阿摩線上測驗
登入
首頁
>
重症呼吸治療學
> 97年 - 97-1 專技高考_呼吸治療師:重症呼吸治療學#38408
97年 - 97-1 專技高考_呼吸治療師:重症呼吸治療學#38408
科目:
重症呼吸治療學 |
年份:
97年 |
選擇題數:
80 |
申論題數:
0
試卷資訊
所屬科目:
重症呼吸治療學
選擇題 (80)
1. 下列有關 ARDS 之敘述,何者錯誤? (A) 死亡率約為 40~60%(B) ARDS 診斷以臨床表徵為主要依據(C) 早期使用類固醇,對敗血症引起 ARDS 極有功效(D) 病況恢復後,肺部多半無太大後遺症
2. 將急性肺損傷的病人置於俯臥姿勢時,其胸壁的 compliance 會: (A) 增加,改善潮氣容積分布的均勻性(B) 下降,改善潮氣容積分布的均勻性(C) 增加或下降,均有可能(D) 其變化對潮氣容積的分布沒有影響
3. 有關俯臥通氣(prone position ventilation)之敘述,下列何者錯誤? (A) 在 ARDS 可改善肺部通氣-灌流狀態而增進 PaO
2
(B) Prone position 時胸壁(chest wall)的 compliance 可顯著提升 position 改善 PaO
2
之能力在肺外性(extrapulmonary)ARDS 較肺性(pulmonary)(C) Prone ARDS 為佳(D) Prone position 對 PaCO
2
影響不大
4.ARDS 病患使用高頻振動通氣(high frequency oscillatory ventilation),呼吸器設定為: FiO
2
=0.5,f=5Hz,Ti=33%,driving pressure=40 cm H
2
O。動脈血氣體分析為 pH 7.2, PaCO
2
68 mm Hg,PaO
2
80 mm Hg。下列設定何者較合理? (A)先調高 f 到 7Hz (B)先調高 driving pressure (C)先降低 Ti 到 20% (D)不用調整
5使用呼吸器的 ARDS 病患,呼吸器設定為 ACMV,FiO
2
=0.45,f=16/min,VT=650 mL (體重為 75 公斤),PEEP=5 cm H
2
O。動脈血氣體分析為 pH 7.48,PaCO
2
30 mm Hg, PaO
2
80 mm Hg。則下列設定,何者較為合理? (A)調高 PEEP (B)增加 V
T
(C)降低 f (D)降低 FiO
2
6.ARDS 屬於非心因性肺水腫之一,下列何者不是其與心因性肺水腫的差異? (A)心臟大小 (B)肺動脈楔狀壓 (C)胸部 X 光影像分布 (D)有無肋膜積液
7下列何者不是 ARDS 的病理生理變化(pathophysiologic change)? (A)造成肺部順應性(compliance)下降 (B)造成氣道阻力(resistance)下降 (C)造成肺循環阻力增加 (D)造成肺內分流(intrapulmonary shunting)增加
8就大部分的 ARDS 病人而言,optimal PEEP(positive end expiratory pressure)大多落於 何範圍? (A)4-7 cm H
2
O (B)8-15 cm H
2
O (C)16-25 cm H
2
O (D)>25 cm H
2
O
9. 下列何者不是靜水力學性肺水腫(Hydrostatic pulmonary edema)的可能原因? (A) 左心室衰竭 (B) 腎衰竭 (C) 過度補充輸液(excessive fluid overload) (D) 吸入性肺炎
10. 下列何者是 ARDS 的臨床特徵? (A) 病人的肺受傷害時,就有呼吸困難的症狀 (B) 孩童不會發生 ARDS (C) 吸入胃內容物是引起 ARDS 的主要原因之一 (D) 栗粒性結核(miliary tuberculosis)不致於導致 ARDS
11. 慢性阻塞性肺病病患接受侵襲性呼吸器治療的適應症,下列何者錯誤? (A) 接受非侵襲性呼吸器治療失敗者 (B) 重度呼吸性酸血症(pH<7.25,PaCO
2
>60 mm Hg) (C) 合併有休克或心衰竭 (D) 合併有肋膜積液
12. 下列何種支氣管擴張劑於 COPD 急性發作時,可以每隔 30 至 60 分鐘使用? (A) 口服短效乙二型交感神經興奮劑 (B) 吸入性短效乙二型交感神經興奮劑 (C) 吸入性抗膽鹼藥物 (D) 靜脈注射茶鹼
