阿摩線上測驗
登入
首頁
>
臨床牙醫學(一)(包括齒內治療學、牙體復形學、牙周病學)
> 95年 - 95-2 專技高考_牙醫師:臨床牙醫學(一)(包括齒內治療學、牙體復形學、牙周病學)#80393
95年 - 95-2 專技高考_牙醫師:臨床牙醫學(一)(包括齒內治療學、牙體復形學、牙周病學)#80393
科目:
臨床牙醫學(一)(包括齒內治療學、牙體復形學、牙周病學) |
年份:
95年 |
選擇題數:
80 |
申論題數:
0
試卷資訊
所屬科目:
臨床牙醫學(一)(包括齒內治療學、牙體復形學、牙周病學)
選擇題 (80)
有關於牙根內吸收(internal resorption)的敘述,下列何者正確? (A)早期由外觀即可發現 (B)可發生在牙根的任何部位 (C)持續進行 (D)病人有疼痛現象
2 關於牙髓病檢查,下列敘述何者錯誤? (A)選擇性麻醉試驗(selective anesthesia test)可用以區分疼痛來自於上顎還是下顎的牙齒 (B)雷射杜普勒血液流器(laser Doppler flowmetry)是藉由偵測牙髓內的血流,來檢查牙髓活性 (C)在眾多冷溫試驗(cold test)的方法中,使用氯乙烷(ethyl chloride)會比使用乾冰(carbon dioxide snow)所得的結果更準確 (D)進行熱測試(heat test)時,使用熱水浴法(hot water bath)可以得到最準確的結果
3 關於牙根切削穿孔(stripping perforation),下列敘述何者錯誤? (A)多發生於根管入口時 (B)比直接穿孔難以修補 (C)經常造成發炎,導致牙周囊袋形成 (D)可使用三氧礦聚合物(mineral trioxide aggregate)修補
4 有關急診牙痛病友之緊急處理原則何者錯誤? (A)若無法確定原因時,寧可不做任何牙科處理 (B)若時間許可,對齒髓炎病例施行徹底的根管清創是最好的方法 (C)若為牙髓壞死且無膿腫產生,只做冠髓切除,即可解除大部分之疼痛 (D)若為牙髓壞死且有膿腫擴散之虞時,緊急處理完後應給予抗生素
5 下列有關牙髓組織型態之說明何者錯誤? (A)單位面積所排列的造牙本質細胞(odontoblast)數目,牙冠部較牙根部多 (B)牙冠部造牙本質細胞(odontoblast)較成柱狀,牙根部則較扁平 (C)多細胞區(cell-rich zone)介於造牙本質細胞層(odontoblast layer)與無細胞區(cell-free zone) 之間 (D)無細胞區(cell-free zone)中常見有小微血管與神經纖維
6 隨著牙髓老化或受齲齒、牙齒磨損、覆髓之影響,牙髓中之纖維母細胞有何變化? (A)細胞變大,數目增加 (B)細胞變小,數目增加 (C)細胞變大,數目變少 (D)細胞變小,數目變少
7 有關根尖囊腫(cyst)的敘述,下列何者正確? (A)手術摘除後若殘留囊腫上皮片斷較易造成囊腫復發 (B)所謂真性囊腫(true cyst)指的是該囊腫腔已與根管相通 (C)根尖囊腫多半屬於惡性的(malignant) (D)根尖囊腫最好都作造袋術(marsupialization)處理,成功率較高
8 有關老人牙髓病學,下列敘述何者正確? (A)年老牙髓組織有較長的神經分枝 (B)年老牙髓組織其神經及神經髓鞘會礦物化(mineralization) (C)根管治療的成功率,在老年人身上較差 (D)盡量以牙髓覆蓋(pulp capping)方式來治療老人的牙齒
9 有關根尖肉芽腫(periapical granuloma),下列敘述何者錯誤? (A)為慢性發炎細胞 (B)組織和齒槽骨緊密結合,不會因拔牙而脫落 (C)組織病理學上可見肉芽腫性組織(granulomatous tissue) (D)有時可見形成的上皮組織栓塞在根尖孔(apical foramen)
10 下列何種情況必須做根管治療? (A) Type Ⅲ dens invaginatus,且電髓活性測試 EPT(+) (B)根尖牙周骨硬化(Periapical osteosclerosis) (C)內吸收(Internal resorption) (D)裂齒症候群(Cracked tooth syndrome)
