阿摩線上測驗
登入
首頁
>
中醫臨床醫學(三)
> 104年 - 104-2 專技高考_中醫師(二):中醫臨床醫學(三)(包括中醫外科學、中醫傷科學、中醫五官科學)#36199
104年 - 104-2 專技高考_中醫師(二):中醫臨床醫學(三)(包括中醫外科學、中醫傷科學、中醫五官科學)#36199
科目:
中醫臨床醫學(三) |
年份:
104年 |
選擇題數:
80 |
申論題數:
0
試卷資訊
所屬科目:
中醫臨床醫學(三)
選擇題 (80)
1 《全生集》是清代中醫外科專書,其作者為何? (A)高錦庭 (B)陳士鐸 (C)顧世澄 (D)王洪緒
複選題
2 有關腫瘍治療的敘述,下列何者錯誤? (A)腫瘍如流注、附骨疽等,初宜溫經治療 (B)潰瘍日久,可用溫補法治療 (C)年高病人,患如腦疽、背疽而局部雖紅腫發熱,也可用溫托法治療 (D)腫瘍皮膚搔癢,日久不癒,體質屬陰虛,絕不可以溫補法治療
3 有關喉癰之敘述,下列何者錯誤? (A)皆由天時寒暖失常,感受寒邪而成 (B)生於咽喉蒂丁兩旁 (C)膿熟剖刺之,並吹以冰硼散 (D)患處用刀宜慎,易招流血
4 下列何者不是疔之主因? (A)四時不正之邪感染 (B)恣食油炸辛辣厚味之品 (C)誤食瘟病禽畜 (D)花柳、遺毒
5 大小腸癰若腹濡而痛,少腹急脹,時時下膿而毒未解也,最宜服下列何方? (A)大黃湯 (B)薏苡附子湯 (C)八珍湯 (D)丹皮湯
6 臍癰生於臍中,病因為下列何者? (A)脾火積毒 (B)肝膽怒火激結而成 (C)心經火毒,流入大小腸所致 (D)三陰虧損
7 關於疽之敘述,下列何者正確? (A)因氣血為毒所阻,稽留不行,生熱肉腐而成 (B)其起如粟,堅硬有腳若釘 (C)屬鬱火為病者,其起無頭,附骨而生,病程長久 (D)生發於肌膚之間,所患浮淺,高腫而痛
8 有關中搭手的敘述,下列何者正確? (A)亦名對臍發 (B)屬膀胱經 (C)位於盲門穴 (D)皆由氣血衰弱而發
9 有關面遊風的敘述,下列何者正確? (A)因平素血燥,過食辛辣厚味,陽明胃經濕熱受風所致 (B)類似現代醫學的黃褐斑 (C)癢甚者宜用黃連消毒飲 (D)外以海艾湯洗之
10 其最可能的診斷為何? (A)白屑風 (B)四彎風 (C)白疕 (D)燕窩瘡
11 承上題,此病症類似現代醫學的何種疾病? (A)異位性皮膚炎(atopic dermatitis) (B)脂漏性皮膚炎(seborrheic dermatitis) (C)乾癬(psoriasis) (D)蜂窩性組織炎(cellulitis) 代號:3102 頁次:8-2
12 某高中生平日喜歡打籃球,容易出汗,在暑假期間發現頸部、胸部出現白色斑點,上覆有細細的脫屑, 延蔓成片,不痛不癢。其最可能的診斷為下列何者? (A)白屑風 (B)鈕扣風 (C)赤白遊風 (D)紫白癜風
13 有關白疕之敘述,下列何者正確? (A)形如疹疥,色赤而癢,搔起白皮,日漸蔓延 (B)俗名風疳 (C)又名猴疳 (D)僅生於臀腿之間
