阿摩線上測驗
登入
首頁
>
胸腔科
> 96年 - 96 內科專科醫師考試筆試題:胸腔科#97042
96年 - 96 內科專科醫師考試筆試題:胸腔科#97042
科目:
胸腔科 |
年份:
96年 |
選擇題數:
22 |
申論題數:
0
試卷資訊
所屬科目:
胸腔科
選擇題 (22)
1. 一位37歲女性一個月來呼吸困難逐漸明顯,胸部X光如圖所示,應先採取下列何種處置?
(A) 先抽胸水(30-50ml)送檢 (B) 放引流管將水一次抽完並送檢 (C) 做胸部電腦斷層,看是否有腫瘤 (D) 做肋膜生檢(切片)送病理學檢查 (E) 先試用2-3天的口服利尿劑
2. 下列情況可能引起肺部之脂肪栓塞(fat embolism),何者除外: (A) 長骨骨折 (B) 減肥抽脂(liposuction) (C) 軟組織受傷 (D) 癌症併骨骼轉移 (E) 嚴重燒傷
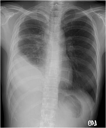
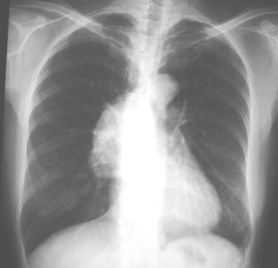
3. 一位60歲男性,長期咳嗽有痰,走路時會喘,聽診顯示左肺呼吸音較小,胸部X光如圖所示。請問他罹患何種疾病?
(A) 氣管狹窄 (B) 心臟衰竭 (C) 左肺氣腫 (D) 左肺下葉扁塌 (E) 氣喘病
4. 48歲男性被診斷為肺結核而接受藥物治療中 (INH、RIF、 PZA、 EMB),他也是B型肝炎帶原者,請問治療中需要注意血中何種數值變化?a.Alanine aminotransferase(ALT)b.Aspartate aminotransferase(AST)c.Total bilirubind.d.Uric acide.e.Creatinine (A) a + b + c + d (B) a + b + d + e (C) a + c + d + e (D) b + d + e (E) b + c + d + e
5. 下列藥物引起的肺毒性反應通常是間質性病變,何者除外: (A) Amiodarone (B) Bleomycin (C) Aspirin (D) Procainamide (E) Methotrexate
6. 一位42歲男性陳述咳嗽二個月之久,胸部X光如圖所示,請問下一步優先採取的檢查為何?
(A) 痰抹片查抗酸菌及培養分枝桿菌 (B) 痰抹片做革蘭氏染色及培養一般細菌 (C) 查血清人類免疫不全病毒(HIV) (D) 做胸部高解析度電腦斷層(HRCT) (E) 做支氣管鏡檢查,必要時做切片檢查
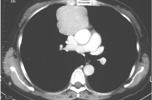
7. 一位67歲女性因略有呼吸困難和輕微胸痛求診,胸部影像如圖(圖a,圖b)所示,就此影像學之判讀為何?
圖a
圖b
(A) 肺腫瘤 (B) 胸腺瘤 (C) 胸內甲狀腺腫 (D) 神經瘤 (E) 右肺中葉扁塌
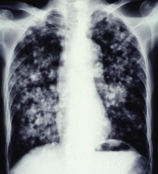
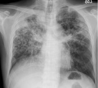
8. 一位57歲男性,主訴體重減輕、呼吸困難和輕微咳嗽,來診時體溫正常,胸部X光如圖所示,最像是何種診斷?
(A) 粟粒性結核(miliary TB) (B) 癌症之血行性散播 (C) 癌症之淋巴管蔓延 (D) 煤礦工人之塵肺症 (E) 隱球菌(Cryptococcus)感染
9. 一位33歲婦女罹患氣喘病數年,目前以吸入合併劑型Budesonide 100 μg / Formoterol 4.5μg 早晚各一劑 ,控制良好,她擔心類固醇的副作用,想要降階治療,下列何者不適合? (A) Budesonide 100μg qd (B) Fluticasone 100μg qd (C) Formoterol 4.5 μg qd (D) Salbutamol 100μg / Budesonide 100μg p.r.n. (E) Loukotriene modifier
10. 下列有關肺結核病之敘述,何者正確? (A) 所謂多重抗藥性(MDR)是指對任何三種藥以上有抗藥性者 (B) 目前標準之第一線治療是HERZ 3個月,然後HER 6個月 (C) 第一線治療藥中 Ethambutol最少引起肝毒性 (D) Isoniazid 引起肝毒性之機率,年輕人高於老年人 (E) 正面胸部X光正常者,即可排除罹患肺結核病的可能性
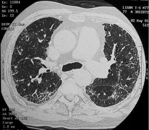
11. 一位66歲男性,主訴呼吸困難有二個月,胸部影像如圖(圖a,圖b)。他的肺功能檢查結果可能顯示何種變化?
