所屬科目:一般醫學
94 依照 FIGO leiomyoma classification system 對子宮肌瘤位置的分類,下圖肌瘤(myoma)是屬於第幾分 類(type)(cx=cervix)?
(A) Type 0 (B) Type 3 (C) Type 7 (D) Type 8
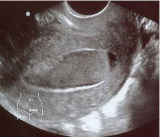
96 32 歲女性於 3 個月前因妊娠 2 個月合併胎死腹中而接受人工流產手術,術後至今尚無月經來過。近 2 日常感覺下腹陣發性疼痛,於今日加劇而就醫。經陰道指診發現子宮有觸壓疼痛的情形,尿液懷孕試 驗呈現陰性反應。經陰道超音波掃描子宮發現有附圖之情形,依據圖示此患者最適合之診斷為: (A)輸卵管水腫(hydrosalpinx) (B)輸尿管水腫(hydroureter) (C)子宮頸閉鎖(cervical canal stenosis) (D)子宮內膜增生(endometrial hyperplasia)