14 有關奶癬之敘述,下列何者正確? (A)俗稱肥瘡,生嬰兒頭項,或生眉端 (B)又名癩頭瘡,生嬰兒頭面或眉際 (C)皮膚易搔癢流水,久則亦能遍及全身 (D)治療以除濕殺蟲養血止癢為主
15 生於小兒臀腿之間,起因於久坐陰濕之地,以致皮膚發紅,作癢焮痛,下列診斷何者較適宜? (A)胎風 (B)猴疳 (C)血風瘡 (D)葡萄疫
16 有關疳瘡的病因,下列何者錯誤? (A)肺經積熱,受風邪凝結而成 (B)梅毒 (C)房術熱藥,塗抹玉莖 (D)淫火猖狂,未經發泄,以致敗精濁血,留滯中途結而為腫
17 臍腹隱痛,小便艱難,痛不可忍,小便色黃赤,如湯甑久受煎熬,底結白鹼,下列診斷何者比較正確? (A)石淋 (B)血淋 (C)勞淋 (D)膏淋
18 中醫外科學對於瘡的分類和治療,下列何者錯誤? (A)痤疿由濕熱為病,治以利濕清瀉為主 (B)蜘蛛瘡屬瘡毒,治法以殺蟲為主 (C)黃水瘡由風毒為病,治宜祛風清熱 (D)風疹若屬內之因,感染毒氣而發,治宜解毒宣導為主
19 下列皆易發生於流痰,但何者除外? (A)夜哭 (B)雞胸 (C)龜背 (D)甲疽
20 痰核,生於項間,初起結核,小者如梅,大者如李,推之移動,皮色如常,不痛。初起屬氣實者, 宜服清肝解鬱湯加下列何藥物? (A)防風 (B)人參 (C)瓜蔞 (D)黃耆
21 如圖,顯示疼痛之手腕動作,需列入考量之疾病可能是俗稱媽媽手,有關構造或敘述何者錯誤?
(A)又稱 de Quervain 腱鞘炎 (B)外展拇長肌受侵犯 (C)伸拇短肌受侵犯 (D)尺側屈腕肌受侵犯 代號:3102 頁次:8-3
22 有關膝半月板的敘述,下列何者正確? (A)是位於股骨髁與脛骨平台之間的纖維軟骨 (B)外側半月板比內側半月板大 (C)周邊較薄,中央較厚 (D)內、外側半月板分別與內、外側副韌帶相連
23 如圖所示,造成此種傷害是下列何組織?
(A)三角韌帶(deltoid ligament) (B)前距腓韌帶(anterior talofibular ligament) (C)後距腓韌帶(posterior talofibular ligament) (D)腓骨短肌(peroneus brevis)
24 有關肩胛棘附近相關解剖之敘述,下列何者正確? (A)肩胛上肌與肩胛下肌為其分別附著之肌群 (B)棘上肌與棘下肌同為肩胛下神經支配 (C)棘上肌與棘下肌同為腋神經支配 (D)棘上肌與棘下肌同終於肱骨大結節附近
25 急性腰部韌帶損傷中,臨床上常見的韌帶損傷為何種韌帶,下列何者正確?①前縱韌帶 ②後縱韌帶 ③棘上韌帶 ④棘間韌帶 ⑤黃韌帶 ⑥髂腰韌帶 (A)③④⑥ (B)①②⑤ (C)③④⑤ (D)②④⑥
26 有關腓腸肌損傷的敘述,下列何者錯誤? (A)腓腸肌起於股骨兩髁的後面,止於跟骨後結節處 (B)腓腸肌強力收縮可造成跟腱斷裂 (C)急性損傷一般有廣泛性皮下出血,可觸及到斷裂部失去聯繫的間隙 (D)腓腸肌由腓總神經支配
