所屬科目:心臟科
1. 最有可能的診斷是: (A) 心絞痛。 (B) 急性下壁心肌梗塞。 (C) 急性前壁心肌梗塞。 (D) 急性側壁心肌梗塞。 (E) 不穩定型狹心症合併心臟衰竭。
2. 承上題,病人在30分鐘內即住院,由急診推床住入加護病房,使用氧氣,靜脈點滴注射中。檢視並選擇正確的處置如次(1) 靜脈點滴Nitroglycerin。(2) 大方注射(Bolus IV injection)γt-PA 15 mg,後50 mg/30分,餘35 mg於1小時注射完畢。(3) 使用舌下口服Nifedipine 10 mg。(4) 注射靜脈Dopamine 7.5 ug/kg/min。 (A) (1)+(2)+(3) (B) (2)+(3)+(4) (C) (3)+(4) (D) (1)+(3) (E) (2)+(4)
3. 承上題,經過處置,病情穩定,血壓128/82 mmHg,心跳86/min,意識清楚,心音清晰,未有S3 or S4。生化檢查Troponin I > 100,CKMB 248 U,CK 6058 U,Cholesterol 280 mg/dL,TG 78 mg/dL,HDL-C 28 mg/dL,LDL-C 164 mg/dL。根據實證醫學,此時的處置應包括那些:(1) Aspirin 80 mg qd。(2) Digoxin 0.25 mg qd。(3) Fenofibrate 100 mg tid。(4) Captopril 6.25 mg tid。(5) Metoprolol 50 mg qd。 (A) (1)+(2)+(3) (B) (2)+(3)+(4) (C) (3)+(4)+(5) (D) (1)+(3)+(5) (E) (1)+(4)+(5)
4. 病人之心臟病診斷為: (A) 僧帽瓣狹窄。 (B) 僧帽瓣閉鎖不全。 (C) 主動脈瓣狹窄。 (D) 主動瓣閉鎖不全。 (E) 三尖瓣閉鎖不全。
5. 承上題,本病人最正確的處置方式為: (A) 僧帽瓣整型術。 (B) 僧帽瓣置換手術。 (C) 主動脈瓣置換手術。 (D) 主動脈瓣整型手術 + 僧帽瓣置換術。 (E) 主動脈瓣 + 僧帽瓣置換術。
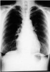
6. 僧帽瓣狹窄的胸部X光,如另 附圖一,常可見的影像有:(1) 主動脈影擴大。(2) 肺動脈影擴大。(3) 左心房擴大。(4) 右心室擴大。(5) 左心室擴大。 (A) (1)+(2)+(3) (B) (2)+(3)+(5) (C) (1)+(3)+(5) (D) (2)+(4)+(5) (E) (2)+(3)+(4)
7. 下列心律不整(如圖示),電器去顫術( electric cardioversion)有效的有: (A) (1)+(2)+(4) (B) (1)+(3) (C) (2)+(3) (D) (3)+(4) (E) (1)+(2)+(3)+(4)
8. 頸靜脈怒張之病態,可在何種疾病出現:(1) 三尖瓣閉鎖不全。(2) 心縮性心包膜炎(constrictive pericarditis)。(3) 主動脈瓣閉鎖不全。(4) 擴大性心肌症。 (A) (1)+(2)+(3) (B) (1)+(2)+(4) (C) (1)+(3) (D) (2)+(4) (E) (2)+(3)+(4)
9. 在會診處置時的最可能診斷是: (A) 冠狀動脈病合併心肌缺氧。 (B) 風濕性心臟病併心臟衰弱。 (C) 肺動脈栓塞症。 (D) 擴大性心肌病。 (E) 正常心臟。
10. 承上題,此本病人的立即而有效處置有:(1) 使用IV nitroglycerin。(2) 緩慢靜脈注射digoxin 0.25 mg + 5% Glucose in water 20 cc。(3) 使用肺動脈內注射血栓溶解劑。(4) 注射furosemide 20 mg IV。(5) 使用靜脈注射dopamine 5.0 μg/kg/min。 (A) (1)+(2)+(3) (B) (2)+(3)+(4) (C) (2)+(4) (D) (3)+(5) (E) (4)+(5)
11. 有關內皮細胞的功能下列何者為非? (A) 調節(control)血管鬆緊狀態(vessel tone)。 (B) 控制(control)血小板附著。 (C) 控制單球細胞(monocyte)附著。 (D) 控制血管平滑肌增生。 (E) 以上皆是。
12. 下列敘述中何者為非? (A) 心輸出量(cardiac output)取決於心速率(heart rate)、前負荷(preload)、後負荷(afterload)及心肌收縮力(contractility)。 (B) 主動脈壓(血壓)取決於心輸出量、系統血管阻力(systemic vascular resistance)以及左心房壓。 (C) 脈壓(pulse pressure)取決於心動容積(stroke volume)與動脈順應性(arterial compliance)。 (D) 心肌氧氣需求量取決於心速率、心肌收縮力及心壁張力(myocardial wall tension)。 (E) 以上皆是。
