所屬科目:獸醫實驗診斷學
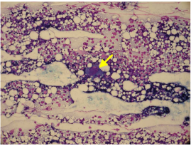
14.下圖劉氏(Liu's)染色骨髓抹片中,箭頭所指者最可能是: (A)紅血球系之細胞 (B)骨髓球系之細胞 (C)血小板系之細胞 (D)造骨胚細胞
28.犬之皮膚腫塊,細胞學採樣鏡檢觀察結果如下圖,該犬最可能罹患下列何種腫瘤? (A)黑色素瘤(melanoma) (B)肥胖細胞瘤(mast cell tumor) (C)漿細胞瘤(plasmacytoma) (D)組織細胞瘤(histiocytoma)