27 某 35 歲家庭主婦自訴經常出現腰痛,症狀時好時壞。半個月前腰部疼痛加重,並出現右下肢放射疼痛, 大便、咳嗽時加劇,休息時減輕,坐姿比站立疼痛,經檢查直腿抬高試驗陽性。最可能的診斷為下 列何者? (A)腰椎間盤突出症 (B)增生性脊柱炎 (C)骨質疏鬆 (D)腰部扭挫傷
28 有關膝關節側副韌帶損傷,下列敘述何者錯誤? (A)膝伸直時,膝或腿部外側受到暴力打擊或重物壓迫,迫使膝關節過度外翻(valgus),可以發生外 側副韌帶損傷或斷裂 (B)單純的側副韌帶損傷較少見,多與膝關節囊、十字韌帶或半月板同時損傷 (C)可做側向試驗檢查 (D)患膝部位作 X 光檢查可發現韌帶損傷處關節間隙增寬
29 45 歲男性患者,右胸遭駕駛盤撞擊,局部瘀腫疼痛,說話、深呼吸、咳嗽都使疼痛加劇,胸部 X 光 片出現右側第 4、5、6 肋骨明顯骨折線,下列觀察何者是釐清是否出現連枷胸(Flail chest)現象的 要項?①用力吸氣時患區胸壁下陷 ②用力呼氣時患區胸壁膨出 ③用力吸氣時患區胸壁膨出 ④用力呼氣時患區胸壁下陷 (A)①④ (B)①② (C)②③ (D)③④
30 將頭部轉向右側(患側),深呼吸並憋住氣,右脈搏減弱,下列敘述何者錯誤? (A)此為 Morley 測試 (B)可能伴隨臂神經叢壓迫症狀 (C)胸廓出口症候群可列入考量 (D)第一肋骨異常變大也可能造成 代號:3102 頁次:8-4
31 關於膝關節損傷,下列敘述何者錯誤? (A)當暴力撞擊小腿上端的前方時,使脛骨向後移位,造成後十字韌帶損傷,可伴有膝後關節囊破裂、 脛骨隆突撕脫骨折、外側半月板損傷 (B)前十字韌帶起於股骨髁間窩的內後部,向前外止於脛骨髁間隆突的前部,能限制脛骨向前移位 (C)當後十字韌帶斷裂或鬆弛時,患膝向後移動度明顯增大 (D)抽屜試驗在作檢查時請患者仰臥,屈膝 90°,足平放床上,檢查時施術者以一肘壓住患足背作固定, 兩手環握小腿上段作向前拉及後推的動作
32 下列何者不是參與髖關節伸展運動之主要肌肉? (A)半膜肌 (B)半腱肌 (C)股二頭肌 (D)闊筋膜張肌
33 有關膝膕窩囊腫的敘述,下列何者錯誤? (A)屬腱鞘囊腫,內容物為膠狀黏液 (B)質地較軟,壓痛不明顯 (C)反覆按摩後其囊壁可變薄而軟 (D)囊腫位置很深
34 踝扭傷時,下列何韌帶最不易撕裂? (A)三角韌帶(deltoid ligament) (B)跟腓韌帶(calcanofibular ligament) (C)前距腓韌帶(anterior talofibular ligament) (D)後距腓韌帶(posterior talofibular ligament)
35 承筋穴在下列那一塊肌肉的肌腹上? (A)蹠肌(plantaris) (B)股內側肌(vastus medialis) (C)脛前肌(tibialis anterior) (D)腓腸肌(gastrocnemius)
36 某 34 歲男性電腦工程師因長時間使用電腦導致右肩臂痠痛,理學檢查發現如圖一所示的動作困難, 則該患者最可能損傷的肌肉為圖二中之何者?