13. 在下列出現崩跳脈(bounding pulse)情況中,何者與其他四項之機轉不同? (A) 45歲男性患有嚴重主動脈瓣閉鎖不全。 (B) 28歲女性患有甲狀腺機能亢進。 (C) 12歲男童有大開放性動脈杄管(large patent ductus arteriosus)。 (D) 22歲以往健康男性發燒,體溫39.8℃。 (E) 78歲女性血壓為168/88 mmHg,無其他心血管疾病。
14. 有關心臟黏液瘤(myxoma),下列何者為非? (A) 為最常見之原發性心臟惡性腫瘤。 (B) 病人可能昏厥或猝死。 (C) 可能以發燒表現。 (D) 心臟聽診,雜音可能因體位改變而有所變化。 (E) 心臟超音波為最好的診斷工具。
15. 在acute coronary syndrome,下列何者昇高時預後較差? (A) SGOT。 (B) CPK-MB。 (C) Troponin I或T。 (D) ESR。 (E) C-reactive protein。
16. 在下列頸靜脈壓上昇情況,在何項尚可小心使用利尿劑? (A) 心包囊填塞(cardiac tamponade)。 (B) 慢性閉鎖性心包囊炎(chronic constrictive pericarditis)。 (C) 下壁心肌梗塞合併右心室梗塞。 (D) 心衰竭病人經使用利尿劑後尚有腳腫,但有起坐性頭暈及低血壓。 (E) 以上皆適合使用利尿劑。
17. 一名35歲女性因心悸、嚴重呼吸困難於急診求診,理學檢查發現病人端坐呼吸,意識尚屬清晰,血壓92/70 mmHg,手腳冰冷,有發紺現象,心臟檢查胸骨左緣有收縮期搏起(parasternal lift),第一及第二心音亢進,無雜音,肺部有瀰漫性囉音,ECG如圖 所示。除了供與氧氣外,最適當之處理為? (A) 靜脈注射digoxin。 (B) 靜脈注射dopamine。 (C) 靜脈注射verapamil。 (D) 靜脈注射adenosine。 (E) 電擊(electrical cardioversion)。
18. 一名56歲男性因高血壓長年服用乙型交感神經抑制劑,因呼吸困難、腳腫及全身無力感住院,理學檢查發現病人呼吸窘迫,意識尚清晰、血壓94/70 mmHg,心速率每分鐘 66且規則,手腳冰冷稍微發紺,頸靜脈壓約20公分水柱,左心室擴大而搏動減弱、無雜音,肺野下半部有囉音。心電圖除左心室肥大外無特殊變化,胸部X光顯示左心室擴大、上肺野血管顯像粗大(cephalization),心超音波圖顯示左心室擴大且收縮不良、心舒張末期容量估計為180 cc,心射出率(ejection fraction)為25%,手指pulse oximeter顯示氧氣飽和度為92%,血色素(hemoglobin)為13.0g/dL,血清Na為132 meq/L。下列敘述何者為非? (A) 此病人之肺靜脈及毛細管壓因左心室舒張壓增高而上昇。 (B) 其心輸出量低,約為3.0 L/min。 (C) 全身氧氣輸送量低,約為480 cc/min。 (D) 此病人之血管內容量(intravascular volume)及間質組織容量(interstitial volume)增加。 (E) 此病人之細胞內水量明顯增加。
19. 對上述病人而言,欲增加心輸出量及氧氣輸送量,下列治療中何者最有效? (A) 利尿劑。 (B) 硝酸鹽(nitrates)。 (C) 轉化 (D)Dopamine。 (E) Isoproterenol(Isuprel)。
20. 對嚴重主動脈瓣狹窄與阻塞性肥厚性心肌病兩者之敘述何者為正確?(1) 兩者有相似之臨床表現,包括呼吸困難、狹心症、昏厥及猝死。(2) 兩者頸動脈搏動顯示延遲上頂(slow upstroke)。(3) 右者心電圖顯示左心室肥大。(4) 在後者收縮期雜音在作Valsalva動作時及站立時變大,蹲下時變小。(5) 心衰竭時兩者皆可使用digoxin治療。 (A) (1)+(3)+(4) (B) (1)+(2)+(5) (C) (3)+(4)+(5) (D) (1)+(2)+(3) (E) 以上全正確。
21. 何者為正確?(1) 此為最常見之持續性頻脈(sustained tachycardia)。(2) 脈搏大小不一,其中以第10脈搏最強。(3) 人如無心肺疾病更應考慮甲狀腺機能亢進。(4) 第一心音大小不一,但亢進時應懷疑主動脈瓣狹窄。(5) 高頻電燒療法(radiofrequency ablation)對此類頻脈尚未確立其地位。 (A) (1)+(2)+(3) (B) (1)+(3)+(5) (C) (2)+(3)+(5) (D) (1)+(2)+(4) (E) 全正確。
22. 上題病人心速率(ventricular rate)每分鐘約為130,病人亦有氣喘病,欲控制心速率,下列何種藥物不適當?(1) digoxin(2) propranolol(3) verapamil(4) nifedipine(5) amiodarone (A) (2)+(4) (B) (4)+(5) (C) (2)+(4)+(5) (D) (2)+(3)+(4) (E) 全部為適當之藥物。