所屬科目:牙醫學(五)(包括全口贗復學、局部贗復學、牙冠牙橋學、咬合學等科目及其相關臨床實例與醫學倫理)
1.關於腫裂齦瘤(epulis fissuratum)的敘述,下列何者最適當? (A)是一種急性刺激的結果 (B)會干擾假牙邊界延伸 (C)常發生於假牙清潔不良的病人 (D)手術移除是優先的處置
2.關於紅斑性狼瘡(systemic lupus erythematosus)病人的敘述,下列何者錯誤? (A)男性高於女性 (B)多為自體免疫疾病第三型過敏反應 (C)通常因口內皮下發炎使得黏膜無法承載活動義齒 (D)植牙手術可能會有凝血不全的顧慮
3.製作全口義齒時,關於唾液對義齒製作之影響,下列敘述何者錯誤? (A)唾液之流量及黏稠度會影響病人對全口義齒的適應力 (B)口乾症患者義齒之固持力較低 (C)剛剛裝戴新義齒時,出現短暫的唾液流量增加是正常的生理反應 (D)黏稠的唾液有利於全口義齒的裝戴
4.關於頰棚(buccal shelf)的敘述,下列何者正確? (A)構成頰棚支持組織主要為較疏鬆的海綿骨 (B)因分布於義齒後方,無法做為下顎主要應力承載區 (C)其上方平面和咬合力量方向平行 (D)隨著殘嵴的吸收,可動的舌側組織會漸往頰棚上方延伸
5.全口義齒正式印模前,關於軟、硬組織的處理,下列敘述何者最不適當? (A)如果上顎隆凸﹙torus palatinus﹚向後延伸至振動線(vibrating line)時,需要手術移除 (B)正式印模前24小時,病人應避免戴舊義齒 (C)可以在舊義齒內使用組織調理材(tissue conditioning materials),使軟組織恢復健康 (D)在牙齒拔除後約等待一個月使軟組織癒合,為正式印模的最佳時機
6.關於製作全口義齒初步印模(preliminary impression)時的注意事項,下列敘述何者錯誤? (A)無牙的常備模托(stock tray)需比無牙嵴寬約5mm (B)雖然還會有正式印模,邊緣的延伸還是需要儘量準確 (C)低黏稠性(low viscosity)的印模材是最佳選擇 (D)上顎的模托後緣需要覆蓋到上顎粗隆(maxillary tuberosity)
7.製作全口義齒時,關於咬合蠟堤-基底製作與使用的敘述,下列何者錯誤? (A)基底最好用軟性彈性材料增加舒適感 (B)咬合蠟堤可以用來記錄中立區(neutral zone) (C)如果影響排牙,可以磨掉一些基底材料 (D)咬合蠟堤-基底可以用來記錄顎間關係
8.關於全口義齒上下顎門牙排列的敘述,下列何者錯誤? (A)需減少overjet並增加overbite以維持上顎義齒的穩定度 (B)排列下顎門牙時其長軸通常須朝向殘嵴(residual ridge) (C)犬齒的遠心部分(distal half)排列需與後牙配合 (D)隨著年紀增加,病人在說話時會露出越來越多的下顎前牙
9.關於以記錄基底(record base)與咬合蠟堤(occlusal wax rim)決定垂直咬合高度(vertical dimension of occlusion)的敘述,下列何者錯誤? (A)發S音時,如果上、下蠟堤會相互撞擊,有可能是垂直咬合高度太高 (B)發S音時,如果上、下蠟堤會相互撞擊,有可能是記錄基底不穩 (C)如果蠟堤的位置與形態不對,會影響以發音法決定垂直咬合高度的正確性 (D)以發S音比以吞嚥法決定之垂直咬合高度較低
10.全口義齒製作時,對於臉部骨骼屬於後縮顎(retrognathic)或凸顎(prognathic)的下顎排牙, 下列敘述何者錯誤? (A)屬於Angle class Ⅱ division Ⅰ的患者通常需要有明顯的垂直覆蓋(overbite)與水平覆蓋 (overjet) (B)屬於Angle class Ⅱ division Ⅱ的患者通常只需排列4顆小臼齒 (C)屬於Angle class Ⅲ的患者,上顎前牙通常會排成切端對切端(end-to-end)的關係 (D)屬於Angle class Ⅲ的患者,後牙常排成錯咬(crossbite),並且會加深史比曲線(curve of Spee)
11.上顎咬合蠟堤於口內試戴時,需根據下列何者作為唇側輪廓的參考?①牙弓形狀(arch form) ②牙齒大小(tooth size) ③唇支持(lip support) ④臉部外觀(facial contour) (A)①②③ (B)①③④ (C)②③④ (D)①②④
