阿摩線上測驗
登入
首頁
>
牙醫學(四)(包括口腔顎面外科學、牙科放射線學等科目及其相關臨床實例與醫學倫理)
> 105年 - 105-2 專技高考_牙醫師(二):牙醫學(四)(包括口腔顎面外科學、牙科放射線學等科目及其相關臨床實例與醫學倫理)#54709
105年 - 105-2 專技高考_牙醫師(二):牙醫學(四)(包括口腔顎面外科學、牙科放射線學等科目及其相關臨床實例與醫學倫理)#54709
科目:
牙醫學(四)(包括口腔顎面外科學、牙科放射線學等科目及其相關臨床實例與醫學倫理) |
年份:
105年 |
選擇題數:
80 |
申論題數:
0
試卷資訊
所屬科目:
牙醫學(四)(包括口腔顎面外科學、牙科放射線學等科目及其相關臨床實例與醫學倫理)
選擇題 (80)
1.有關感染控制的觀念,下列何者錯誤? (A)要達到一樣的滅菌效果,溼熱滅菌法較乾熱滅菌法所需溫度較低,需時較短 (B)100℃沸騰的水可有效殺死孢子及病毒 (C)嗜熱桿菌芽孢(Bacillus stearothermophilus spores)為常用的高溫滅菌有效指標 (D)Ethylene oxide gas適用於多孔性物質及塑膠器械的滅菌
2.關於傷口止血,下列敘述何者正確? ①對於較小的血管可以直接加壓20~30秒 ②血腫可能增加傷口感染的機會 ③電燒止血時可以先用電燒器尖端碰觸血管,再 將傷口血液吸乾 ④腎上腺素也可以用來直接加壓在傷口上至少7分鐘 (A)①②③ (B)①②④ (C)①③④ (D)②③④
3.治療下圖根尖病變合併廔管形成,下列何種手術皮瓣設計較不恰當?
4.下列各種局部麻醉製劑中,那一種對罹患變形性血紅素(methemoglobinemia)的病患是有使用上的禁忌? (A)lidocaine (B)articaine (C)mepivacaine (D)prilocaine
5.有關創傷癒合的理論,下列那一種狀況屬於第一級癒合(primary intention)? (A)神經斷裂後,重新接通吻合(reanastomoses)的神經 (B)拔牙後的齒槽 (C)復位不佳的骨折 (D)深度的潰瘍
6.局部麻醉藥物過量,最常發生在下列何者? (A)老年人 (B)幼童 (C)中年婦女 (D)壯年男丁
7.心臟病或高血壓病人其可接受的最高血管收縮劑 epinephrine 劑量為多少 mg? (A)0.04 (B)0.2 (C)2 (D)0.4
8.下列何種針頭最常使用在牙科麻醉? (A)25號長針 (B)27號長針 (C)28號長針 (D)30號長針
9.麻醉劑分子的何部分,決定其分類為酯類(ester)或醯氨類(amide)? (A)親脂部分(lipophilic portion) (B)親水部分(hydrophilic portion) (C)中間鏈(intermediate chain) (D)caine 連結(caine linkage)
10.施打局部麻醉藥時,下列那些病人須嚴格限制 epinephrine 的使用量? ①缺血性心臟病 ②腦血管疾病(如中風),但血壓正 常 ③心律不整 ④高血壓 ⑤甲狀腺亢進 ⑥氣喘 (A)①③④⑤ (B)①②③④ (C)②③⑤⑥ (D)②④⑤⑥
11.阻生之下顎第三大臼齒,下列何種情況最難拔除? (A)垂直阻生 (B)近心傾斜阻生 (C)水平阻生 (D)遠心傾斜阻生
12.阻生齒發生率下列何者正確? (A)第三大臼齒 > 犬齒 > 門齒 > 小臼齒 (B)犬齒 > 第三大臼齒 > 小臼齒 > 門齒 (C)第三大臼齒 > 犬齒 > 小臼齒 > 門齒 (D)犬齒 > 第三大臼齒 > 門齒 > 小臼齒
13.關於第三大臼齒牙冠周圍炎之敘述,下列何者錯誤? (A)發作時常引起嚴重疼痛,開口困難 (B)有可能是因食物卡陷,造成無法清潔所致 (C)主要是大腸桿菌感染 (D)雙氧水有殺菌、治療的清潔功效
14.下圖為A、B、C三位病患之X光片,他們在接受右側上顎第一大臼齒之拔除時,發生牙根斷裂,此時若用拔牙挺挖取齒槽中斷 裂之牙根,那位病患之斷根被推擠入上顎竇之風險最高?
