所表示的量更多
34.有關彈性(elastomeric impression)印模材的比較,下列何者錯誤? (A)加成型矽膠(addition silicone)印模材的尺寸變化(dimensional change)比聚乙醚 (polyether)印模材小 (B)聚乙醚(polyether)印模材比加成型矽膠(addition silicone)印模材堅硬(stiffer) (C)加成型矽膠(addition silicone)印模材的工作時間(working time)遠比聚乙醚 (polyether)印模材短 (D)加成型矽膠(addition silicone)印模材的永久形變量比聚乙醚(polyether)印模材小
35.Polysulfide印模材調拌作用後會產生何種副產品(by-product)? (A)氫氣(H
2
) (B)乙醇(ethyl alcohol) (C)水(H
2
O) (D)氧氣(O
2
)
36.下列印模材料中,何者的撕裂強度(tear strength)最低? (A)藻膠印模材 (B)加成式矽膠印模材 (C)縮合式矽膠印模材 (D)聚乙醚印模材
37.下圖為Ni-Ti shape memory alloy之bending moment- angular deflection圖,請問那個線段 martensitic Ni-Ti結構轉變為austenitic Ni-Ti結構?
(A)b-c段 (B)c-d段 (C)d-e段 (D)e-f段
38.鐵合金中所添加的鉻(Cr)含量約超過多少重量百分比(wt%)時,此鐵合金才能稱為不銹 鋼(stainless steel)? (A)8% (B)12% (C)34% (D)40%
39.不鏽鋼材質的抗蝕性質,是因為表面形成下列何種物質阻止了氧的擴散(oxygen diffusion)? (A)Cr
2
O
3
(B)(CrFe)
4
C (C)Fe
2
O
3
(D)Cr
23
C
6
40.下列關於不銹鋼合金(stainless steel alloy)的敘述,何者錯誤? (A)沃斯田相(austenitic type)的18-8合金是最能抗拒腐蝕(corrosion)及生銹(tarnish)的 不銹鋼合金 (B)18-8合金是指鉻(chromium)18%及鎳(nickel)8%的不銹鋼合金 (C)若不銹鋼合金中的鉻(chromium)含量少於13%,就不會形成氧化鉻的保護膜 (D)不銹鋼合金中的鉻(chromium)含量高於30%,會使彈性增加
41. 熱聚式義齒樹脂(heat-cured denture base resin)內的各項成分中,何者為交鏈劑(cross- linking agent)? (A)Hydroquinone (B)Benzoyl peroxide (C)Glycol dimethacrylate (D)Camphorquinone
42.熱聚式丙烯酸甲脂義齒基底樹脂的單體(monomer)與多體(polymer),在混合後會歷經 五個階段,在何階段的後期,最適宜將混合後的樹脂壓入模型盒(flask)內的模型空腔 (mold cavity)中? (A)砂狀期(sandy stage) (B)糰狀期(doughlike stage) (C)絲狀期(stringy stage) (D)彈性期(elastic stage)
43.關於牙科填補用複合樹脂成分之敘述,下列何者錯誤? (A)使用高分子量的Bis-GMA作為基質,可降低聚合收縮量 (B)添加TEGDMA,可增加材料的黏稠度,以利操作 (C)添加填料粒子,可增加材料的黏稠度 (D)使用偶合劑(coupling agent),可增進材料的物理機械性質
44.下列選項何者正確?①流動性複合樹脂的flexual modulus 比可壓式(packable)複合樹脂 低,是因為其填料(filler)含量少 ②microfilled複合樹脂比microhybrid複合樹脂需要更長 的光照時間因為填料會分散光 ③深色的複合樹脂需要光照的時間比淺色的複合樹脂光照時 間短 ④在較深的窩洞分層光照複合樹脂,在每層的複合樹脂之間強度會減弱 (A)僅①② (B)僅②③ (C)僅①②③ (D)①③④
45.牙科用微粒子型樹脂(microfilled resin)之填料(filler)中,下列何者較常被使用? (A)長石(feldspar) (B)矽烷(silane) (C)二氧化矽(silica) (D)氧化鋅(zinc oxide) .