(A)①② (B)③④ (C)①③ (D)②④
37 下列何方劑便溏者應慎用? (A)健步虎潛丸 (B)當歸拈痛湯 (C)獨活寄生湯 (D)正骨紫金丹
38 有關髕下脂肪墊損傷,下列敘述何者錯誤? (A)多因膝關節反覆性損傷引起 (B)坐姿或膝關節曲屈會使疼痛症狀加重 (C)日久會有脂肪墊增厚、腫脹的現象 (D)女性多於男性
39 關於骨性關節炎(osteoarthritis)的敘述,下列何者錯誤? (A)屬於退化性疾病,以女性較多 (B)遠端指間關節可出現包氏結節(Bouchard’s nodes) (C)創傷、姿勢不良或肥胖可加重症狀 (D)特色為關節邊緣骨質增生及關節腔狹窄 圖一 圖二 ① ② ③ ④ 代號:3102 頁次:8-5
40 有關梨狀肌症候群之診斷治療,下列何者錯誤? (A)可能出現臀部酸脹、疼痛,及大腿後側與小腿外側放射性疼痛 (B)直腿抬高試驗抬高超過 70° 疼痛會加劇 (C)梨狀肌損傷腫脹可能波及坐骨神經 (D)可按壓梨狀肌肌部,並順肌纖維方向反覆撥動和按摩以放鬆肌肉
41 傷科內治法,其初期治法可分為攻下逐瘀法、行氣活血法、清熱涼血法、通竅開閉法,下列治法與 方劑之配對,何者正確? (A)攻下逐瘀法主要在攻逐瘀血,可用復元活血湯 (B)行氣活血法重在通行氣血,可選用養營湯 (C)清熱涼血法多用於感染發熱,可用桃仁承氣湯 (D)若昏迷不省人事則需用通竅開閉法,用犀角地黃湯
42 七厘散以何藥為君? (A)牛黃 (B)琥珀 (C)麝香 (D)羚羊角
43 局部急救止血的原則下列何者錯誤? (A)立即壓迫出血的血管或堵塞出血的傷口 (B)根據不同情況和解剖位置選擇止血的方法 (C)用手指壓迫傷口近側靜脈幹 (D)對四肢大量出血最有效的止血方法是採用止血帶
44 依《醫宗金鑑‧正骨心法》記載,傷損之證,煩躁而面赤,口乾作渴,脈洪大按之如無者,宜用下 列何方? (A)十全大補湯 (B)當歸補血湯 (C)小柴胡湯 (D)加味逍遙散
45 「正骨科」首見於下列何朝代? (A)漢代 (B)唐代 (C)元代 (D)明代
46 根據《醫宗金鑑‧正骨心法》,周先生打完高爾夫球後覺脅肋脹痛,大便通利,喘咳吐痰。下列敘 述何者正確?①肝經血滯證 ②肝火侮肺證 ③瘀血停滯證 ④四物湯加柴胡、山梔、桃仁、紅花 治之 ⑤小柴胡湯加青皮、山梔治之 ⑥當歸導滯散治之 (A)①④ (B)②⑤ (C)③④ (D)③⑥
47 《醫宗金鑑‧正骨心法》記載:「王好古云,登高墜下撞打等傷,心腹胸中停積瘀血不散者,則以 上中下三焦分別部位,以施藥餌。」其瘀在上部者,宜治以下列何方? (A)犀角地黃湯 (B)桃仁承氣湯 (C)抵當湯 (D)復元活血湯
48 16 歲男性患者,於體育課打籃球後覺胸脇脹痛,呼吸、咳嗽時均可牽制作痛。檢查發現胸部無腫脹, 自覺疼痛範圍廣,且無明顯壓痛點。則下列病因何者最可能? (A)血瘀 (B)氣虛 (C)血虛 (D)氣滯
49 20 歲男性準備入伍當兵,他長期抱怨腰背痛及臀部放射性疼痛,前屈活動較差,打球後較不舒服。 來院看診 X 光檢查發現雙薦髂關節略呈絨毛霧狀改變,下列診斷何者最可能? (A)椎間盤突出症 (B)退化性關節炎 (C)僵直性脊椎炎 (D)梨狀肌綜合症
50 依《醫宗金鑑‧正骨心法》,張先生打籃球造成損傷而有胸腹悶痛之證,對於處方用藥下列敘述何 者正確? (A)胸腹悶痛喜手摸,用四物湯加柴胡、山梔 (B)胸腹悶痛畏手摸,用四君子湯加柴胡、山梔、桃仁、紅花 (C)胸脅悶痛,飲食少思,用四物湯加芎、歸、柴、梔、丹皮 (D)胸脅悶痛,發熱晡熱,用加味逍遙散 代號:3102 頁次:8-6