11 有關內毒素(endotoxin)的敘述,下列何者錯誤? (A)在細菌死亡分解時會釋放出來 (B)會被 Ca(OH)2水解掉 (C)與人體內內皮細胞及巨噬細胞產生交互作用而致病 (D)屬於 intracellular vesicles
12 下列何種藥物最適合用於恆齒之根尖成形術(apexification)? (A)蟻醛甲酚合劑(formocresol) (B)氫氧化鈣(calcium hydroxide) (C)戊二醛(glutaraldehyde) (D)硫化鐵(ferric sulfate)
13 下列有關馬來牙膠錐(gutta-percha cone)的敘述,何者錯誤? (A)根管充填用馬來牙膠錐是 β 態 (B)當加熱溫度上升至 46℃,會由 β 態轉為 α 態 (C)當加熱溫度上升至 54℃到 60℃,會轉變為無晶形(amorphous) (D)正常冷卻速率下,會轉變為 α 態
14 牙髓病根尖手術中使用甲基藍的目的不包括下列那一項? (A)確定牙根尖完整切除 (B)確定牙根有否斷裂 (C)確定封填有否隙漏 (D)可阻止上皮細胞形成長接合上皮(long junctional epithelium)
15 下列何者為目前組織相容性最好的根尖手術逆充填材料? (A)汞齊 (B) IRM (C) Super EBA (D) MTA(mineral trioxide aggregate)
16 在牙髓病治療中常找不到根管開口之主要原因為何? (A)未以橡皮障(rubber dam)防濕隔離 (B)根管內鈣化 (C)牙髓腔開擴不足 (D)不規則的根管入口
17 牙根穿孔(perforation)預後最差的位置是: (A)根尖三分之一 (B)中三分之一 (C)冠部三分之一 (D)預後與位置無關
18 牙髓炎中那種補體可促進白血球的趨化作用(chemotaxis)? (A) C1 (B) C2a (C) C3a (D) C5b
複選題
19 下列有關牙髓功能之說明何者錯誤? (A)牙髓因受到齲齒或外傷而產生牙本質是為第三級牙本質形成(tertiary dentinogenesis) (B)牙髓對外來刺激所產生的牙本質與生理狀況所合成之牙本質,於結構與阻絕外來刺激上的作用是 相同的 (C)緊鄰在牙本前質(predentin)的內側是一層無細胞區(cell-free zone) (D)在牙髓顯微結構上無細胞區(cell-free zone)內側有一層多細胞區(cell-rich zone)
20 有關牙髓細胞的敘述何者錯誤? (A)牙冠與牙根部的造牙本質細胞(odontoblast)都是柱狀(columnar)形態 (B)纖維母細胞(fibroblast)是牙髓中主要細胞之一 (C)牙髓中的未分化(undifferentiated)細胞主要分布在多細胞區(cell-rich zone)與血管周圍 (D)造牙本質細胞(odontoblast)的活性愈強,細胞內的胞器一般來說亦較多
21 下列有關基底膜(basement membrane)之描述何者錯誤? (A)於牙齒發育過程中,存在內上皮(inner epithelium)與間葉組織(mesenchyme) (B)基底板(basal lamina)是由表皮細胞合成 (C)基底板(basal lamina)中主要含有 laminin,heparan sulfate 與第一型膠原蛋白(type I collagen) (D)基底膜之成分會隨著牙胚之發育程度而有所改變
22 對於發生半脫臼(subluxation)損傷的牙齒,下列何者不是緊急處置的項目? (A)不同角度的 X-光片檢查(angled radiographs) (B)敏感測試(sensitivity test) (C)檢查咬合 (D)根管治療
23 下列有關氫氧化鈣(calcium hydroxide)的敘述,何者錯誤? (A)使用螺旋渦針(lentulo spiral)將氫氧化鈣稀泥(slurry)帶入根管的方向為順時針旋轉 (B)氫氧化鈣可水解細菌脂多醣(lipopolysaccharide)成分 (C)在水中的溶解度高 (D)具有溶解牙髓組織的能力
24 有關根柱(post)的功能之敘述,下列何者正確? (A)防止牙齒斷裂 (B)提供冠心(core)的固持性 (C)加強牙根與牙冠間的強度 (D)防止牙齒垂直斷裂
