所屬科目:教甄◆生物專業
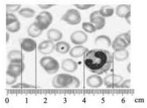
1. 某生進行血液抹片觀察,他在一張血球的顯微相片中測量血球之大小,直尺的標示單位為公分,如附圖所示。老師要求報告中須提供所有顯微相片的最終放大倍率值,若依課本中所述紅血球細胞直徑約 7.5 微米(μm),則該生使用的顯微鏡放大倍率為多少? (A) 1000 (B) 400 (C) 200 (D) 40
3. 附圖顯示人體在一個心搏週期中左心房、左心室和主動脈壓力的變化情形,下列相關敘述何者正確? (A) V→Y 時期,血液流入左心室 (B) W→X 時期,血液流入冠狀動脈 (C) X→Y 時期,房室辦和半月瓣皆為開啟狀態 (D) V→W 時期,房室辦和半月瓣皆為關閉狀
5. 附圖是健康人體的腎元構造部分放大圖,下列相關敘述何者不正確? (A)①③管壁為皆由單層細胞所組成 (B)①②內皆含有蛋白質 (C)④⑤皆為小動脈 (D)該構造僅位於腎臟皮質中
8. 附圖為玉米穗的橫剖面圖,依據圖判斷下列敘述何者正確? (A)甲是由孢子體發育而來 (B)乙是由合子發育而來 (C)丙是由胚乳核發育而來 (D)丁是由配子體發育而來
11. 附圖為植物器官某部分橫切面之細胞分布示意圖,根據圖推斷下列敘述何者正確? (A)此植物至少已生 長六年 (B)甲部位較己部位更早生成 (C)丙部位是在最冷的一年所生成 (D)庚和辛部位皆是由薄壁 細胞構成
16. 附圖為人體心臟切面示意圖,甲~丁為不同的瓣膜, 下列相關敘述何者不正確? (A)丙最接近人體腹面 (B)乙有腱索附著 (C)甲和丙於心室收縮時關閉 (D)乙和丁會有充氧血經過
27. 附圖為生態系穩定度相關的四個模型示意,横軸為生態 系中之物種數,縱軸為生態系之初級生產力,下列敘述何者不正確?(圖 (L)「+」為生態系之取樣) (A) I 之物種間具有最高的相互替代性 (B) J 之物種數高時,具有相互補償功能 (C) L 之物種數與生態系穩定度無關 (D) J 及 K 模型較 I 及 L 接近一般情況