13. COPD 急性呼吸衰竭病人使用呼吸器,其吸氣流速設定以下列何者為佳? (A) 10 L/min (B) 20 L/min (C) 40 L/min (D) 60 L/min
14. 根據未使用氧氣時之動脈血氣體分析,下列那兩位病患須考慮氣管內插管並使用呼吸 器?① 30 歲氣喘病人,pH:7.22,PaO
2
:65 mm Hg,PaCO
2
:58 mm Hg ② 18 歲氣喘 病人,pH:7.48,PaO
2
:65 mm Hg,PaCO
2
:34 mm Hg ③ 57 歲 COPD 病人,pH:7.38, PaO
2
:65 mm Hg,PaCO
2
:58 mm Hg ④ 74 歲 COPD 病人,pH:7.28,PaO
2
:50 mm Hg, PaCO
2
:70 mm Hg (A) ①③ (B) ②④ (C) ①④ (D) ②③
15. 下列何者與呼吸器相關肺炎(ventilator associated pneumonia)之產生相關性最低? (A) 病菌由口咽部吸入 (B) 病菌由氣管內管之 cuff 旁滲入 (C) 附著於氣管內管內壁之病菌經由氣管抽吸(suction)時帶入 (D) 經由污染的中央系統氧氣吸入
16. 欲使吸入之藥物有效達到肺部,最適合的藥物顆粒大小為何? (A) <2μm (B) 2~5μm (C) 20μm (D) 50μm
17. 下列何種導管在加護病房的胸部 X 光最不容易看清楚? (A) 中心靜脈導管(central venous catheter) 共 17 頁,第 3 頁 (B) 周邊置入中心導管(peripheral inserted central catheter) (C) 肺動脈導管(pulmonary artery catheter) (D) 主動脈幫浦(intra-aortic balloon pump)
18. 下列何種疾病會產生 transudative 肋膜積液? (A) 食道破裂 (B) 肺炎 (C) 心衰竭 (D) 急性胰臟炎
19. 急診室有一 30 歲嚴重肺病患者,在 room air 之情況下,動脈血液氣體分析之結果顯示, PaO
2
:60 mm Hg,PaCO
2
:110 mm Hg,pH:7.20。下列何者最不可能? (A) 病人有 hypoxemia (B) 病人有嚴重 CO
2
之增加 (C) 病人有呼吸性酸中毒 (D) PaO
2
和 PaCO
2
值是合理的
20. 慢性阻塞性肺病產生呼吸衰竭造成肺過度擴張(overdistension) ,經使用支氣管擴張劑和 延長吐氣時間使肺容積下降後,肺血管阻力的變化為何? (A) 上升 (B) 下降 (C) 不變 (D) 不一定
21. 關於壓力支持性通氣(PSV)的敘述,下列何者正確? (A) 病人無自發性呼吸時仍能使用 (B) 壓力支持無法有效克服呼吸道阻力 (C) 吸氣時間與流量主要決定於呼吸器 (D) 除了壓力設定外,病人的呼吸用力程度也會影響潮氣容積
22. 關於亞急性照護(subacute care)之對象,下列何者錯誤? (A) 曾經歷過急性病程 (B) 治療過程尚未定案 (C) 需要診斷性或侵襲性步驟 (D) 病情仍需醫師時常訪視
23. 關於碳水化合物(carbohydrate)之敘述,下列何者正確? (A) 牛奶、果汁屬多醣類(polysaccharide) (B) 穀類玉米屬簡單碳水化合物(simple carbohydrates) (C) 不易消化之纖維素屬複雜碳水化合物(complex carbohydrates) (D) 高碳水化合物飲食應從單醣類(monosaccharide)獲得
24. 居家使用低濃度氧氣之病患想增加活動力,應選擇下列何者? (A) 鼻管及壓縮氧氣鋼瓶 (B) 經氣管氧氣治療(TTOT)及可攜式液態氧系統 (C) 鼻管及氧氣濃縮機 (D) 經氣管氧氣治療(TTOT)及氧氣濃縮機 歲男性,因發燒、膿痰、呼吸喘促到院。理學檢查顯示:意識清晰,血壓 140/60mm Hg,
25.77 歲男性,因發燒、膿痰、呼吸喘促到院。理學檢查顯示:意識清晰,血壓 140/60mm Hg, 心跳 90 次/min,呼吸速率 28 次/min,呼吸有喘鳴,四肢略有發紺,下肢微水腫。在未 使用氧氣的情形下,動脈血液氣體分析數據如下:pH 7.37,PaCO
2
47 mm Hg,PaO
2
55 mm Hg。則下列何者為不適切的治療?(A) 給予氧氣 (B) 氣管插管及插管後處置 (C) 支氣管擴張劑 (D) 抗微生物製劑
