所屬科目:教甄◆生物專業
1. 右圖為胃壁細胞的示意圖,A、B、C 為細胞膜上 的構造,下列相關敘述,何者不正確?(A) A、B、C 的成分為磷脂質 (B) 鉀離子進入細胞時會消耗 ATP,離開細胞則否 (C) 二氧化碳分子可直接通過細胞膜 (D) 氯離子進出此細胞不會消耗 ATP
2. 比較真核細胞的複製和轉錄作用,下列選項何者正確? (A)(B)(C)(D)
6. 右圖為粒線體中氧化磷酸化作用示意圖, 則下列敘述何者正確?(A) 甲可為 NADPH、FADH2 (B) H +的濃度 R<S (C) 電子由乙傳至戊為放能反應 (D) S 代表內外膜之間的膜間腔
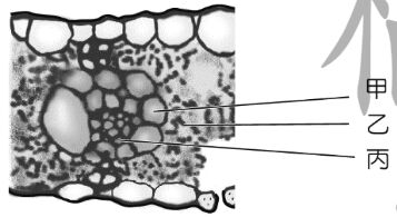
8. 下圖為某種植物葉的橫切面,下列有關甲、乙、丙處細胞的敘述,何者正確?(A) 甲細胞可藉由 C3 途徑將 CO2 還原成醣 (B) 乙細胞固碳後第一個產物為磷酸甘油酸 (C) 此植物通常在夜晚將 CO2 固定並儲存於液胞內 (D) 丙細胞負責運輸光合作用的有機產物,主要成分為葡萄糖
15. 有關右圖的敘述,何者正確?(A) 左半圖是單股螺旋的 RNA (B) 右半圖是雙股 DNA 的示意圖 (C) 酵素通常具有左半圖的結構 (D) 圖中的氫鍵(虛線)是由水分子所造成
18. 下表為人體消化相關激素分泌處及作用處的比較,何者資料正確?(A)(B)(C)(D)
20. 下圖表示肌肉組織的三種細胞,請依圖示選擇正確敘述:(A) A 為構成心臟的細胞 (B) B 為單核細胞 (C) C 的收縮主要是受到大腦意識控制 (D) A 為構成血管壁的肌肉
23. 右圖表示為腎臟組織切片構造,請依圖示選擇正確敘述:(A) 乙由扁平上皮細胞構成、丙由柱狀上皮細胞構成 (B) 甲的血壓會比丙周圍的血管中血壓高 (C) 正常活體腎臟中,乙腔室內的液體不應含有葡萄糖 (D) 此構造在腎臟髓質數量比皮質多
26. 下圖為人類女性子宮內膜在月經週期中的變化,下列相關敘述,何者正確?(A) I 與 V 是導因於卵巢內黃體萎縮 (B) 濾泡細胞分泌的黃體素是造成 II 期間子宮內膜增厚的原因 (C) III 時期女性排卵,此是黃體素與 LH 正回饋控制所造成 (D) 經週期為 40 天的女性,IV 期的時間約為 26 天
48. 下列有關下圖中構造的敘述,何者不正確?(A) A 處細胞質內的滲透壓為中柱內最大,可使水分持續流入 (B) 支根可由 C 處經細胞分裂而突出 F (C) D 具有不透水的卡氏帶,可限制水溶液需經過細胞膜再進入中柱 (D) 乙路徑的運輸會經過皮層細胞的原生質絲