(A)A (B)B (C)C (D)三位病患之風險相同
15.下列何者是拔牙的禁忌症? (A)骨折線經過的牙齒合併牙根斷裂 (B)下顎阻生齒合併有急性嚴重牙冠周圍炎 (C)因矯正需要 (D)多生齒(supernumerary tooth)
16.下列何者,是造成齒源性感染病人死亡的最常見原因? (A)菌血症 (B)腎臟衰竭 (C)呼吸道阻塞 (D)廣泛性血管栓塞
17.有關顎骨骨髓炎之敘述,下列何者正確? (A)因為接近上顎竇,上顎骨後牙區發生率最高 (B)拔牙或者根管感染之後,可能造成顎骨骨髓炎 (C)通常是細菌隨著血流進入顎骨骨髓之後,導致骨髓炎的發生 (D)骨髓炎發生時通常沒有症狀,直到死骨形成時候才會感覺到痛
18.服用下列何種藥品的患者不必視為潛在性容易感染? (A)Anticoagulants (B)Cortricosteroids (C)Cyclosporin (D)Azathioprine
19.有關齒源性感染導致身體遠端擴散發炎的敘述,下列何者錯誤? (A)病人身體有一個抵抗力較弱的區域存在,才會發生此現象 (B)可經由淋巴結或是血液擴散 (C)人工關節是一個容易發生此現象的地方 (D)口腔內草綠色鏈球菌(viridans-group streptococci)較會造成心內膜炎
20.急診病患主訴4天前拔除右下第二大臼齒後,第2天臼齒區後方隱隱作痛,至昨天更形嚴重且張口困難,口腔檢查發現拔牙傷口 正常,但上下顎間最後方明顯壓痛,臉部外觀正常無腫脹,推斷為阻斷麻醉路徑感染,其感染部位應在何處? (A)翼顎間隙 (B)顳下間隙 (C)頰肌間隙 (D)咬肌間隙
21.骨內植體(intra osseous implant)尖端與下顎管之間的距離至少需多少mm最適當? (A)0.5 (B)1.0 (C)1.5 (D)2.0
22.有關人工植牙手術的敘述,下列何者正確? (A)在沒有特殊因素影響之下,尚在發育中的青少年最好是滿13歲以後才植牙 (B)TMI(transmandibular implant)適用於下顎前牙區的無牙嵴,而且無牙嵴的高度不得少於0.6公分 (C)曾經暴露於放射線治療範圍內的下顎骨,一律不建議做植牙手術 (D)在上顎前牙美觀區(esthetic zone)植牙時必須考慮到軟組織厚度的問題,所以植體頂端通常會與鄰牙齒頸部一樣高
23.關於立即植牙(immediate implant)手術,下列敘述何者錯誤? (A)每個拔牙後的狀況均可立即植牙 (B)採用立即植牙時,最好植深入並穿過齒槽窩底部3~4 mm (C)採用立即植牙時,植體與齒槽窩壁之間的間隙小於1 mm時,可以不必補骨粉 (D)採用立即植牙時,植體與齒槽窩壁之間的間隙大於1 mm時,要補骨粉
24.下列何者不屬於上顎隆突降低術(maxillary tuberosity reduction)的適應範圍? (A)上顎隆突骨頭過度生長 (B)覆蓋在上顎隆突骨頭上軟組織過度生長增厚 (C)上顎隆突骨頭和覆蓋在其上的軟組織都有過度生長增厚現象 (D)上顎竇底部過低
25.口腔鱗狀細胞癌T1N1M0 的分期是: (A)Stage I (B)Stage II (C)Stage III (D)Stage IV
26.下列何者是最危險的口腔黏膜病變? (A)黏膜下纖維化 (B)扁平苔癬 (C)紅斑症 (D)白斑症
27.下列何者不是顎骨黏液瘤(myxoma)之特性? (A)放射線影像顯示其會將牙齒推開 (B)有時放射線影像會像含牙囊腫 (C)有時放射線影像呈現網球拍狀(tennis racket) (D)不具有侵犯性毋須做較廣泛切除
28.當牙醫師做抽吸式切片檢查(aspiration biopsy)時,發現針管內吸出的是血液,可能是下列那一種病變? (A)multiple myeloma (B)osteosarcoma (C)central giant cell granulomas (D)ameloblastic fibroma