51 外傷性髕骨脫位,好發於下列何者? (A)兒童 (B)青少年 (C)老人 (D)婦女
52 下列何者為肩關節脫位整復成功後,可於固定初期鼓勵患者進行的功能鍛鍊? (A)抓空增力 (B)雙手托天 (C)小雲手 (D)手指爬牆
53 關於關節脫位之手法復位禁忌證,下列敘述有幾項正確?①60 歲以上、體衰、有心血管疾患如高血壓、 心臟病等患者 ②關節脫位時間超過 3~6 個月,X 光顯示骨質疏鬆,已顯著脫鈣者 ③臨床檢查時, 脫位的關節活動度極小且異常僵硬者 ④有嚴重的併發症,如骨折、神經損傷、血管損傷或感染者 (A) 4 (B) 3 (C) 2 (D) 1
54 關於足舟狀骨骨折之敘述,下列何者正確? (A)舟骨結節部撕脫性骨折,常易致骨折塊發生缺血性壞死 (B)舟骨結節骨折復位後,將患足固定於外旋外翻背伸位 (C)前足遭受強烈蹠屈暴力,舟骨受到距骨頭和楔骨的擠夾,可使舟骨產生水平位和橫斷骨折 (D)舟骨結節骨折為脛後肌腱強力收縮牽拉而成撕脫骨折
55 正骨手法中,橫斷或鋸齒型骨折,用其他手法復位後,如斷端間可能仍有裂隙,為使骨折面緊密接觸, 復位後位置相對更穩定,使骨折部緊密嵌插,可使用下列何種骨折復位手法? (A)搖擺觸碰 (B)折頂回旋 (C)夾擠分骨 (D)按摩推拿
56 關於髕骨骨折之敘述,下列何者正確? (A)邊緣骨折需與副髕骨鑒別,副髕骨多在髕骨的內下角,邊緣圓滑,且多為兩側對稱性 (B)骨折遠段伸展性不大,而骨折近端則附著有股四頭肌腱,伸展性較大,需利用近段斷端對遠段斷端, 才能獲得復位 (C)因間接暴力所致的骨折,多為粉碎型或星狀骨折,間有縱裂成邊緣骨折 (D)骨折經整復後,置患膝屈曲 90 度於托板上
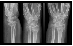
57 一位 65 歲婦人,主訴於 2 天前走路跌倒,右腕疼痛腫脹就診,如 X 光片顯示,下列敘述何者錯誤?
(A)復位後夾板固定,掌側夾板和尺側夾板的下端應超過腕關節,而背側夾板和橈側夾板則不超過腕關節 (B)此為伸直型橈骨下端骨折 (C)正常人橈腕關節面向掌側傾斜約 10~15 度,向尺側傾斜約 20~25 度 (D)外觀為「餐叉樣」(silver fork)畸形
58 關於上肢脫位損傷,下列敘述何者正確? (A)肘關節後脫位時,因鷹嘴突向上移位,致屈肘時,由肘後方觀察肱骨內上髁、外上髁及鷹嘴突呈 現正三角形關係 (B)脫位常見的一般症狀為疼痛、壓痛、腫脹、功能障礙,而肢體縮短、關節盂空虛與彈性固定為其 特有體徵 (C)臨床最常見肩脫位的型態為後脫位 (D)肩關節脫位,常出現「方肩」畸形外觀,肘關節屈曲,即便手臂貼及胸壁,手指不可觸摸到對側 肩部 代號:3102 頁次:8-7
59 下列關節損傷何者在臨床上較容易併發骨化性肌炎? (A)肩關節 (B)肘關節 (C)腕關節 (D)掌指關節
60 關於腕舟狀骨骨折的診斷,下列何者錯誤? (A)傷後腕背側腫脹、疼痛,尤以陽谿穴部位為明顯,腕關節活動功能障礙 (B)第一次 X 光照片未發現骨折,而臨床表現仍有可疑時,可於 2~3 週後重複照片,此時因骨折端的 骨質被吸收,而骨折線較容易顯露 (C)常被誤認為腕關節扭挫傷,容易誤診 (D)可見「餐叉樣」畸形
61 依據中醫眼科五輪學說,水輪疾病常責之於下列何臟腑? (A)脾與胃 (B)腎與膀胱 (C)心與小腸 (D)肝與膽
62 中醫名稱「金井」相當於那個現代醫學名稱? (A)瞼裂 (B)鼻淚孔 (C)淚埠 (D)瞳孔
63 如圖,患者常瞼澀難開,眼胞赤爛,則下列敘述何者錯誤?