25 在除去銀針(silver point)時,使用超音波(ultrasonics)震盪的目的為何? (A)將銀針周圍的糊劑震碎 (B)降低牙髓腔內的底部,使銀針露出 (C)將銀針打碎以便容易取出 (D)為了使銀針鬆動,直接將超音波針頭接觸在銀針上
26 下列有關牙髓病灶與牙周病灶的說明何者錯誤? (A)牙髓病變有時會造成牙周組織的破壞 (B)牙周病灶有時會造成牙髓組織的病變 (C)牙髓病灶與牙周病灶可獨立存在 (D)牙周病灶不會造成牙髓組織的病變
27 鄰接面牙釉質表面齲蝕通常位於: (A)接觸區上(at the contact area) (B)接觸區的顏面方向(facial to the contact area) (C)接觸區的舌面方向(lingual to the contact area) (D)接觸區的牙齦面方向(gingival to the contact area)
28 在良好光源及乾燥和潔淨的牙齒環境下,溝裂齲齒病灶的偵測最常靠下列何者? (A)尖銳的探針 (B)視診(visual inspection) (C)咬翼放射攝影 (D)組織切片檢查
29 下列那一種溶液,清除塗抹層(smear layer)的效果最好? (A)過氧化氫(Hydrogen peroxide) (B)窩洞清潔劑(Tubulicid) (C)聚丙烯酸(Polyacrylic acid) (D)過氧尿素(Carbamide peroxide)
30 下列何者不是增加牙齒表面黏著(bonding)的方法? (A)酸蝕牙釉質表面 (B)使牙齒產生不規則的表面 (C)牙齒表面處理,增加黏著的接觸角度(contact angle) (D)清除表面塗抹層(smear layer)
31 複合樹脂充填前,酸蝕牙釉質可使用何種物質? (A) 5%硫酸 (B) 30%磷酸 (C) 5%硝酸 (D) 30%檸檬酸
32 那一種窩洞壁(cavity wall)的命名,在前牙中是不存在的? (A)軸壁(axial wall) (B)髓壁(pulpal wall) (C)牙齦壁(gingival wall) (D)舌側壁(lingual wall)
33 關於橡皮障潤滑劑(lubricant)之使用,下列何者錯誤? (A)使用水溶性潤滑劑為佳 (B)也可使用刮鬍膏 (C)可塗於橡皮障之兩面 (D)也可使用凡士林
34 下列何種類型的複合樹脂材,經磨光後表面最為平滑(smooth)? (A)巨粒(macrofill)樹脂 (B)中粒(midifill)樹脂 (C)小粒(minifill)樹脂 (D)微粒(microfill)樹脂
35 前牙五級窩洞的牙齦面延伸至牙根面窩洞的窩緣角(cavosurface angle)應為多少度? (A) 45 度 (B) 90 度 (C) 120 度 (D) 180 度
36 三級窩洞在修形固位溝(retention groove)時,下列鑽針(bur)何者最適合? (A) 1/4 號圓形鑽針 (B) 1/2 號圓形鑽針 (C) 1 號圓形鑽針 (D) 330 號鑽針
37 複合樹脂的彈性係數(modulus of elasticity)愈高,表示材料: (A)剛硬性(rigidity)愈高 (B)可彎曲性(flexibility)愈高 (C)愈適合用於第五級窩洞填補 (D)物理性質愈像微粒(microfill)樹脂
38 關於複合樹脂的聚合收縮(polymerization shrinkage),下列敘述何者錯誤? (A)聚合收縮是樹脂在臨床使用上最大的困擾 (B)自凝聚合和光照聚合樹脂其聚合收縮的方向相同 (C)分層填入可減少聚合收縮的影響 (D)牙齒和樹脂鍵結表面愈多,聚合收縮影響愈大
39 傳統玻璃離子體黏合劑的反應過程中,反應開始的酸鹼值(pH)約為: (A) 1.0 (B) 3.0 (C) 5.0 (D) 7.0
40 關於高銅汞齊合金,下列何者正確? (A)銅的重量百分比大於 23 % (B)銅的重量百分比大於 12 % (C)銅的體積百分比大於 23 % (D)銅的體積百分比大於 12 %
41 下列何種情況最不適合選用金合金嵌體(gold inlay)作復形治療? (A)第二級窩洞(class II cavity)同時侵犯近遠心邊緣嵴 (B)近心窩洞之牙齦邊緣(gingival margin)已延伸至牙齦下 0.5 mm (C)第一級窩洞頰舌側延伸範圍大於二分之一咬阜間距(intercuspal width)且小於三分之二咬阜間距 (D)第二級窩洞同時侵犯頰側溝及舌側溝(buccal and lingual grooves)