26. 有關敗血症病患之營養補充,其蛋白質、氨基酸的需求為何? (A) 1~1.5 g/kg/day (B) 1.5~2 g/kg/day (C) 2~2.5 g/kg/day (D) 2.5~3 g/kg/day
27. 加護病房患者發生急性瀰漫性血管內凝血異常(disseminated intravascular coagulation, DIC)最常見之原因為何? (A) 脂肪栓塞(fat emboli) (B) 轉移性惡性腫瘤(metastatic tumors) (C) 敗血症(sepsis) (D) 急性肝壞死(acute hepatic necrosis)
28. 一位 35 歲男性,因發燒(38℃)來診,伴隨咳嗽、肋膜胸痛與咳血,於急診之胸部 X 光發現有兩側肺葉肺實質病變(consolidation),而且有開洞,左側肋膜積水;仔細理學 檢查,發現身體有許多針孔,才知為安非他命成癮者,最可能之診斷與最有可能之致病 菌為何? (A) 急性社區型肺炎、Streptococcus pneumoniae (B) 吸入性肺炎(aspiration pneumonia) Anaerobes 、 (C) 院內感染型肺炎、Pseudomonas aeruginosa (D) 敗血性栓塞(septic embolism)併梗塞(infarction) Staphylococcus aureus 、
29. 一位 65 歲加護病房男性病患,某日突然發燒(38.5℃) ,伴隨嘔吐、腹痛,此時之生命 跡象:心跳 135 下/分鐘,收縮血壓 60 mm Hg,鼻胃管有咖啡色物質流出,並有黑便, 胸部 X 光發現左下肺浸潤、心臟無擴大現象,最可能之診斷為何? (A) 敗血性休克(septic shock)及心因性休克(cardiogenic shock) (B) 敗血性休克(septic shock)及低血容積性休克(hypovolemic shock) (C) 敗血性休克(septic shock)及神經性休克(neurogenic shock) (D) 低血容積性休克(hypovolemic shock)及心因性休克(cardiogenic shock)
30. 內毒素或敗血症導致全身性發炎反應,於慢性發炎期(數小時~數天)就會導致嚴重水 腫(edema) ,其致病機轉,包括:①巨噬細胞活化(macrophages activation) ②嗜中 性白血球活化(neutrophils activation)並與內皮細胞黏著(adherence) ③內皮細胞受 損 (endothelial cells damage) ④細胞介白素 interleukin-1(IL-1)和腫瘤壞死因子 tumor necrosis factor(TNF)之釋放 上述致病機轉,發生之先後順序為何? (A) ①②③④ (B) ①②④③ (C) ①④②③ (D) ②③④①
31. 嚴重敗血症之致病機轉已證實由許多原因所導致,尤其是發炎與凝血作用間的平衡,以 下對兩者間之介質描述,何者錯誤? (A) 細胞介白素 interleukin-6(IL-6)在所有嚴重敗血症患者皆上升 (B) C 蛋白(protein C)在 90%嚴重敗血症患者皆上升 (C) 腫瘤壞死因子-α tumor necrosis factor(TNF-α)在大部分嚴重敗血症患者皆上升 (D) D-二聚物(D-dimer)在所有嚴重敗血症患者皆上升
32. 有關加護病房內感染(infection in ICU) ,導致敗血症或敗血性休克,腸胃道感染是重要 來源;其中非結石的膽囊炎(acalculous cholecystitis)若沒有提早診斷,則會致命。非 結石的膽囊炎之致病機轉包含:①休克導致缺血 ②靜脈注射營養劑導致血行停滯 (stasis) ③鴉片類止痛麻醉劑(opioid analgesics)導致胰臟分泌物逆流(reflux of pancreatic secretions) ④腹部撞擊導致缺血 (A) 僅①②③ (B) 僅①②④ (C) 僅②③④ (D) ①②③④
33. 主動脈剝離發生於主動脈弓的機會,占所有主動脈剝離的比例約為多少? (A) 1/10 (B) 1/4 (C) 1/3 (D) 1/2
34. 神經性休克,通常被歸類為下列何種休克? (A) 低血容積性休克 (B) 心因性休克 (C) 心外阻塞性休克 (D) 分布性休克
