所屬科目:胸腔科
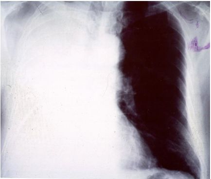
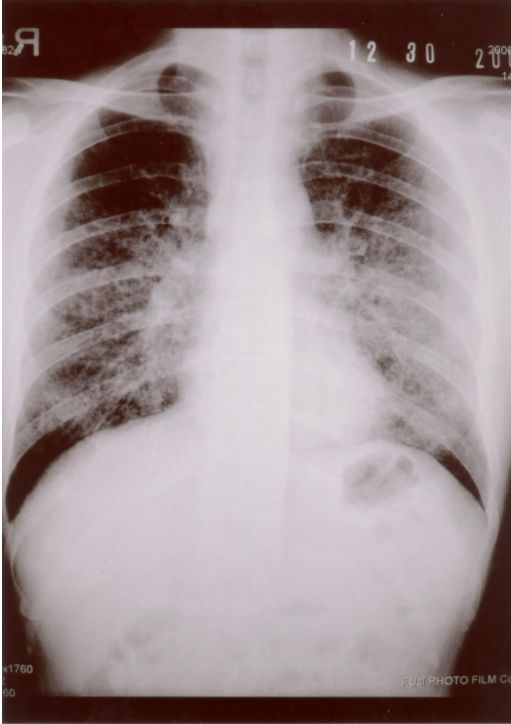
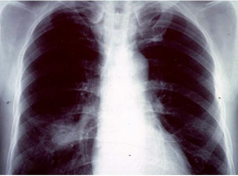
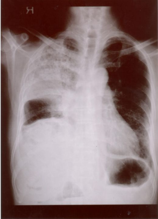
13. 39歲男性有多重性伴侶,因持續發燒及體重減輕3公斤,而且逐漸感到呼吸困難而入院,身體檢查發現口腔有白色珠菌 (Candida)感染,胸腔 X光如圖35 ,血液檢查結果: HIV Test :陽性、血液淋巴球比率: 8%、 CD3:34% 、CD4:0.2%、 CD8:36% 、CD19:4%,肺部灌洗液檢出囊胞蟲(Pneumocystis carinii),下列敘述何者為真?a. 囊胞蟲肺炎 ( Pneumocystis carinii pneumonia ) 典型表現為兩側肺門旁之浸潤,很快迅速進展成瀰漫性兩側肺部浸潤b. AIDS合併囊胞蟲肺炎患者的死亡率為單獨感染囊孢蟲肺炎者之三倍c. 所有囊胞蟲肺炎患者均需住院治療d. 大部HIV合併囊胞蟲肺炎病患的症狀均為突發性咳嗽,高燒而無呼吸困難症症狀e. Trimethoprium-Sulfamethoxazole仍為治療及預防囊蟲肺炎之首選藥物