29.下列何種囊腫較不適合採用保守性的手術? (A)齒源性角化囊腫(odontogenic keratocyst) (B)含牙囊腫(dentigerous cyst) (C)殘留囊腫(residual cyst) (D)根尖囊腫(radicular cyst)
30.下列何者不屬於發炎性囊腫(inflammatory cyst)? (A)根尖囊腫(apical radicular cyst) (B)殘餘囊腫(residual cyst) (C)含牙囊腫(dentigerous cyst) (D)根側囊腫(lateral radicular cyst)
31.以手術治療齒源性角化囊腫(odontogenic keratocyst)時,下列何者較不易復發? (A)減壓術(decompression) (B)造袋術(marsupialization) (C)剜出術(enucleation) (D)剜出術(enucleation)加刮除術(curettage)
32.下列何者不是 LeFort I osteotomy,造成術後延遲出血(delayed hemorrhage)的主要血管? (A)greater palatine artery (B)facial artery (C)internal maxillary artery (D)pterygoid venous plexus
33.關於垂直下顎枝截開術(vertical ramus osteotomy)的敘述,下列何者錯誤? (A)下顎枝部連著髁狀突的部分重疊在遠心端下顎骨之上 (B)由口內進入時,可使用angulated oscillating saw以方便操作 (C)可由口內進入,以減少對顏面神經下顎分枝的傷害 (D)用於矯正嚴重下顎突出和後縮
34.有關正顎手術之傷口癒合,下列敘述何者錯誤? (A)骨重塑期(remodeling phase)在組織受傷時即開始 (B)巨噬細胞(macrophage)是發炎期(inflammatory phase)最重要的調節細胞 (C)增殖期(proliferative phase)的主要目標為強化傷口強度,重建血液循環及再上皮化(reepithelialization) (D)傷口組織抗張強度(tensile strength)在第三周時約可達原本組織之50%
35.施行勒福一型(LeFort I)正顎手術,若做大幅度移動,有關術後穩定性,下列何者最差? (A)前置(anterior reposition) (B)後置(posterior reposition) (C)上置(superior reposition) (D)下置(inferior repostion)
36.有關帶狀疱疹感染後神經痛之敘述,下列何者正確? (A)侵犯三叉神經時,以下顎支最常見 (B)以年輕人居多 (C)侵犯顏面神經時稱為侖謝亨特症候群(Ramsay Hunt Syndrome) (D)約有20~30%會出現神經痛,且2~5週自然痊癒
37.神經失用症(neurapraxia)一般在多少時間以內會復原? (A)4週 (B)8週 (C)12週 (D)16週
38.一名病患經檢查發現瞳孔對光照無法收縮及眼瞼下垂(ptosis),則該患者是那一條神經受損? (A)第三對腦神經(cranial nerve III) (B)第四對腦神經(cranial nerve IV) (C)第六對腦神經(cranial nerve VI) (D)第七對腦神經(cranial nerve VII)
39.那一個大唾液腺體分泌的唾液,是以黏液為主? (A)腮腺 (B)舌下腺 (C)顎下腺 (D)腭腺
40.有關 sialolithiasis 之敘述,下列何者錯誤? (A)好發於男性 (B)舌下腺的發生率最高 (C)主要的症狀是在用餐時,會感覺到腫脹及疼痛 (D)transcutaneous electromagnetic waves可用來治療腺體內較小的Sialolithiasis
