所屬科目:獸醫實驗診斷學
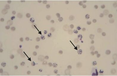
17.下圖為新亞甲基藍染色之犬隻血液抹片,箭頭所指最可能為何種血球? (A)reticulocyte (B)neutrophil (C)eosinophil (D)platelet
21.一隻8歲母狗近幾天日漸虛弱,黏膜非常蒼白,經血液學檢查後數值如下表,初步可判讀為那一型貧血? (A)再生性貧血,因為有核紅血球增加 (B)再生性貧血,因為網織球數量增加 (C)非再生性貧血,因為有核紅血球增加 (D)非再生性貧血,因為網織球數量增加
76.11歲雌性已絕育混種犬採動脈血液氣體結果如下表,該犬的血液酸鹼結果下列何者正確? (A)代謝性鹼中毒有呼吸代償 (B)呼吸性鹼中毒無代謝代償 (C)呼吸性鹼中毒有代謝代償 (D)代謝性鹼中毒無呼吸代償
77.逆理性酸尿(paradoxical aciduria)過程中主要會喪失的離子不包含下列何者? (A)鉀 (B)氯 (C)氫 (D)碳酸氫根()