所屬科目:進階專科護理-兒科
1. 有關腸道營養( enteral nutrition )的一般原則,下列敘述何者正確?①假如病人情況允許,靜脈營養應優先於腸道營養②管路灌食有腹瀉情形時,應使用止瀉藥及減少纖維素含量③鼻胃管放置錯位,包括插進氣管、支氣管,常發生在昏迷的病人④有長期管灌需求的病人,可以建議放置胃造廔管(A) ①② (B) ②③ (C) ③④ (D) ①④
2. 一位58歲男性罹患糖尿病15年,目前口服藥物控制,下列何者不是營養狀態評估的指標?(A) BMI (B) albumin (C) HbA1c (D) hemoglobin
3. 有關嚴重高血鉀合併心電圖改變的醫療處置,下列敘述何者不適當?(A) 靜脈輸注葡萄糖酸鈣( calcium gluconate ),可以有效降低血清鉀離子濃度(B) 胰島素(regular insulin )與葡萄糖靜脈注射,可以使鉀離子移入細胞(C) 以NaHCO3等滲溶液靜脈輸注,可以改善代謝性酸中毒(D) 以 β2腎上腺素促效劑,可以促進細胞對鉀的攝取
4. 有關成年人的營養需求,下列敘述何者不適當?(A) 蛋白質攝取量每日0.8 g/ kg,可以滿足97%成年人的需求(B) 對於重症病人,蛋白質攝取量至少每日1.2g/kg,以減少瘦體身體(lean body)質量流失(C) 身體質量指數25 - 29 kg/m2的成年人,其熱量需求為21 - 25kcal/kg/ day(D) 某些組織(如骨髓、眼睛等)不能代謝脂肪酸,需以葡萄糖(每日約40g)作為能量來源
5. 有關病毒性腦炎( encephalitis)感染,下列敘述何者不適當?(A) 第一型單純皰疹病毒(HSV- 1)為最常見和最重要的病原(B) 臨床表現為發燒、意識狀態改變,合併性格改變或癲癇(C) 腦脊髓液分析應包括單純皰疹病毒和腸病毒聚合酶連鎖反應檢測(D) 磁振攝影常發現枕葉病灶,為HSV- 1最敏感的影像檢查
6. 有關胺基糖苷類( aminoglycosides)藥物,下列敘述何者不適當?(A) 透過與細菌核糖體(ribosome )結合,在mRNA轉譯過程,抑制細菌蛋白質合成(B) 常與細胞壁活性藥物(如 β 內醯胺類)併用,用於治療嚴重感染(C) 在膿瘍( abscesses)的低 pH值/低氧環境中,仍保有良好的活性(D) 使用需注意發生不可逆腎毒性( nephrotoxicity)和耳毒性( ototoxicity)
7. 磺胺類藥物(trimethoprim/sulfamethoxazole:Baktar® ),是廣效性抗生素,臨床無法治療 下列何種病原? (A) 人類肺囊蟲(Pneumocystis jiroveci) (B) 大腸桿菌(E. coli) (C) 金黃色葡萄球菌( Staphylococcus aureus) (D) 綠膿桿菌(Pseudomonas aeruginosa )
8. 病人生命徵象為體溫 38.5 ℃、脈搏 120 次 / 分、呼吸 22 次 / 分、血壓 120 / 65 mmHg、 WBC15000μL (seg 84.7%)、CRP 19.8mg/dL、指甲夾板出血及主動脈瓣區舒張期心雜音, 下列何者為最可能的診斷? (A) bacterial peritonitis (B) myocarditis (C) pericarditis (D) bacterial endocarditis
9. 一位 70歲女性因暈厥被送至急診,圖(一)是此病人的心電圖,最有可能是下列何種心律?(A) 一度房室傳導阻滯(first- degree AV block )(B) 二度房室傳導阻滯(second - degree AV block ),Mobitz type I(C) 二度房室傳導阻滯(second - degree AV block ),Mobitz type II(D) 完全性房室傳導阻滯( complete AV block )