41.下列那種情況最不宜做唾液腺照影(sialography)? (A)懷疑有唾液腺腫瘤 (B)口乾症 (C)唾液腺腫大 (D)急性唾液腺感染
42.下列何種下顎骨折,不會出現下嘴唇麻木感? (A)下顎骨角(angle) (B)下顎上升枝(ramus) (C)下顎骨體(body) (D)下顎聯合處(symphysis)
43.當牙醫師急診檢查齒顎外傷的患者時,下列那一項檢查很少使用? (A)受傷牙齒的牙髓活性檢查 (B)受傷牙齒的X光片檢查 (C)受傷牙齒區域的觸診檢查 (D)受傷牙齒區域的軟組織檢查
44.臨床上處理下顎骨骨折時,下列敘述何者正確? (A)為避免影響骨頭發育,兒童下顎骨骨折不要施行close reduction (B)如髁頭處有骨折,一定要將其完全復位以避免未來張口困難發生 (C)粉碎性骨折需避免使用開放性復位手術 (D)如利用close reduction治療下顎骨骨折的年老病患,IMF的時間不能超過4週以免發生TMJ ankylosis
45.有關中臉部勒福(LeFort)I型骨折的敘述,下列何者錯誤? (A)通常是由上顎骨受到水平力量撞擊所致 (B)骨折區域經過上顎竇及鼻腔底部 (C)造成上顎和翼突板、鼻骨、顴骨構造之間的分離 (D)此種類型骨折又稱為顱顏面分離性(craniofacial separation)骨折
46.有唇腭裂的病人,出現上顎發育不良,如需要活動式矯正裝置,可開始矯正的時機為何? (A)上顎第一大臼齒萌發後 (B)上顎犬齒萌發後 (C)所有恆牙萌發後 (D)齒槽裂補骨手術後
47.電視影像螢光透視法(videofluoroscopy)可用來檢查腭裂患者之發音功能,關於此法的運用,下列敘述何者錯誤? (A)病患於檢查時需注射顯影劑(contrast medium) (B)可檢測咽腭帆肌肉群(velopharyngeal musculatures)之動作 (C)可顯示上呼吸道解剖型態及殘留腭瘻管(residual palatal fistula) (D)檢查時必須有語言病理學家(speech pathologist)做發音測試
複選題
48.繼生腭(secondary palate)是由上顎腫(maxillary swelling)隆起之何種構造形成?此構造於何時出現? (A)腭架(palatine shelf),6週 (B)腭架(palatine shelf),10週 (C)顎間段(intermaxillary segment),4週 (D)顎間段(intermaxillary segment),8週 .
49.為孕婦拔除牙齒,最好在懷孕的那一時期施行? (A)前三月期 (B)中三月期 (C)後三月期 (D)任何時期皆不宜
50.牙科所使用的局部麻醉藥物 2% lidocaine with 1:100,000 epinephrine,對一個健康的 20 公斤兒童,在同一次的治療中最多 可以注射幾管 (1.8 mL / 管)? (A)2 (B)3 (C)4 (D)5
51.腦中風發作後,至少多久時間內最好不要拔牙? (A)6個星期 (B)3個月 (C)6個月 (D)1年
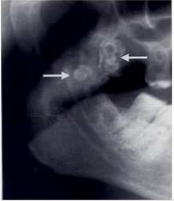
52.在牙科門診中,病患若發生持續或反覆癲癇(status epilepticus),除應立刻召喚醫療急救人員外,可考慮先給予下列那種藥 物? (A)Hydrocortisone (B)Midazolam (C)Morphine (D)Succinylcholine
複選題
53.下列何種病變最容易引起顳顎關節疼痛? (A)類風濕性關節炎(rheumatoid arthritis) (B)骨關節炎(osteoarthritis) (C)軟骨瘤(chondroma) (D)關節盤前方移位(disc anterior displacement) .
