所屬科目:消化科
5. 病人就醫時主訴自前一天開始感到腹痛,吃下東西馬上感到腹脹。理學檢查發現其腹部柔軟,腸音 (bowel sound)為hyperactive,敲之則 tympanicity增高。站立所照之腹部X光 (plain abdomen)呈現如圖所示。其診斷最可能為下列何者? (A) 消化性潰瘍穿孔 (B) 急性膽囊炎 (C) 急性胰臟炎 (D) 急性小腸阻塞 (E) 急性大腸阻塞
14. 一位一向健康中年男性,因解黑便至急診。近日中,他因打球扭傷而服用Ibuprofen。心跳85下/分,血壓124/76mmHg,有上腹壓痛,血色素10.5mg/dl。內視鏡顯示如附圖,有關此病人之處理,何者正確? (A) 此病人很可能再度出血 (B) 因此病人使用NSAID,幽門螺旋桿菌的測試不重要 (C) 此病人可以離院,告知其停用Ibuprofen,使用proton pump inhibitors(PPI) (D) 此病人以入重症加護病房為宜 (E) 此病人在10週後應再做一次內視鏡,以確定痊癒
15. 一位41歲婦人,因兩個月前在健檢中心中被診斷出有肝腫瘤而就診。她因年逾不惑而做例行健診並無症狀。在先前的健檢中,已知肝功能完全正常,沒有B型或C型肝炎。她平常使用口服避孕藥。身體檢查無異常發現。在本院安排MRI檢查,報告是血管瘤(cavernous hemangioma) 如附圖一及圖二 ,大小與先前報告相同。以下建議何者最適當? (A) 追蹤檢查,使用CT或MRI,每3個月定期追蹤 (B) 排定時間做切片檢查以確定診斷 (C) 定期以胎兒蛋白αFP抽血追蹤 (D) 停用口服避孕藥 (E) 勸病人安心,不需再做進一步檢查
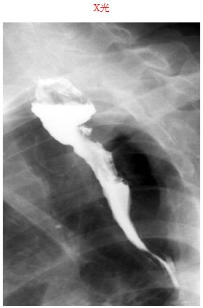
17. 一位54歲男性國中老師,一般健康狀況良好。近日中,吞時候會感到胸痛,但沒有體重減輕現象。其胸部X光及心電圖均正常。安排上消化道檢查,結果如附圖,下列何者正確? (A) 這是食道癌,應安排胸部CT Scan (B) 這是食道憩室,病人可有食物反芻現象 (C) 這是食道運動性障礙可以安排24小時PH監測 (D) 這是瀰漫性食道收縮(diffuse esophageal spasm),與其生活壓力有關 (E) 這是逆流性食道炎的一種表現,可先以質子幫浦抑制劑(PPI)治療。