12.製作全口假牙時,如果病人的顎間關係是安格氏第三級咬合關係,下列敘述何者錯誤? (A)下顎嚴重前突(prognathism)狀態下,上、下顎前牙在中心咬合關係可以不接觸 (B)後牙排成錯咬(cross bite) (C)前牙可以排成切端對切端(edge to edge)的咬合關係 (D)由於下顎殘嵴條件比上顎好,所以咬合面高度可以高於臼齒後墊(retromolar pad)的上緣
13.單顎全口活動義齒比起全口活動義齒更不容易達到雙側平衡咬合(bilateral balanced occlusion)最主要的原因為下列何者? (A)樹脂牙的咬頭形態(cusp form)與自然牙相同 (B)樹脂牙的硬度與自然牙不同 (C)缺牙區牙弓形狀與排牙位置符合 (D)自然牙咬合平面可能有高低不平的情況
14.全口活動義齒使用零度牙排牙並要達到平衡性咬合(balanced occlusion),則當病人下顎向左突出時,平衡斜坡(balancing ramp)應該在那裡? (A)上顎左側 (B)下顎左側 (C)上顎右側 (D)下顎右側
15.關於全口義齒使用假牙黏著劑(denture adhesives)的適應症,下列何者錯誤? (A)密合的全口義齒,但是病人對於義齒的固持性(retention)不滿意 (B)有口乾症(xerostomia)的病人 (C)因健康因素不適合植牙的病人,但是病人又想要有比較好的義齒固持性(retention) (D)不密合的全口義齒,但是病人不想要調整或是重新製作義齒
16.全口活動義齒裝置後,對於病人殘嵴的保存與維護,下列敘述何者錯誤? (A)若義齒下組織有受損,建議病人暫時不配戴義齒,讓口腔休息一段時間 (B)若無不適,應告知病人晚上配戴義齒就寢,以讓殘嵴組織適應義齒 (C)若病人未配戴義齒時,應將義齒浸置於水裡,以避免因為乾躁而造成義齒體積改變 (D)病人因疼痛而不配戴義齒,仍建議看診前一天需配戴義齒,這樣牙醫師才能觀察出疼痛點(sore spots)並予以修正調整
17.使用全口義齒之患者,睡前應清潔義齒,之後須如何處理最為適當? (A)取出義齒泡於自來水中 (B)戴著義齒,以促進口腔組織之適應性 (C)取出義齒泡於義齒清潔劑中至少30分鐘 (D)取出義齒並保持於乾燥處
18.關於即裝義齒(immediate denture)術後的照護及對患者的指導,下列敘述何者正確? (A)拔完牙後裝戴的即裝義齒在24小時內不應自口中取出 (B)患者裝戴即裝義齒24小時內如果因為拔牙傷口造成疼痛時,將即裝義齒移除可以減輕疼痛 (C)告知患者拔完牙齒3天後,晚上不可以再持續裝戴即裝義齒 (D)因為拔牙後的軟組織會持續的變化及齒槽骨會吸收,所以術後1至2個月再進行義齒的重置位 (remount)與咬合調整
19.咽帆關閉(velopharyngeal closure)無法形成時,下列敘述何者錯誤? (A)巴沙溫氏嵴(Passavant's ridge)在軟腭(soft palate)切除的病患很明顯,臨床上可以閉孔器 (obturator)來矯正 (B)不會影響吞嚥功能 (C)無法關閉鼻咽(nasopharynx),造成鼻音過重(hypernasality) (D)巴沙溫氏嵴(Passavant's ridge)在嘔吐反射(gag reflex)時很明顯
20.熱聚式聚甲基丙烯酸甲酯(polymethyl methacrylate,PMMA)常用於製作全口義齒之義齒床。有 關此材料之成分與技工室操作,下列敘述何者錯誤? (A)通常製備成粉與液狀兩部分,依廠商指示正確粉液比例很重要 (B)以過氧化苯甲醯(benzoyl peroxide)做為塑化劑 ,放置於粉中 (C)液體之單體(monomer)具揮發性且易燃,並可能是過敏原,必須於通風且安全處做樹脂填充 (D)粉液調拌後置於密閉玻璃盒中,到糰狀期(dough stage)才能取出進行填充
21.壓克力樹脂床(acrylic resin denture base)若出現孔洞(porosity),有關孔洞形成的原因及 形狀之敘述,下列何者錯誤? (A)樹脂填塞時壓力不足,形成大而不規則的孔洞 (B)填塞時材料不足,形成大而不規則的孔洞 (C)樹脂調拌時不當之粉液調拌,導致樹脂聚合收縮不一,形成大而均勻的孔洞 (D)煮聚時溫度上升太快,易在樹脂床較薄處形成細小均勻的孔洞