54.下列有關「不可復性關節盤前移(anterior disc displacement without reduction)」之敘述,何者錯誤? (A)患者在張口時,會有關節彈響聲音(clicking sound)出現 (B)患者無法達到正常的張口程度,張口時下顎骨會往患側偏移 (C)下顎骨減少往對側方向做側移(lateral excursion)的運動 (D)核磁共振檢查可發現關節盤有前側位移現象
55.發生於顳顎關節之類風濕性關節炎(rheumatoid arthritis),有下列那些特徵?①滑液組織(synovial tissue)不正常增生,形 成所謂血管翳(pannus) ②骨骼之侵蝕大多侷限在關節隆凸(articular eminence),而不會影響髁頭(condylar head) (A)只有①正確 (B)只有②正確 (C)①②均正確 (D)①②均不正確
56.當醫療糾紛產生時,病人或是家屬已經採取法律訴訟時,下列那一項敘述錯誤? (A)醫師必須熟悉病患所有病歷記載以及相關醫療資料 (B)醫師有義務回答病人或是家屬甚至是病人律師任何問題 (C)醫師應該聽從醫療糾紛小組成員或是律師的建議 (D)醫師在回答家屬或是病人律師的疑問時,必須使用已知的知識以及相關紀錄為基礎
57.現行使用輻射之劑量當中,用於人員之劑量單位為等效劑量(equivalent dose),下列何者正確? (A)1 Sv=100 rem (B)1 Sv=1000 rem (C)1 Gy=10 Sv (D)1 rad=1 Sv
複選題
58.下列有關口內放射線攝影的敘述,何者錯誤? (A)X光機電壓不應低於50 kV (B)X光管直徑不可超過60 mm (C)使用正方形的瞄準儀(collimator)有最佳的防護效果 (D)X光機電壓在70 kV以下應使用1.5 mm的鋁濾片 .
59.下列何者非放射線對DNA分子破壞後的結果? (A)DNA單鍵或雙鍵的斷裂 (B)斷裂後的DNA發生鍵內或鍵外重組 (C)鹼基缺失或改變 (D)DNA和RNA的重組
60.下列何者非超音波優於X-ray的優點? (A)非游離輻射 (B)沒有傷害性的生物效應 (C)適合於軟組織之鑑別診斷 (D)解析度較高
61.下列敘述,何者最為正確? (A)Submentovertex film可以同時觀察上下顎、牙齒與condyle (B)MRI可以很清楚觀察到disc perforation (C)TMJ arthrography可以觀察disc動態活動,但具侵入性 (D)CT scan無侵入性的觀察disc displacement
62.關於X光操作時之敘述,下?何者正確? (A)最安全的角?是與主射線夾0度至90度的範圍 (B)在沒有射防護屏蔽下,X光操作者須病人至少5 feet (C)操作者應幫病人壓片 (D)操作者最好要使用X光片固定器(film-holding device)
63.下圖之上顎根尖片模糊影像,最可能之原因為:
(A)mA過低 (B)kVp過低 (C)X光片彎曲 (D)病人移動
64.下圖所示之X光影像與何種拍攝方式所產生的影像最為接近?
(A)Water's view (B)Submental vertex view (C)Posterior-anterior view (D)Anterior-posterior view
65.下圖箭頭所指之帶狀黑色的放射線透過性(radiolucent)區域是:
(A)fracture line (B)fistulae (C)neurovascular canal (D)suture
66.下圖根尖X光片中,黑色箭頭所指為何種構造?
(A)Anterior nasal spine (B)Intermaxillary suture (C)Anterior floor of the nasal aperture (D)Incisive foramen
67.門齒孔(incisive foramen)之寬度至少要大於多少公分,才會被認定為一門齒管囊腫(incisive canal cyst)? (A)0.4 (B)0.6 (C)0.8 (D)1.0
68.下圖X光影像中,下顎骨病變最可能的診斷為何?
(A)Chondroma (B)Osteoradionecrosis (C)Fibrous dysplasia (D)Ameloblastoma
69.下圖中左側門牙的變異為何?
(A)Dens evaginatus (B)Dens invaginatus (C)Peg lateral (D)Talon cusp
70.一名20歲男性因美觀問題求診,他全口的牙齒都有嚴重磨耗的情形,其後牙的根尖片如圖。他可能罹患何種疾病?
(A)Amelogenesis imperfecta (B)Dentinogenesis imperfecta (C)Dentin dysplasia (D)Odontogenesis imperfecta
71.一位中年男性因鼻咽癌接受頭頸部放射線治療,左圖為治療前X光片,右圖為放射線治療半年後的X光片影像呈現牙齒及齒槽 嵴周邊有骨硬化和大量骨破壞情形,在鑑別診斷後,下列何種病變最有可能?