35. 下列何種藥物是所有心臟衰竭病人一經診斷確定後就必須使用的藥物? (A) Loop diuretic (B) Beta-blocker (C) Aldactone inhibitor (D) Angiotensin-converting enzyme inhibitor
36. 慢性嚴重性心臟衰竭可能會導致心臟性惡病質(cardiac cachexia),特別是出現於: (A) 左心衰竭 (B) 右心衰竭 (C) 類風濕性心臟病 (D) 缺血性心臟病
37. 診斷心因性休克(cardiogenic shock)的血行動力學標準,肺動脈阻塞壓力(pulmonary artery occlusion pressure)必須符合下列那項標準? (A) >15 mm Hg (B) >18 mm Hg (C) <15 mm Hg (D) <18 mm Hg
38. 出血所造成的低血容積性休克,根據出血量可以區隔為四個嚴重等級,如果出血量在 750 ~1500 mL 時,是屬那個等級? (A) 等級 I (B) 等級 II (C) 等級 III (D) 等級 IV
39. 次發性腎上腺功能不全,最常見的原因是: (A) 自體免疫疾病 (B) 腎上腺感染 (C) 放射線治療傷害 (D) 類固醇藥物治療
40. 代謝性鹼血症的常見原因是: (A) 使用利尿劑 (B) 水楊酸中毒 (C) 尿毒症 (D) 甲醇中毒
41. 有一 40 歲病患,其肺動脈導管的測量結果如下:肺動脈收縮壓=40 mm Hg,肺動脈舒 張壓=30 mm Hg,肺動脈楔狀壓=29 mm Hg,平均動脈壓=60 mm Hg,心搏指數(cardiac index)=2.1 l/min/m
2
,依據其心搏指數及其他數據判斷此病患可能為?①右心心肌梗塞 (right ventricular myocardial infarction) ②容積過高(hypervolemia) ③左心心肌梗 塞(left ventricular myocardial infarction) ④容積過低(hypovolemia) (A) 僅②③ (B) 僅④ (C) 僅③ (D) 僅①④
42. 造成急性呼吸窘迫症候群(ARDS)最常見的原因為何? (A) 中性白血球缺乏引起的發燒 (B) 敗血症 (C) 中樞系統傷害 (D) 藥物過量
43. 下列那一個器官衰竭時,會使得多重器官衰竭病人有較高的死亡率? (A) 腦中樞系統 (B) 呼吸系統 (C) 肝臟 (D) 腎臟
44. 下列何者不是肺傷害(lung injury)或 ARDS 的特徵? 共 17 頁,第 8 頁 (A) 使用 75%氧氣的情況下 PaO2=98 mm Hg 2/FiO2<300 (B) PaO (C) 肺動脈楔狀壓(pulmonary artery wedge pressure)=32 mm Hg (D) 胸部 X 光呈現瀰漫性的浸潤
45. 氧氣輸送量(oxygen delivery,DO
2
)在多重器官衰竭的治療中,對於心肺功能的評估是 很重要的,下列敘述何者錯誤? (A) 氧氣輸送量(DO
2
)=心輸出量 × 血中含氧量(oxygen content,CaO
2
) (B) CaO
2
=(1.34×Hb×SaO
2
)+PaO
2
× 0.3 (C) 以一個血紅素 15 gm/dL,氧氣飽和度 97%,動脈氧分壓為 100 mm Hg 且心輸出量為 5L/min 的人為例:DO
2
≒1000 mL/min (D) 以一個血紅素 10 gm/dL,氧氣飽和度 90%,動脈氧分壓為 100 mm Hg,且心輸出量為 5 L/min 的人為例:CaO
2
= 12.09
46. 治療多重器官衰竭時,不同器官的支持療法可能會對其他的器官產生副作用,下列何種 原因不是造成腸缺血症(intestinal ischemia)的原因? (A) 循環性的休克 (B) 主動脈硬化 (C) 因心臟麻痺(cardiac arrest)所產生的低灌注現象 (D) 使用每分鐘 2 μg/kg dopamine 的輸液治療
47. 一位因火災產生重度燙傷及呼吸道灼傷的病人,經加護病房治療其多重器官衰竭後,目 前以 T-piece 在 FiO
2
=0.4 的情況下,pH=7.36,PaO
2
=122 mm Hg,PaCO
2
=40 mm Hg, 病人的神情輕鬆其 H
b
=11.3 gm/dL,WBC=6,300/mm
3