22.病人決定以植體支持式義齒來替代全口義齒作為治療選項,但是牙醫師卻在執行植體手術時,沒有 進行術前影像分析,而致植體置入後壓迫下齒槽神經。此一行為違背了那一項醫學倫理基本原則? (A)尊重自主原則(the principle of respect for autonomy) (B)不傷害原則(the principle of non-maleficence) (C)行善原則(the principle of beneficence) (D)公平正義原則(the principle of justice)
23.可撤式局部義齒主連接體的適應症,下列敘述何者錯誤? (A)上顎剩餘的自然牙具有足夠的牙周支持且需要較少的額外支持時,主連接體可以選用腭帶 (palatal strap)或是前後腭帶(anteroposterior palatal strap) (B)上顎前牙缺失需要可撤式局部義齒重建時,前後腭帶(anteroposterior palatal strap)與馬蹄 型主連接體(horseshoe connector)皆適用 (C)如果剩餘牙齒的牙周狀況不好時,腭部的覆蓋便應該要相對地增加,建議使用比較寬的腭帶 (palatal strap)或是全腭(complete palate)的設計 (D)有很多適用腭槓(palatal bar)設計的案例
24.可撤式局部義齒主連接體(major connector)的特點與設計要求,下列敘述何者錯誤? (A)足夠的剛性(rigidity)是主連接體的主要需求 (B)在下顎牙弓,主連接體的邊緣應該放置於距離游離牙齦(free gingival margin)最少1 mm處 (C)主連接體的邊緣應儘量與剩餘牙齒的牙齦邊緣平行 (D)當主連接體需要跨越牙齦邊緣時,應儘量以呈90度角方式跨越
25.上顎可撤式局部義齒小連接體(minor connectors),在遠心側基底的延伸,大部分覆蓋範圍應該 比較接近無牙嵴長度 x 的多少? (A)1x (B)3/4x (C)2/3x (D)1/2x
26.下圖可撤式局部義齒設計的間接固位體(indirect retainer)位置之考量,下列何處最為合適? (A)左上第二小臼齒 (B)左上第二大臼齒 (C)右上第二大臼齒 (D)左上犬齒
27.可撤式局部義齒的設計,下列何者需經析量(surveying)的步驟?①牙鈎(clasp) ②無牙嵴區小連接體(minor connector) ③終接線(finishing line) ④鈎靠座(rest seat) ⑤引導面(guiding plane) (A)①②③④⑤ (B)僅①⑤ (C)僅①③⑤ (D)僅①②⑤
28.上顎可撤式局部義齒主連接體(major connector),珠狀緣飾(beading)應在下列何模型完成? ①研究模型(study cast) ②主模型(master cast) ③耐火模型(refractory cast) (A)僅① (B)僅② (C)僅③ (D)①②③
29.關於可撤式局部義齒牙鈎臂(clasp arm)可擔任減壓裝置(stress-breakers)的敘述,下列何者 錯誤? (A)在單一方向具有高度可彎曲性(flexibility) (B)圓、錐形牙鈎形態(round, tapered clasp forms)提供更廣效的可彎曲性 (C)可減少牙齒的接觸且較美觀 (D)具備長的鍛製金屬線(wrought wire)組合牙鈎(combination clasp)
30.Kennedy class I的雙側遠心端游離可撤式局部義齒,其兩側後端對稱支柱牙鈎靠連接形成的水平支點線(fulcrum line),會使得義齒在承受咬合力之後沿著那一個平面發生旋轉? (A)額狀面(frontal plane) (B)矢狀面(sagittal plane) (C)水平面(horizontal plane) (D)引導面(guiding plane)
31.析量時最佳傾斜度的考量,下列敘述何者正確? (A)需尋找最大倒凹區的存在 (B)可保留軟硬組織的干擾 (C)美觀是最主要的考量 (D)建立適當的引導面(guiding plane)
