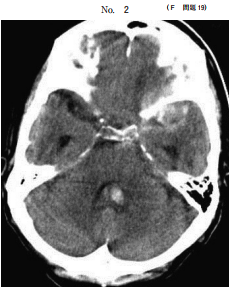
19 50 歳の女性。頭痛を主訴に来院した。日前の夕食中に突然の頭痛を自覚した。 翌日も頭痛は続き、37.8 ℃の発熱もあったため、自宅近くの診療所を受診した。 鎮痛薬を処方され内服したが、頭痛が改善しないため救急外来を受診した。意識は 清 明。身 長 156 cm、体 重 57 kg。体 温 36.8 ℃。脈 拍 84/分、整。血 圧 126/70 mmHg。神経学的診察で脳神経に異常を認めない。項部硬直と Kernig 徴候とを認 めない。四肢の運動系に異常を認めず、腱反射は正常で Babinski 徴候を認めない。 血液所見と血液生化学所見とに異常を認めない。頭部単純 CT8別冊No. 2:を別に 示す。 対応として適切なのはどれか。 
(A) 経過観察 (B) 腰椎 刺 (C) 止血薬静注 (D) 降圧薬内服 (E) 頭部 CT 血管造影検査