,下列處置何者較正確? (A) 開始以 2 hours T-piece 測量,評估病人是否可以拔管 (B) 會診外科準備做氣切手術 (C) 可以直接拔管再以 BiPAP 或 CPAP mask 做接續的治療 (D) 先以喉頭鏡檢查後再進行拔管的準備
48. 下列何者不是在多重器官衰竭病人上,造成難以治療的缺氧(refractory hypoxia)的致病 原因? (A) 全身性的產生大量的一氧化氮(over-production of systemic nitric oxide) (B) 血管內皮障礙(endothelium dysfunction) (C) 慢性腎衰竭導致的血紅素生成素(erythropoietin)不足 (D) 肺血管對缺氧的反應出現障礙(hypoxic pulmonary vasoconstriction disorder)
49. 使用較高的潮氣容積(>15 mL/kg)或較高的 PEEP(>15 cm H
2
O),可能會對循環系 統產生何種影響? (A) 減少肺動脈壓 (B) 血壓上升 (C) 心輸出量減少 (D) 增加肺動脈流量
50. 使用高頻振動呼吸器(high frequency oscillation),二氧化碳的排除主要是依靠: (A) 平均氣道壓 (B) 潮氣容積 (C) 氣流流速 (D) 吸氣時間
51. 靜脈-靜脈(veno-venous)體外膜性氧合機(ECMO)適用於何種病人? (A) 心臟功能正常之呼吸衰竭病人 (B) 呼吸功能正常之心臟衰竭病人 (C) 同時有心臟衰竭及呼吸衰竭之病人 (D) 心肺功能皆正常之低血壓病人
52. 下列何種患者絕對禁止採用俯臥姿勢(prone position)治療? (A) 肥胖者 (B) 躁動者 (C) 嬰幼兒 (D) 脊髓損傷患者
53. 高壓氧治療(HBO)能排除血中氣栓(air emboli)的原因和下列那種氣體定律有關? (A) Gay-Lussac’s law (B) Boyle’s law (C) Charles law (D) Dalton law
54. 下列何種技術的臨床應用目的是為排除二氧化碳? (A) 俯臥姿勢(prone position) (B) 氣管內灌氣(tracheal gas insufflation) (C) 表面張力素治療(surfactant therapy) (D) 部分液體通氣(partial liquid ventilation)
55. 關於一氧化氮(NO)吸入治療的敘述,下列何者正確? (A) NO 治療時間越久效果越好 共 17 頁,第 10 頁 (B) NO 治療劑量越高效果越好 (C) 要終止治療前,維持低劑量至少 4 小時 (D) 兒童患者需要的劑量比較高
56. 手術後發生下列那一種情況,患者需要機械通氣輔助? (A) 持續高碳酸血症(persistent hypercapnia) (B) 肌肉強度變弱(diminished muscle strenghth) (C) 嚴重疼痛(severe pain) (D) 營養不良(nutrition deficient)
57. 為氣管內管插管病人選擇抽痰管時,可運用以下之公式,即氣管內管大小(size, in French Units)乘以 3 再除以: (A) 1 (B) 2 (C) 4 (D) 5
58. 一位使用陽壓呼吸器病人,目前呼吸器設定為恆定氣流(constant ,但病人呼吸道 flow) 壓力呈凹狀(concave),此時最適當的呼吸器調整是:
(A) 增加吸氣時間(inspiratory time) (B) 增加吸氣流速(inspiratory flow rate) (C) 減緩吐氣時間(expiratory time) (D) 改為正弦波流速(sine flow)
59. 下列何項不是使用外接噴霧器於呼吸器後會發生的生理現象? (A) 可增加呼吸器敏感度(sensitivity) (B) 吐氣容積可能增加 (C) 病人潮氣容積可能增加 (D) 於病人驅動模式(patient-triggered ,病人須先克服噴霧器流速才可驅動呼吸器 mode)
60. 下列何種測量和組織含氧狀態較無關? (A) 二氧化碳測量儀 (B) 胃二氧化碳測量儀(gastric tonometry) (C) 動脈血氧分壓 (D) 混合靜脈血氧分壓(PO
2
of mixed venous blood)
61. 下列何種疾病導致之急性呼吸衰竭不建議以非侵襲性呼吸器治療? (A) 慢性阻塞性肺病惡化 (B) 急性心因性肺水腫 (C) 重度急性呼吸窘迫症候群併多重器官衰竭 (D) 協助慢性阻塞性肺病病人脫離呼吸器