46.有關焊接用包埋材(soldering investment)與鑄造用包埋材(casting investment)之比較, 何者正確? (A)前者不含黏結材料(binder material) (B)前者需要較高的熱膨脹率 (C)後者不需要任何吸濕性膨脹性質 (D)後者需要較細緻的包埋粉粒子
47.下列用於牙科黏著劑系統中的溶劑,何者揮發最快? (A)乙醇 (B)丙酮 (C)乙醇/水 (D)丙酮/水
48.做完牙齒美白後,若要進行複合樹脂充填,需隔多久才有足夠的黏著強度(bonding strength)? (A)至少1星期 (B)24小時 (C)1小時 (D)美白藥劑並不會影響黏著強度
49.有關金屬陶瓷冠(porcelain-fused-to-metal crown)用陶瓷的敘述,下列何者錯誤? (A)熱膨脹係數比金屬低 (B)金屬氧化物的存在可增加陶瓷材與金屬的結合 (C)熔點比全瓷冠陶瓷材低 (D)與金屬的接觸角度越大結合強度越強
50.在陶瓷材所含成分中,下列何者可降低陶瓷材的燒結溫度? (A)長石(feldspar) (B)石英(quartz) (C)硼砂(borax) (D)鋁(alumina)
複選題
51.下列4種黏合劑中,何者之24-hr抗壓強度(24-hr compressive strength)是最高的? (A)聚羧酸鋅黏合劑(zinc polycarboxylate cement) (B)玻璃離子體黏合劑(glass ionomer cement) (C)磷酸鋅黏合劑(zinc phosphate cement) (D)氧化鋅丁香油酚黏合劑(zinc oxide-eugenol cement)
52.在玻璃離子體黏合劑(glass ionomer cement)材料組成中加入酒石酸(tartaric acid)會影 響下列何因素? (A)延長工作時間(working time),縮短固化時間(setting time) (B)縮短工作時間(working time),縮短固化時間(setting time) (C)延長工作時間(working time),延長固化時間(setting time) (D)縮短工作時間(working time),延長固化時間(setting time)
53.細菌的生長曲線中,那一期細菌分裂最旺盛? (A)遲緩期(lag phase) (B)指數期(exponential phase) (C)恆定期(stationary phase) (D)衰老期(decline phase)
54.下列何種構造同時是一級(primary)與二級(secondary)的淋巴器官? (A)胸線(thymus) (B)脾臟(spleen) (C)骨髓(bone marrow) (D)胎兒的肝臟(fetal liver)
55.下列那一種免疫球蛋白(immunoglobulin)可以通過胎盤(placenta)? (A)IgA (B)IgE (C)IgG (D)IgM
56.下列那一種細胞激素(cytokine)不是由T細胞所分泌? (A)IL-1 (B)IL-3 (C)IL-6 (D)IL-9
57.下列何者不是Staphylococcus aureus的特徵? (A)Gram-positive cocci (B)β-hemolysis (C)Catalase-positive (D)Coagulase-negative
58.下列那一種微生物與敗血症(sepsis)散佈到心臟而引起心內膜炎(endocarditis)最有相 關? (A)金黃色葡萄球菌(Staphylococcus aureus) (B)放射線菌(Actinobacillus ureae) (C)流行性感冒嗜血桿菌(Haemophilus influenzae) (D)梅毒密螺旋體(Treponema pallidum)
59.Fusobacterium nucleatum對於氧氣耐受性較其他牙周病菌高,可以代謝產生二氧化碳,幫 助下列何種牙周病菌生長? (A)Streptococcus mutans (B)Lactobacillus casei (C)Porphyromonas gingivalis (D)Treponema denticola
60.下列關於密螺旋體屬(Treponema)的敘述何者錯誤? (A)為革蘭氏陰性螺旋體(spirochetes),具單一極性之鞭毛(single polar flagella) (B)T. denticola利用胺基酸(amino acid)做為能量來源 (C)T. vincentii為絕對厭氣菌(strict anaerobes),與急性壞死潰瘍性牙齦炎(ANUG)有關 係 (D)T. denticola與牙周病有關係
61.下列有關唾液中lysozyme的敘述,何者錯誤? (A)可破壞細菌細胞壁而達到抑菌效果 (B)會分解N-acetylglucosamine (C)會分解N-acetyl muramic acid (D)會分解lipopolysaccharide
62.Atopic dermatitis(allergic eczema)的血液中,下列何種抗體會大量增加? (A)IgG (B)IgM (C)IgE (D)IgA
63.下列有關唾液中secretory IgA之敘述,何者錯誤? (A)具有J鏈(J chain)連接兩個單體(monomers) (B)分泌元(secretory unit)可促進轉送免疫球蛋白進入唾液腺管(salivary duct) (C)口腔中的細菌如S. sanguis會分泌IgA1-specific protease (D)與血清之IgA構造相同
64.Legionella會引起下列何種器官的疾病? (A)肝(liver) (B)肺(lung) (C)小腸(intestine) (D)皮膚(skin)
65.下列有關indomethacin作用之敘述,何者錯誤? (A)具有抗發炎作用 (B)可抑制cyclooxygenase酵素活性 (C)服用後有時會有胃腸不適的副作用 (D)服用後無中樞神經系統的副作用