32.關於鈎靠座(rest seat)在可撤式局部義齒的修磨,下列敘述何者正確? (A)鈎靠座的修磨在鄰接面平行修磨之前 (B)預備製作咬合鈎靠座的支柱牙不需在修磨時就計算空間 (C)一般先用8號圓型磨針(round bur)再用6號在底部加深 (D)鈎靠座修磨最常發生的錯誤是修磨太深
33.下列那些工具可放置析量臂中協助析量?①尼氏蠟刀(Ney wax trimmer) ②麥特蠟刀(Matt wax trimmer) ③金尼可倒凹尺(Jelenko undercut guage) ④尼氏倒凹尺(Ney undercut guage) (A)①②③④ (B)僅①③④ (C)僅①②③ (D)僅②③④
34.可撤式局部義齒的咬合,下列敘述何者正確?①最大咬合嵌合位置(maximal intercuspal position)是指牙齒最完整的嵌合位置(complete interdigitation),與髁突位置 (condylar position)有關 ②中心咬合位置(centric occlusion position)是指當下顎髁頭 (mandibular condyles)位於中心關係位置(centric relation position)時,牙齒發生第一次接觸的關係位置 ③牙齒經過適當調整,最大咬合嵌合位置和中心關係位置可以重合 ④中心關係位置是由牙齒與牙齒的關係(tooth-to-tooth relationships)來決定的上下顎關係 (maxillomandibular relationship) ⑤最大咬合嵌合位置是由骨與骨關係(bone-to-bone relationships)決定的上下顎關係 (A)①②③④⑤ (B)僅①③④ (C)僅②③ (D)僅①②④⑤
35.在確定可撤式局部義齒的治療計畫前,印製診斷模型(diagnostic cast)的功用,下列何者錯 誤? (A)在不會損傷模型的前提下可用來製作個別印模托(individual impression tray) (B)對牙弓先進行析量(survey)作為口內修磨(prepartion)前的計畫準備 (C)如果以超硬石膏(die stone)取代牙科硬石膏(dental stone)灌製模型,可用來製作金屬義齒 支架(metal framework) (D)分析咬合過度閉合的程度(degree of overclosure)和咬合間隙(interocclusal space)的量是 否足夠
36.可撤式局部義齒印模時,使用硫醇橡膠印模材(mercaptan rubber base impression materials) 的考量,下列何者錯誤?①有極佳的長時間體積穩定度 ②取模完成後可以直接倒模 ③強度及彈性極佳,可以用於有多處倒凹區之取模 ④精密度高 (A)僅①② (B)僅①③ (C)②③④ (D)①②③
37.關於以藻膠(alginate)取模時,造成模型不精確的敘述,下列何者錯誤? (A)印模材料未與牙托緊密接合 (B)取模後1小時內灌模 (C)過早把模型從印模材分開 (D)倒模時沒有適當的使用震盪器
38.建立可撤式局部義齒的咬合模式(occlusal scheme)時,最重要的原則為何? (A)達成群體功能(group function) (B)在中心關係(centric relation)處應建立最大咬頭嵌合(maximum intercuspation) (C)人工牙必須與殘留自然牙達成協調的咬合 (D)人工牙應儘量避免咬合接觸
39.下列所列的牙齒為上、下顎殘存牙齒的狀態(顎間關係與殘存牙齒的條件都一樣),何者為咬合記錄取得最困難之症例? (A)(B)(C)(D)
40.可撤式局部義齒修復(replacement of denture teeth)的處理步驟,下列順序何者正確?①製作咬合定位基板 ②選擇適當的替代牙齒 ③假牙基底適度舒緩處理 ④替代齒底部修出固位性倒凹 ⑤小毛刷置入自聚修復樹脂 ⑥置入壓力鍋完成樹脂聚合作用 ⑦假牙基底完成修磨與拋光處理 (A)③④①⑤②⑥⑦ (B)⑤③⑥②①⑦④ (C)③④⑤⑥②①⑦ (D)②①④③⑤⑥⑦
41.關於義齒性口炎(denture stomatitis)的敘述,下列何者正確? (A)多半發生在樹脂基底(resin base)下,不常發生在金屬基底(metal base)下 (B)患者經常會抱怨疼痛 (C)受影響之黏膜多會紅腫,但表面平滑 (D)只需局部投與抗黴菌藥物即可治癒