62. 為氣管內管插管之成年病人抽痰,其使用負壓最好在: (A) -10 至-30 mm Hg (B) -40 至-60 mm Hg (C) -100 至-120 mm Hg (D) -150至-220 mm Hg
63. 下列何者不是負壓呼吸器的優點? (A) 病人可以吃和講話 (B) 不需要人工呼吸道 (C) 低血容積(hypovolemia)病人不會因負壓呼吸器的使用而低血壓 (D) 比較像正常呼吸模式
64. 吳先生 COPD 使用呼吸器,住在呼吸照護中心訓練脫離(weaning),其意識清楚,應為 他擬定那些運動訓練計畫?①為減少呼吸作功,宜多休息 ②運動時調高氧氣濃度 ③ 訓練患者下床走路 ④教導呼吸放鬆技巧 (A) 僅①④ (B) 僅②③ (C) 僅②④ (D) ②③④
65. 王先生自火災現場送至急診,診斷為吸入性損傷,其 SpO2 99%,沒有明顯的發紺現象, 此時最適當的立即處置為: (A) 繼續密切觀察患者 (B) 給予 venturi mask 28% (C) 給予 aerosol mask 40% (D) 給予 nonrebreathing mask 15L/min
66. 下列何者不會影響 pulse oximetry 的準確性? (A) 一氧化碳中毒 (B) 變性血紅素血症(methemoglobinemia) (C) 休克狀態 (D) 貧血
67. 下列關於心肺交互作用(cardiopulmonary interaction)之敘述,何者正確?①鬱血性心臟 功能衰竭患者對陽壓通氣輔助呼吸之耐受情形較正常人差,後者之心臟搏出量不但不會 降低有時反而增高 ②當由於肺部疾病導致肺部血管喪失與肺血管阻抗增高時,或使用 較大潮氣容積(>16 mL/Kg)與較高吐氣末陽壓(PEEP>15 cm H2O)設定之陽壓通氣 輔助呼吸時,對於右心室搏出量之影響,靜脈回流(右心室前負荷)所扮演之角色越來 越不重要,反而右心室後負荷扮演之角色越來越重要 ③心室間相互依賴(ventricular interdependence)之觀念為解釋陽壓通氣輔助造成左心室於舒張末期心室容積減少現象 之機制之一 (A) ①② (B) ①③ (C) ②③ (D) 僅①
68. 下列有關如何減少使用呼吸器病人的院內感染之敘述,何者錯誤? (A) 勤於洗手 (B) 要避免上腸胃潰瘍,故每位病人必須投給抗潰瘍藥物(H
2
-blockers) (C) 避免大量胃的灌食 (D) 要讓病人半坐臥(semi-Fowler’s position)
69. 陽壓通氣不會影響下列何種荷爾蒙的分泌,進而影響到小便的排出量? (A) Anti-diuretic hormone(ADH) (B) Thyroxine (C) Atrial natriuretic factor (D) Renin
70. 高 PEEP 對心血管系統的作用,下列何者錯誤? (A) 升高 RA pressure,降低 venous return (B) 造成 pulmonary vascular resistance 減低,使 RV 的 afterload 下降 (C) 對於右心功能不好的病人,造成 RV 的擴張,造成心室中隔往左心偏移 (D) 減少心輸出量(cardiac output)
71. 使用非侵襲性陽壓通氣最常見的併發症為: (A) 吸入性肺炎 (B) 氣胸 (C) 面罩造成病人不舒服 (D) 低血壓
72. 下列何種不是 ventilator-associated pneumonia 的診斷依據? (A) 白血球數量上升,超過 10000/mL (B) 血氧飽和度變差 (C) X 光有新的浸潤 (D) 有化膿性痰液
73. 關於高頻振動通氣(HFOV)的敘述,下列何者正確? (A) 它透過較低的平均氣道壓力(MAP)來改善氧合(oxygenation) (B) 它的吐氣(exhalation)是被動的 (C) 它可減少肺部 cytokine 的產生 (D) 它禁用於 air-leak situations
74. 8 個月大男嬰因為發燒、咳嗽 3 天來診,過去有白血球過低病史,本次檢查,白血球計 數 7,200/mm
3
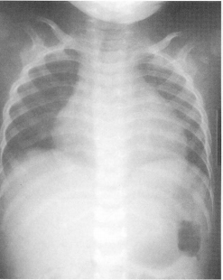
,胸部 X 光如附圖,理學檢查心音較遙遠小聲,肝臟腫大,生命徵象為: 心搏每分鐘 174 次、呼吸 28 次、血壓 65/45 毫米汞柱、體溫 39.1°C。下列敘述何者正確?
