所屬科目:牙醫學(四)(包括口腔顎面外科學、牙科放射線學等科目及其相關臨床實例與醫學倫理)
28.顎骨囊腫手術(jaw bone cyst) 中,治療目的相同的術式為下列何者?①減壓術(decompression) ②Partsch operation ③造袋術(marsupialization) ④刮除術(curettage) (A)①②④ (B)②③④ (C)①③④(D)①②③
42.關於成人髁狀突骨折(condylar fracture) 的敘述,下列何者錯誤? (A)大多導致咬合改變 (B)上下顎間固定的目的並非骨折復位 (C)骨折完全復位,才能回復原來咬合 (D)骨折位移愈大,愈偏向使用開放式復位(open reduction)
43.下列何種骨折,不會影響咬合? (A)顴骨骨折(zygomatic fracture) (B)勒福三型骨折(Le Fort III fracture) (C)下顎髁狀突骨折(condylar fracture) (D)牙齒齒槽骨折(dento-aIveoIar fracture)
50.在牙科門診中,病患若發生急性腎上腺皮質功能不足(acute adrenocortical insufficiency) ,應給予下列那些處 置?①讓病患平躺並使病患之腳高於頭部位置②注射類固醇③給予氧氣(A)僅①② (B)僅②③(C)僅①③(D)①②③
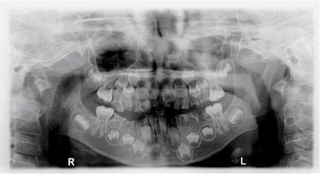
55.如全口環狀X光片所示,下顎骨左側可以發現多房性(multilocular) 放射線透光性病灶,並呈現有多顆牙齒之 牙根吸收,下列何者是較為可能之診斷? (A)鈣化齒源囊腫(calcified odontogenic cyst) (B) 含齒囊腫(dentigerous cyst) (C)齒源性角化囊腫(odontogenic keratocyst) (D)始基囊腫(primordial cyst)
59.目前牙科X光攝影使用的有線數位CCD (charge-coupled device) 感應片,其接受到X光至傳送訊號至電腦的正 確流程依序為何?①電極(electrode) ②隔離層(insulating layer) ③N型矽片(N-type silicone) ④P型 矽片(P-type silicone) ⑤閃爍層(scintillation layer) (A)①②③④⑤ (B)⑤④③②① (C)⑤③④②① (D)②④③⑤①
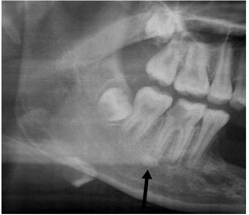
64.關於附圖中箭頭所指之解剖構造,下列敘述何者錯誤? (A)是下顎骨舌側表面上的突起 (B)是geniohyoid muscle附著之處 (C)稱為mylohyoid ridge (D)稱為internal oblique ridge
65.46歲女性因上顎左側犬齒牙根尖區域至鼻翼處腫脹來求診,經X光檢查如附圖1 所示,犬齒牙髓活性測試有活性反應,病患接受進一步影像檢查如附圖2 ,圖2影像之拍攝方式為下列何者? (A)電腦斷層掃描(computerized tomography) (B) 骨掃描(bone scan) (C)磁共振造影(magnetic resonance imaging) (D)超音波掃描(ultrasongraphy)
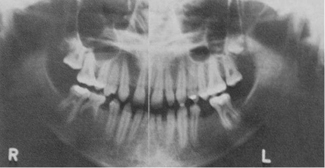
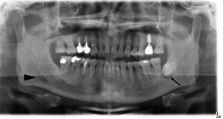
66.15歲女孩丙下顎前方有一個無疼痛的腫脹而來求診,經X光檢査如附圖所示,病變區切片後,病理診斷為齒 源性角化囊腫,則此病患最可能罹患下列何種疾病? (A)艾迪森氏病(Addison's disease) (B)天使症(cherubism) (C)麥克滾-阿爾布萊德氏症候群(McCune-Albright syndrome) (D)痣樣基底細胞癌症候群(nevoid basal cell carcinoma syndrome)
67.17歲男性在定期追蹤的X光檢查時,發現右下顎第一大臼齒下方有一放射線不透過性病變如附圖所示,經牙 髓活性檢測發現右下顎第一大臼齒無活性,此病變最可能的診斷為下列何者? (A)造牙骨質細胞瘤(cementoblastoma) (B)硬化性骨炎(condensing osteitis) (C)牙骨質骨發育不良(cementa-osseous dysplasia) (D)病因不明性骨硬化(idiopathic osteosclerosis)
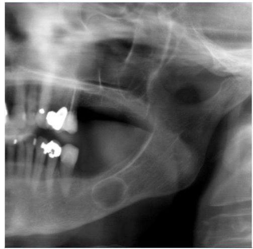
68.70歲男性於一年前拔除下顎左側第一大臼齒,至今仍有疼痛,經X光檢查如附圖所示,此病患最有可能有下 列何種病變? (A)含齒囊腫(dentigerous cyst) (B)萌牙囊腫(eruption cyst) (C)側位牙周囊腫(lateral periodontal cyst) (D)殘餘囊腫(residual cyst)
69.下列何者可診斷為牙本質發育不良(dentin dysplasia) ? (A) (B)(C)(D)
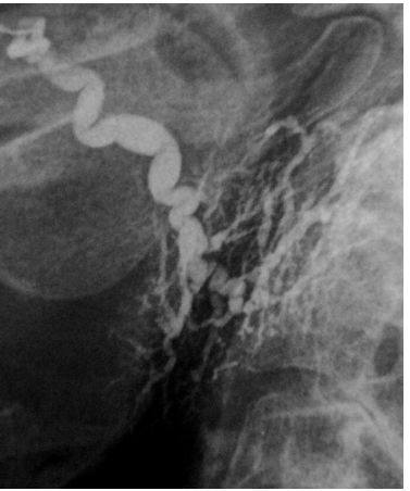
70.下列那一唾液腺攝影圖像可以診斷為涎腺管炎(sialodochitis) ?(A) (B) (C) (D)
71.下列何者符合地中海型貧血(thalassemia) 之影像學特徵? (A)(B)(C)(D)
73.附圖中牙齒周邊的骨質喪失,最可能是下列何種疾病造成? (A)造牙骨質細胞瘤(cementoblastoma) (B)蘭格罕氏細胞組織細胞增多症(Langerhans'cell histiocytosis) (C)骨化纖維瘤(ossifying fibroma) (D)柏哲德氏病(Paget's disease)
74.下列何種疾病最常造成如圖中洋蔥皮狀骨膜反應之影像? (A)牙骨質骨發育不良(cementa-osseous dysplasia) (B)柏哲德氏病(Paget's disease) (C)平伯氏腫瘤(Pindborg's tumor) (D)加勒氏骨髓炎( Garre's osteomyelitis)
75.附圖中X光影像最符合下列何種疾病的病徵? (A)牙本質形成不良(dentinogenesis imperfecta) (B)牙本質發育不良第一型(dentin dysplasia type I) (C)牙本質發育不良第二型(dentin dysplasia type II) (D)牙中牙(dens in dente)
79.35歲男性因下顎左側後方不適而來求診,經X光檢查如附圖所示,黑色長箭頭所指的病變,最可能為下列何 者? (A)外傷性骨囊腫(traumatic bone cyst) (B) 含齒囊腫(dentigerous cyst) (C)根尖囊腫(radicular cyst) (D)殘餘囊腫(residual cyst)