42.有關可撤式局部義齒製作時,組織調理材(tissue conditioner)的使用,下列敘述何者錯誤? (A)可使過度受壓迫的組織恢復 (B)要先去除舊義齒的咬合干擾 (C)要使用足夠的量以保持其緩衝效果(cushioning effect) (D)可在口腔中維持一個月以上
43.可撤式局部義齒金屬支架製作過程中,義齒基底(denture base)覆蓋區若有組織倒凹(tissue undercut)情形時,應進行何種封凹(blockout)? (A)平行封凹(parallel blockout) (B)成型封凹(shaped blockout) (C)任意封凹(arbitrary blockout) (D)不需做任何封凹
44.在設計Kennedy class I可撤式局部義齒,若是支柱牙的牙周支持(periodontal support)不佳而需特別保護,應採用下列何種牙鈎為佳? (A)T 型槓鈎(T-bar clasp) (B)環鈎(ring clasp) (C)阿克斯牙鈎(Akers clasp) (D)鍛製金屬線牙鈎(wrought wire clasp)
45.將鑽針的直軸垂直咬合面進行下顎大臼齒修磨時,通常會造成何處修磨量不足? (A)頰側上半部 (B)頰側下半部 (C)舌側上半部 (D)舌側下半部
46.關於上顎前牙瓷金屬融合牙冠(porcelain fused to metal crown)的敘述,下列何者正確?①唇側面瓷厚度至少需1.2 mm ②切緣瓷厚度至少需1.5 mm ③腭側面瓷厚度至少需1 mm (A)僅①② (B)僅②③ (C)僅①③ (D)①②③
47.對於長中心(long centric)理論的敘述,下列何者錯誤?(A)中心關係與最大咬合嵌合位較少在同一位置 (B)適當的垂直高度下,長中心長度的範圍約0.5 mm到1.5 mm (C)髁頭(condyle)在髁窩(condylar fossa)內先進行水平位移再向下位移 (D)上顎前牙的舌側凹陷較淺
48.檢查下顎離中心(eccentric)運動時,後牙有無接觸,下列那個方法最靈敏?(A)以咬合色紙檢查接觸點 (B)以手指觸診 (C)使用超薄咬合箔片(shimstock)檢查 (D)用咬合蠟片檢查
49.固定補綴物的臨床取模以數位掃描技術與傳統印模相比,下列敘述何者錯誤?(A)取得單顆牙冠模型之精準度與傳統印模相近 (B)需耗費較多時間才能獲取診斷用模型 (C)一般而言,患者之舒適度較高 (D)兩者皆可使用於牙冠之製作流程
50.有關印模材料與單齒模材(die material)的敘述,下列何者正確?(A)樹脂單齒模材(resin die)具有高強度及抗磨損能力,可用於任何印模材料 (B)電鍍齒模材(electroplated die)具有高抗磨損能力,可用於任何印模材料 (C)樹脂單齒模材(resin die)適用於polysulfide及silicone印模材料 (D)樹脂單齒模材(resin die)不適用於polysulfide及hydrocolloid印模材料
51.在製作客製鑄造根柱(custom cast post)時,根柱蠟型包埋前,鑄造環內應放幾層襯裡(liner)為佳? (A)不用放 (B)放一層 (C)放兩層 (D)放三層
52.與傳統牙冠增長術相比,關於生物修形(biologic shaping)的敘述,下列何者正確?(A)增加牙冠對牙根比例(crown to root ratio) (B)100%去除牙齒原有的修形邊緣(existing margin) (C)不改變原有的角化組織(keratinized tissue) (D)術後牙齦下牙根(subgingival root)較難清潔
53.下列何種合金用來製作牙橋時,牙橋連接體(connector)所需的最小截面積最大?(A)Au-Pt-Pd (B)Au-Pd-Ag (C)Pd-Cu-Ga (D)Pd-Ag
54.下列何種修復體最不適合做為固定牙橋的固位體(retainer)?(A)3/4牙冠(three-quarter crown) (B)冠蓋體(onlay) (C)全金屬冠 (D)金屬瓷牙冠(metal-ceramic crown)