(A)乃因倒睫拳毛,內刺睛 (B)因皮緊弦鬆,眼癢而兼疼 (C)宜用細辛湯,內清邪熱,外散風邪 (D)此乃脾熱肝風,合邪上壅所致
64 關於流淚症,下列敘述何者錯誤? (A)熱淚常指目無明顯赤痛翳障,而經常流淚者 (B)肝血不足,迎風流淚,治以四物湯加味 (C)氣血不足,收攝失司,當益氣養血,治以八珍湯加減 (D)肝腎兩虛,約束無權,以左歸飲養肝益腎
65 患者驟然發病,白睛紅赤腫痛,胞瞼紅腫,眵多膠結,熱淚如湯,怕熱畏光,伴有口渴溺黃,苔黃 脈數。其最有可能之診斷為何? (A)流淚症 (B)暴風客熱 (C)風赤瘡痍 (D)漏睛瘡
66 近日眼科門診,出現大量眼睛紅腫疼痛的患者,患者通常全家均發病,眼瞼腫脹,白睛紅,眼分泌 物增加,且黑睛也有病症,下列相關敘述何者錯誤? (A)感受疫厲之氣,上擾於目,肺火熾盛,氣血蒸騰,易相互感染造成流行 (B)本症除白睛外,容易黑睛星翳,故不可因為白睛赤疼病消而放鬆治療 (C)此乃心經之病,憂思勞怒,擾動心神,心火盛而刑金,上壅於目而致 (D)黑睛可為點狀星翳,視物不清,畏光流淚
67 關於椒瘡,下列敘述何者錯誤? (A)通常無異常感覺,或微覺癢澀,病情嚴重時可導致黑睛星翳,視力減損 (B)嚴重者瞼內瘢痕,外急內弛,瞼胞因疤痕導致無法閉合 (C)可能產生睥肉黏輪的後遺症,阻礙眼珠轉動 (D)重症可因邪毒久鬱,陰液耗損,目失濡養 代號:3102 頁次:8-8
68 王先生患聚星障,黑睛星翳反覆發作,纏綿不癒,頭重胸悶,溲黃便溏,口黏,舌紅苔黃膩,脈濡。 治療服藥至何時可轉用退翳明目之劑? (A)溲清便實 (B)頭輕胸暢 (C)脈滑口爽 (D)舌苔退淨
69 47 歲女性患者自覺視物昏朦,眼前黑影游動如蚊蠅飛舞,伴隨頭重胸悶,心煩口苦,舌淡紅苔膩, 脈濡而數。以下列何方劑治療較正確? (A)六君子湯 (B)杞菊地黃丸 (C)三仁湯 (D)丹梔逍遙散
70 下列那一本古籍最早記載燒灼治療咽喉疾病的方法? (A)《傷寒論》 (B)《金匱要略》 (C)《肘後備急方》 (D)《千金翼方》
71 理學檢查發現病人耳膜有裂縫狀或銳角狀不規則的穿孔,下列何者最可能為致病原因? (A)急性化膿性中耳炎 (B)慢性化膿性中耳炎 (C)慢性積液性中耳炎 (D)外傷
72 有關斷耳瘡症之敘述,下列何者錯誤? (A)由肝膽經火毒熱邪內熾,循經上犯而成 (B)風濕搏於血氣所生 (C)因濕盛則肉腐 (D)治宜清熱解毒去腐消腫
73 歷代文獻中關於耳膜穿孔、耳內流膿之病,下列敘述何者正確? (A)黃膿為纏耳 (B)紅膿為風耳 (C)青膿為聤耳 (D)白膿為震耳
74 鼻疳之病,若因脾胃失調,濕熱鬱蒸,內治宜萆薢滲濕湯,若濕熱壅盛者,需加下列何藥以助之? (A)茯苓、薏苡仁 (B)荊芥、防風 (C)薏苡仁、檳榔 (D)黃連、苦參、土茯苓