66.Tramadol之止痛效力來自下列那種作用機轉?①是µ受器之催動者(µ- receptor agonist) ②抑制norepinephrine及5-hydroxytryptamine之再吸收(reuptake) (A)只有① (B)只有② (C)①②均是 (D)①②均否
67.下列何者是methenamine治療尿道感染的主要有效成分? (A)甲酸(formic acid) (B)甲醛(formaldehyde) (C)氨(ammonia) (D)銨(ammonium)
68.下列那一種抗生素之副作用最少? (A)Amoxicillin (B)Kanamycin (C)Erythromycin (D)Gentamicin
69.下列何種藥物可結合GABAA receptors,可異位性抑制(allosteric inhibition)GABA打開氯 離子管道之作用,所以被稱為反轉性活化劑(inverse agonist)? (A)β-carboline (B)Zolpidem (C)Flumazenil (D)Buspirone
70.屬於全身麻醉劑之藥物中,何者是以靜脈注射給藥法給藥? (A)Ketamine (B)Halothane (C)Enflurane (D)Nitrous oxide
71.有關苯重氮基鹽(benzodiazepine)藥物特性之敘述,下列何者錯誤? (A)藥物使用的安全性高 (B)藥物使用的選擇性高 (C)其在腦部的作用與其抑制γ-aminobutyric acid(GABA)受體有關 (D)在腦部有苯重氮基鹽受體的存在
72.下列藥物之代謝產物之敘述,何者正確? (A)Nitrazepam的代謝產物是屬於活性的N-desalkylnitrazepam (B)Flurazepam的代謝產物是屬於活性的N-desalkylfurazepam (C)Lormetazepam的代謝產物是屬於活性的N-desalkyllormetazepam (D)Temazepam的代謝產物是屬於活性的N-desalkyltemazepam
73.下列何種止血劑之作用機轉為抑制plasminogen之活化? (A)Cellulose (B)Tranexamic acid (C)Protamine (D)Vitamin K
74.目前正在服用coumarin的冠狀動脈栓塞患者,如需牙科手術治療,為避免出血不止,可預先 給予何種藥物? (A)Vitamin K (B)Vitamin C (C)Protamine (D)Cellulose
75.長期服用Glucocorticoids會使脂肪重新分佈,這是因為Glucocorticoids會增加那種賀爾蒙所 造成? (A)Growth hormone (B)Insulin (C)Thyroxine (D)Aldosterone
76.下列抗癌藥劑中,何者不是鏈黴菌屬(streptomyces)的生成物? (A)Actinomycin D (B)Bleomycin (C)Doxorubicin (D)Cyclophosphamide
77.下列抗癌藥劑中,何者之作用不是抑制topoisomerase? (A)Etoposide (B)Teniposide (C)Topotecan (D)Hydroxyurea
78.氟化物的抗菌作用,下列何者最佳? (A)Sodium fluoride (B)Monofluorophosphate (C)Stannous fluoride (D)Calcium fluoride
79.通常用來做antiseptic用途的H
2
O
2
濃度約為多少? (A)30% (B)10% (C)3% (D)0.3%
80.下列那些消毒防腐劑屬於陽離子表面活性劑(cationic surfactants)? (A)Cetylpyridinium chloride與chlorhexidine (B)Listerine與chlorhexidine (C)Triclosan與chlorhexidine (D)Cetylpyridinium chloride與triclosan
申論題 (0)
相關試卷
115年 - 115-1 專技高考_牙醫師(一):牙醫學(二)(包括口腔病理學、牙科材料學、口腔微生物學、牙科藥理學等科目及其臨床相關知識)#137340
115年 · #137340
114年 - 114-2 專技高考_牙醫師(一):牙醫學(二)(包括口腔病理學、牙科材料學、口腔微生物學、牙科藥理學等科目及其臨床相關知識)#128946
114年 · #128946
114年 - 114-1 專技高考_牙醫師(一):牙醫學(二)(包括口腔病理學、牙科材料學、口腔微生物學、牙科藥理學等科目及其臨床相關知識)#125096
114年 · #125096
113年 - 113-2 專技高考_牙醫師(一):牙醫學(二)(包括口腔病理學、牙科材料學、口腔微生物學、牙科藥理學等科目及其臨床相關知識)#121676
113年 · #121676
113年 - 113-1 專技高考_牙醫師(一):牙醫學(二)(包括口腔病理學、牙科材料學、口腔微生物學、牙科藥理學等科目及其臨床相關知識)#118732
113年 · #118732
112年 - 112-2 專技高考_牙醫師(一):牙醫學(二)(包括口腔病理學、牙科材料學、口腔微生物學、牙科藥理學等科目及其臨床相關知識)#115912
112年 · #115912
112年 - 112-1 專技高考_牙醫師(一):牙醫學(二)(包括口腔病理學、牙科材料學、口腔微生物學、牙科藥理學等科目及其臨床相關知識)#113123
112年 · #113123
111年 - 111-2 專技高考_牙醫師(一):牙醫學(二)(包括口腔病理學、牙科材料學、口腔微生物學、牙科藥理學等科目及其臨床相關知識)#109870
111年 · #109870
111年 - 111-1 專技高考_牙醫師(一):牙醫學(二)(包括口腔病理學、牙科材料學、口腔微生物學、牙科藥理學等科目及其臨床相關知識)#106174
111年 · #106174
110年 - 110-2 專技高考_牙醫師(一):牙醫學(二)(包括口腔病理學、牙科材料學、口腔微生物學、牙科藥理學等科目及其臨床相關知識)#100436
110年 · #100436