42 牙本質的抗張強度(tensile strength)約為: (A) 20MPa(3000 PSI) (B) 40MPa(6000 PSI) (C) 60MPa(9000 PSI) (D) 80MPa(12000 PSI)
43 以嵌體復形(inlay restoration)而言,下列那一種材質的嵌體製作與鄰近牙齒的形態雕塑和組織生物 的相容或咬合功能的調適最貼切? (A) Resin (B) Ceramic (C) Gold (D) Porcelain
44 下列何者不是隱性齲齒(incipient caries)的特徵? (A)牙釉質表面實際上是完整的 (B)牙釉質表面下為多孔性 (C)以壓縮空氣吹乾牙齒,會呈現不透明的白色 (D)氟化物並不能使此齲齒病灶復原
45 關於牙本質表面處理後的變化,下列敘述何者錯誤? (A)去礦化會改變牙本質的表面自由能量 (B)以雷射處理,會減少牙本質可黏著(bondable)的無機質 (C)微刷耗(microabrasion)可強化牙本質與塗抹層之間黏著系統的黏著功能 (D)以雷射處理,可增加微機械性的固位效果(micromechanical retention)
46 下列關於 C-factor 的敘述,何者正確? (A)是指樹脂充填於窩洞時,未黏著面/黏著面的比值 (B) C-factor 越大,表示充填的緻密度越高 (C) C-factor 越大,表示樹脂聚合時流動之代償性越大 (D) C-factor 越大,表示樹脂聚合後的收縮應力越大
47 關於窩洞外形(outline form)的建立,下列那一項敘述正確? (A)初期外形(initial outline form)在齲蝕未開始清除之前就需決定 (B)必須先決定固位形(retention form)及抗力形(resistance form)後,才能決定窩洞外形 (C)先決定充填材料,才能做窩洞外形的修形 (D)清除齲蝕的牙本質及相關的牙釉質後,才能進行窩洞外形的建立
48 前牙的第五級窩洞修形,鑽針伸入牙髓方向的深度由原來正常之牙表面算起最多不得超過多少 mm? (A) 0.2~0.65 (B) 0.8~1.25 (C) 1.4~1.85 (D) 2.0~2.45
49 後牙複合樹脂充填時所應考慮的因素不包括下列何者? (A)以複合樹脂進行咬頭修復(cuspal replacement) (B)操作區的牙齒便於橡皮障隔離 (C)窩洞修形不超過咬頭間距離(intercuspal distance)的 1/3 (D)第二類型窩洞修形時牙齦向的窩緣面邊緣(gingival cavosurface margin)應有完整的牙釉質
50 若固定的木楔底部高於窩洞牙齦緣,可能造成: (A)邊緣密貼 (B)鄰接面外形過於凹陷 (C)鄰接面外形過於突出 (D)邊緣嵴(marginal ridge)過高
51 對於美白材料 10%碳酸醯胺過氧化物(carbamide peroxide),當其適度分解後,相對約含有多少% 之過氧化氫? (A) 1% (B) 3% (C) 5% (D) 7%
52 由於使用漂白劑時,牙釉質上殘留的氧會抑制樹脂硬化,因此牙齒漂白後至少需多久後才可以填補 複合樹脂? (A)一天 (B)三天 (C)一星期 (D)兩星期
53 骨骼的氫氧磷灰石(hydroxyapatite)組成約占多少%? (A) 40 (B) 50 (C) 60 (D) 70
54 下列何者不屬於牙齦纖維群(gingival fiber groups)? (A) gingivodental fibers (B) circular fibers (C) transseptal fibers (D) alveolar crest fibers
55 下列何者並非因年齡增加而對牙周組織造成的影響? (A)牙齦角化程度減少 (B)牙周韌帶(periodontal ligament)的寬度減少,只剩下約為 0.5 mm 寬 (C)位於齒根部的牙骨質(cementum)厚度會增加 (D)骨生長修復的能力減緩
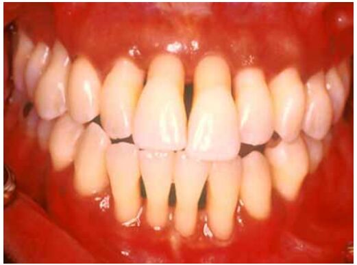
56 下圖是一位二十歲健康女性牙周炎患者。她最有可能屬於那一類牙周炎?