75 鼻病滯留,症見鼻失濡養,津液乾涸,邪毒困結,鼻內肌膜乾枯萎縮,結痂。下列診斷何者較適宜? (A)肺陰虛 (B)肺氣虛 (C)肺陰實 (D)肺氣實
76 下列何者與過敏性鼻炎相似,並以突然和反覆發作的鼻癢、噴嚏、流清涕、鼻塞等為特徵? (A)傷風鼻塞 (B)鼻疳 (C)鼻鼽 (D)鼻窒
77 五臟六腑病變可反應於咽喉,依《血證論》卷六之記載,凡咽痛而飲食不利者屬下列何臟腑病證? (A)肺火 (B)胃火 (C)肝火 (D)腎火
78 咽喉病初起,咽喉紅、腫、疼痛,發熱惡寒,多屬下列何證? (A)熱毒壅盛 (B)風熱邪毒 (C)虛火上炎 (D)痰涎濕濁凝聚
79 牙齩癰如不急治可能轉變為下列何種症狀? (A)合架風 (B)角架風 (C)牙棋風 (D)骨槽風
80 口齒唇舌病的膿血辨證中,若患者出現膿稀無味或流膿日久滲滲而出,下列辨證何者最適當? (A)脾胃火熱蒸灼 (B)痰涎濕濁凝聚 (C)脾胃實熱 (D)脾腎虛損,氣血不足
申論題 (0)
相關試卷
111年 - 111-2 專技高考_中醫師(二):中醫臨床醫學(三)(包括中醫外科學、中醫傷科學、中醫五官科學)#109951
111年 · #109951
111年 - 111-1 專技高考_中醫師(二):中醫臨床醫學(三)(包括中醫外科學、中醫傷科學、中醫五官科學)#106353
111年 · #106353
110年 - 110-2 專技高考_中醫師(二):中醫臨床醫學(三)(包括中醫外科學、中醫傷科學、中醫五官科學)#100612
110年 · #100612
110年 - 110-1 專技高考_中醫師(二):中醫臨床醫學(三)(包括中醫外科學、中醫傷科學、中醫五官科學)#96439
110年 · #96439
109年 - 109-2 專技高考_中醫師(二):中醫臨床醫學(三)(包括中醫外科學、中醫傷科學、中醫五官科學)#89484
109年 · #89484
109年 - 109-1 專技高考_中醫師(二):中醫臨床醫學(三)(包括中醫外科學、中醫傷科學、中醫五官科學)#82967
109年 · #82967
108年 - 108-2 專技高考中醫臨床醫學(三)(包括中醫外科學、中醫傷科學、中醫五官科學)#78362
108年 · #78362
108年 - 108-1 專技高考_中醫師(二):中醫臨床醫學(三)(包括中醫外科學、中醫傷科學、中醫五官科學)#74496
108年 · #74496
107年 - 107-2 專技高考_中醫師(二):中醫臨床醫學(三)(包括中醫外科學、中醫傷科學、中醫五官科學)#71175
107年 · #71175
107年 - 107-1 專技高考_中醫師(二):中醫臨床醫學(三)(包括中醫外科學、中醫傷科學、中醫五官科學)#67795
107年 · #67795