(A)Recurrence of the malignant neoplasm (B)Actue osteomyelitis (C)Radiation therapy-induced osteoradionecrosis (D)Bisphosphonate-induced osteonecrosis
72.下圖之X光影像箭頭所示處,最可能之X光診斷為:
(A)多生牙 (B)唾液腺結石 (C)淋巴結鈣化 (D)靜脈結石
73.下列何種疾病患者顎骨之放射線影像,有時可見牙齒旁之齒槽骨板(lamina dura)喪失之情形? (A)副甲狀腺功能過旺(hyperparathyroidism) (B)副甲狀腺功能不足(hypoparathyroidism) (C)腦下垂體功能過旺(hyperpituitarism) (D)腦下垂體功能不足(hypopituitarism)
74.下圖是何種檢查所呈現之影像?
(A)MRI (B)ultrasonography (C)computed tomography (D)PET whole body scan
75.下列何者的放射線影像,會呈現扇形(scalloped shape)的病灶? (A)齒源性角化囊腫(odontogenic keratocyst) (B)根尖囊腫(radicular cyst) (C)鼻腭管囊腫(nasopalatine duct cyst) (D)濾泡性囊腫(follicular cyst)
76.顎骨內神經鞘瘤(neurilemoma)之最常見放射線影像表徵為何? (A)單房放射線透性病變(unilocular radiolucent lesion) (B)多房放射線透性病變(multilocular radiolucent lesion) (C)混合放射線透性和不透性病變(mixed radiolucent and radiopaque lesion) (D)放射線不透性病變(radiopaque lesion)
77.常見造釉細胞瘤(ameloblastoma)的放射線影像特徵,下列敘述何者錯誤? (A)下顎最常發生的部位在臼齒-上升枝區 (B)下顎最常發生的部位在前牙區 (C)單房或多房的放射線透性影像 (D)X光片上可見牙根被推開或吸收情形
78.目前的數位攝影檢出器(detector)可獲得的密度範圍為多少bit depth? (A)1~2 bit (B)4~6 bit (C)8~16 bit (D)32~64 bit
79.下圖之X光影像最主要觀察那一解剖構造? (A)Zygomatic arch (B)Maxillary sinus (C)Body of mandible (D)Ramus of the mandible
80.承上題,該X光影像最可能之X光診斷為: (A)骨硬化症(osteopetrosis) (B)骨疏鬆症(osteoporosis) (C)下顎骨骨折(mandibular fracture) (D)鼻竇炎(sinusitis)
申論題 (0)
相關試卷
115年 - 115-1 專技高考_牙醫師(二):牙醫學(四)(包括口腔顎面外科學、牙科放射線學等科目及其相關臨床實例與醫學倫理)#137358
115年 · #137358
114年 - 114-2 專技高考_牙醫師(二):牙醫學(四)(包括口腔顎面外科學、牙科放射線學等科目及其相關臨床實例與醫學倫理)#128945
114年 · #128945
114年 - 114-1 專技高考_牙醫師(二):牙醫學(四)(包括口腔顎面外科學、牙科放射線學等科目及其相關臨床實例與醫學倫理)#125098
114年 · #125098
113年 - 113-2 專技高考_牙醫師(二):牙醫學(四)(包括口腔顎面外科學、牙科放射線學等科目及其相關臨床實例與醫學倫理)#121679
113年 · #121679
113年 - 113-1 專技高考_牙醫師(二):牙醫學(四)(包括口腔顎面外科學、牙科放射線學等科目及其相關臨床實例與醫學倫理)#118730
113年 · #118730
112年 - 112-2 專技高考_牙醫師(二):牙醫學(四)(包括口腔顎面外科學、牙科放射線學等科目及其相關臨床實例與醫學倫理)#115909
112年 · #115909
112年 - 112-1 專技高考_牙醫師(二):牙醫學(四)(包括口腔顎面外科學、牙科放射線學等科目及其相關臨床實例與醫學倫理)#113155
112年 · #113155
111年 - 111-2 專技高考_牙醫師(二):牙醫學(四)(包括口腔顎面外科學、牙科放射線學等科目及其相關臨床實例與醫學倫理)#109860
111年 · #109860
111年 - 111-1 專技高考_牙醫師(二):牙醫學(四)(包括口腔顎面外科學、牙科放射線學等科目及其相關臨床實例與醫學倫理)#106178
111年 · #106178
110年 - 110-2 專技高考_牙醫師(二):牙醫學(四)(包括口腔顎面外科學、牙科放射線學等科目及其相關臨床實例與醫學倫理)#99925
110年 · #99925