10. 一位60歲女性因腹痛、噁心與嘔吐來急診。此病人有剖腹產與膽囊切除手術病史,其 KUB如圖(二),請問最有可能的診斷為何? (A) 沾黏性小腸阻塞( adhesive small bowel obstruction ) (B) 大腸阻塞(large bowel obstruction ) (C) 缺血性大腸炎(ischemic colitis) (D) 小腸憩室炎(small bowel diverticulitis)
11. 下列實驗室檢查結果,何者不符合腎前性急性腎損傷(prerenal acute kidney injury)的診斷?(A) 排鈉分率(fractional excretion of sodium,FENa )>1%(B) 尿液滲透壓( urine osmolality)>500mOsm/kg(C) 尿素氮和血清肌酸酐的比值(BUN:Cr ratio )>20(D) 尿素排出分率(fractional excretion of urea nitrogen ,FEUrea )<35%
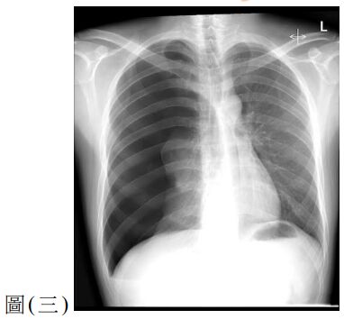
12. 一位 25 歲男性因呼吸困難至急診就醫,主訴 2 天前工作撞擊到右側胸部,胸部 X 光檢查如圖 ( 三 ) ,下列處置何者較適當? (A) 立即給予右側胸管置入引流 (B) 觀察呼吸困難狀況並給予肌肉鬆弛劑 (C) 立即安排胸腔鏡手術治療 (D) 安排胸部電腦斷層檢查確立診斷
13. 一位 68 歲男性因右上腹悶痛 3 天加劇,伴隨噁心,出現黃疸與發燒 ( 38.5 °C ) 而就醫。抽血檢查結果 WBC 16200 / μ L ( neutrophil 87 %,band form 9 % )、CRP 12.8 mg / dL、AST 38 U / L、ALT 45 U / L、total bilirubin 4.5 mg / dL。最有可能之診斷為何?(A) 病毒性肝炎 (B) 細菌性膽管炎 (C) 肝硬化急性發作 (D) 急性胰臟炎
14. 一位 38 歲男性,罹患第二型糖尿病未規則治療,因意識改變就醫。抽血檢查結果血糖980 mg / dL、血清滲透壓 350 mOsm / kg、ketone ( 定量) 0.1 mmol / L、lactate 1.9 mmol / L,動脈血液氣體分析結果pH 7.36、PaCO₂ 41mmHg、HCO₃⁻ 22mmol /L。根據以上數據,最可能的診斷為何?(A) 高滲透壓高血糖狀態 (B) 糖尿病酮酸中毒(C) 高乳酸酸中毒 (D) 正常代謝性酸中毒
15. 下列哪項檢驗最常用於判斷心衰竭嚴重程度的血清指標?(A) Troponin T (B) Myoglobin (C) BNP (D) Lactate
16. 一位 80 歲男性因肺炎併急性呼吸衰竭使用機械通氣 ( mechanical ventilation ) ,護理師發現呼吸器異常警示音、頸部可觸及皮下氣泡聲( crepitus)、呼吸音右側變弱,SpO₂降至86 %。最可能的併發症及最恰當的處置為何?(A) 呼吸器相關肺炎;給予經驗性抗生素治療(B) 氣壓性傷害( barotrauma );通知醫師評估是否需胸管引流(C) 呼吸器脫落導致肺不張;立即重新連接呼吸器(D) 呼吸器異常同步( ventilator dyssynchrony);增加鎮靜劑改善病人適應度