55.製作上顎門齒金屬瓷牙冠時,門齒切緣的瓷厚度最多不可以超過多少mm?(A)1.5 (B)2 (C)2.5 (D)3
56.在潮濕的環境中,水會在瓷裂紋尖端和瓷產生化學變化,而導致瓷裂痕加大,此一現象稱為下列何種疲乏(fatigue)? (A)動態 (B)靜態 (C)壓力 (D)動力
57.關於製作臨時性固定補綴物的敘述,下列何者錯誤?(A)製作過程全部在模型上完成時,樹脂中的單體(monomer)不會接觸到牙齒及牙齦,可減少組織破 壞的機會 (B)在口內製作時,樹脂的聚合作用(polymerization)會放出很多熱量,容易造成牙髓的不可逆傷害 (C)製作過程全部在模型上完成的補綴物,其強度比直接在口內完成的強很多,且不易變形 (D)製作過程全部在模型上完成的補綴物,其邊緣密合度(marginal fit)比直接在口內完成的差
58.根據Rosenstiel SF的研究,最好看的上顎正中門齒的寬度/高度比(width/height ratio)約為多少? (A)61%~63% (B)68%~70% (C)75%~78% (D)85%~89%
59.關於人工植牙手術前放射線學檢查的敘述,下列何者錯誤?(A)全景放射線攝影可能有5%~35%的尺度誤差 (B)使用錐狀射束電腦斷層掃描(CBCT)的放射線暴露劑量較傳統電腦斷層掃描少 (C)電腦斷層掃描可提供立體測量 (D)後牙區的頰舌寬度可透過全景放射線攝影的結果來測量
60.製作上顎正中門牙人工植體牙冠時,為獲得適當的emergence profile,植體頂端平台(platform)與牙冠露出軟組織位置(emergence position)之間的理想距離為多少mm? (A)0.5~1.0 (B)1.5~2.0 (C)2.5~3.0 (D)3.5~4.0
61.關於牙橋徑距長(span length)的敘述,下列何者錯誤?(A)過長可能會造成瓷剝落、連接體斷裂、固持體鬆脫、牙齒動搖或不利的軟組織反應等影響 (B)前牙使用兩顆橋體相較於後牙兩顆橋體的長期預後較佳 (C)跨牙弓的牙橋可藉由分段的方式,使用key and keyway來提高假牙製作的精準度 (D)在其他條件一樣的情況下,相較於一顆橋體,兩顆橋體可能會帶來四倍的形變量,同理,三顆橋體 會帶來高達九倍的形變量
62.下列何者不屬於贋復牙科診斷指數(Prosthodontics Diagnostic Index)的分類四(classIV)? (A)垂直高度需要重建 (B)口腔癌放射線治療患者 (C)3~5個六分儀(sextant)單位有缺牙 (D)上下顎運動障礙(maxillomandibular dyskinesia)
63.和研磨模型(milled cast)相較,下列何者不是製作3D列印模型(3D-printed cast)的優點?(A)比較精確 (B)比較輕 (C)比較省時 (D)產生廢棄物較少
64.下列何者最不可能造成鑄件上出現多顆小球狀突起?(A)沒有使用真空調拌機混合包埋材 (B)以筆刷法塗覆包埋材時操作不當 (C)鑄模溫度不足 (D)包埋前,於蠟型上塗覆的表面作用劑不足
65.燒瓷前焊接法(preceramic application soldering)焊接金屬瓷牙固定式義齒的敘述,下列何者正確? (A)使用低熔點銲劑 (B)使用瓦斯-氧焊槍(gas-oxygen torch)操作 (C)和燒瓷後焊接法相較,外觀較為自然是燒瓷前焊接法比較容易達成的優勢 (D)此法對高金含量合金不易產生凹陷(sag)
66.關於磷酸鋅黏合劑的敘述,下列何者正確?(A)最小的薄膜厚度約為35 μm (B)多餘的黏合劑容易移除 (C)彈性係數較複合樹脂高 (D)溶解度較玻璃離子體黏合劑低
67.臨床檢查時,下列肌群何者通常最不會進行壓痛檢測?(A)二腹肌(digastric muscle) (B)胸鎖乳突肌(sternocleidomastoid) (C)肩胛提肌(levator scapulae) (D)腭帆提肌(levator veli palatini)
68.有關顳顎韌帶(temporomandibular joint ligament)的敘述,下列何者錯誤?(A)與關節囊(capsule)不易區分 (B)可分成不同走向的纖維帶(band) (C)可限制髁頭(condyle)向前方的移動量 (D)可限制工作側(working side)髁頭的側方移動能力