(A)侵犯性牙周炎 (B)頑固型牙周炎 (C)慢性牙周炎 (D)愛滋病牙周炎
57 承上題,依 Kinane 與 Lindhe 牙周發炎病理機轉的分類,下顎正中門牙齒間牙周組織若送切片檢查, 最有可能看到的發炎細胞是: (A)多形核中性白血球 (B) B 型淋巴球 (C)漿細胞(30%)+多形核中性白血球 (D)漿細胞(>50%)+多形核中性白血球
58 下列兩敘述之正確情形為何?①同年齡之牙周病患若診斷為侵犯性牙周炎,其預後較慢性牙周炎差 ;②因為侵犯性牙周炎會有大量牙菌斑及牙結石 (A)①②均正確 (B)①②均不正確 (C)①正確,②不正確 (D)①不正確,②正確
59 抽菸為牙周病之風險因子,原因是其可能會造成下列何種免疫功能之失常? (A)白血球趨化功能減緩 (B)牙齦溝液中膠原蛋白酶量減少 (C)前列腺素 E2 產量減少 (D)白血球數目減少 代號:3103 頁次:8-7
60 牙膏中的何種成分可減少牙齦上牙結石的形成? (A) chlorhexidine (B) triclosan (C) pyrophosphates (D) fluoride salt
61 下列何種病患不適合使用氣磨方式(air-powder polishing)磨亮? (A)須要控制鉀鹽吸取量的病患 (B)須要控制鈉鹽吸取量的病患 (C)須要控制鈣吸取量的病患 (D)須要控制碘吸取量的病患
62 操作牙根整平術時,下列敘述何者錯誤? (A)手握器械方式與操作器械磨利時相同 (B)最常以 ring finger 作指靠(finger rest) (C)操作下顎後牙時,指靠(finger rest)常置於上顎牙 (D)操作上顎後牙時,指靠(finger rest)常置於口外
63 多顆牙齒需作根向移位翻瓣手術(apically displaced flap)時,使用何種縫合法(suture)較佳? (A)連續縫合法(continuous suture) (B)垂直褥墊式縫合法(vertical mattress suture) (C)骨膜縫合法(periosteal suture) (D)間斷齒間縫合法(interrupted interdental suture)
64 下列關於牙釉基質蛋白(enamel matrix proteins)的敘述何者錯誤? (A)主要成分為牙釉質形成素(amelogenins) (B)使用 Emdogain 不會引起牙根吸收或黏連 (C)它無法防止上皮細胞牙根方向移動 (D)誘導無細胞牙骨質(acelluar cementum)形成
65 下列定義何者錯誤? (A) Peri-implant mucositis 是一種可逆性的植體周邊黏膜的發炎反應 (B) Peri-implantitis 是一種發炎過程而影響在功能下的骨整合植體周邊的組織,並導致支持骨的喪失 (C)牙周再生手術中所謂的 osteoinductive 是直接有骨形成在移植物(grafted material)的周邊軟組織中 (D)牙周再生手術中所謂的 osteoconductive 是移植物除了提供一骨形成的架構,亦可直接促進新骨形成
66 下列關於游離牙齦移植手術(free gingival graft)的敘述何者錯誤? (A)移植第二天,移植體(graft)與受植區會產生微血管接合的現象 (B)一層薄薄新上皮在移植後第四天出現 (C)其表皮將來是否會角質化,取決於其底部淺層結締組織 (D)移植後 24 週,收縮量最大
