所屬科目:胸腔科
12. 圖一是肺功能檢查之呼氣流量-容積曲線 (flow-volume curve),那一條曲線是代表阻塞性疾病? (A) 1 (B) 2 (C) 3 (D) 4 (E) 2,3
13. 一位20歲原來健康的男性,突然發生自發性氣胸,其胸部X光如圖二所示。試問該給予何種治療? (A) 從左下肋間插入胸管引出空氣。 (B) 從左上肋間以細針抽出空氣。 (C) 只需靜養,一周後再照胸部X光。 (D) 立即吸入100%氧氣,促進空氣吸收。 (E) 立即注射膠連劑,連合肋膜。
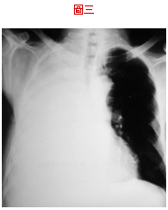
14. 有一男性病人,62歲,從某醫學中心轉來住院,主訴呼吸困難,帶來的報告是肋膜積液細胞學為腺癌,胸部X光如圖三,請問下列何種步驟為最優先? (A) 插入胸管引流,減輕症狀。 (B) 插入 pig tail 細管引流。 (C) 用針抽水,每天不超過1000毫升。 (D) 做超音波檢查,看看有無腫瘤。 (E) 做支氣管鏡檢查,看支氣管是否堵塞。
15. 一位45歲女性因咳嗽發燒來診,胸部X光如圖四,請問下列那一步驟最為適當? (A) 做痰之抗酸性染色。 (B) 做痰之細胞學檢查。 (C) 再照一張右側面胸部X光片。 (D) 給予cephalosporin口服。 (E) 給予macrolide口服。