17. 一位 65 歲男性因泌尿道感染併發寒顫與發燒入院,生命徵象為血壓 85 / 50 mmHg、體溫 37.8 ° C、心跳 110 次 / 分、呼吸速率 24 次 / 分,尿量明顯減少。 SpO ₂為 98 %,乳酸值為 4.2 mmol / L。此時,作為專科護理師,下列哪項處置應優先執行?(A) 盡快安排病人立即接受腎臟超音波檢查,查明是否有水腎( hydronephrosis)(B) 給予退燒藥以降低病人不適(C) 快速給予靜脈輸注晶體溶液( crystalloid fluid ) 30mL/ kg以穩定血壓(D) 等待醫師評估後再決定是否使用升壓劑
18. 有關 4 種休克類型的病理機轉,下列敘述何者最適當?(A) 低血容量性休克是因血管阻塞,造成心臟無法有效射出血液(B) 心因性休克的主要機轉是心肌收縮力不足,導致心輸出量下降(C) 阻塞性休克常見於嚴重感染,造成微血管滲透性上升(D) 血管擴張性休克的特徵是前負荷增加,導致周邊灌流過度
19. 一位 72 歲男性因嚴重感染合併意識改變至加護病房治療,平均動脈壓 52 mmHg,依體重給予生理食鹽水輸注 30 mL / kg 後仍呈現低血壓。此時最適合的第一線升壓劑為何?(A) epinephrine (B) dopamine (C) norepinephrine (D) vasopressin
20. 院內心跳停止 ( in - hospital cardiac arrest , IHCA ) 後成功 ROSC ( 恢復自發性循環 ) 之病人,下列處置何者不適當?(A) 常規給予lidocaine防止再次心律不整(B) 維持PaCO₂在35 - 45mmHg(C) 對STEMI病人或高度疑似STEMI病人做PCI治療(D) 將平均動脈壓控制在65mmHg以上
21. 一位58歲男性主訴胸悶、盜汗到急診,十二導程心電圖如圖(四)。目前血壓90/60mmHg、心跳52 次/分,無明顯肺部濕囉音。在等待心導管檢查的同時,下列處置何者不適當?(A) 監測生命徵象、建立靜脈路徑 (B) 給予低流量氧氣支持(若SpO₂<90%)(C) 給予硝酸甘油( nitroglycerin )緩解胸痛 (D) 安排右側心電圖以排除右心心肌梗塞
22. 有關兒童虐待之臨床處置,下列何者最不適當?(A) 小於 2 歲的兒童,需要進行骨折的評估(B) 嬰兒以一張全身的X光檢查可有效判斷骨折的位置,減少輻射的劑量(C) 如果初次診斷不明確,但仍懷疑有骨折時,2 週後可再次骨骼X光檢查(D) 骨折在不同時期的變化,可以提供判斷該處受傷時間的線索
23. 下列何種情境「禁止哺餵母乳」?(A) 新生兒患有苯酮尿症( phenylketonuria ) (B) 母親感染開放性肺結核且已接受治療 3 週(C) 母親感染A型肝炎病毒(hepatitis A virus) (D) 新生兒患有半乳糖血症( galactosemia )
24. 一位住院兒童之基本清潔及營養需求未被滿足,醫護人員經常找不到主要照顧者,此情況應歸類為哪一類型的兒童虐待? (A) 體虐待( physical abuse ) (B) 精神虐待( psychological abuse ) (C) 疏忽照顧( neglect) (D) 遺棄行為( abandonment)
25. 一位 10 歲兒童因罹患骨肉瘤,肺部轉移後病情惡化,正接受支持性治療。近期出現呼吸窘迫與血氧下降,疑似瀕臨死期到來。兒童本人明確表示「不想再插管、不想再痛」,然而其父親仍堅持「要救到底」,拒絕簽署 DNR。下列處置何者最合適?(A) 因兒童未滿20歲,無自主權,醫師應尊重父親意願,不得簽署DNR(B) 兒童具基本理解力,醫師可依其表達簽署DNR,並強制撤銷父親監護權(C) 召開倫理會議並邀請社工、心理師與父親溝通,協助理解兒童意願與病情發展,再共同決策(D) 由醫師依專業評估病情末期,即可逕行簽署DNR,無需經父親或兒童同意