67 關於游離結締組織移植手術(connective tissue graft)與游離牙齦移植手術(free gingival graft)之比 較,下列敘述何者錯誤? (A)游離結締組織移植手術,術後供給部位(donor site)疼痛較少 (B)游離結締組織移植手術有較佳的比色(color match) (C)游離結締組織移植手術其供給部位進行第二期傷口癒合(secondary intention wound healing) (D)游離結締組織攜帶有基因信息(genetic message),可使黏膜變成角化
68 若牙周病已進入支持性牙周治療第一年,而患者牙齒有牙根叉侵犯及牙冠牙根比例不良,則需多久 時間定期回診? (A) 1 星期 (B) 1-2 個月 (C) 3 個月 (D)半年
69 臨床長期研究發現,囊袋探測深度>5 mm 時,下列何種治療降低探測深度的效果最好? (A) modified Widman flap (B) scaling and root planing (C) osseous resective surgery (D) gingivectomy
70 牙齦切除術(gingivectomy)後牙齦完全癒合需時幾週? (A) 1 (B) 2 (C) 3 (D) 4~5
71 有 cerebrovascular accident 既往病史之牙周病病患,當進行牙周治療時,一次最多不應超過幾個 小時? (A) 1 (B) 2 (C) 3 (D) 4
72 下表為四位病患的資料,其中何者的牙周病風險度最高?
(A)甲 (B)乙 (C)丙 (D)丁
73 承上題,若發生於同一病患,牙周狀况最難維護之牙齒為: (A)#21 (B)#16 (C)#11 (D)#43
74 承上題,牙齒若發生於同一病患,牙周狀况最佳之牙齒為: (A)#21 (B)#16 (C)#11 (D)#43
75 65 歲男性病患,有心律不整病史,15 年前裝有心律調整器,病患需洗牙,則下列處置何者較為適當? (A)先給予預防性抗生素,為減少菌血機會或牙齦傷害,應使用磁極伸縮超音波 (B)先給予預防性抗生素,但不適宜使用磁極伸縮超音波 (C)不須給予抗生素,也不適用磁極伸縮超音波 (D)不須給予抗生素,但為減少菌血機會或牙齦傷害,應使用磁極伸縮超音波
76 植體周圍組織組成與牙周組織最相似的是: (A)接合上皮 (B)造纖維細胞數量 (C)膠原蛋白纖維走向 (D)血管系統
77 對於螢光顯微鏡的檢查方法,下列敘述中何者錯誤? (A)不只辨認特殊菌種的存在,亦可在直接製作的抹片中將該菌的存在比例量化 (B)對於辨識細菌的能力與培養(culture)的結果相當 (C)對於 A. actinomycetemcomitans(A. a)的辨識,其敏感度高達 82~100% (D)由於是利用免疫反應的檢查方法,需要是活菌方可得到精確的結果
78 比較抽菸者和未抽菸者的牙周臨床疾病表徵,則下列何項敘述是錯誤的? (A)前者有較深的牙周囊袋 (B)前者有較多的牙周附連體喪失 (C)前者有較多的齒槽骨破壞 (D)前者有較嚴重的牙齦出血
79 下列何者存在時最容易引起牙周組織破壞? (A)咬合不整 (B)牙齒間存在有 open contacts、plunger cusp (C)牙齦下牙菌斑 (D)咬合傷害
80 下列那類疾病與白血球缺陷無關? (A) aggressive periodontitis (B) necrotizing periodontal disease (C) leukocyte adhesion deficiency (D) periodontal-endodontic combined lesion
申論題 (0)
相關試卷
97年 - 97-2 專技高考_牙醫師:臨床牙醫學(一)(包括齒內治療學、牙體復形學、牙周病學)#48667
97年 · #48667
96年 - 96-1 專技高考_牙醫師:臨床牙醫學(一)(包括齒內治療學、牙體復形學、牙周病學)#49929
96年 · #49929