69.關於中樞神經系統的敘述,下列何者錯誤?(A)腦幹(brainstem)是三叉神經核(trigeminal nucleus)主要分布的位置 (B)丘腦(thalamus)與處理大腦、小腦與腦幹間的溝通有關 (C)下視丘(hypothalamus)的活動與交感神經系統(sympathetic nervous system)有密切關聯 (D)咀嚼的節律運動模式主要由大腦運動皮質(motor cortex)掌控
70.關於肌緊張度(muscle tonus)的意涵與調控,下列敘述何者錯誤?(A)伸張反射(stretch reflex)對維持提顎肌(elevator muscles)的肌張力有重要影響 (B)腦皮質與腦幹的活動影響肌張力,主要是透過提高γ傳出纖維(gamma efferent)的活動來影響梭 內肌纖維(intrafusal fibers) (C)當梭內肌纖維收縮時,使得肌梭較為敏感,較少的伸長即可引發反射 (D)當梭內肌纖維收縮時,使得肌梭的靜止期(silent period)較長,肌肉較不易收縮
71.對於葉片量尺(leaf gauge)的描述,下列何者正確?(A)可測量垂直高度(vertical dimension) (B)可協助取得中心關係(centric relation)位置 (C)可評估肌肉收縮(muscle contraction)力量 (D)可評估顳顎關節側方位移(side shift)
72.有關記錄臨床靜止位置(clinical rest position)的敘述,下列何者正確?(A)為建立全口義齒咬合垂直高度的起始參考 (B)病患斜躺45度角,頭需有適當的支撐 (C)要求病患發「阿」音之後,放鬆下顎以取得 (D)在取得姿勢性靜止位置(resting postural position)後,減去約2~4 mm後取得
73.關於半調節咬合器的敘述,下列何者錯誤?(A)多數的設計可以接受面弓轉移、前突運動的咬合記錄 (B)若使用個別化的前突與側向運動紀錄的設計,即可避免誤差 (C)使用側向咬合記錄可以調整咬合器關節髁頭的角度(angulation)與傾斜(inclination)程度 (D)半調節咬合器可分為髁關節型(arcon type)與非髁關節型(nonarcon type)兩種
74.關於下顎運動的敘述,下列何者錯誤?(A)下顎往右側運動時,右側為工作側(working side) (B)非工作側的關節髁被內翼肌往前和往內拉動 (C)工作側的關節髁以垂直軸(vertical axis)進行旋轉 (D)非工作側顳顎關節之解剖形態允許發生側移
75.下列何者不屬於肌電圖(electromyography)在咬合領域上的運用?(A)生物回饋治療(biofeedback) (B)顎反射(jaw reflex) (C)關節彈響(clicking) (D)磨牙症(bruxism)
76.有關咀嚼肌壓痛(tenderness)的敘述,下列何者錯誤?(A)此肌為肌炎狀態 (B)可以是過久的中央神經系統過度激化(central hyperexcitability)造成 (C)顳顎關節發炎亦可能使咀嚼肌肉呈現疼痛 (D)原發性頸椎受傷亦可能使咀嚼肌肉呈現疼痛
77.下列症狀何者最不是顳顎障礙症的共病(comorbid)?(A)急性肝炎 (B)偏頭痛 (C)慢性下背痛 (D)纖維肌痛
78.關於穩定型咬合板(stabilization splint)的覆蓋程度,下列敘述何者正確?(A)製作於上顎的咬合板應該完全覆蓋所有牙齒,以確保最佳效果 (B)咬合板應該只需要覆蓋後牙,以減少不必要的接觸 (C)咬合板的覆蓋程度對其功能沒有實質影響 (D)下顎缺牙較多,特別是後牙缺失,應考慮製作下顎咬合板
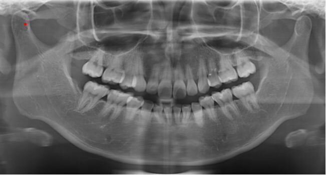
79.所附X光片右側髁頭(condyle)上之紅色圓點標示處,最可能的解剖位置為下列何者?(A)髁頭的內側 (B)髁頭的外側 (C)髁頭的前側 (D)髁頭的後側
80.下顎門牙的投射疼痛最可能來自那一條肌肉?(A)顳肌(temporalis m.) (B)咬肌(masseter m.) (C)內翼肌(medial pterygoid m.)(D)二腹肌(digastric m.)