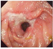
18. 50歲的女性因上腹痛接受上消化道內視鏡檢查並做了病理切片(如圖A及B所示),全身電腦斷層和骨髓檢查發現除了胃以外並無任何異常,請問最適合的初步治療為何?
(A) subtotal gastrectomy with BII anastomosis (B) chemotherapy with cyclophosphamide, doxorubicin, oncovin and prednisolone (C) triple therapy with proton pump inhibitor, clarithromycin & amoxicillin (D) target therapy with sunitinib (E) radiotherapy