1. VC正常或↑ , 2. RV ↑ , 3. RV/ TLC ↓ , 4. FEV1 / FVC 正常或↑ , 5. DLco ↓
圖a
圖b
(A) 1 + 3 (B) 1 + 4 (C) 2 + 4 (D) 2 + 5 (E) 4 + 5
12. 下列何者是氣喘病和慢性阻塞性肺病(COPD)的共同特徵? 1. 氣流阻滯, 2.支氣管黏膜的發炎細胞 3. β2-agonists 可緩解症狀, 4.口服類固醇可改善肺功能, 5. 常有過敏體質 (A) 1 + 2 (B) 1 + 3 (C) 3 + 4 (D) 2 + 5 (E) 4 + 5
13. 一位72歲男性罹患慢性阻塞性肺病(COPD)多年,因症狀急速惡化來急診,動脈血氣體分析顯示:PaO2 56 mmHg, PaCO2 53mm Hg, pH7.31,由鼻管給予氧氣 5 L/min,一小時後,其血液氣體的變化可能為: 1. PaO2 ↑, 2. PaO2 ↓, 3. PaCO2 ↓, 4. PaCO2 ↑, 5. pH ↓, 6. pH ↑ (A) 1+3+5 (B) 1+3+6 (C) 1+4+6 (D) 1+4+5 (E) 2+3+5
14. 肺氣腫(pulmonary emphysema)病人之理學檢查,下列何者不正確? (A) 叩診(percussion)時呈現叩響增強(hyperresonant) (B) 震顫聲(fremitus)增強 (C) 呼吸音減弱 (D) 聲音傳導減弱 (E) 可出現哮喘聲(wheezing)
15. 胸部X光呈現瀰漫性肺泡病變(diffuse alveolar disease)之胸腔疾病,下列何者除外? (A) Cardiogenic pulmonary edema (B) Acute respiratory distress syndrome (C) Sarcoidosis (D) Idiopathic pulmonary fibrosis (E) Diffuse alveolar hemorrhage
16. 呼吸道阻塞病患之肺功能變化,下列何者不正確? (A) 全肺量(TLC)正常或增加 (B) 肺餘量(RV)增加 (C) 肺活量(VC)降低 (D) 小呼吸道阻塞可能呈現FEF25-75%降低但FEV1/FVC正常 (E) 最大吸氣壓(MIP)降低
17. 住院治療之社區肺炎(community-acquired pneumonia),下列哪種病原菌最常見? (A) H. influenzae (B) C. pneumoniae (C) S. pneumoniae (D) M. pneumonia (E) Viruses
18. 根據2006年版之台灣肺炎診治指引,治療高抗藥性(>4 mg/mL)肺炎球菌社區肺炎之首選抗生素,下列何者除外? (A) 第三代cephalosporins (B) 第四代cephalosporins (C) Vancomycin (D) Fluoroquinolones (E) Teicoplanin
19. 下列何種情況最可能表示結核病治療失敗? (A) 抗結核藥物治療半個月,痰塗片仍為陽性 (B) 抗結核藥物治療四個月,痰培養仍為陽性 (C) 抗結核藥物治療四個月,病患仍有咳血 (D) 抗結核藥物治療六個月,病患仍有咳嗽 (E) 完治後六個月,痰塗片呈示陽性
20. 一位45歲男性病人因最近三天持續發燒至38.5度,咳嗽帶黃色膿痰,及右側胸痛,引發間歇性呼吸困難而到急診求診。胸部X光呈現右上肺葉浸潤性病灶與中度右側肋膜積水。下列何者需要胸管引流治療? (A) 肋膜液LDH:血清LDH >0.6 (B) 肋膜液Gram's stain發現細菌 (C) 合併肺炎 (D) 肋膜液pH<7.3 (E) 肋膜液之白血球中淋巴球比例>50%
21. 有關治療抗藥性肺結核病的原則,下列何者正確?1. 若發現治療無效時,應再加入一種未曾使用過的抗結核藥物2. 具多重抗藥性時,需使用至少三種以上敏感之抗結核藥物3. 可考慮外科手術切除主要病灶部份,再接受完整抗結核病藥物治療4. 需治療至培養結果轉陰性12個月後才可考慮停藥5. 不適合使用都治(DOTS)治療 (A) 1+2+3 (B) 2+3+4 (C) 1+3+5 (D) 1+4+5 (E) 2+3+5
22. 氣喘病人急性惡化入院後之治療,下列何者正確?1. 吸入乙二型交感神經興奮劑或加抗乙烯膽鹼劑(Ipratropium)2 .使用吸入型類固醇3 .氣管插管或呼吸器治療4 .氧氣供應5 .注射aminophylline (A) 1+2+3 (B) 2+3+4 (C) 1+3+4 (D) 2+3+5 (E) 1+4+5
申論題 (0)
相關試卷
108年 - 108 內科專科醫師甄審試卷:胸腔科#81215
108年 · #81215
107年 - 107 內科專科醫師考試筆試題:胸腔科#75101
107年 · #75101
106年 - 一0六年度內科專科醫師考試筆試題 -- 胸腔科#77072
106年 · #77072
105年 - 105年內科專科醫生-胸腔科#59773
105年 · #59773
104年 - 一○四年度內科專科醫師考試筆試題 -- 胸腔科#76760
104年 · #76760
103年 - 一○三年度內科專科醫師考試筆試題 -- 胸腔科#77291
103年 · #77291
102年 - 一○二年度內科專科醫師考試筆試題 -- 胸腔科#77332
102年 · #77332
101年 - 一百零一年度內科專科醫師考試筆試題 -- 胸腔科#76750
101年 · #76750
100年 - 一百年度內科專科醫師考試筆試題 -- 胸腔科#76744
100年 · #76744
99年 - 99年內科專科醫生-胸腔科#59933
99年 · #59933