(A) 應該作心臟超音波,如果有積水,要作心包膜穿刺引流 (B) 有病毒性肺炎 (C) 抗生素是不可或缺的治療 (D) 應該開始 dopamine 靜脈滴注
75. 一位 3 歲兒童因呼吸困難、呼吸有異音,胸骨上、肋骨下凹陷明顯,來求診。診察時有 發燒(39°C)現象,無法躺下,口水直流,頸部軟組織 X 光如圖,以下敘述何者正確?
(A) 本 X 光因病人不合作,姿勢不正確,無法判讀 (B) 其會厭軟骨腫脹如大拇指狀(thumb sign),可能為會厭炎(epiglottitis) (C) 此病很少造成緊急症狀 (D) 通常會需要支氣管擴張劑吸入治療 歲大的男童,因為敗血症併發急性呼吸窘迫症候群,插管使用呼吸器,其呼吸器監測
76. 2 歲大的男童,因為敗血症併發急性呼吸窘迫症候群,插管使用呼吸器,其呼吸器監測 圖形如附圖,以下敘述何者正確?
(A) E 是病人自發呼吸驅動呼吸器的 pressure support (B) F 是呼吸器強迫呼吸 (C) 呼吸器同步模式可能為 assist+control (D) G 箭頭所指之處,是呼吸器因為設定吸氣時間 inspiration time 未到,不容病人吐氣
77. 有關有機磷(organophosphate)中毒,下列何者錯誤? (A) 在皮膚接觸後,多汗與肌肉顫動(fasciculation)是最早的症狀。 (B) 嚴重中毒的病人通常表現昏迷、虛弱而且低血壓。 (C) 會發生所謂尼古丁效應(nicotine ,可以用以下方法記憶 SLUDGE=salivation, effects) lacrimation,urination,diarrhea,GI upset,emesis (D) 心電圖會有 QT 延長、ST 上升與 PR 延長現象
78. 懷孕不超過多少週前即生下來的嬰兒叫早產兒? (A) 36 (B) 37 (C) 38 (D) 39
79. 對一位嬰兒,設定潮氣容積 VT 40 mL,呼吸次數為 45/min,I:E=1:2,則適當的氣體 流速應為多少 mL/sec? (A) 60 (B) 90 (C) 120 (D) 150
80. 兒童氣管內異物最常見於下列何種之支氣管? (A) 右中肺葉及右下肺葉 (B) 右上肺葉 (C) 左上肺葉 (D) 左下肺葉
申論題 (0)
相關試卷
114年 - 114 專技高考_呼吸治療師:重症呼吸治療學#128961
114年 · #128961
113年 - 113 專技高考_呼吸治療師:重症呼吸治療學#121665
113年 · #121665
112年 - 112 專技高考_呼吸治療師:重症呼吸治療學#115902
112年 · #115902
111年 - 111 專技高考_呼吸治療師:重症呼吸治療學#109880
111年 · #109880
110年 - 110 專技高考_呼吸治療師:重症呼吸治療學#99933
110年 · #99933
109年 - 109-2 專技高考_呼吸治療師:重症呼吸治療學#89157
109年 · #89157
109年 - 109-1 專技高考_呼吸治療師:重症呼吸治療學#82776
109年 · #82776
108年 - 108-2 專技高考_呼吸治療師:重症呼吸治療學#78181
108年 · #78181
108年 - 108-1 專技高考_呼吸治療師:重症呼吸治療學#74588
108年 · #74588
107年 - 107-2 專技高考_呼吸治療師:重症呼吸治療學#70406
107年 · #70406