26. 一位2歲半的幼兒因支氣管肺炎住院治療。母親需暫時返家處理家庭事務數小時。醫護人員觀察到孩子情緒劇烈反應,不停哭喊一直要媽媽抱,並拒絕與照護人員互動。依據Erikson的心理社會發展理論,下列護理行為與親職衛教原則何者最適當?(A) 幫助孩子學會控制情緒與行為,避免依附他人產生過度依賴感(B) 鼓勵孩子與醫護人員建立新的信任關係,降低孩子對母親的依賴(C) 接納孩子的焦慮與抗拒,提供一致且有預測性的照顧,以助其發展信任感(D) 建議母親避免頻繁進出病房,以免孩子產生情緒混亂或行為倒退
27. 一位足月出生30小時的嬰兒,出現面部與胸部黃疸。嬰兒目前哺乳情況良好,身體檢查也無其他異常。實驗室檢查顯示總膽紅素(total bilirubin)為18 mg/dL。下列何者處置最適當? (A) 暫停哺餵母乳48小時,改以配方奶補充 (B) 開始照光治療,並進一步鑑別診斷 (C) 等待6小時後再重新檢查血中膽紅素濃度 (D) 持續觀察並於24小時內追蹤血中膽紅素濃度
28. 新生兒出生後,下列何者生理改變最直接導致胎兒循環轉變為新生兒循環?(A) 臍帶切斷後肺部氧合下降 (B) 肺部張開導致肺血管阻力下降(C) 卵圓孔永久閉合 (D) 動脈導管立即關閉
29. 一名出生後15分鐘的新生兒持續發紺,胸腔X光無明顯病灶,SpO₂< 85 %,氣血分析顯示 PaO₂< 50 mmHg。懷疑為新生兒持續性肺高壓 ( persistent pulmonary hypertension of the newborn; PPHN ) ,下列哪幾項檢查結果可支持此診斷? ①超音波顯示左向右分流經卵圓孔或動脈導管 ② 動脈氧分壓對 100 % 氧氣反應良好 ③上下肢血氧差異 >10 % ④心臟超音波顯示肺動脈壓升高 (A) ①② (B) ①④ (C) ②③ (D) ③④
30. 有關原始反射( primitive reflex )消失的時機,下列敘述何者最不適當?(A) 吸吮反射(sucking reflex ):4- 6個月(B) 驚嚇反射(Moro reflex ):3 - 5個月(C) 頸張力不對稱反射( asymmetric tonic neck reflex ):4 - 6個月(D) 降落傘反射( parachute reflex ):10 -12個月
31. 一位 24 天大足月新生兒,採以純母乳哺餵,近日皮膚黃合併大便顏色偏白且尿液顏色偏深黃,至門診診治。下列何者處置最為優先? (A) 為母乳性黃疸,應暫停母乳哺餵 (B) 尿色偏深,以靜脈注射補充水分 (C) 抽血檢驗間接型與直接型膽紅素 (D) 安排經皮肝穿刺檢查
32. 一位剛出生的新生兒,ABG抽血報告如下:pH 7.165、PaCO2 65.6 mmHg、HCO3- 23.1 mEq/L、BE- 6.7 mEq /L 及 SpO2 87.1 %,下列何者為最適當之治療處置?(A) 給予持續性呼吸道正壓輔助 (B) 補充生理食鹽水,矯正酸鹼值(C) 氣管內管插管予以呼吸器輔助 (D) 給予鼻導管氧氣,支持性療法
33. 出生 40 周 3200 公克新生兒,8 天大時因經皮黃疸檢測為 19 mg / dL 而入院。經身體診察, 目前體重3230公克、活力佳、無感染徵象、肝脾無腫大。血中總膽紅素值為19.5 mg/dL,其中 直接型膽紅素值為 0.6 mg / dL,故給予照光治療。有關此嬰兒黃疸原因的後續檢查,下列何者最不重要? (A) 葡萄糖六磷酸鹽脫氫酶缺乏(G-6-PD deficiency) (B) 先天性巨細胞病毒檢查( cytomegalovirus) (C) 直接庫氏試驗( direct Coombs'test) (D) 血液抹片與網狀紅血球數(smear,reticulocyte count)